ОГК. Средостение. "Опухолевый рост". Набор изображений. +

Катенёв Валентин Львович аватар
Не на сайте
Был на сайте: 7 лет 1 неделя назад
Зарегистрирован: 22.03.2008 - 22:15
Публикации: 54876

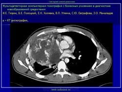
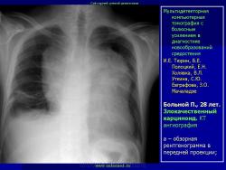
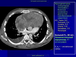
Средостение.  "Опухолевый рост".

Катенёв Валентин Львович аватар
Не на сайте
Был на сайте: 7 лет 1 неделя назад
Зарегистрирован: 22.03.2008 - 22:15
Публикации: 54876

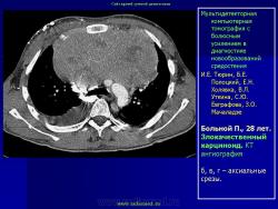
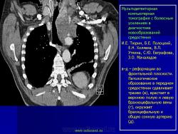
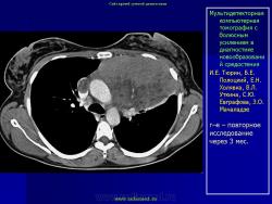
Продолжение.

 

Приложения: 
1.a.slayd67.jpg2.a.slayd68.jpg3.a.slayd69.jpg4.a.slayd70.jpg5.a.slayd71.jpg6.a.slayd72.jpg7.a.slayd73.jpg8.a.slayd74.jpg
Катенёв Валентин Львович аватар
Не на сайте
Был на сайте: 7 лет 1 неделя назад
Зарегистрирован: 22.03.2008 - 22:15
Публикации: 54876

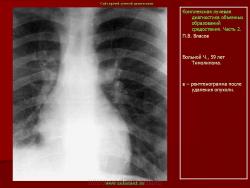
Продолжение.

 

 

Приложения: 
1.n.slayd75.jpg2.n.slayd76.jpg3.n.slayd77.jpg4.n.slayd78.jpg5.n.slayd79.jpg6.n.slayd80.jpg
Катенёв Валентин Львович аватар
Не на сайте
Был на сайте: 7 лет 1 неделя назад
Зарегистрирован: 22.03.2008 - 22:15
Публикации: 54876

ВИДЕО.

Новообразования средостения часть 1 Тюрин

https://www.youtube.com/watch?v=8byGDCUj2P0&index=11&list=PLoOi6IiZMCYqAxX7EzA7cP538LojCNLmv

Новообразования средостения часть 2 Тюрин

https://www.youtube.com/watch?v=YPpSUNw8hlo&index=12&list=PLoOi6IiZMCYqAxX7EzA7cP538LojCNLmv

Средостение в рентгеновском изображении Тюрин

https://www.youtube.com/watch?v=FoavGnilAfg&index=1&list=PLoOi6IiZMCYqAxX7EzA7cP538LojCNLmv

 

 

Sergio93 аватар
Не на сайте
Был на сайте: 2 года 8 месяцев назад
Зарегистрирован: 14.01.2020 - 21:14
Публикации: 69

Alisaconrad wrote:

Есть целый курс по ОГК от действующего врача-рентгенолога, которая отучилась в Лондоне. Курс по ОГК сейчас прохожу и всем довольна. Все четко и по делу. Кроме информаци в виде лекции, получаешь домашнее задание и очень сильную обратную связь, автор отвечает на все вопросы до мелочей. 

Отличная самореклама

Войти Зарегистрироваться