Данные анамнеза: травма была 08.08.2013, ударился височной частью головы, кратковременно терял сознание, кружилась и болела голова, ночью была рвота. 09.08.2013 г. госпитализирован в нейрохирургическое отделение, там лечили 6 дней, выписали с диагнозом ушиб височной области слева. Рекомендовали лечиться амбулаторно у невролога. После выписки сохранилась головная боль, появилась быстрая утомляемость, рассеянность внимания, тяжело сосредоточиться, ухудшилась память. Лечился у невролога амбулаторно до 23.12.2013 г., всвязи с тем, что лечение недавало результаты, планово госпитализировали в неврологическое отделение.
Всвязи с тем, что болела шея сделал МРТ шейного отдела позвоночника 24.11.13г, оказалась: МР картина последствия компрессионно- оскольчатого перелома С5 позвонка. МР картина дегенеративно-дистрофических изминений шейного отдела позвоночника, осложненых протрузией диска С5-С6, с признаками компрессии спинных корешков, передней ликворной камеры дурального мешка.Ретролистез тела С5 позвонка.
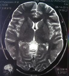
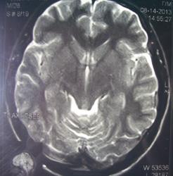
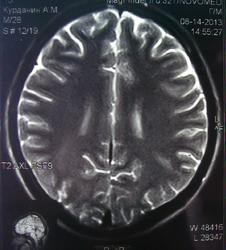
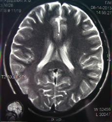
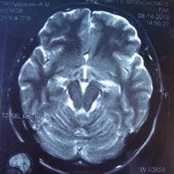
При изучении МРТ снимков головного мозга невролог указала на наличие маленьких очажков на коре головного мозга, порекомендовав обратиться за лечением к нейрохирургам. Голова также продолжает болеть, еще стали кисти рук неметь и прочие симптомы. Можете ли вы указать, имеются ли эти маленькие очажки на коре головного мозга и где именно?
Ссылка на МРТ шеи в формате rar: http://files.mail.ru/FD935B3BFE24429A9929E7314DE37F36а если можно и процитируйте мрт снимок шеи. Имеется ли на нем компрессионно оскольчатый перелом тела С5? Очень благодарен за помощь. С уважением Алексей
Ошибка 404 — страница не найдена Возможно, указан неправильный адрес страницы Вероятно, страница была удалена или перемещена Перейдите на стартовую страницу Воспользуйтесь поиском в интернете
Алексей, очагов достоверно не вижу, а вот на верхнечелюстную пазуху нужно обратить внимание-есть ее воспалительные изменения в виде утолщения слизистой.
Насчет шеи еще раз повторюсь-данных за перелом не вижу.Не выполнена программа с жироподавлением , которая чувствительна к малейшим изменениям костного мозга, поэтому достоверно сказать, что был перелом невозможно.Есть дистрофические изменения шейного отдела позвоночника.
а какие либо гематомы видите? просто лечащий врач невролог, указал наличие маленьких очагов воспаления на коре головного мозга!!! Посмотрите пожалуйста повнимательнее снимок 2/6?имеется ли не заращение заднего апофиза тела С5?
Алексей, очагов достоверно не вижу, а вот на верхнечелюстную пазуху нужно обратить внимание-есть ее воспалительные изменения в виде утолщения слизистой.
Насчет шеи еще раз повторюсь-данных за перелом не вижу.Не выполнена программа с жироподавлением , которая чувствительна к малейшим изменениям костного мозга, поэтому достоверно сказать, что был перелом невозможно.Есть дистрофические изменения шейного отдела позвоночника.
Соглашусь с мнением уважаемой Елены Юрьевны, по поводу перелома С5 можно только гадать, время прошло много, но так же есть и неоднозначные изменения, например эта косая линия...
Приложения:
Терпимость - это когда прощают чужие ошибки; такт - когда не замечают их. (Артур Шницлер)
а какие либо гематомы видите? просто лечащий врач невролог, указал наличие маленьких очагов воспаления на коре головного мозга!!! Посмотрите пожалуйста повнимательнее снимок 2/6?имеется ли не заращение заднего апофиза тела С5?
Алексей, я свое мнение высказала.Все вопросы к лечащему врачу-неврологу, который видит очаги и гематомы.
Подождите других мнений, может, кто-то со мной не согласится.Снимки шеи смотрела внимательно.Если есть перелом, то должен быть отек костного мозга.Отека нет.
а какие либо гематомы видите? просто лечащий врач невролог, указал наличие маленьких очагов воспаления на коре головного мозга!!! Посмотрите пожалуйста повнимательнее снимок 2/6?имеется ли не заращение заднего апофиза тела С5?
Если есть перелом, то должен быть отек костного мозга.Отека нет.
Так с момента травмы до исследования прошло 4 мес, если отек и будет виден, то на последовательности с жироподавлением, каторой нет, либо нет изображений с этой последовательностью.
Терпимость - это когда прощают чужие ошибки; такт - когда не замечают их. (Артур Шницлер)
Для этого снимки нужны, а лучше дайком.
На представленных-нет, но это ни о чем не говорит.Нужно смотреть полностью исследование.Еще данные анамнеза, жалобы и т.д.
Более качественные снимки МРТ головного мозга запакованные rar на ссылке: посмотрите пожалуйста
http://files.mail.ru/C50E6CAA21554C598D24CDC1DA718491
Данные анамнеза: травма была 08.08.2013, ударился височной частью головы, кратковременно терял сознание, кружилась и болела голова, ночью была рвота. 09.08.2013 г. госпитализирован в нейрохирургическое отделение, там лечили 6 дней, выписали с диагнозом ушиб височной области слева. Рекомендовали лечиться амбулаторно у невролога. После выписки сохранилась головная боль, появилась быстрая утомляемость, рассеянность внимания, тяжело сосредоточиться, ухудшилась память. Лечился у невролога амбулаторно до 23.12.2013 г., всвязи с тем, что лечение недавало результаты, планово госпитализировали в неврологическое отделение.
Всвязи с тем, что болела шея сделал МРТ шейного отдела позвоночника 24.11.13г, оказалась: МР картина последствия компрессионно- оскольчатого перелома С5 позвонка. МР картина дегенеративно-дистрофических изминений шейного отдела позвоночника, осложненых протрузией диска С5-С6, с признаками компрессии спинных корешков, передней ликворной камеры дурального мешка.Ретролистез тела С5 позвонка.
При изучении МРТ снимков головного мозга невролог указала на наличие маленьких очажков на коре головного мозга, порекомендовав обратиться за лечением к нейрохирургам. Голова также продолжает болеть, еще стали кисти рук неметь и прочие симптомы. Можете ли вы указать, имеются ли эти маленькие очажки на коре головного мозга и где именно?
Ссылка на МРТ шеи в формате rar: http://files.mail.ru/FD935B3BFE24429A9929E7314DE37F36 а если можно и процитируйте мрт снимок шеи. Имеется ли на нем компрессионно оскольчатый перелом тела С5? Очень благодарен за помощь. С уважением Алексей
Ошибка 404 — страница не найдена
Возможно, указан неправильный адрес страницы
Вероятно, страница была удалена или перемещена
Перейдите на стартовую страницу
Воспользуйтесь поиском в интернете
Я все исправил, сейчас будет работать, цыфрой в конце ошибся!!! Спасибо, вы очень внимательны
Алексей, очагов достоверно не вижу, а вот на верхнечелюстную пазуху нужно обратить внимание-есть ее воспалительные изменения в виде утолщения слизистой.
Насчет шеи еще раз повторюсь-данных за перелом не вижу.Не выполнена программа с жироподавлением , которая чувствительна к малейшим изменениям костного мозга, поэтому достоверно сказать, что был перелом невозможно.Есть дистрофические изменения шейного отдела позвоночника.
а какие либо гематомы видите? просто лечащий врач невролог, указал наличие маленьких очагов воспаления на коре головного мозга!!! Посмотрите пожалуйста повнимательнее снимок 2/6? имеется ли не заращение заднего апофиза тела С5?
Терпимость - это когда прощают чужие ошибки; такт - когда не замечают их. (Артур Шницлер)
Алексей, я свое мнение высказала.Все вопросы к лечащему врачу-неврологу, который видит очаги и гематомы.
Подождите других мнений, может, кто-то со мной не согласится.Снимки шеи смотрела внимательно.Если есть перелом, то должен быть отек костного мозга.Отека нет.
Терпимость - это когда прощают чужие ошибки; такт - когда не замечают их. (Артур Шницлер)