КСС. Аномалии и варианты развития. Нижняя конечность. +

Аномалии и варианты развития.  Нижняя конечность.

Демчев Валентин Анатольевич аватар
Не на сайте
Был на сайте: 7 лет 7 месяцев назад
Зарегистрирован: 08.02.2011 - 15:40
Публикации: 445

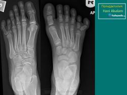
Похоже на таранно-пяточную коалицию.

Катенёв Валентин Львович аватар
Не на сайте
Был на сайте: 7 лет 1 неделя назад
Зарегистрирован: 22.03.2008 - 22:15
Публикации: 54876

Совершенно верно.

Демчев Валентин Анатольевич аватар
Не на сайте
Был на сайте: 7 лет 7 месяцев назад
Зарегистрирован: 08.02.2011 - 15:40
Публикации: 445

Есть неплохая статья Кенис В.М. руководитель отделения патологии стоп, голени и системных заболеваний ФГУ "НИДОИ им.Г.И.Турнера" - Тарзальные коалиции у детей. Хоть буду знать как выглядит эта патология, а то уменя проходила однократно, но какая-то не убедительная.

Катенёв Валентин Львович аватар
Не на сайте
Был на сайте: 7 лет 1 неделя назад
Зарегистрирован: 22.03.2008 - 22:15
Публикации: 54876

Аномалии и варианты развития. Нижняя конечность.

 

Приложения: 
1.nkslayd4.jpg
Катенёв Валентин Львович аватар
Не на сайте
Был на сайте: 7 лет 1 неделя назад
Зарегистрирован: 22.03.2008 - 22:15
Публикации: 54876
Катенёв Валентин Львович аватар
Не на сайте
Был на сайте: 7 лет 1 неделя назад
Зарегистрирован: 22.03.2008 - 22:15
Публикации: 54876