Аномалии и варианты развития позвоночника (позвонков). Ср, 19/10/2011 - 23:32 #1 Катенёв Валенти... Не на сайте Был на сайте: 7 лет 5 месяцев назад Зарегистрирован: 22.03.2008 - 22:15 Публикации: 54876 Аномалии и варианты развития позвоночника (позвонков).Приложения: Сб, 05/05/2012 - 23:43 #2 Катенёв Валенти... Не на сайте Был на сайте: 7 лет 5 месяцев назад Зарегистрирован: 22.03.2008 - 22:15 Публикации: 54876 Продолжение.Приложения: Втр, 17/07/2012 - 14:47 #3 Катенёв Валенти... Не на сайте Был на сайте: 7 лет 5 месяцев назад Зарегистрирован: 22.03.2008 - 22:15 Публикации: 54876 Продолжение.Приложения: Пт, 09/12/2016 - 19:05 #4 Катенёв Валенти... Не на сайте Был на сайте: 7 лет 5 месяцев назад Зарегистрирован: 22.03.2008 - 22:15 Публикации: 54876 Отсутствует задняя дуга С1, гипертрофия остистого отростка С2, кость выйной связки. Приложения: Сб, 10/12/2016 - 08:37 #5 Марина Сергеевна Не на сайте Был на сайте: 11 месяцев 2 недели назад Зарегистрирован: 26.04.2011 - 11:56 Публикации: 996 Видела люмбосакральную агенезию в 30 лет, кт обп+мт по поводу мкб. Могу кадров накидать. Парень инвалид-колясочник, полностью сохранен в остальном и очень позитивен. "There is no teacher, who can teach us anything new. He just can help us to remember the things we always knew" (c) Enigma. Сб, 10/12/2016 - 18:04 #6 Катенёв Валенти... Не на сайте Был на сайте: 7 лет 5 месяцев назад Зарегистрирован: 22.03.2008 - 22:15 Публикации: 54876 Марина Сергеевна wrote: Могу кадров накидать. Заранее спасибо! Втр, 13/12/2016 - 11:13 #7 Марина Сергеевна Не на сайте Был на сайте: 11 месяцев 2 недели назад Зарегистрирован: 26.04.2011 - 11:56 Публикации: 996 обещанное Приложения: "There is no teacher, who can teach us anything new. He just can help us to remember the things we always knew" (c) Enigma. Втр, 13/12/2016 - 23:10 #8 Катенёв Валенти... Не на сайте Был на сайте: 7 лет 5 месяцев назад Зарегистрирован: 22.03.2008 - 22:15 Публикации: 54876 Спасибо большое Марина Сергеевна! Чт, 16/11/2017 - 19:03 #9 Катенёв Валенти... Не на сайте Был на сайте: 7 лет 5 месяцев назад Зарегистрирован: 22.03.2008 - 22:15 Публикации: 54876 http://www.ajronline.org/doi/full/10.2214/AJR.07.7141?src=recsys Пнд, 15/01/2018 - 21:43 #10 Катенёв Валенти... Не на сайте Был на сайте: 7 лет 5 месяцев назад Зарегистрирован: 22.03.2008 - 22:15 Публикации: 54876 Аномалия Киммерли http://24radiology.ru/kostno-myshechnaya-sistema/anomaliya-kimmerle/ Пнд, 15/01/2018 - 21:52 #11 Катенёв Валенти... Не на сайте Был на сайте: 7 лет 5 месяцев назад Зарегистрирован: 22.03.2008 - 22:15 Публикации: 54876 Варианты развития позвонков. http://24radiology.ru/kostno-myshechnaya-sistema/varianty-razvitiya-pozvonkov-i-klassifikatsiya-perehodnyh-pozvonkov-po-casellvi-a-e/ Пнд, 15/01/2018 - 21:54 #12 Катенёв Валенти... Не на сайте Был на сайте: 7 лет 5 месяцев назад Зарегистрирован: 22.03.2008 - 22:15 Публикации: 54876 Вставочная кость — это оссификация передних волокон фиброзного кольца межпозвонкового диска. Вставочная кость способствует развитию в более раннем возрасте дегенеративных изменений позвоночника. http://24radiology.ru/kostno-myshechnaya-sistema/vstavochnaya-kost/ Втр, 27/02/2018 - 16:11 #13 Катенёв Валенти... Не на сайте Был на сайте: 7 лет 5 месяцев назад Зарегистрирован: 22.03.2008 - 22:15 Публикации: 54876 Шейный отдел позвоночника: нормальная анатомия, варианты и травма (у детей). http://pubs.rsna.org/doi/full/10.1148/rg.233025121 Вс, 09/09/2018 - 06:49 #14 Катенёв Валенти... Не на сайте Был на сайте: 7 лет 5 месяцев назад Зарегистрирован: 22.03.2008 - 22:15 Публикации: 54876 Врожденное недоразвитие половины позвонка https://radiopaedia.org/articles/hemivertebra Дело 1 Случай 2 Случай 3: правая боковая Т3 Случай 4 Случай 5 Вс, 09/09/2018 - 07:09 #15 Катенёв Валенти... Не на сайте Был на сайте: 7 лет 5 месяцев назад Зарегистрирован: 22.03.2008 - 22:15 Публикации: 54876 Боковая гемивертебра Случай 1: Вс, 09/09/2018 - 07:13 #16 Катенёв Валенти... Не на сайте Был на сайте: 7 лет 5 месяцев назад Зарегистрирован: 22.03.2008 - 22:15 Публикации: 54876 Block vertebra Дело 1 Случай 2 Случай 3 Случай 4: с мальформацией спинного мозга Случай 5: на уровне C2-C3 Случай 6 Случай 7 Случай 8 Вс, 09/09/2018 - 07:17 #17 Катенёв Валенти... Не на сайте Был на сайте: 7 лет 5 месяцев назад Зарегистрирован: 22.03.2008 - 22:15 Публикации: 54876 Бабочковидный позвонок Рисунок 1: фотография бабочки Дело 1 Случай 2 Случай 3 Случай 4: с кифосколизом Случай 5: поясничный S1 бабочка позвонка Случай 6 Случай 7 Вс, 09/09/2018 - 12:20 #18 Катенёв Валенти... Не на сайте Был на сайте: 7 лет 5 месяцев назад Зарегистрирован: 22.03.2008 - 22:15 Публикации: 54876 Крестец. Рисунок 1: вид спереди Рисунок 2: задний вид Случай 1: Случай 1: Случай 2. Случай 3: сакральное Вс, 09/09/2018 - 12:21 #19 Катенёв Валенти... Не на сайте Был на сайте: 7 лет 5 месяцев назад Зарегистрирован: 22.03.2008 - 22:15 Публикации: 54876 Сакральная агенезия. Дело 1 Случай 2 Случай 3: тип III у взрослого Случай 4
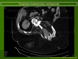
Аномалии и варианты развития позвоночника (позвонков).
Продолжение.
Продолжение.
Отсутствует задняя дуга С1, гипертрофия остистого отростка С2, кость выйной связки.
Видела люмбосакральную агенезию в 30 лет, кт обп+мт по поводу мкб. Могу кадров накидать.
Парень инвалид-колясочник, полностью сохранен в остальном и очень позитивен.
"There is no teacher, who can teach us anything new. He just can help us to remember the things we always knew" (c) Enigma.
Заранее спасибо!
обещанное
"There is no teacher, who can teach us anything new. He just can help us to remember the things we always knew" (c) Enigma.
Спасибо большое Марина Сергеевна!
http://www.ajronline.org/doi/full/10.2214/AJR.07.7141?src=recsys
Аномалия Киммерли
http://24radiology.ru/kostno-myshechnaya-sistema/anomaliya-kimmerle/
Варианты развития позвонков.
http://24radiology.ru/kostno-myshechnaya-sistema/varianty-razvitiya-pozvonkov-i-klassifikatsiya-perehodnyh-pozvonkov-po-casellvi-a-e/
Вставочная кость — это оссификация передних волокон фиброзного кольца межпозвонкового диска. Вставочная кость способствует развитию в более раннем возрасте дегенеративных изменений позвоночника.
http://24radiology.ru/kostno-myshechnaya-sistema/vstavochnaya-kost/
Шейный отдел позвоночника: нормальная анатомия, варианты и травма (у детей).
http://pubs.rsna.org/doi/full/10.1148/rg.233025121
Врожденное недоразвитие половины позвонка
https://radiopaedia.org/articles/hemivertebra
Боковая гемивертебра
Block vertebra
Бабочковидный позвонок
Крестец.
Сакральная агенезия.