Аномалии расположения почек (дистопия) возникают во внутриутробном периоде. Во внутриутробном периоде развития почка закладывается в малом тазу и в процессе развития плода перемещается вверх на свое нормальное местоположение. Однако при воздействии различных факторов нормальное движение почки может остановиться на каком-либо этапе. Различают тазовую, поясничную, подвздошную дистопию почки. Аномалии расположения почки встречаются достаточно часто и могут не проявляться клинически.
Тазовая дистопия почки
Такая аномалия встречается не часто. При этом почка находится в малом тазу. Обычно между мочевым пузырем и прямой кишкой у мужчин и маткой и прямой кишкой у женщин. При этой аномалии жалобы у пациента связаны с нарушением функции органов, соседствующих с аномально расположенной почкой. Возникают боли в прямой кишке, иногда запоры, боли во время полового акта у женщин и т.д. Иногда такую почку обнаруживают при гинекологическом исследовании, как плотное образование позади заднего свода влагалища, или при пальцевом исследовании прямой кишки.
Подвздошная дистопия почки
Эта аномалия расположения почки встречается достаточно часто и сопровождается аномальным увеличением количества почечных артерий. При этом почка располагается в подвздошной ямке.
Проявляется такая аномалия болями в подвздошной области, животе.
У женщин эти боли могут обостряться в менструальном периоде.
Атипично расположенная почка может сдавливать какой-либо отдел кишечника, что вызовет запоры и расстройства работы кишечника.
Возможно возникновение тошноты, рвоты, метеоризма.
Все эти проявления резко усиливаются при возникновении в дистопированной почке заболевания (гидронефроз, мочекаменная болезнь, пиелонефрит).
Иногда такая почка прощупывается при пальпации живота и ошибочно может быть принята за опухоль органов брюшной полости или за кисту яичника.
Поясничная дистопия почки
В этом случае почка находится несколько ниже своего нормального положения и ее артерия отходит от аорты ниже, чем в норме. Обычно такая почка повернута лоханкой вперед. Иногда такая почка проявляется болями в поясничной области. При прощупывании брюшной полости ее могут принять за опухоль или опущение нормальной почки.
Торакальная дистопия почки
Встречается очень редко. При этой аномалии почка расположена выше диафрагмы и находится в грудной полости. Мочеточник и сосуды такой почки значительно длиннее нормальных. Такая аномалия может проявляться болями за грудиной, часто после еды. Обнаруживается случайно при рентгенологических обследованиях, как образование над диафрагмой. Иногда ошибочно ставится диагноз опухоли легкого или диафрагмальной грыжи. Установить правильный диагноз помогают экскреторная урография и ультразвуковое исследование, которое не обнаруживает почку на обычном месте.
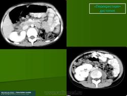
Перекрестная дистопия почки
Перекресная дистопия почки встречается редко и характеризуется перемещением одной из почек за срединную линию тела. Таким образом, обе почки оказываются по одну сторону позвоночника. Очень часто обе почки срастаются в один орган, но при этом имеют каждая собственные сосуды и мочеточники. Обычно такая аномалия не проявляется клинически и ее диагностируют при помощи ультразвукового исследования и экскреторной урографии. Оперативное лечение проводят только если возникает заболевание, требующее оперативного вмешательства (гидронефроз, опухоль, мочекаменная болезнь, пиелонефрит).
Аномалии расположения почек
Аномалии расположения почек (дистопия) возникают во внутриутробном периоде. Во внутриутробном периоде развития почка закладывается в малом тазу и в процессе развития плода перемещается вверх на свое нормальное местоположение. Однако при воздействии различных факторов нормальное движение почки может остановиться на каком-либо этапе. Различают тазовую, поясничную, подвздошную дистопию почки. Аномалии расположения почки встречаются достаточно часто и могут не проявляться клинически.
Тазовая дистопия почки
Такая аномалия встречается не часто. При этом почка находится в малом тазу. Обычно между мочевым пузырем и прямой кишкой у мужчин и маткой и прямой кишкой у женщин. При этой аномалии жалобы у пациента связаны с нарушением функции органов, соседствующих с аномально расположенной почкой. Возникают боли в прямой кишке, иногда запоры, боли во время полового акта у женщин и т.д. Иногда такую почку обнаруживают при гинекологическом исследовании, как плотное образование позади заднего свода влагалища, или при пальцевом исследовании прямой кишки.
Подвздошная дистопия почки
Эта аномалия расположения почки встречается достаточно часто и сопровождается аномальным увеличением количества почечных артерий. При этом почка располагается в подвздошной ямке.
Все эти проявления резко усиливаются при возникновении в дистопированной почке заболевания (гидронефроз, мочекаменная болезнь, пиелонефрит).
Иногда такая почка прощупывается при пальпации живота и ошибочно может быть принята за опухоль органов брюшной полости или за кисту яичника.
Поясничная дистопия почки
В этом случае почка находится несколько ниже своего нормального положения и ее артерия отходит от аорты ниже, чем в норме. Обычно такая почка повернута лоханкой вперед. Иногда такая почка проявляется болями в поясничной области. При прощупывании брюшной полости ее могут принять за опухоль или опущение нормальной почки.
Торакальная дистопия почки
Встречается очень редко. При этой аномалии почка расположена выше диафрагмы и находится в грудной полости. Мочеточник и сосуды такой почки значительно длиннее нормальных. Такая аномалия может проявляться болями за грудиной, часто после еды. Обнаруживается случайно при рентгенологических обследованиях, как образование над диафрагмой. Иногда ошибочно ставится диагноз опухоли легкого или диафрагмальной грыжи. Установить правильный диагноз помогают экскреторная урография и ультразвуковое исследование, которое не обнаруживает почку на обычном месте.
Перекрестная дистопия почки
Перекресная дистопия почки встречается редко и характеризуется перемещением одной из почек за срединную линию тела. Таким образом, обе почки оказываются по одну сторону позвоночника. Очень часто обе почки срастаются в один орган, но при этом имеют каждая собственные сосуды и мочеточники. Обычно такая аномалия не проявляется клинически и ее диагностируют при помощи ультразвукового исследования и экскреторной урографии. Оперативное лечение проводят только если возникает заболевание, требующее оперативного вмешательства (гидронефроз, опухоль, мочекаменная болезнь, пиелонефрит).
Аномалии и варианты положения почек
Аномалии и варианты положения почек
Поясничная дистопия
MDCT и MR Urogram Спектр врожденных аномалий почек и мочевыводящих путей
http://www.ajronline.org/doi/full/10.2214/AJR.14.12867?src=recsys