Онкология. Лимфома Беркитта. +

Беркитта лимфома

Катенёв Валентин Львович аватар
Не на сайте
Был на сайте: 7 лет 2 месяцев назад
Зарегистрирован: 22.03.2008 - 22:15
Публикации: 54876

Лимфома Беркитта – одна из разновидностей так называемых не-ходжскинских лимфом. Растет опухоль из В-лимфоцитов, и встречается как у детей, так и взрослых, средний возраст начала заболевания 30 лет. Рост опухоли начинается в ткани лимфатических узлов, и, по мере прогрессирования, выходит за их пределы, прорастая близлежащие органы. Опухоль характеризуется быстрым, интенсивным ростом. Ее прогноз во многом зависит от ранней диагностики и лечения, а так же от возраста начала заболевания. Так, лучший прогноз при наличии лечения - у детей, 70-80% выздоровлений, - в то время как у взрослых течение более тяжелое – только 40% выздоровлений. Лимфома Беркитта чаще возникает у людей с выраженным иммунодефицитом. Рост лимфомы Беркитта вызывается специфической мутацией генов (онкогенов) в хромосомах 8 и 14.

Опухоль была впервые описана врачом Томасом Беркиттом, который обнаружил ее у бедного африканского населения, как растущей из верхней и нижней челюстей, и уродующей лица людей. В Африке зарегистрированы массовые случаи этого заболевания (эндемическая форма). Отсюда происходит другое ее название – африканская лимфома. Другой вариант, (спорадическая форма), встречается повсеместно, в том числе и в России, и характеризуется преимущественным поражением органов живота и таза.

Треть всех случаев лимфомы Беркитта у детей приходится на область перехода тонкого кишечника в толстый – правая нижняя часть живота. Кроме кишечника, часто поражаются яичники у женщин, яички у мужчин, почки. Реже - щитовидная, молочная и слюнные железы, центральная нервная системы и костный мозг. Возникает опухоль первично в ткани лимфатических узлов, окружающих тот или иной орган, и со временем переходит на сам орган, полностью замещая его своей тканью. Как результат опухолевого роста развивается и нарастает клиника недостаточности функции того или иного органа, а так же сдавления прилежащих органов, сосудов и нервов.

Начало заболевания может быть постепенным или относительно острым, в зависимости от локализации опухоли. Так, вначале симптомы могут быть неспецифичны, и напоминать проявления легкой простуды – небольшая и непостоянная температура, чувство недомогания. На этом фоне единственным симптомом, указывающим на опухоль, может быть увеличение одного или нескольких лимфатических узлов в области паха или стенки живота. Острое клиническое начало – при локализации лимфомы в кишечных лимфоузлах, - проявляется быстро нарастающими симптомами непроходимости кишечника и асцита, возможно появление кишечного кровотечения. При локализации опухоли в области мочеполовой системы возможно прорастание или сдавление почек и мочеточников. В результате развиваются симптомы почечной недостаточности с появлением отеков, нарушение электролитного и белкового баланса в организме. По мере прогрессирования опухолевого процесса нарастают симптомы общей кахексии – выраженное похудание (до 15-20 кг в месяц), астения, ночные поты, лихорадка.

В диагностике лимфомы Беркитта гистологическое исследование опухоли играет большую роль. Под микроскопом видно множество мелких темных лимфоцитов периодически перемежается крупными «звездами» - макрофагами, которые пытаются фагоцитировать опухолевые клетки ( так называемое « звездное небо» ). Другими диагностическими методами исследования, в зависимости от предполагаемых очагов локализации опухоли, являются: двусторонняя биопсия и аспирация костного мозга; рентгенография органов грудной клетки, брюшной полости и таза, реже - двусторонняя лимфоангиография нижних конечностей и таза; рентгенография костей, биопсия печени.

Основные принципы лечения лимфомы Беркитта такие же, как и других не-ходжскинских лимфом.

Катенёв Валентин Львович аватар
Не на сайте
Был на сайте: 7 лет 2 месяцев назад
Зарегистрирован: 22.03.2008 - 22:15
Публикации: 54876

Продолжение.

Приложения: 
1.lim_.slayd51.jpg2.lim_.slayd52.jpg
Катенёв Валентин Львович аватар
Не на сайте
Был на сайте: 7 лет 2 месяцев назад
Зарегистрирован: 22.03.2008 - 22:15
Публикации: 54876

Продолжение.

Приложения: 
11.berkita.slayd13.jpg
Катенёв Валентин Львович аватар
Не на сайте
Был на сайте: 7 лет 2 месяцев назад
Зарегистрирован: 22.03.2008 - 22:15
Публикации: 54876

Case submitted by S. El Haddad, M.D., R. Dafiri, M.D., M. Chellaoui, M.D., Pediatric Teaching Hospital, Rabat, Morocco.

Приложения: 
11..limfoma_berkitta.jpg12..limfoma_berkitta..jpg13._limfoma_berkitta.jpg
Катенёв Валентин Львович аватар
Не на сайте
Был на сайте: 7 лет 2 месяцев назад
Зарегистрирован: 22.03.2008 - 22:15
Публикации: 54876

Продолжение.

 

Приложения: 
1.ber_.slayd1_.jpg2.ber_.slayd2_.jpg
Катенёв Валентин Львович аватар
Не на сайте
Был на сайте: 7 лет 2 месяцев назад
Зарегистрирован: 22.03.2008 - 22:15
Публикации: 54876

Продолжение.

Приложения: 
1.lim_.slayd15.jpg2.lim_.slayd16.jpg
Evgeniy Kushchevoy аватар
Не на сайте
Был на сайте: 12 лет 2 месяцев назад
Зарегистрирован: 15.12.2013 - 19:37
Публикации: 2

Врача звали Denis Parsons Burkitt (1911-1993). А то, что лечение этой лимфомы такое же, как и других неходжкинских лимфом - типичное и драматическое заблуждение многих онкологов и гематологов. Из-за него погибло много пациентов.

Евгений Кущевой, гематолог

Катенёв Валентин Львович аватар
Не на сайте
Был на сайте: 7 лет 2 месяцев назад
Зарегистрирован: 22.03.2008 - 22:15
Публикации: 54876

Спасибо за дополнение.

алкс аватар
Не на сайте
Был на сайте: 10 лет 2 месяцев назад
Зарегистрирован: 24.10.2012 - 22:55
Публикации: 2915

Evgeniy Kushchevoy wrote:

Врача звали Denis Parsons Burkitt (1911-1993). А то, что лечение этой лимфомы такое же, как и других неходжкинских лимфом - типичное и драматическое заблуждение многих онкологов и гематологов. Из-за него погибло много пациентов.

Евгений Кущевой, гематолог

И сегодня заблуждение цветет и пахнет! Кстати среди гематологов! 

Катенёв Валентин Львович аватар
Не на сайте
Был на сайте: 7 лет 2 месяцев назад
Зарегистрирован: 22.03.2008 - 22:15
Публикации: 54876

Наблюдение Tatarin

Пролимфоцитарная лимфосаркома высокой степени злокачественноститипа Беркитта.

 

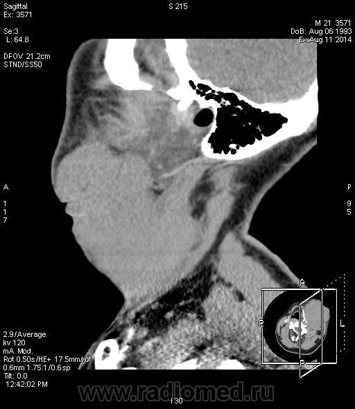
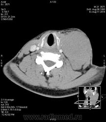
Еще одна печальная история. "Ужас" нашего городка. (как в передаче Городок) Парень 21 г. Со слов матери в мае '14 года на шее слева образовалась небольшая "шишечка", в поликлинике посмотрели и отправили к хирургу в стационар. С 15.05 по 27.05 находился в  отделении гнойной хирургии с Ds: Острый гнойный шейный лимфаденит слева. В общем хирурги решили удалить лимфоузел, удалили да не весь, гистологи написали что не могут оценить структуру. Удалили да удалили, ах да еще физио назначили, магнитные поля для улучшения микроциркуляции, все дела, только как сказала мать пациента "шишечка" стала "расти как на дрожжах". В итоге пациента выписывают, со словами "мы ничего не можем сделать", сказав матери " мы лечили гнойный лимфаденит, но это не он." crying Оторвать бы им руки... Обратились к знакомому онкологу, взяли биопсию.

Вот такая стремительная динамика...15.05 "шишечка", а дальше-больше, особенно после "лечения" и физиотерапии.

УЗИ. 8.06.14

КТ 11.06.14

КТ  11.08.14 (через 2 месяца) после двух курсов ПХТ, перед третьим...растет...

Гистология.

ИГХ.

Катенёв Валентин Львович аватар
Не на сайте
Был на сайте: 7 лет 2 месяцев назад
Зарегистрирован: 22.03.2008 - 22:15
Публикации: 54876

Продолжение

 

Приложения: 
slayd2mm.jpgslayd3mm.jpgslayd4mm.jpgslayd5mm.jpg