ЛОР. Гранулематоз Вегенера. Кисты. Патология носовой перегородки. Ринолиты. Пломбировочный материал. +

Гранулематоз Вегенера

Мария П. Валенсии, Маурисио Кастильо

Кисты.

Патология носовой перегородки.

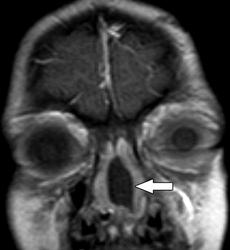
Абсцесс носовой перегородки.

 Носовой перегородки грибковый абсцесс у новорожденного с иммунодефицитом.

Катенёв Валентин Львович аватар
Не на сайте
Был на сайте: 7 лет 3 месяцев назад
Зарегистрирован: 22.03.2008 - 22:15
Публикации: 54876

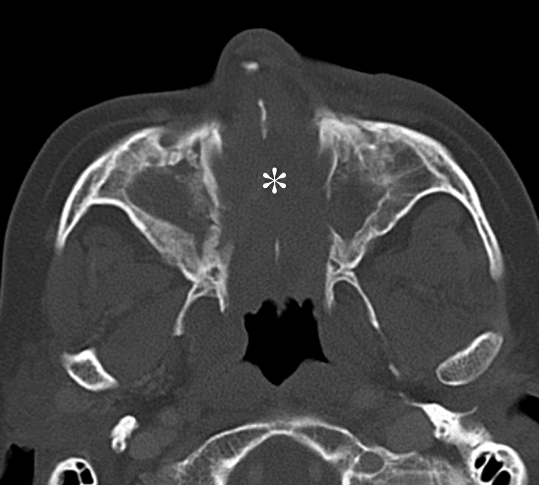
Ринолит.

Приложения: 
11.r.slayd51.jpg12.r.slayd52.jpg1.rin_.slayd24.jpg2.rin_.slayd25.jpg3.rin_.slayd26.jpg
Катенёв Валентин Львович аватар
Не на сайте
Был на сайте: 7 лет 3 месяцев назад
Зарегистрирован: 22.03.2008 - 22:15
Публикации: 54876

Пломбировочный материал.

Приложения: 
1.g.slayd7_.jpg2.g.slayd8_.jpg3.g.slayd10.jpg4.g.slayd11.jpg