Аневризмы (кроме аневризм аорты). Пнд, 14/11/2011 - 20:06 #1 Катенёв Валенти... Не на сайте Был на сайте: 7 лет 5 месяцев назад Зарегистрирован: 22.03.2008 - 22:15 Публикации: 54876 .Приложения: Ср, 07/12/2011 - 22:56 #2 Катенёв Валенти... Не на сайте Был на сайте: 7 лет 5 месяцев назад Зарегистрирован: 22.03.2008 - 22:15 Публикации: 54876 .Приложения: Вс, 03/06/2012 - 23:33 #3 Катенёв Валенти... Не на сайте Был на сайте: 7 лет 5 месяцев назад Зарегистрирован: 22.03.2008 - 22:15 Публикации: 54876 Аневризма легочной артерии. Приложения: Ср, 27/06/2012 - 17:00 #4 Катенёв Валенти... Не на сайте Был на сайте: 7 лет 5 месяцев назад Зарегистрирован: 22.03.2008 - 22:15 Публикации: 54876 Продолжение.Приложения: Пнд, 10/09/2012 - 21:18 #5 Катенёв Валенти... Не на сайте Был на сайте: 7 лет 5 месяцев назад Зарегистрирован: 22.03.2008 - 22:15 Публикации: 54876 Мальчик 9-ти летПриложения: Втр, 02/10/2012 - 23:18 #6 Катенёв Валенти... Не на сайте Был на сайте: 7 лет 5 месяцев назад Зарегистрирован: 22.03.2008 - 22:15 Публикации: 54876 Посттравматическая аневризма подключичной артерииПриложения: Сб, 23/03/2013 - 19:06 #7 Катенёв Валенти... Не на сайте Был на сайте: 7 лет 5 месяцев назад Зарегистрирован: 22.03.2008 - 22:15 Публикации: 54876 Аневризма левого желудочка http://radiopaedia.org/images/3053371 http://radiopaedia.org/images/3053364 http://radiopaedia.org/images/3053357 Случаи и цифры Дело 1 Случай 2 Случай 3 Случай 4 Случай 5 Случай 6 Случай 7 Случай 8: с соответствующим тромбом Случай 9: массивная аневризма ЛЖ Дифференциальная диагностика изображения Псевдоаневризм левого желудочка Вс, 25/08/2013 - 17:39 #8 Катенёв Валенти... Не на сайте Был на сайте: 7 лет 5 месяцев назад Зарегистрирован: 22.03.2008 - 22:15 Публикации: 54876 Аневризмы желудочков ID: 13836 Left ventricular aneurysm Dr Paresh K Desai - 23 May 2011 Portable Chest Radiograph taken in ICU reveals a bulge at the cardiac apex. ID: 22186 Left ventricular aneurysm Dr Mahomed A. Osman - 18 Mar 2013 Related Articles Left ventricular aneurysm Left ventricular pseudoaneurysm ID: 10899 Left ventricular aneurysm Dr Paul Smith - 30 Sep 2010 Calcified opacity projected over the left heart border is demonstr... Втр, 23/09/2014 - 09:05 #9 Катенёв Валенти... Не на сайте Был на сайте: 7 лет 5 месяцев назад Зарегистрирован: 22.03.2008 - 22:15 Публикации: 54876 Автор: Бодров Юрий Дмитриевич Втр, 24/07/2018 - 21:35 #10 Катенёв Валенти... Не на сайте Был на сайте: 7 лет 5 месяцев назад Зарегистрирован: 22.03.2008 - 22:15 Публикации: 54876 Продолжение. Приложения:
.
.
Аневризма легочной артерии.
Продолжение.
Мальчик 9-ти лет
Посттравматическая аневризма подключичной артерии
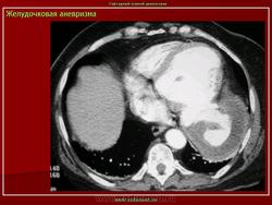
Аневризма левого желудочка
http://radiopaedia.org/images/3053371
http://radiopaedia.org/images/3053364
http://radiopaedia.org/images/3053357
Случаи и цифры
Дифференциальная диагностика изображения
Аневризмы желудочков
ID: 13836 Left ventricular aneurysm Dr Paresh K Desai - 23 May 2011 Portable Chest Radiograph taken in ICU reveals a bulge at the cardiac apex.
ID: 22186 Left ventricular aneurysm Dr Mahomed A. Osman - 18 Mar 2013 Related Articles Left ventricular aneurysm Left ventricular pseudoaneurysm
ID: 10899 Left ventricular aneurysm Dr Paul Smith - 30 Sep 2010 Calcified opacity projected over the left heart border is demonstr...
Автор: Бодров Юрий Дмитриевич
Продолжение.