Врожденная доброкачественная сосудистая опухоль, которая состоит из расширенных сосудов, окруженных лимфатической тканью.
В большинстве случаев ограничивается конъюнктивой. Лимфангиомы орбиты прогрессивно увеличиваются в размерах, не склонны к спонтанной инволюции. В отличие от капиллярных гемангиом, которые часто подвергаются обратному развитию. Составляют менее 5% опухолей глазницы у детей. Могут сочетаться с лимфангиомами других локализаций. В норме в глазнице лимфатическая ткань не определяется.
Клиника
Типичное проявление: интермитирующий проптоз. Другие симптомы включают диплопию, птоз, ограничение объема движения глазных яблок, симптомы компрессии зрительного нерва и периорбитальные экхимозы. Может сочетаться с другими образованиями лица или век, а также лимфангиоматозными кистами слизистой ротовой полости.
При спонтанных кровоизлияниях в образование иногда наблюдается острый проптоз. Обычно выявляются в течение первого десятилетия жизни.
Размер образования может увеличиваться и уменьшаться, особенно инфекциях верхних дыхательных путей. При острых кровоизлияниях размер лимфангиомы резко увеличивается. Как правило, образование растет до окончания пубертатного периода, однако функция зрительного нерва обычно не страдает пока опухоль не достигает больших размеров
Лучевая диагностика
Наиболее типичная черта: выявление уровней жидкости в образовании, за счет спонтанных кровотечений.
КТ-семиотика
Экстраорбитальное (но может быть рапсоалагаться как в канале, так вне его), мультикистозное, мультифокальное объемное образование с неправильным контуром.
Гиперденсное, по плотности сопоставимо с мышечной тканью, негомогенной структуры образование, пересекает анатомические границы. Стенка лимфангиомы вариабельно накапливает КВ. Тип краевого накопления КВ иногда позволяет установить умеренное ремоделирование прилежащей кости. В структуре образования иногда определяются небольшие кальцинаты или флеболиты.
Классификация
Лимфангиомы классифицируются по диаметру диспластических сосудов:
– простые (капиллярные) – состоят из измененных лимфатических капилляров;
– кавернозные – состоят из расширенных лимфатических сосудов;
– кистозные – содержат макроскопические кисты различного размера.
Иногда лимфангиомы классифицируют в зависимости от их локализации на: поверхностные, глубокие и комбинированные.
"Предоставляя весь смысл и совершенство в распоряжение одного только Бога, вы избавляете себя от бездны хлопот." Джон Уитборн.
Объемное образование орбиты, состоящее из расширенных сосудов. Наиболее часто встречающееся объемное образование орбиты у взрослых
Клиника
Типичное проявление: безболезненный проптоз. Другие симптомы: диплопия, ухудшение зрения. Повышение внутриглазного давления.
При исследовании глазного дна выявляются стрии сетчатки. Возраст пациентов от 10 до 60 лет
Растет медленно, прогрессивно увеличивается в размерах.
В отличие от капиллярных гемангиом, которые склонны к спонтанному регрессу. В некоторых случаях сдавливает структуры орбиты и приводит к ремоделированию кости. В период беременности растет быстрее
Лучевая диагностика
Наиболее характерный признак: объемное образование, расположенное в конусе орбиты, которое интенсивно накапливает КВ. В 80% случаев локализуется интраконально (в других случаях может иметь экстракональную, внутримышечную и внутрикостную локализацию). Ограничено псевдокапсулой, состоящей из компренированных прилежащих структур.
КТ-семиотика
Гомогенное, несколько гиперденсное образование. Гиперденсность обусловлена наличием микрокальцинатов. Грубые точечные обызвествления встречаются редко. Достигая крупных размеров, образование может вызывать доброкачественное ремоделирование глазницы.
*-*-*-*
Дифференциальная диагностика кавернозной гемангиомы и шванномы:
Доброкачественная опухоль орбиты, состоящая из эндотелиоцитов. Выявляется у детей до 3 лет. В большинстве случаев спонтанно подвергается обратному развитию. Эффективной является терапия кортикостероидами
Клиника
Типичное проявление: багровый оттенок кожи над гемангиомой. Выявляется в 80% случаев; при надавливании бледнеет. Снижение остроты зрения (отмечается родителями). Объемное образование может локализоваться в любой части орбиты. При вовлечении в процесс века определяется проптоз. Ретросептальный проптоз, в частности при экстракональной локализации гемангиомы.
В 50% случаев объем образования увеличивается, когда ребенок плачет. Девочки болеют в 3 раза чаще, чем мальчики.
Сразу при рождении проявляется в 30% случаев; в 100% – в течение первого полугода жизни. Кавернозные мальформации и лимфангиомы проявляются сразу после рождения ребенка и постепенно растут в течение жизни. Характерен быстрый рост образования в первые 6-18 месяцев жизни. В 50% случаев гемангиомы подвергаются спонтанному регрессу к 5 годам, в 70% случаев – к 7 годам.
Лучевая диагностика
Наиболее типичная черта: нечетко очерченное объемное образование, которое гомогенно накапливает КВ. Наиболее часто локализуется в верхнемедиальном отделе глазницы. Может распространяться на веки и брови. Иногда распространяется в канал и может достигать верхнюю глазничную щель.
КТ-семиотика
Нечетко очерченное объемное образование, которое интенсивно накапливает КВ. Может располагаться в любой части орбиты, а также иметь множественную локализацию.
"Пороки кровотока".
Из лекции Е.П.Бурлаченко:
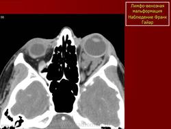
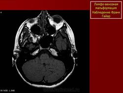
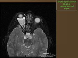
Лимфангиома орбиты (син.: сосудистая гамартома, венолимфатическая мальформация)
Врожденная доброкачественная сосудистая опухоль, которая состоит из расширенных сосудов, окруженных лимфатической тканью.
В большинстве случаев ограничивается конъюнктивой. Лимфангиомы орбиты прогрессивно увеличиваются в размерах, не склонны к спонтанной инволюции. В отличие от капиллярных гемангиом, которые часто подвергаются обратному развитию. Составляют менее 5% опухолей глазницы у детей. Могут сочетаться с лимфангиомами других локализаций. В норме в глазнице лимфатическая ткань не определяется.
Клиника
Типичное проявление: интермитирующий проптоз. Другие симптомы включают диплопию, птоз, ограничение объема движения глазных яблок, симптомы компрессии зрительного нерва и периорбитальные экхимозы. Может сочетаться с другими образованиями лица или век, а также лимфангиоматозными кистами слизистой ротовой полости.
При спонтанных кровоизлияниях в образование иногда наблюдается острый проптоз. Обычно выявляются в течение первого десятилетия жизни.
Размер образования может увеличиваться и уменьшаться, особенно инфекциях верхних дыхательных путей. При острых кровоизлияниях размер лимфангиомы резко увеличивается. Как правило, образование растет до окончания пубертатного периода, однако функция зрительного нерва обычно не страдает пока опухоль не достигает больших размеров
Лучевая диагностика
Наиболее типичная черта: выявление уровней жидкости в образовании, за счет спонтанных кровотечений.
КТ-семиотика
Экстраорбитальное (но может быть рапсоалагаться как в канале, так вне его), мультикистозное, мультифокальное объемное образование с неправильным контуром.
Гиперденсное, по плотности сопоставимо с мышечной тканью, негомогенной структуры образование, пересекает анатомические границы. Стенка лимфангиомы вариабельно накапливает КВ. Тип краевого накопления КВ иногда позволяет установить умеренное ремоделирование прилежащей кости. В структуре образования иногда определяются небольшие кальцинаты или флеболиты.
Классификация
Лимфангиомы классифицируются по диаметру диспластических сосудов:
– простые (капиллярные) – состоят из измененных лимфатических капилляров;
– кавернозные – состоят из расширенных лимфатических сосудов;
– кистозные – содержат макроскопические кисты различного размера.
Иногда лимфангиомы классифицируют в зависимости от их локализации на: поверхностные, глубокие и комбинированные.
"Предоставляя весь смысл и совершенство в распоряжение одного только Бога, вы избавляете себя от бездны хлопот." Джон Уитборн.
Из лекции Е.П.Бурлаченко:
Кавернозная гемангиома орбиты (син.: кавернозная мальформация орбиты)
Объемное образование орбиты, состоящее из расширенных сосудов. Наиболее часто встречающееся объемное образование орбиты у взрослых
Клиника
Типичное проявление: безболезненный проптоз. Другие симптомы: диплопия, ухудшение зрения. Повышение внутриглазного давления.
При исследовании глазного дна выявляются стрии сетчатки. Возраст пациентов от 10 до 60 лет
Растет медленно, прогрессивно увеличивается в размерах.
В отличие от капиллярных гемангиом, которые склонны к спонтанному регрессу. В некоторых случаях сдавливает структуры орбиты и приводит к ремоделированию кости. В период беременности растет быстрее
Лучевая диагностика
Наиболее характерный признак: объемное образование, расположенное в конусе орбиты, которое интенсивно накапливает КВ. В 80% случаев локализуется интраконально (в других случаях может иметь экстракональную, внутримышечную и внутрикостную локализацию). Ограничено псевдокапсулой, состоящей из компренированных прилежащих структур.
КТ-семиотика
Гомогенное, несколько гиперденсное образование. Гиперденсность обусловлена наличием микрокальцинатов. Грубые точечные обызвествления встречаются редко. Достигая крупных размеров, образование может вызывать доброкачественное ремоделирование глазницы.
*-*-*-*
Дифференциальная диагностика кавернозной гемангиомы и шванномы:
http://www.ajronline.org/content/183/6/1799.full&usg=ALkJrhgJWKCf1DE5iDQ9GBEZXUGZKLLfcA
*-*-*-*
http://radiopaedia.org/articles/orbital-cavernous-haemangioma
Случаи и цифры
Дифференциальная диагностика изображения
"Предоставляя весь смысл и совершенство в распоряжение одного только Бога, вы избавляете себя от бездны хлопот." Джон Уитборн.
Из лекции Е.П.Бурлаченко:
Капиллярная гемангиома орбиты (син.: доброкачественная гемангиоэндотелиома; инфантильная периокулярная гемангиома; врожденная или ювенильная гемангиома)
Доброкачественная опухоль орбиты, состоящая из эндотелиоцитов. Выявляется у детей до 3 лет. В большинстве случаев спонтанно подвергается обратному развитию. Эффективной является терапия кортикостероидами
Клиника
Типичное проявление: багровый оттенок кожи над гемангиомой. Выявляется в 80% случаев; при надавливании бледнеет. Снижение остроты зрения (отмечается родителями). Объемное образование может локализоваться в любой части орбиты. При вовлечении в процесс века определяется проптоз. Ретросептальный проптоз, в частности при экстракональной локализации гемангиомы.
В 50% случаев объем образования увеличивается, когда ребенок плачет. Девочки болеют в 3 раза чаще, чем мальчики.
Сразу при рождении проявляется в 30% случаев; в 100% – в течение первого полугода жизни. Кавернозные мальформации и лимфангиомы проявляются сразу после рождения ребенка и постепенно растут в течение жизни. Характерен быстрый рост образования в первые 6-18 месяцев жизни. В 50% случаев гемангиомы подвергаются спонтанному регрессу к 5 годам, в 70% случаев – к 7 годам.
Лучевая диагностика
Наиболее типичная черта: нечетко очерченное объемное образование, которое гомогенно накапливает КВ. Наиболее часто локализуется в верхнемедиальном отделе глазницы. Может распространяться на веки и брови. Иногда распространяется в канал и может достигать верхнюю глазничную щель.
КТ-семиотика
Нечетко очерченное объемное образование, которое интенсивно накапливает КВ. Может располагаться в любой части орбиты, а также иметь множественную локализацию.
*-*-*-*
http://radiopaedia.org/articles/capillary-haemangioma-of-the-orbit
Случаи и цифры
Дифференциальная диагностика изображения
"Предоставляя весь смысл и совершенство в распоряжение одного только Бога, вы избавляете себя от бездны хлопот." Джон Уитборн.
Мальформации глаза и орбиты
https://radiologykey.com/malformations-of-the-eye-and-orbit/