Мы долго обсуждали классификации стадий артрозов, так давайте применим их на практике, начнем с нормы или пограничных состояний. Предлагаю первый случай, жалобы на боль в области сустава, на ренгенограммах пояснично-крестцового отдела п-ка спондилартроз.
Моя версия описания ниже.
Форма, структура костей, контуры суставных поверхностей, соотношения в суставе в пределах нормы.
Оппонентов прошу высказываться.
Готов поддержать, но у себя в кабинете всегда делаю снимки обоих суставов. Это же касается и коленных.
Андрей Юрьевич
Андрей Юрьевич, коленки и две можно снять, но с тазобедренными я бы был сдержанее по известным причинам
Зри в корень!
И, тем не менее, Владимир Борисович, делаю всем. А чего опасаться? Возможность индуцированого онкологического заболевания в этом возрасте весьма сомнительна, а уж забота о здоровом потомстве..... Но и это (снимок другого сустава) не дает полной ясности.
На данном снимке рентгенологических признаков артроза я не вижу: считаю, что суставная щель не сужена, а субхондральный остеосклероз в крыше вертлужной впадины носит естественный характер, тем более, что периартикуллярных остеофитов нет. Мое бы заключение звучало так: Умеренно выраженные дегенеративно-дистрофические изменения, соотвествующие возрасту пациента. В ряде случаев, чтобы пролить бальзам на пациентскую душу, добавляю: Явления тендиноза (остеофиты у края большого вертела).
Добавлю, пациентам с периартикулярными остеофитами, бывает пишу артроз 1 (первой) ст.; зря что ли они в поликлинику ходили
.
П.С. Года 3-4 тому назад была у меня пациентка, чуть старше 50, с выраженным коксартрозом. На снимках, которые она делала в дебюте заболевания, я бы артроз не поставил. Ей так и не поставили, а через 3 года она уже шла на эндопротезирование. С тех пор у меня еще меньше уверенности в рентгенпроявлениях артроза 1 ст. Как тут не вспомнить д-ра Марио с его МРТ.
Андрей Юрьевич
Андрей Юрьевич, почти во всем согласен но здесь "пациентам с периартикулярными остеофитами, бывает пишу артроз 1 (первой) ст" надо быть более принципиальным. Мы конечно не можем исключить артроз при 1 ст., но и подтверждать его не стоит без соответствующих рентгенологических подтврждений. К протоколу можно прицепить "довесок": "Учитывая жалобы ..., ограничение движений, хруст в суставе..., нельзя исключить артроз 1 ст", ведь никто нас не осудит за сбор анамнеза и осмотр пациента
Далее порекомендовать УЗД/КТ/МРТ, но это если есть клиническая, экспертная необходимость.
Зри в корень!
Среди жалоб, особо выделил бы нарастание интенсивности болей при продолжительной/относительно продолжительной ходьбе, тем более в сочетании с безболевым ночным/утренним периодом. Но мне такие снимки приходится описывать в рамках совместительства, кучей, и без беседы с пациентом
.
Андрей Юрьевич
Существует несколько патологий т/бедренного сустава; которые имеют наглядные, выраженные клинические проявления, но не имеют никаких признаков на стандартных рентгенограммах; во всяком случае на ранних стадиях. К таким состояния относятся transitional osteoporosis of the hip (по русски кажется это называется альгодистрофия; асептический некроз головки бедренной кости взрослых (ранняя стадия) на фоне приёма стероидов или идиопатический и диффузные поражения костного мозга (diffuse marrow infiltration disorders).
Наиболее часто в последнее время стали сталкиваться с транзиторным остеопорозом; при котором пациенты жалуются на сильные выраженные боли в суставе, а все классические стандартные исследования без-результатны. Остеопения различной степени выраженности можно увидеть только через определённое время от начала заболевания. То же самое можно сказать и о ранних стадиях асептического некроза. Мы с травматологами, всегда стараемся убедить пациентов с выраженной клиникой и отрицательными рентгенологическими данными; выполнить МРТ сустава; как правило (за очень редким исключением) всегда получаем диагноз и возможность помочь пациенту на раннем этапе.
Пример transitional osteoporosis of the hip:
Рентген находки не убедительны.
МРТ сустава выявило выраженных отёк в шейке и головке бедренной кости:
Let me see...
radiographia.ru
Mario, show the mormal MRI-picture for comparison
Зри в корень!
А где же please
?
Андрей Юрьевич
Please!
Зри в корень!
я бы написал следущее (мой шаблон
):
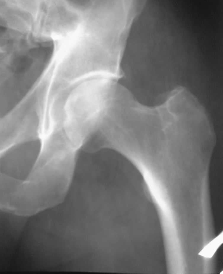
суставная щель клиновидно-деформирована кнутри, суставные поверхности четкие неровные: головка центрирована во впадине, перекрыта на 3/4, центрально-краевой угол Виберга уменьшен; структура головки гомогенна. ШДУ в пределах анатомической N. Бедро в положении приведения. Крыша впадины диспластична, уплощена, угол Шарпа увеличен; субхондральный слой уплотнен. Закл.: диспластический коксартроз II ст.
ps судя по всему пациент немолод, учитывая наличие оссифицирующего тендиноза верхушки б/вертела.
Слева отмечается повышение сигнала от костного мозга; справа костный мозг гипоинтенсивен (норма при использовании посследовательней с подавлением сигнала от жира)
Let me see...
radiographia.ru
Подумать только, никогда бы не написал по этой картине коксартроз II ст. Вот почему необходим второй сустав. А если изменения в другом суставе были бы аналогичными, но без болей? Тоже коксартроз II ст.? Кстати, в советские времена, это обоснование для II группы инвалидности...
Борис Юрьевич, если есть возможность, разместите, пожалуйста, снимок т/б сустава с неизмененным, на Ваш взгляд, просветом суставной щели в этом возрасте. Так сказать, с возрастной нормой. Или они до Вас не доходят?
Андрей Юрьевич
а что в данной ситуации болевой синдром является основополагающим для рентгенолога? сильно сомневаюсь... мое дело оценить рентгенологическую картину... нередко приходиться сталкиваться с ситуацией, когда есть выраженная клиника, но практически отсутствуют рентгенологические изменения... По поводу инвалидности, не стоит обольщаться, сейчас больным, перенесшим с обеих сторн ТЭП т/б сустава, через год дают всего лишь 3 группу...
А вы рентгенологические изменения при I стадии видите? лично я нет, первая стади вообще рентгенологически не определяется...
Серов В.Б.:
"Предлагаю первый случай, жалобы на боль в области сустава, на ренгенограммах пояснично-крестцового отдела п-ка спондилартроз".
Эта цитата Владимира Борисовича - по поводу болей.
Если Вы обиделись, то зря. Я спросил, только из желания расширить кругозор.
"..нередко приходиться сталкиваться с ситуацией, когда есть выраженная клиника, но практически отсутствуют рентгенологические изменения.." Аналогично. Но с обратной ситуацией (сужение щели есть, болей нет) не сталкивался.
По-поводу "2 гр. инвалидности", я и написал про советские времена, т.е. когда (и, в основном, для чего) эта классификация и создавалась (а с 3 ст. давали 1 гр.).
Просьба о возрастной норме по-прежнему актуальна.
Удачи.
Андрей Юрьевич
"Эта цитата Владимира Борисовича - по поводу болей."
Зри в корень!
Клинических данных не знаю. Лечится по поводу ИБС. Т.б. сустав, мое закл. - норма. Коленный: варусная деформация сустава, подвывих голени кнаружи, значительное сужение суставной щели, более в медиальной половине, губовидная деформация медиальных краев суст. поверхностейтей мыщелков бедра и б. берц. кости, субхонральный склероз (?) медиального мыщелка б. берц. кости, заострение межмыщелковых возвышений. Артроз, по Косинской - 2, Келлгрен - 3.
Зри в корень!
признаков артроза нет; сочетание остеофита по верхне-наружнему краю большого вертела с краевыми зонами склероза и пороза по внутреннему контуру большого вертела с несовсем четкими контурами при наличии клиники иногда может заставить подыграть клиницистам и поставить нерентгенологический д-з "Трохантерит", который хорошо лечится и вызывает нескрываемую и заметную благодарность пациентов (когда пишешь артроз - даже спасибо не говорят...)
Однако, я долго молчал. Уже и Alek народился.
Впадины тазобедренных суставов от 19/05/2009 и 21/05/2009 – диспластичны (для сравнения впадина тазобедренного сустава от Dr.Mario – нормальна). Субхондральный склероз в обл. крыши вертлужной впадины может быть и не очень... , но главное – суставная щель. Если она < 4мм (а во втором случае это видимо так, плюс обызвествление хрящевой губы) – ставим диспластический коксартроз I ст. по Косинской. Во втором случае ШДУ увеличен или на верхней границе нормы, а coxa valga влечёт genu varum с несомненным уже в данном случае гонартрозом II ст. по Косинской.
пожалуй это полезно в пограничных случаях, как первый (19/05/2009)
Андрей Юрьевич <<у себя в кабинете всегда делаю снимки обоих суставов>>
Неоднозначно всё
Что-то сегодня снимок не очень получился, но + аксиалка. Жалобы на появление боли в прав т.б. суставе без видимых причин, остро, диагноз при поступлении "Острый артрозо-артрит". Написал сужение суст. щели (?). Закл.: артроз 1? Рек-но МРТ. Мучают сомнения, действительно ли сужена суст щель (при измерении не менее 3 мм)?
Зри в корень!
"Ну, вы, блин, даете" (с) Издеваетесь, Владимир Борисович?! Выраженное сужение+субхондральный остеосклероз вертлужной впадины+периартикуллярное костеобразование; ситуацию спасает пока еще сохранная головка бедр. кости. Однозначно 2-я стадия, без вопросов
Андрей Юрьевич
Коллега Алек, Вы уж не пишите больше "трохантерит" с такой рентгенологической картиной. Пациенты, может, и отблагодарят, да коллеги засмеют. Трохантерит - это нечто иное, к тому же вполне рентгеногическое.
Андрей Юрьевич
"Выраженное сужение" Не соглашусь. "субхондральный остеосклероз вертлужной впадины" Если, Андрей Юрьевич, вы о прямом снимке, так это дефект пересъемки с негатоскопа ("заплывание" светлых частей снимка). Убейте, периартикулярного костеобразования не нашел
Не, больше Косинской-1 не дам. 2-я только по Келлгрену и то с натяжкой.
Зри в корень!
В.Б. Серов << Мучают сомнения, действительно ли сужена суст щель (при измерении не менее 3 мм)? >> В норме рентгеновская суставная щель тазобедренного сустава взрослого мужчины = 6мм. А 3мм – это 50% I-II стадия (на границе), + хорошо выраженное обызвествление губовидного хряща, что ещё нужно? Классический ДОА.
Неоднозначно всё
Воля ваша, Владимир Борисович. Что ж мне, Вас переучивать, что ли? И не с руки, и не по чину. А свой вывод я сделал, именно по Вашему прекрасному аксиальному снимку. Прямой, и впрямь, не совсем удачный. А пишу я всегда по ранее утвержденной Косинской, без этих зарубежных штучек (кстати, Марио тоже пишет по классификациям своих американских, а не еропейских, ассоциаций).
Андрей Юрьевич
В.Б. Серов << Если, Андрей Юрьевич, вы о прямом снимке, так это дефект пересъемки с негатоскопа ("заплывание" светлых частей снимка) >> Это результат пересъёмки одной экспозицией Nokia одномоментно двух рентгенограмм с разной плотностью. На первую надо было экспозицию в 2,5 раза меньше.
Неоднозначно всё
"Что ж мне, Вас переучивать, что ли?" Еще говорят: "Свои мозги не вставишь."
Зри в корень!