ГМ. Медуллобластома. +

Медуллобластома.

Катенёв Валентин Львович аватар
Не на сайте
Был на сайте: 7 лет 5 месяцев назад
Зарегистрирован: 22.03.2008 - 22:15
Публикации: 54876

Продолжение.

Приложения: 
1.m.slayd107.jpg2.m.slayd108.jpg3.m.slayd109.jpg4.m.slayd110.jpg5.m.slayd111.jpg6.m.slayd112.jpg7.m.slayd113.jpg8.m.slayd114.jpg9.m.slayd115.jpg10.m.slayd116.jpg11.m.slayd117.jpg12.m.slayd118.jpg
Катенёв Валентин Львович аватар
Не на сайте
Был на сайте: 7 лет 5 месяцев назад
Зарегистрирован: 22.03.2008 - 22:15
Публикации: 54876

Продолжение.

Приложения: 
1.m.slayd119.jpg2.m.slayd120.jpg3.m.slayd121.jpg4.m.slayd122.jpg5.m.slayd123.jpg6.m.slayd124.jpg7.m.slayd125.jpg8.m.slayd126.jpg9.m.slayd127.jpg
Катенёв Валентин Львович аватар
Не на сайте
Был на сайте: 7 лет 5 месяцев назад
Зарегистрирован: 22.03.2008 - 22:15
Публикации: 54876

Продолжение.

Приложения: 
1.m.slayd128.jpg2.m.slayd129.jpg3.m.slayd130.jpg4.m.slayd131.jpg5.m.slayd132.jpg
Катенёв Валентин Львович аватар
Не на сайте
Был на сайте: 7 лет 5 месяцев назад
Зарегистрирован: 22.03.2008 - 22:15
Публикации: 54876

Продолжение.

Приложения: 
41.med_.slayd282.jpg2.med_.slayd283.jpg3.med_.slayd284.jpg4.med_.slayd285.jpg
Катенёв Валентин Львович аватар
Не на сайте
Был на сайте: 7 лет 5 месяцев назад
Зарегистрирован: 22.03.2008 - 22:15
Публикации: 54876

Продолжение.

Приложения: 
1.mm_.slayd136.jpg2.mm_.slayd137.jpg3.mm_.slayd138.jpg4.mm_.slayd139.jpg5.mm_.slayd140.jpg6.mm_.slayd141.jpg7.mm_.slayd142.jpg8.mm_.slayd143.jpg9.mm_.slayd144.jpg
Катенёв Валентин Львович аватар
Не на сайте
Был на сайте: 7 лет 5 месяцев назад
Зарегистрирован: 22.03.2008 - 22:15
Публикации: 54876

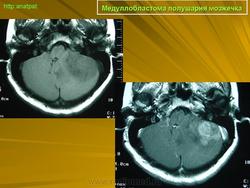
Медуллобластома - это опухоль, которая возникает из примитивных и эмбриональных клеток ЦНС. Локализируется исключительно в мозжечке и представляет 15-20% от детских опухолей мозга. 20% медуллобластом появляется в зрелом возрасте.
Это быстро растущая опухоль, очень злокачественна, имеющая тенденцию распространяться вдоль путей движения ликвора.
Вследствие локализации в мозжечке, обструкция путей циркуляции ликвора является достаточно частой и ранней, с последующей гидроцефалией. Синдром повышенного внутричерепного давления наряду с расстройствами равновесия, являются наиболее частыми и ранними признаками и симптомами.

Хирургическое лечение состоит в «радикальном» удалении опухоли, с последующей лучевой и химиотерапией, на которые медуллобластома часто очень чувствительна.

 Результаты, с применением методов лучевой терапии и самыми современными схемами химиотерапии, достаточно хорошие. В настоящее время существуют больные прожившие уже более 10 лет после первой операции.

Приложения: 
fig5-21-1.jpg
Катенёв Валентин Львович аватар
Не на сайте
Был на сайте: 7 лет 5 месяцев назад
Зарегистрирован: 22.03.2008 - 22:15
Публикации: 54876

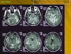
Медуллобластома.

Приложения: 
1.med_..slayd130.jpg2.med_..slayd131.jpg3.med_..slayd132.jpg
Катенёв Валентин Львович аватар
Не на сайте
Был на сайте: 7 лет 5 месяцев назад
Зарегистрирован: 22.03.2008 - 22:15
Публикации: 54876

Медуллобластома.

Приложения: 
1._med.slayd95.jpg2.med_.slayd96.jpg
Катенёв Валентин Львович аватар
Не на сайте
Был на сайте: 7 лет 5 месяцев назад
Зарегистрирован: 22.03.2008 - 22:15
Публикации: 54876

Медуллобластома.

Приложения: 
23.o.slayd22.jpg24.o.slayd23.jpg25.o.slayd24.jpg26.o.slayd25.jpg27.o.slayd26.jpg28.o.slayd27.jpg29.o.slayd28.jpg30.o.slayd29.jpg31.o.slayd30.jpg
Катенёв Валентин Львович аватар
Не на сайте
Был на сайте: 7 лет 5 месяцев назад
Зарегистрирован: 22.03.2008 - 22:15
Публикации: 54876

Медуллобластома.

 

Приложения: 
1.med_.open-uri20120221-1537-1mjrkvjmedulloblastoma.jpeg
Катенёв Валентин Львович аватар
Не на сайте
Был на сайте: 7 лет 5 месяцев назад
Зарегистрирован: 22.03.2008 - 22:15
Публикации: 54876

Продолжение.

Приложения: 
1.uu_.slayd124.jpg
Катенёв Валентин Львович аватар
Не на сайте
Был на сайте: 7 лет 5 месяцев назад
Зарегистрирован: 22.03.2008 - 22:15
Публикации: 54876