ГМ. Церебральный криптококкоз. +

Церебральный криптококкоз.

Катенёв Валентин Львович аватар
Не на сайте
Был на сайте: 6 лет 11 месяцев назад
Зарегистрирован: 22.03.2008 - 22:15
Публикации: 54876

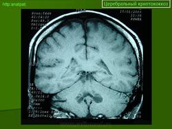
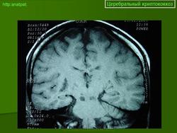
Церебральный криптококкоз.

Приложения: 
55.kriptokokkovyy_meningit..jpg
Катенёв Валентин Львович аватар
Не на сайте
Был на сайте: 6 лет 11 месяцев назад
Зарегистрирован: 22.03.2008 - 22:15
Публикации: 54876

Отдел патологии ТСМ-UNICAMP

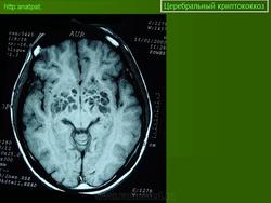
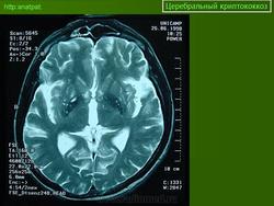
Церебральный криптококкоз у ВИЧ инфицированного

 

Приложения: 
150920-9.jpg150920-11.jpg150920-15.jpg150920-21.jpg150920-23.jpg150920-27.jpg150920-33.jpg150920-46.jpg150920-61.jpg150920-79.jpg150920-81.jpg