Эпидуральные гематомы при закрытых травмах обычно локализуются в области перелома черепа, чаще всего его свода. Трудности диагностики этого осложнения усугубляются иногда и тем, что эпидуральные гематомы нередко наблюдаются и при отсутствии переломов кости или на стороне, противоположной перелому. Различают три вида эпидуральных кровоизлияний: 1) из ветвей оболочечных артерий, чаще всего из средней артерии; 2) из вен наружной поверхности твердой мозговой оболочки и вен diploe; 3) из синусов и вен, идущих к синусам. Повреждение средней оболочечной артерии обычно возникает в области приложения травмы и значительно реже - в области противоудара. Кровотечение из ветвей этой артерии обычно нарастает на протяжении первых суток. В связи с высоким давлением в артериальной системе гематома достигает значительного объема и, отслаивая твердую мозговую оболочку от кости, обрывает вены зпидурального пространства. Симптомы сдавления мозга обычно появляются через 12-36 ч после разрыва оболочечной артерии, когда гематома достигает 4-5 см в диаметре и 2-4 -см толщины, образуя на поверхности мозга блюдцеобразное вдавление. При обширных трещинах или переломах костей может наблюдаться ранение нескольких ветвей артерии. Относительно редко встречаются эпидуральные кровоизлияния из передней и задней оболочечных артерий. Локальная симптоматика зависит от расположения наиболее массивных отделов гематомы. Различают следующую л ока лизанию эпидуральных гематом: 1) переднюю (лобновисочную); 2) наиболее часто наблюдающуюся среднюю (височно-теменную); 3) заднюю (теменно-височно-затылочную); 4) базально-височную. Наиболее характерна для эпидуральной гематомы, развившейся вследствие разрыва средней оболочечной артерии на фоне сотрясения и ушиба мозга легкой или средней степени, следующая клиническая картина: 1) светлый промежуток продолжительностью обычно 3-12 ч, после которого по мере увеличения объема гематомы и усиления реактивных изменений в мозговой ткани постепенно нарастают общемозтовые признаки сдавления мозга (заторможенность, сопорозное и, наконец, коматозное состояние); 2) очаговые симптомы в виде расширения зрачка на стороне гематомы и пирамидной симптоматики-на противоположной. Симптоматика эпидуральной гематомы зависит от сопутствующих сотрясения и ушиба мозга. В одних случаях при очень тяжелых сотрясениях и ушибах мозга с первоначальным коматозным состоянием симптомы эпидуральной гематомы отступают на задний план, в других - при сотрясениях и ушибах легкой и средней степени - они выявляются на первом плане (клиника эпидуральной гематомы). Обычно при эпидуральных гематомах, образующих глубокую вмятину в мозговой ткани и вызывающих компрессию мозга, находят 70-100 мл жидкой крови и сгустков, а количество 150 мл обычно несовместимо с жизнью. Клинические наблюдения с очевидностью указывают, что наряду с количеством излившейся в полость черепа крови главное значение имеет фактор времени--быстрота развития острых нарушений мозгового кровообращения и отека мозга, а также особенности дислокационных синдромов, степень тяжести сотрясения и ушиба мозга и возраст больного. Важнейшим симптомом гематомы является расширение зрачка на стороне поражения. Однако незначительная и колеблющаяся аяизоксрия не имеет существенного диагностического значения. Диагностическое значение имеет прогрессирующее и относительно стойкое расширение зрачка до размера в 3-4 раза большего, чем размер зрачка на противоположной стороне. Типично для нарастающей эпидуральной гематомы вначале отсутствие аниэокории, затем относительно непродолжительный период легкого сужения зрачка на стороне поражения, а. в последующих стадиях - характерное нарастающее расширение зрачка на стороне поражения почти до исчезновения радужной оболочки. Вначале зрачок удовлетворительно реагирует на авет, а затем становится неподвижным, не сужаясь при световом раздражении. В следующей стадии компрессии происходит максимальное расширение обоих зрачков; эта стадия считается уже необратимой. Большинство авторов считают, что расширение зрачка настороне поражения связано с грыжеподобным тенториальным вклинением медиальных отделов височной доли, которая оказывает непосредственное давление на глазодвигательный нерв. Нередко анизокория наблюдается при средней тяжести и тяжелой формах закрытой травмы мозга и при отсутствии массивной внутричерепной гематомы, однако резко выраженный и стойкий мидриаз всегда указывает на возможность массивной гематомы на стороне очага. При этом и этот важнейший симптом при эпидуральщой гематоме появляется приблизительно в половине случаев. Нужно отметить, что иногда расширение зрачка наблюдается и на противоположной гематоме стороне. Пирамидная симптоматика при эпидуральных гематомах выявляется часто и, как правило, на противоположной стороне, проявляясь либо признаками раздражения в виде джексоновских эпилептических припадков, либо симптомами выпадения в виде прогрессирующих парезов и параличей. Выявление стороны пареза или паралича конечностей возможно почти у всех больных независимо от степени потери сознания. Движение конечности в ответ на окрик, уколы, раздражение роговицы глаза, слизистой оболочки носа, наружного слухового прохода, положение парализованной нижней конечности с обычной ротацией кнаружи и отвисанием стопы, более быстрое падение и разгибание поднятой парализованной конечности по сравнению с конечностью на противоположной стороне наряду с другими пирамидными знаками позволяют установить сторону поражения. Наиболее характерно следующее течение заболевания. После исчезновения острых явлений сотрясения мозга с восстановлением сознания состояние больных становится относительно удовлетворительным, но по прошествии нескольких, часов или 1-И/г сут отмечается прогрессировавшие общемозговых и локальных симптомов в виде гамолатерального расширения зрачка и контрлатерального гамипареза. Иногда наблюдаются сопутствующие судороги в пораженных конечностях, нарушения чувствительности по гемитипу и пирамидные знаки. Так называемый светлый промежуток при эпидуральных гематомах обычно длится от 3 до 12 ч, но иногда достигает l.5 сут. Одним из важнейших симптомов нарастающей компрессии мозга является постепенное увеличение загруженности, развитие сопорозного и, наконец, коматозного состояния, что свидетельствует о запоздалости правильного диагноза. Очень важно следить за степенью нарушения сознания и определить показания к операции еще до того, как разовьется полная потеря сознания. В некоторых случаях удается отчетливо выявить клинику нарастающей эпидуральной гематомы без предшествующей симптоматики сотрясения мозга, и тогда распознание гематомы не представляет особых трудностей. Во многих случаях светлый промежуток уловить не удается. Причиной, затрудняющей выявление аветлого периода, могут быть очень тяжелые сотрясения и ушибы мозга, на фоне которых прогреасирования симптомов компрессии выявить не удается, либо быстрое нарастание компреасии с очень коротким светлым промежутком. Однако при тщательном неврологическом наблюдении за динамикой заболевания даже на фоне бессознательного состояния удается выявить симптоматику нарастания компреасии мозга. Обычно при эпидуральной гематоме в аветлом промежутке наблюдается следующая динамика заболевания. При хорошем состоянии и -полном сознании больного частота пульса и АД обычно в пределах нормы. При уаилении внутричерепной гипертензии нарастают сонливость и загруженность, пульс вначале урежается, иногда выявляется повышение АД. В бессознательном состоянии наблюдается брадакардия, доходящая иногда до 40 ударов в минуту с достаточным наполнением пульса!. В некоторых случаях стадию брадикардии выявить не удается. Наконец, наступает декомпенсация кровообращения, пульс становится учащенным, аритмичным и нитевидным, АД падает. В этот период появляются нарушения дыхания вначале в виде учащения, затем затруднения его, неправильного ритма, хрипящего и, наконец, поверхностного дыхания. Дыхание типа Чейна-Стоке а является плохим прогностическим признаком. Подъем температуры до 39 °С и выше при отсутствии инфекционных осложнений является симптомом декомпенсации. Рвота-частый симптом нерезкого сдавления мозга, но в стадии декомпенсации она отсутствует. Соответственно нарастанию компрессии мозга возникают двусторонние патологические рефлексы, затем арефлексия, атония, отсутствие контроля за естественными отправления. Нередко в стадии декомпенсации возникает децеребранионная ригидность, но при своевременном и успешном удалении гематомы больные выздоравливают и после грозных явлений децеребрационной ригидности. Только в 18-20% случаев наблюдается замедленное развитие эпидуральной гематомы и при этом симптоматика сдавления мозга проявляется спустя 5-6 сут и более после травмы. При отчетливой клинике нарастаний внутричерепной гематомы спинномозговая пункция противопоказана из-за опааноети усиления дислокации мозга. Значительную помощь в диагностике гематомы оказывает эхоанцефалография, выявляющая при гематоме выраженное смещение срединных структур мозга. В литературе имеются указания, что эпидуральные гематомы у детей возникают значительно реже, чем у взрослых, что связывают с эластичностью детского черепа и интим,ным сращением твердой мозговой оболочки и a. meningea media с внутренней поверхностью кости и передачей диффузных механических воздействий на область особо эластичных соединительнотканных родничков. У детей, особенно раннего возраста, нередко очень трудно установить продолжительность и утрату сознания, но развивающиеся после травмы вялость, сонливость, а затем двигательное беспокойство с последующим усилением сонливости и заторможенности, указывают на возможность внутричерепного кровоизлияния. В затруднительных для диагностики случаях следует произвести ангиографию мозга или же прибегнуть к наложению фрезевого отверстия для осмотра твердой мозговой оболочки. При больших эпидуральных гематомах на артериограммах выявляется смещение сосудистой системы мозга. Особенно информативным методом выявления внутричерепных гематом является компьютерная томография.
Эпидуральная в 90 – 95% случаев сопровождается трещинами и переломами черепа. Наиболее часто образуется вследствие повреждения средней менингеальной артерии или её ветвей в месте перелома чешуи височной кости или теменной кости (в 60 – 70%). Возможно также повреждение артерии без перелома, формирование гематомы в результате венозного кровотечения (из диплоических вен, синусов твердой мозговой оболочки). Распространение гематом в эпидуральном пространстве ограничено костными швами, в связи с чем они обычно меньше по распространенности, больше по максимальной толщине, чем субдуральные гематомы, в связи с чем при меньшем объеме и раньше вызывают эффект сдавления мозга.
Клинически при артериальных кровотечениях (т.е. кровотечением под большим давлением) чаще наблюдается бурное развитие гематомы с быстрым (в течение минут и десятков минут) угнетением сознания вплоть до комы, развитием анизокории, а несколько позже и двустороннего мидриаза (стойкого расширения зрачков), развитием гемипареза на стороне гематомы или противоположной стороне, развитием брадикардии. При венозных кровотечениях клиническая картина развивается медленнее, но при достаточно большом объеме гематомы также может протекать быстро.
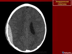
Эпидуральные гематомы - это кровоизлияния, локализующиеся между костью черепа и твердой мозговой оболочкой. Этот тип кровоизлияний чаще встречается у мужчин (M:Ж= 4,5:1). Обычно Эпидуральные гематомы локализуются в височной и теменных областях (60 - 70 %) в зоне перелома кости черепа. Иногда Эпидуральные гематомы встречаются в задней черепной ямке и на основании черепа.
1. КТ головного мозга пациента с двухсторонними эпидуральными гематомами.
2. КТ головного мозга, демонстрирующее редкий случай эпидуральной гематомы снования черепа (указано стрелкой)
3. Эпидуральная гематома основания черепа в области перелома задней черепной ямки (указано стрелками)
Эпидуральные гематомы
Эпидуральные гематомы при закрытых травмах обычно локализуются в области перелома черепа, чаще всего его свода. Трудности диагностики этого осложнения усугубляются иногда и тем, что эпидуральные гематомы нередко наблюдаются и при отсутствии переломов кости или на стороне, противоположной перелому.
Различают три вида эпидуральных кровоизлияний:
1) из ветвей оболочечных артерий, чаще всего из средней артерии;
2) из вен наружной поверхности твердой мозговой оболочки и вен diploe;
3) из синусов и вен, идущих к синусам.
Повреждение средней оболочечной артерии обычно возникает в области приложения травмы и значительно реже - в области противоудара. Кровотечение из ветвей этой артерии обычно нарастает на протяжении первых суток. В связи с высоким давлением в артериальной системе гематома достигает значительного объема и, отслаивая твердую мозговую оболочку от кости, обрывает вены зпидурального пространства. Симптомы сдавления мозга обычно появляются через 12-36 ч после разрыва оболочечной артерии, когда гематома достигает 4-5 см в диаметре и 2-4 -см толщины, образуя на поверхности мозга блюдцеобразное вдавление. При обширных трещинах или переломах костей может наблюдаться ранение нескольких ветвей артерии. Относительно редко встречаются эпидуральные кровоизлияния из передней и задней оболочечных артерий.
Локальная симптоматика зависит от расположения наиболее массивных отделов гематомы.
Различают следующую л ока лизанию эпидуральных гематом:
1) переднюю (лобновисочную);
2) наиболее часто наблюдающуюся среднюю (височно-теменную);
3) заднюю (теменно-височно-затылочную);
4) базально-височную.
Наиболее характерна для эпидуральной гематомы, развившейся вследствие разрыва средней оболочечной артерии на фоне сотрясения и ушиба мозга легкой или средней степени, следующая клиническая картина:
1) светлый промежуток продолжительностью обычно 3-12 ч, после которого по мере увеличения объема гематомы и усиления реактивных изменений в мозговой ткани постепенно нарастают общемозтовые признаки сдавления мозга (заторможенность, сопорозное и, наконец, коматозное состояние);
2) очаговые симптомы в виде расширения зрачка на стороне гематомы и пирамидной симптоматики-на противоположной.
Симптоматика эпидуральной гематомы зависит от сопутствующих сотрясения и ушиба мозга. В одних случаях при очень тяжелых сотрясениях и ушибах мозга с первоначальным коматозным состоянием симптомы эпидуральной гематомы отступают на задний план, в других - при сотрясениях и ушибах легкой и средней степени - они выявляются на первом плане (клиника эпидуральной гематомы).
Обычно при эпидуральных гематомах, образующих глубокую вмятину в мозговой ткани и вызывающих компрессию мозга, находят 70-100 мл жидкой крови и сгустков, а количество 150 мл обычно несовместимо с жизнью. Клинические наблюдения с очевидностью указывают, что наряду с количеством излившейся в полость черепа крови главное значение имеет фактор времени--быстрота развития острых нарушений мозгового кровообращения и отека мозга, а также особенности дислокационных синдромов, степень тяжести сотрясения и ушиба мозга и возраст больного.
Важнейшим симптомом гематомы является расширение зрачка на стороне поражения. Однако незначительная и колеблющаяся аяизоксрия не имеет существенного диагностического значения.
Диагностическое значение имеет прогрессирующее и относительно стойкое расширение зрачка до размера в 3-4 раза большего, чем размер зрачка на противоположной стороне. Типично для нарастающей эпидуральной гематомы вначале отсутствие аниэокории, затем относительно непродолжительный период легкого сужения зрачка на стороне поражения, а. в последующих стадиях - характерное нарастающее расширение зрачка на стороне поражения почти до исчезновения радужной оболочки. Вначале зрачок удовлетворительно реагирует на авет, а затем становится неподвижным, не сужаясь при световом раздражении. В следующей стадии компрессии происходит максимальное расширение обоих зрачков; эта стадия считается уже необратимой.
Большинство авторов считают, что расширение зрачка настороне поражения связано с грыжеподобным тенториальным вклинением медиальных отделов височной доли, которая оказывает непосредственное давление на глазодвигательный нерв. Нередко анизокория наблюдается при средней тяжести и тяжелой формах закрытой травмы мозга и при отсутствии массивной внутричерепной гематомы, однако резко выраженный и стойкий мидриаз всегда указывает на возможность массивной гематомы на стороне очага. При этом и этот важнейший симптом при эпидуральщой гематоме появляется приблизительно в половине случаев. Нужно отметить, что иногда расширение зрачка наблюдается и на противоположной гематоме стороне.
Пирамидная симптоматика при эпидуральных гематомах выявляется часто и, как правило, на противоположной стороне, проявляясь либо признаками раздражения в виде джексоновских эпилептических припадков, либо симптомами выпадения в виде прогрессирующих парезов и параличей. Выявление стороны пареза или паралича конечностей возможно почти у всех больных независимо от степени потери сознания. Движение конечности в ответ на окрик, уколы, раздражение роговицы глаза, слизистой оболочки носа, наружного слухового прохода, положение парализованной нижней конечности с обычной ротацией кнаружи и отвисанием стопы, более быстрое падение и разгибание поднятой парализованной конечности по сравнению с конечностью на противоположной стороне наряду с другими пирамидными знаками позволяют установить сторону поражения.
Наиболее характерно следующее течение заболевания. После исчезновения острых явлений сотрясения мозга с восстановлением сознания состояние больных становится относительно удовлетворительным, но по прошествии нескольких, часов или 1-И/г сут отмечается прогрессировавшие общемозговых и локальных симптомов в виде гамолатерального расширения зрачка и контрлатерального гамипареза. Иногда наблюдаются сопутствующие судороги в пораженных конечностях, нарушения чувствительности по гемитипу и пирамидные знаки. Так называемый светлый промежуток при эпидуральных гематомах обычно длится от 3 до 12 ч, но иногда достигает l.5 сут. Одним из важнейших симптомов нарастающей компрессии мозга является постепенное увеличение загруженности, развитие сопорозного и, наконец, коматозного состояния, что свидетельствует о запоздалости правильного диагноза. Очень важно следить за степенью нарушения сознания и определить показания к операции еще до того, как разовьется полная потеря сознания. В некоторых случаях
удается отчетливо выявить клинику нарастающей эпидуральной гематомы без предшествующей симптоматики сотрясения мозга, и тогда распознание гематомы не представляет особых трудностей. Во многих случаях светлый промежуток уловить не удается. Причиной, затрудняющей выявление аветлого периода, могут быть очень тяжелые сотрясения и ушибы мозга, на фоне которых прогреасирования симптомов компрессии выявить не удается, либо быстрое нарастание компреасии с очень коротким светлым промежутком. Однако при тщательном неврологическом наблюдении за динамикой заболевания даже на фоне бессознательного состояния удается выявить симптоматику нарастания компреасии мозга.
Обычно при эпидуральной гематоме в аветлом промежутке наблюдается следующая динамика заболевания. При хорошем состоянии и -полном сознании больного частота пульса и АД обычно в пределах нормы. При уаилении внутричерепной гипертензии нарастают сонливость и загруженность, пульс вначале урежается, иногда выявляется повышение АД. В бессознательном состоянии наблюдается брадакардия, доходящая иногда до 40 ударов в минуту с достаточным наполнением пульса!. В некоторых случаях стадию брадикардии выявить не удается. Наконец, наступает декомпенсация кровообращения, пульс становится учащенным, аритмичным и нитевидным, АД падает. В этот период появляются нарушения дыхания вначале в виде учащения, затем затруднения его, неправильного ритма, хрипящего и, наконец, поверхностного дыхания. Дыхание типа Чейна-Стоке а является плохим прогностическим признаком. Подъем температуры до 39 °С и выше при отсутствии инфекционных осложнений является симптомом декомпенсации. Рвота-частый симптом нерезкого сдавления мозга, но в стадии декомпенсации она отсутствует. Соответственно нарастанию компрессии мозга возникают двусторонние патологические рефлексы, затем арефлексия, атония, отсутствие контроля за естественными отправления. Нередко в стадии декомпенсации возникает децеребранионная ригидность, но при своевременном и успешном удалении гематомы больные выздоравливают и после грозных явлений децеребрационной ригидности.
Только в 18-20% случаев наблюдается замедленное развитие эпидуральной гематомы и при этом симптоматика сдавления мозга проявляется спустя 5-6 сут и более после травмы. При отчетливой клинике нарастаний внутричерепной гематомы спинномозговая пункция противопоказана из-за опааноети усиления дислокации мозга.
Значительную помощь в диагностике гематомы оказывает эхоанцефалография, выявляющая при гематоме выраженное смещение срединных структур мозга.
В литературе имеются указания, что эпидуральные гематомы у детей возникают значительно реже, чем у взрослых, что связывают с эластичностью детского черепа и интим,ным сращением твердой мозговой оболочки и a. meningea media с внутренней поверхностью кости и передачей диффузных механических воздействий на область особо эластичных соединительнотканных родничков. У детей, особенно раннего возраста, нередко очень трудно установить продолжительность и утрату сознания, но развивающиеся после травмы вялость, сонливость, а затем двигательное беспокойство с последующим усилением сонливости и заторможенности, указывают на возможность внутричерепного кровоизлияния.
В затруднительных для диагностики случаях следует произвести ангиографию мозга или же прибегнуть к наложению фрезевого отверстия для осмотра твердой мозговой оболочки. При больших эпидуральных гематомах на артериограммах выявляется смещение сосудистой системы мозга. Особенно информативным методом выявления внутричерепных гематом является компьютерная томография.
Продолжение.
Продолжение.
Продолжение.
Эпидуральная гематома.
Эпидуральная в 90 – 95% случаев сопровождается трещинами и переломами черепа. Наиболее часто образуется вследствие повреждения средней менингеальной артерии или её ветвей в месте перелома чешуи височной кости или теменной кости (в 60 – 70%). Возможно также повреждение артерии без перелома, формирование гематомы в результате венозного кровотечения (из диплоических вен, синусов твердой мозговой оболочки). Распространение гематом в эпидуральном пространстве ограничено костными швами, в связи с чем они обычно меньше по распространенности, больше по максимальной толщине, чем субдуральные гематомы, в связи с чем при меньшем объеме и раньше вызывают эффект сдавления мозга.
Клинически при артериальных кровотечениях (т.е. кровотечением под большим давлением) чаще наблюдается бурное развитие гематомы с быстрым (в течение минут и десятков минут) угнетением сознания вплоть до комы, развитием анизокории, а несколько позже и двустороннего мидриаза (стойкого расширения зрачков), развитием гемипареза на стороне гематомы или противоположной стороне, развитием брадикардии. При венозных кровотечениях клиническая картина развивается медленнее, но при достаточно большом объеме гематомы также может протекать быстро.
Эпидуральная гематома.
Эпидуральные гематомы - это кровоизлияния, локализующиеся между костью черепа и твердой мозговой оболочкой. Этот тип кровоизлияний чаще встречается у мужчин (M:Ж= 4,5:1). Обычно Эпидуральные гематомы локализуются в височной и теменных областях (60 - 70 %) в зоне перелома кости черепа. Иногда Эпидуральные гематомы встречаются в задней черепной ямке и на основании черепа.
1. КТ головного мозга пациента с двухсторонними эпидуральными гематомами.
2. КТ головного мозга, демонстрирующее редкий случай эпидуральной гематомы снования черепа (указано стрелкой)
3. Эпидуральная гематома основания черепа в области перелома задней черепной ямки (указано стрелками)
Эпидуральная гематома
Эпидуральная гематома
http://www.indeedopedia.com/index.php?id=82
Эпидуральная гематома
ID: 23979 Epidural haematoma Dr David Ferreira - 21 Jul 2013 The findings described are consistent with a traumatic epidural hematom...
ID: 20372 Epidural haematoma - clinical photograph Dr Saeed Soltany Hosn - 16 Nov 2012 This graphic photo elegantly demonstrates the relationship of the haemat...
ID: 5031 Epidural haematoma displacing sinus Dr Frank Gaillard - 21 Nov 2008 Epidural (extradural) posterior fossa haematoma strips and narrows...
Эпидуральная гематома
Продолжение.
Продолжение.