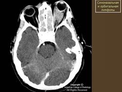
Злокачественная лимфома (неходжкинская) по частоте в последние годы выходит на одно из первых мест среди первичных злокачественных опухолей орбиты. В орбите опухоль чаще развивается на фоне аутоиммунных заболеваний или иммуноде-фицитных состояний. Мужчины болеют в 2,5 раза чаще. Средний возраст заболевших 55 лет. В настоящее время злокачественную неходжкинскую лимфому рассматривают как новообразование иммунной системы. В процесс вовлекаются преимущественно лимфоидные элементы Т- и В-клеточной принадлежности, а также элементы нулевых популяций. При морфологическом исследовании в орбите чаще диагностируют В-клеточную лимфому низкой степени злокачественности, в которой содержатся достаточно зрелые опухолевые и плазматические клетки. Как правило, поражается одна орбита. Характерны внезапное появление безболезненного экзофтальма, чаще со смещением глаза в сторону, и отек периорбитальных тканей. Экзофтальм может сочетаться с птозом (рис. 20.24, а). Процесс местно неуклонно прогрессирует, развивается красный хемоз, становится невозможной репозиция глаза, возникают изменения на глазном дне, чаще застойный диск зрительного нерва (рис. 20.24, б). Резко снижается зрение. В этот период могут появиться боли в пораженной орбите.
Диагноз злокачественной лимфомы орбиты труден. Из инструментальных методов исследования более информативны ультразвуковое сканирование, компьютерная томография (рис. 20.24, в) и тонкоигольная аспирационная биопсия с цитологическим исследованием. Необходимо обследование у гематолога для исключения системного поражения. Наружное облучение орбиты — практически безальтернативный высокоэффективный метод лечения. Полихимиотерапию подключают при системном поражении. Эффект лечения проявляется в регрессии симптомов патологического процеса в орбите и восстановлении утраченного зрения. Прогноз при первичной злокачественной лимфоме для жизни и зрения благоприятный (83 % больных переживают 5-летний период). Прогноз для жизни резко ухудшается при диссеминированных формах, но частота поражения орбиты при последних составляет чуть более 5 %.
Лимфангиома.
Лимфома Беркитта.
Орбитальный лейкоз.
Орбитальная лимфома.
Злокачественная лимфома (неходжкинская) по частоте в последние годы выходит на одно из первых мест среди первичных злокачественных опухолей орбиты. В орбите опухоль чаще развивается на фоне аутоиммунных заболеваний или иммуноде-фицитных состояний. Мужчины болеют в 2,5 раза чаще. Средний возраст заболевших 55 лет. В настоящее время злокачественную неходжкинскую лимфому рассматривают как новообразование иммунной системы. В процесс вовлекаются преимущественно лимфоидные элементы Т- и В-клеточной принадлежности, а также элементы нулевых популяций. При морфологическом исследовании в орбите чаще диагностируют В-клеточную лимфому низкой степени злокачественности, в которой содержатся достаточно зрелые опухолевые и плазматические клетки. Как правило, поражается одна орбита. Характерны внезапное появление безболезненного экзофтальма, чаще со смещением глаза в сторону, и отек периорбитальных тканей. Экзофтальм может сочетаться с птозом (рис. 20.24, а). Процесс местно неуклонно прогрессирует, развивается красный хемоз, становится невозможной репозиция глаза, возникают изменения на глазном дне, чаще застойный диск зрительного нерва (рис. 20.24, б). Резко снижается зрение. В этот период могут появиться боли в пораженной орбите.
Диагноз злокачественной лимфомы орбиты труден. Из инструментальных методов исследования более информативны ультразвуковое сканирование, компьютерная томография (рис. 20.24, в) и тонкоигольная аспирационная биопсия с цитологическим исследованием. Необходимо обследование у гематолога для исключения системного поражения. Наружное облучение орбиты — практически безальтернативный высокоэффективный метод лечения. Полихимиотерапию подключают при системном поражении. Эффект лечения проявляется в регрессии симптомов патологического процеса в орбите и восстановлении утраченного зрения. Прогноз при первичной злокачественной лимфоме для жизни и зрения благоприятный (83 % больных переживают 5-летний период). Прогноз для жизни резко ухудшается при диссеминированных формах, но частота поражения орбиты при последних составляет чуть более 5 %.