Наиболее часто встречающаяся внутриглазничная опухоль детского возраста. Часто проявляется лейкорией (белый зрачок). Ретинобластома может поражать один или оба глаза, а также сочетаться с новообразованиями гипофиза или супраселлярной области.
При двустороннем поражении, как правило, имеет аутосомно-доминантный тип наследования.
Клиника
Типичное проявление: односторонняя утрата зрения.
При осмотре обращает на себя внимание лейкория (утрата нормального красного рефлекса сетчатки). Наиболее распространенная интраорбитальная опухоль детского возраста. Более чем в 90% случаев диагностируется до 5 лет. Реже выявляется страбизм, возникающий вследствие глаукомы
Ретинобластома является врожденной опухолью, однако не всегда проявляет себя сразу после рождения; в среднем диагноз устанавливается в возрасте 13 месяцев.
При наличии интракраниального компонента диагноз, как правило, не устанавливается в течение 2,5 лет после лечения первичной ретинобластомы.
Типы ретинобластом:
Унилатеральная – поражение одного глаза (70%).
Билатеральная – поражение обоих глаз (30%).
Трилатеральная – двусторонняя ретинобластома в сочетании с опухолью гипофиза или супраселлярной области (менее 1%).
Тетралатеральная – двусторонняя ретинобластома в сочетании с опухолью гипофиза и супраселлярной области (менее 0,1%).
Лучевая диагностика
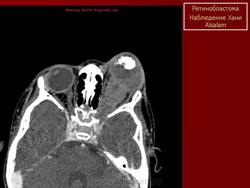
Наиболее характерный признак: внутриорбитальное объемное образование, содержащее обызвествления. Солидное образование сетчатки с центральной локализацией в задней части глазного яблока. Типично умеренное или интенсивное накопление КВ. Часто сочетается с неспецифической отслойкой сетчатки.
Ретинобластома может прорастать экстраорбитальные структуры по ходу зрительного нерва; через отверстие зрительного нерва опухоль может проникать в полость черепа или орбиту. В редких случаях сочетается с опухолями гипофиза или супраселлярной области.
КТ-семиотика
Ретинобластома имеет вид мягкотканного объемного образования с наличием типичных точечных обызвествлений (менее 90%).
По данным КТ выделяют 3 степени роста ретинобластомы.
I степень – опухоль располагается внутри глазного яблока, часто содержит мелкие кальцинаты, плотность не увеличивается после контрастирования;
II степень – в процесс вовлечены ретроорбитальные ткани и зрительный нерв, края глазного яблока нечеткие, кальцинаты встречаются редко;
III степень – процесс выходит за пределы глазницы, опухоль хорошо конграстируется, кальцинаты не встречаются.
Однако такая динамика процесса встречается не всегда. В ряде случаев опухоль, видимая при офтальмоскопии, на томограммах не дифференцируется, а все глазное яблоко имеет значительно повышенную плотность, в 2-3 раза превышающую обычную, что, очевидно, объясняется изменением структуры всех сред глаз, на фоне которых выделить опухоль не удается
Участки повышенной плотности, выявляемые при ретинобластомах, не всегда обусловлены кальцинатами, в ряде случаев это мелкие кровоизлияния, которые в условиях КТ имеют высокую плотность
"Предоставляя весь смысл и совершенство в распоряжение одного только Бога, вы избавляете себя от бездны хлопот." Джон Уитборн.
Ретинобластома
Ретинобластома
Из лекции Е.П. Бурлаченко:
Ретинобластома –первичная злокачественная опухоль сетчатки.
Наиболее часто встречающаяся внутриглазничная опухоль детского возраста. Часто проявляется лейкорией (белый зрачок). Ретинобластома может поражать один или оба глаза, а также сочетаться с новообразованиями гипофиза или супраселлярной области.
При двустороннем поражении, как правило, имеет аутосомно-доминантный тип наследования.
Клиника
Типичное проявление: односторонняя утрата зрения.
При осмотре обращает на себя внимание лейкория (утрата нормального красного рефлекса сетчатки). Наиболее распространенная интраорбитальная опухоль детского возраста. Более чем в 90% случаев диагностируется до 5 лет. Реже выявляется страбизм, возникающий вследствие глаукомы
Ретинобластома является врожденной опухолью, однако не всегда проявляет себя сразу после рождения; в среднем диагноз устанавливается в возрасте 13 месяцев.
При наличии интракраниального компонента диагноз, как правило, не устанавливается в течение 2,5 лет после лечения первичной ретинобластомы.
Типы ретинобластом:
Унилатеральная – поражение одного глаза (70%).
Билатеральная – поражение обоих глаз (30%).
Трилатеральная – двусторонняя ретинобластома в сочетании с опухолью гипофиза или супраселлярной области (менее 1%).
Тетралатеральная – двусторонняя ретинобластома в сочетании с опухолью гипофиза и супраселлярной области (менее 0,1%).
Лучевая диагностика
Наиболее характерный признак: внутриорбитальное объемное образование, содержащее обызвествления. Солидное образование сетчатки с центральной локализацией в задней части глазного яблока. Типично умеренное или интенсивное накопление КВ. Часто сочетается с неспецифической отслойкой сетчатки.
Ретинобластома может прорастать экстраорбитальные структуры по ходу зрительного нерва; через отверстие зрительного нерва опухоль может проникать в полость черепа или орбиту. В редких случаях сочетается с опухолями гипофиза или супраселлярной области.
КТ-семиотика
Ретинобластома имеет вид мягкотканного объемного образования с наличием типичных точечных обызвествлений (менее 90%).
По данным КТ выделяют 3 степени роста ретинобластомы.
I степень – опухоль располагается внутри глазного яблока, часто содержит мелкие кальцинаты, плотность не увеличивается после контрастирования;
II степень – в процесс вовлечены ретроорбитальные ткани и зрительный нерв, края глазного яблока нечеткие, кальцинаты встречаются редко;
III степень – процесс выходит за пределы глазницы, опухоль хорошо конграстируется, кальцинаты не встречаются.
Однако такая динамика процесса встречается не всегда. В ряде случаев опухоль, видимая при офтальмоскопии, на томограммах не дифференцируется, а все глазное яблоко имеет значительно повышенную плотность, в 2-3 раза превышающую обычную, что, очевидно, объясняется изменением структуры всех сред глаз, на фоне которых выделить опухоль не удается
Участки повышенной плотности, выявляемые при ретинобластомах, не всегда обусловлены кальцинатами, в ряде случаев это мелкие кровоизлияния, которые в условиях КТ имеют высокую плотность
"Предоставляя весь смысл и совершенство в распоряжение одного только Бога, вы избавляете себя от бездны хлопот." Джон Уитборн.
Ретинобластома
Ретинобластома
Ретинобластома.
http://www.ajnr.org/content/22/3/499.full
http://bjo.bmj.com/content/89/9/1225.full
http://bjo.bmj.com/content/87/3/330.full
http://bjo.bmj.com/content/87/3/327.full
http://bjo.bmj.com/content/82/5/517.full
http://www.ajnr.org/content/30/8/1607.full