ЛОР. Мукоцеле. Синоназальный полипоз. +

Мукоцеле

Катенёв Валентин Львович аватар
Не на сайте
Был на сайте: 6 лет 11 месяцев назад
Зарегистрирован: 22.03.2008 - 22:15
Публикации: 54876

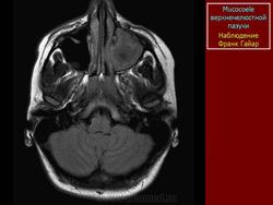
Мукоцеле

Приложения: 
1.mu_.slayd364.jpg2.mu_.slayd365.jpg3.mu_.slayd366.jpg
Катенёв Валентин Львович аватар
Не на сайте
Был на сайте: 6 лет 11 месяцев назад
Зарегистрирован: 22.03.2008 - 22:15
Публикации: 54876

Синоназальный полипоз.

Приложения: 
1.sin_.slayd30.jpg2.sin_.slayd31.jpg3.sin_.slayd32.jpg4.sin_.slayd33.jpg
Катенёв Валентин Львович аватар
Не на сайте
Был на сайте: 6 лет 11 месяцев назад
Зарегистрирован: 22.03.2008 - 22:15
Публикации: 54876

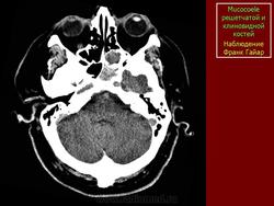
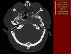
Мукоцеле

Приложения: 
3.c.slayd27.jpg4.c.slayd28.jpg