Остеохондропатия. Остеохондропатия ладьевидной кости стопы (болезнь Келера I). +

Остеохондропатия ладьевидной кости стопы (болезнь Келера I)

(Osteochondropathia os naviculare)

Асептический некроз ладьевидной кости стопы встречается преимущественно у мальчиков в возрасте 3-6 лет, но может наблюдаться и в более позднем возрасте (до 12 лет). Впервые описан Келером и Генишем в 1908 г.

В качестве этиологических факторов называют травму, а также нарушение развития ладьевидной кости, обусловленное рахитом. Длительность заболевания - 1-2 года.

Клиника. Возникают боли, усиливающиеся при ходьбе, и отек тыльной поверхности стопы по ее медиальному краю. Пальпация в проекции ладьевидной кости вызывает выраженную болезненность. С прогрессированием процесса болевой синдром усиливается, при ходьбе опора идет на наружный край стопы, появляется хромота.

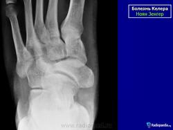
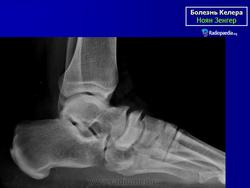
На рентгенограмме в начальной стадии выявляется легкий остеопороз, затем уплотнение костной структуры ядра окостенения ладьевидной кости (ядер окостенения может быть несколько). Появляется сплющивание и фрагментация ладьевидной кости, ее деформация в виде чечевицы или полумесяца. Прилежащие суставные щели расширяются.

Катенёв Валентин Львович аватар
Не на сайте
Был на сайте: 7 лет 5 месяцев назад
Зарегистрирован: 22.03.2008 - 22:15
Публикации: 54876

Остеохондропатия ладьевидной кости стопы

Приложения: 
1._keleraslayd29.jpg2.kelera.slayd30.jpg
Катенёв Валентин Львович аватар
Не на сайте
Был на сайте: 7 лет 5 месяцев назад
Зарегистрирован: 22.03.2008 - 22:15
Публикации: 54876

Продолжение.

 

Приложения: 
1.gw311h600osteohondroz_predplyusnevomu_ladevidnoy.jpg2.1osteohondroz_predplyusnevomu_ladevidnoy.jpg
T.A.Y. аватар
Не на сайте
Был на сайте: 8 лет 5 месяцев назад
Зарегистрирован: 08.04.2012 - 10:10
Публикации: 3

Здравствуйте Валентин Львович!

подскажите, пожалуйста, можно ли эти снимки трактовать как представленную выше б-нь Келлера?

(не особо  беспокоит. Со слов: "болит немного только после долгой прогулки")

Приложения: 
ya.jpgyaya.jpg
Катенёв Валентин Львович аватар
Не на сайте
Был на сайте: 7 лет 5 месяцев назад
Зарегистрирован: 22.03.2008 - 22:15
Публикации: 54876

Келера, в данном случае ни при чём.

Продольное плоскостопие 3 ст.

T.A.Y. аватар
Не на сайте
Был на сайте: 8 лет 5 месяцев назад
Зарегистрирован: 08.04.2012 - 10:10
Публикации: 3

и ладьевидная и таранная нормальные?

Катенёв Валентин Львович аватар
Не на сайте
Был на сайте: 7 лет 5 месяцев назад
Зарегистрирован: 22.03.2008 - 22:15
Публикации: 54876

Конечно нет