ГМ. Иниэнцефалия. +

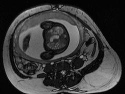
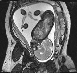
Иниэнцефалия представляет собой летальный сложный порок развития, возникающий в результате несмыкания нервной трубки. Для него характерно отсутствие части или всей затылочной кости со значительным расширением большого затылочного отверстия, в результате чего большая часть головного мозга располагается в области задней черепной ямки и частично в верхнем отделе позвоночного канала. В связи с этими анатомическими нарушениями верхняя часть позвоночника укорачивается и расщепляется и образуются энцефалоцеле и/или spina bifida. Характерным признаком иниэнцефалии является патологическое усиление лордоза. Иниэнцефалия относится к редким аномалиям с неустановленной этиологией, хотя сообщалось о возможном тератогенном генезе порока, чаще всего на фоне приема лекарственных препаратов в ранние сроки беременности (винбластин, стрептонигрин, трипаранол, тетрациклин, ампициллин). Более 90% пораженных плодов составляют девочки. 

 

Heron Вернер, MD, Pedro Daltro, MD
Клиника де Diagnóstico пор Imagem (CDPI), Институт Fernandes Figueira (IFF) - FIOCRUZ
Рио-де-Жанейро - Бразилия

 

Дороти I. Bulas MD, профессор радиологии и педиатрии
Национального медицинского центра Университета Джорджа Вашингтона

 

Сайт Радиопедия.

 

 

Катенёв Валентин Львович аватар
Не на сайте
Был на сайте: 7 лет 4 месяцев назад
Зарегистрирован: 22.03.2008 - 22:15
Публикации: 54876

 

В литературе описано более 100 случаев иниэнцефалии. Первое описание этого порока было сделано в 1836 г. и принадлежит I. Saint-Hilare. Частота встречаемости иниэнцефалии варьирует от 1 случая на 900 до 1 на 65 000 родов. Столь большой диапазон колебаний частоты встречаемости обусловлен в первую очередь тем, что далеко не во всех случаях иниэнцефалии осуществляется комплексный анализ всех ее проявлений, и заключительный диагноз ограничивается энцефалоцеле или spina bifida.

Пренатальная ультразвуковая диагностика иниэнцефалии во второй половине беременности основывается на обнаружении трех основных признаков: 1) дефекта затылочной кости; 2) расщепления позвоночного столба в верхней части; 3) фиксированного запрокинутого положения головы плода. Среди сочетанныхпороков центральной нервной системы при иниэнцефалии описаны анэнцефалия, микроцефалия, гидроцефалия, голопрозэнцефалия, аномалии задней черепной ямки, а из экстрацеребральных аномалий - диафрагмальная грыжа, омфалоцеле, деформации грудной клетки, пороки сердечнососудистой и мочеполовой систем, циклопия, расщелины лица, неперфорированный анус, косолапость и единственная артерия пуповины. 

 

Большинство публикаций, посвященных иниэнцефалии, содержат описание 1-3 случаев пренатальной ультразвуковой диагностики этого порока. Наибольшие серии наблюдений представили S. Sahid и соавт. и М. Dogan и соавт..

S. Sahid и соавт. описали 8 случаев пренатальной ультразвуковой диагностики иниэнцефалии в сроки от 18 до 28 нед беременности. В 7 из 8 случаев помимо основных признаков дополнительно была выявлена микроцефалия, в 6 - многоводие и в 2 -единственная артерия пуповины. В 7 наблюдениях было проведено пренатальное кариотипирование, хромосомных аномалий не выявлено. В этой серии выживших детей не было.

Наибольшую серию случаев (19 наблюдений) пренатальной ультразвуковой диагностики иниэнцефалии опубликовали М. Dogan и соавт.. В их исследованиях было установлено, что наиболее часто (74%) у плодов с иниэнцефалией регистрировалась spina bifida, в 26,3% случаев - затылочное энцефалоцеле, в 37% -диафрагмальная грыжа, в 32% - гипоплазия надпочечников, в 26,3% - гипоплазия легких, единственная артерия пуповины и омфалоцеле. Во всех случаях исходы беременностей были неблагоприятными.

В отечественной литературе о случае пренатальной ультразвуковой диагностики иниэнцефалии в начале II триместра беременности первыми сообщили Е.В. Флоренсова и М.С. Апарцин. Уже в 12 нед беременности они отметили несоответствие копчико-теменного размера плода сроку беременности. В 15 нед при детальном осмотре плода были обнаружены аномалия формирования свода черепа в затылочной области (отсутствие четкого изображения затылочной кости, наличие образования без четких контуров в области шейного отдела позвоночника) и расщепление позвоночника, что позволило окончательно сформировать диагноз иниэнцефалии. К 17 нед беременности энцефалоцеле приобрело более четкие контуры, деформация позвоночника стала более выраженной. Беременность была прервана в 21 нед, результаты патоморфологического исследования подтвердили данные ультразвуковой диагностики. 

Приложения: 
open-uri20120213-9290-i8p8m.ini_..jpeg