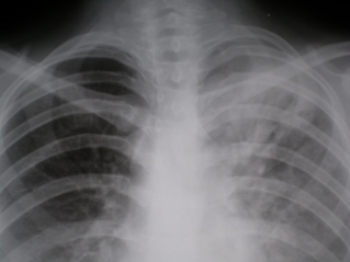
Туберкулёз. Инфильтративный туберкулез лёгких. +

Инфильтративный туберкулез лёгких.

Литературная ссылка с фрагментами собственных наблюдений к случаям из практики:

1. «Сочетанная патология – очаговый (в дальнейшем инфильтративный) туберкулёз левого лёгкого и эпителиома (мезотелиома) правого лёгкого (части 1 и 2)».

2. «Инфильтративный туберкулёз лёгких, выявленный при профилактической флюорографии».

В. Л. Катенёв – заведующий рентгенологическим отделением МУЗ «Красногвардейская ЦРБ» Белгородской области.

Инфильтративный туберкулёз лёгких характеризуется выраженной экссудативной реакцией воспаления и наклонностью к быстрому распаду казеозного некроза, а также довольно быстрой динамикой:

- он либо прогрессирует с образованием каверны и очагового обсеменения либо;

- подвергается регрессии и переходит в очаговую форму туберкулёза.

Инфильтративный туберкулёз, как правило, развивается на фоне старых туберкулёзных очагов в результате реактивации в них инфекции.

По мнению многих исследователей, в современных условиях инфильтративный туберкулез протекает бессимптомно или с малым количеством симптомов, особенно в начальной стадии заболевания.

Симптомы общей интоксикации или же такие, как кашель, боли в груди, кровохарканье, не являются достоверными для установления диагноза туберкулеза.

Рентгенологическое исследова­ние имеет ведущее значение в диагностике и дифференци­альной диагностике данной формы туберкулеза легких.

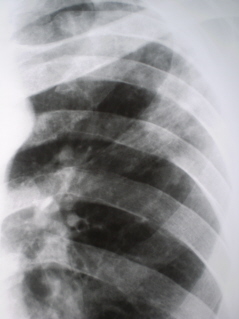
По рентгенологической картине различают четыре основных варианта инфильтративного туберкулёза лёгких:

1. Лобулярный или ограниченный инфильтрат.

2. Облаковидный или круглый инфильтрат.

3. Сегментарная, долевая туберкулёзная пневмония.

4. Перисциссурит.

По А.И. Рабухину, 1983.: 1.Бронхолобулярный инфильтрат, 2. Округлый или овальный инфильтрат, 3. Облаковидный инфильтрат, 4.Перисциссурит, 5. Лобит, 6. Казеозная пневмония, 7. Ложноопухолевая форма инфильтрата.

Обязательными условиями для установления диагноза инфильтративного туберкулёза являются:

- размер патологической тени более 15 мм.;

- нерезкость хотя бы части контура тени.

Лобулярный инфильтрат морфологически представляет собой фокус казеозного некроза, захватывающий дольку лёгкого. Процесс развивается на фоне старых очаговых изменений.

(Иллюстрации 1, 2. Фрагменты рентгенограммы и томограммы – «лобулярный инфильтрат»).

Процесс развивается на фоне старых очаговых изменений, которые не всегда отчетливо определяются при рентгенологическом исследо­вании.

Данная форма туберкулеза отличается от очагового:

- размерами отдельных фокусов;

- большим объемом поражения легкого.

Как и для очагового туберкулеза легких, для ограниченно­го инфильтрата характерны те же признаки воспаления: выражен­ная зона инфильтрации вокруг старых очагов, образование более свежих фокусов воспаления и очагов отсева в пределах сегмента.

Облаковидный и круглый инфильтрат (инфильтрат Ассмана, инфильтрат Редекера) оба образования считаются одним и тем же вариантом инфильтративного туберкулёза, но находящимся в различных фазах развития.

Инфильтрат Ассмана характеризуется малоинтен­сивной тенью без четких контуров и чаще всего располагался в заключичном пространстве (Иллюстрации 3, 4. Фрагменты рентгенограммы и томограммы.).

Инфильтрат Редекера – инфильтрат округлой формы с довольно четкими контурами. (Иллюстрации 5, 6. Фрагменты рентгенограммы и томограммы.).

Оба эти образования следует считать одним и тем же вариантом инфильтративного туберкулеза, но находящимся в раз­ных фазах развития.

Диаметр таких инфильтратов достигает 3 – 5 см. Они имеют, как правило, нечеткие контуры, часто в них формируются деструкции и каверны (иллюстрации 7, 8).

Заживление идет путем отторжения казеоза с образованием рубца или очага (иллюстрации 9, 10).

Если деструкция не образуется, то инфильтрат превращается в туберку­лому (иллюстрация 11).

В окружающей легочной ткани при томографическом исследо­вании обнаруживают очаговые изменения, что имеет значение для дифференциальной диагностики (иллюстрация 11).

Сегментарное или долевое поражение имеет различное происхождение.

1. При прогрессировании ограниченного инфильтрата процесс может захватить один – два сегмента лёгкого (иллюстрация 12).

Рентгенологическая картина:

- неоднородное затемнение пораженного участка лёгкого, на фоне которого видны отдельные очаги и более крупные фокусы с деструкцией или без неё (иллюстрация 13);

- при слиянии этих фокусов могут формироваться полости распада значительных размеров с неровным внутренним контуром и секвестрами казеоза внутри полости.

2. Туберкулёзное поражение сегмента или доли лёгкого может быть обусловлено лимфо – бронхиальным туберкулёзом, осложненным стенозом бронха. При лимфобронхиальном туберкулёзе, когда имеется фистула, через которую в просвет бронха выделяются казеозные массы, и иногда частицы обызвествленных лимфатических узлов (бронхолиты), возникают условия для нарушения бронхиальной проходимости, бронхогенному обсеменению доли и развитию в ней воспалительного процесса. Чаще такие изменения наблюдаются в средней доле, в верхней доле слева и справа.

Рентгенологическая картина:

- затемнение доли или сегмента с хорошо подчеркнутой междолевой щелью, причем уменьшение пораженной доли или сегмента может быть выражено незначительно;

- на фоне затемнения видны более интенсивные участки, напоминающие очаги, а также просветы долевого и сегментарных бронхов (иллюстрации 14, 15).

16.
16.
17.
17.

Перисциссурит – это вариант инфильтративного поражения лёгкого, при котором процесс локализуется в верхней доле вдоль междолевой щели, занимая частично 2 – 3 сегмента. Нижняя граница тени прилежит к междолевой плевре, поэтому чётко отграничена, а верхняя нечеткая, размытая (иллюстрации 16, 17). Так же, как и при других вариантах инфильтративного туберкулёза может наблюдаться распад.

Рентгенологическая картина инфильтративного туберкулёза сходна с пневмонией. Наиболее частой локализацией инфильтративного туберкулёза является верхняя и задняя зоны, причем в 1/3 случаев процесс носит полисегментарный характер.

Использованния литература:

1.Клиническая рентгенология (руководство). Т.1. Рентгенодиагностика заболеваний органов грудной полости (под. Ред. Г.А. Зедгенидзе). АМН СССР. М., Медицина.1983.

1.Линденбратен Л.Д., Наумов Л.Б. Рентгенологические синдромы и диагностика болезней лёгких. М., Медицина, 1972.

2. Помельцов К.В. Рентгенодиагностика туберкулёза лёгких. М., Медицина, 1975 .

3. Прозоров А.Е., Рентгенодиагностика туберкулёза лёгких. М., Медгиз, 1940.

4.Розенштраух Л.С., Рыбакова Н.И., Виннер М.Г. Рентгенодиагностика заболеваний органов дыхания. Руководство для врачей. М., Медицина. 1987.

13.
13.
12.
12.
11.
11.
9.
9.
10.
10.
7.
7.
8.
8.
3.
3.
4.
4.
1.
1.
2.
2.
ВложениеРазмер
Иконка изображения 1.22.14 КБ
Иконка изображения 2.19.54 КБ
Иконка изображения 3.30.63 КБ
Иконка изображения 4.17.71 КБ
Иконка изображения 5.34.77 КБ
Иконка изображения 6.20.58 КБ
Иконка изображения 7.28.47 КБ
Иконка изображения 8.18.29 КБ
Иконка изображения 9.23.4 КБ
Иконка изображения 10.21.9 КБ
Иконка изображения 11.22.46 КБ
Иконка изображения 12.24.92 КБ
Иконка изображения 13.21.62 КБ
Иконка изображения 14.17.64 КБ
Иконка изображения 15.23.25 КБ
Иконка изображения 16.36.71 КБ
Иконка изображения 17.28.6 КБ
Катенёв Валентин Львович аватар
Не на сайте
Был на сайте: 7 лет 1 неделя назад
Зарегистрирован: 22.03.2008 - 22:15
Публикации: 54876

 

Инфильтративный туберкулез

Инфильтративный туберкулез обычно возникает при обострении очагового туберкулеза. При этом чаще всего в 1 или 11 бронхолегочных сегментах появляется уплотнение с диаметром 2-3 см. В его центре определяются мелкие очаги казеоза, вокруг последних образуется зона перифокального воспаления. При благоприятном течении процесса происходят рассасывание перифокального, преимущественно неспецифического, воспаления, отграничение и уплотнение казеозных очагов, их инкапсуляция и обызвествление, фиброзные изменения в прилежащих участках легкого.

При прогрессировании инфильтративного туберкулеза очаги казеоза в его центральных отделах увеличиваются, так же как и зона перифокального воспаления, которая может занять всю долю легкого по типу лобита [Струков А. И., Соловьева И. П., 1976]. Наряду с участками казеоза, окруженными эпителиоидными, лимфоидными и гигантскими клетками, имеются участки воспаления, в которых просветы альвеол заполнены фибрином, клетками десквамированного альвеолярнго эпителия и альвеолярными макрофагами, а также экссудатом. Расплавление казеоза в очаге и прорыв казеозных масс в бронхи ведут к образованию на месте инфильтрата острой каверны.

Наряду с патоморфологической картиной инфильтрата представим

больше 1 см. В связи со значительным учащением формирования таких очагов в клинике они были выделены в отдельную форму. Их возникновение связывают с гиперергической реакцией организма на микобактерии туберкулеза [Авербах М. М., 1969]. Туберкулемы чаще бывают одиночными, реже множественными, с диаметром 2-4 см, располагаются они преимущественно в I-II сегменте легкого [Авербах М. М., 1969].

Туберкулемы делят на солитарные, слоистые, конгломератные и инфильтративно-пневмонические, Солитарная гомогенная туберкулема (казеома - по Л. К. Богушу) представляет собой очаг казеозной пневмонии округлой формы, четко отграниченный от окружающей легочной ткани тонкой фиброзной капсулой. На границе последней с казеозом имеется узкий слой специфических грануляций. При специальном окрашивании в казеозах удается выявить остатки стромы легкого, что подтверждает их возникновение из очага специфической пневмонии. В казеозе могут также определяться остатки более старых туберкулезных очагов, вокруг которых и произошло

данные о казеозной пневмонии. Для такой пневмонии характерно преобладание острого казеозного распада. Различают ацинозную форму казеозной пневмонии, при которой поражение ограничивается пределами ацинуса, лобулярную казеозную пневмонию, когда процесс захватывает дольки легкого, и лобарную форму, когда в процесс вовлекается целая доля легкого. При лобулярной форме казеозно измененные дольки могут сливаться, формируя сегментарные, лобарные очаги и приводя к тотальной казеозной пневмонии. Лобарная казеозная пневмония является наиболее тяжелой формой туберкулеза. Большая часть пораженной доли в этих случаях оказывается занятой казеозом, в котором могут наблюдаться расплавление казеоза и образование острых полостей распада. В современных условиях казеозная пневмония отличается отграничением процесса по периферии казеозного фокуса или наоборот острым, обширным расплавлением казеоза с формированием множественных полостей распада.

Катенёв Валентин Львович аватар
Не на сайте
Был на сайте: 7 лет 1 неделя назад
Зарегистрирован: 22.03.2008 - 22:15
Публикации: 54876

Инфильтративный туберкулез легких

Эта клиническая форма туберкулеза характеризуется преимущественно экссудативным типом воспаления со склонностью к быстрому образованию казеозного некроза и деструкции. Следует подчеркнуть, что инфильтративному туберкулезу легких свойственна относительно быстрая динамика. Если очаговый туберкулез протекает хронически и волнообразно, то инфильтративная форма характеризуется или быстрым развитием распада, или же при своевременной диагностике и правильном лечении инфильтрат подвергается инволюции и рассасыванию. На месте инфильтрата остаются более или менее выраженные остаточные изменения.

Каков же механизм возникновения инфильтративного туберкулеза? Учение об инфильтратах появилось в связи с широким внедрением в практику рентгенологического метода, и один из создателей учения об инфильтративном туберкулезе Азвшалп с помощью этого метода одним из первых выявил округлую тень в подключичном отделе легкого, до сих пор такой инфильтрат называют ранним подключичным инфильтратом типа Ассмана. Азвшалп и его современники считали, что инфильтрат - это воспалительный процессе, появляющийся в результате экзогенной суперинфекции. Однако очень скоро после появления работ Азвшалп о патогенезе инфильтративного туберкулеза возникли и другие мнения. В частности, Яебекег одним из первых нашел, что инфильтрат не всегда возникает в результате экзогенной суперинфекции, он заметил, что иногда инфильтративная тень образуется в зоне легких с наличием старых туберкулезных очагов в результате их реактивации. Если Азвшалп видел инфильтративный процесс в основном в участках легкого без старых изменений туберкулезного характера, в интактном легком, Яебекег, наоборот, наблюдал инфильтративный процесс у лиц, имевших старые туберкулезные очаги. Для того чтобы найти выход из создавшегося положения, противоречащего теории Азвшалп, в качестве компромисса Яебекег предложил новый термин для описанных им изменений - «инфильтрирование». Предлагая этот термин, Яебекег и его последователи подчеркивали принципиальное отличие инфильтрирования от инфильтрата - эндогенное происхождение в результате реактивации старых очагов с последующим образованием инфильтрата. Очень скоро в клинике было отмечено, что существенной разницы между так называемым инфильтратом Ассмана и инфильтрированием Редекера нет. В клинике туберкулеза взрослых от термина «инфильтрирование» быстро отказались, он сохранялся дольше в детской практике и им обозначали перифокальное воспаление вокруг лимфатических узлов средостения.

В 30-х годах Б. М. Хмельницкому удалось провести очень интересные клинико-лабораторные сопоставления. У больных с так называемыми ранними инфильтратами типа Ассмана в мокроте были обнаружены не только микобактерии, но и тетрада Эрлиха (кристаллы холестерина, известь, обызвествленные эластические волокна и измененные микобактерии). Надо сказать, что тетрада Эрлиха и ранее выявлялась у больных туберкулезом и наличие этой тетрады у больных с различными формами туберкулеза свидетельствует о распаде старых туберкулезных очагов. Если эти старые очаги хорошо определяются на рентгенограмме и наряду с этим видны свежие инфильтрированные изменения типа инфильтрирования Редекера, тетрада доказывает генетическую связь инфильтративного процесса со старыми «обострившимися» очагами. Б. М. Хмельницкому и его сотрудникам удалось доказать, что тетрада Эрлиха выявляется не только у больных с видимыми на рентгенограммах старыми туберкулезными очагами и развившимся инфильтратом, но и у больных с так называемыми подключичными инфильтратами типа Ассмана, т. е. у больных без видимых старых изменений. Это заставило Б. М. Хмельницкого и его сотрудников высказать положение о том, что инфильтрат - не самое раннее проявление туберкулеза, возникающее в результате суперинфекции, а следствие эндогенной реактивации старых туберкулезных очагов.

В течение длительного времени Г. Р. Рубинштейн строго придерживался экзогенного механизма развития инфильтративного туберкулеза и считал, что он возникает в результате суперинфекции как самое раннее проявление вторичного туберкулеза. В последующем М. Г. Иванова и Б. М. Хмельницкий провели клинико-анатомические сопоставления. Среди погибших от случайных причин были отобраны лица с наличием инфильтративного туберкулеза легких. У них были изучены легкие - проведено последовательное морфологическое исследование серийных срезов легкого. Полученные данные позволили доказать взаимосвязь между инфильтратом и экзацербированными старыми очагами. В последующие годы Г. Р. Рубинштейн и И. Е. Кочнова провели очень большую работу и показали, что у многих больных без видимых остаточных изменений в легких до появления инфильтрата возникает свежий очаговый процесс. Таким образом, инфильтративный туберкулез может возникать в результате как экзацербации старых туберкулезных изменений, так и прогрессирования свежего очагового процесса. В этом случае инфильтрату предшествует свежий очаговый туберкулез.

Инфильтративный туберкулез может возникать и возникает не только в результате прогрессирования свежего очагового туберкулеза и не только в результате обострения старых очаговых процессов, он может возникать в результате лимфобронхогенного распространения микобактерий из казеозно измененных лимфатических узлов средостения. Нередко у таких больных отмечается и эндобронхит. Причем инфильтративный процесс, возникающий в результате лимфобронхогенного распространения микобактерий из казеозно измененных лимфатических узлов средостения, нередко локализуется в средних и нижних отделах легких. Если сравнить источники возникновения очагового туберкулеза и инфильтративного туберкулеза, то по существу они одни и те же, но у одних больных возникает очаговая форма заболевания, т. е. ограниченный преимущественно продуктивный воспалительный процесс с хроническим течением и склонностью к заживлению, а у других из тех же самых источников возникает инфильтративная форма, т. е. преимущественно экссудативный воспалительный процесс со склонностью к распаду (В. А. Равич-Щербо).

Развитие инфильтрата объясняется наличием зон гиперсенсибилизации в легком. В. А. Равич-Щербо подчеркивает, что инфильтративный туберкулез не возникает в интактных зонах, а развивается, как правило, в тех участках легких, в которых уже «побывала» туберкулезная инфекция. Инфильтративный туберкулез возникает в тех зонах легких, которые способны ответить бурной гиперергической реакцией на наличие микобактерий, вызывающих воспалительный процесс. Инфильтративный туберкулез - это гиперергическое воспаление легочной ткани. Rich (1944) писал, что гиперсенсибилизация легочной ткани не предопределяется анатомическими особенностями, хотя они могут играть определенную роль, а также врожденными качествами, это приобретенное свойство легочной ткани, возникающее в течение туберкулезного процесса. Гиперергия обычно создается в том случае, если легочная ткань «наводняется» очень большим количеством микобактерий при быстром размножении бактериальной популяции. Гипотеза Rich о возникновении гиперергического воспаления, обусловленного большим количеством микобактерий в условиях быстро размножающейся бактериальной популяции, имеет важное значение, особенно в связи с применяющейся химиотерапией.

Хотя все механизмы, обусловливающие развитие инфильтративного туберкулеза, полностью не раскрыты, морфологические реакции у больных инфильтративным туберкулезом и клинико-рентгенологические варианты инфильтративного туберкулеза описаны довольно подробно. Инфильтрат в плане морфологических реакций - это преимущественно экссудативное воспаление с пропитыванием (имбибицией) легочной ткани экссудатом, вышедшим из сосудов, с быстрым образованием участков казеозного некроза и последующим разжижением сухого казеоза. Разжиженные казеозные массы выделяются с мокротой, и образуется полость распада. Как правило, у таких больных имеется также поражение концевых отделов бронхов. На более поздних этапах вокруг пневмонического фокуса начинает появляться продуктивная тканевая реакция, которая ограничивает имеющийся воспалительный фокус от окружающей ткани. По характеру рентгенологических данных и отчасти в связи с особенностями клинической картины и течения заболевания выделяется несколько клинико-рентгенологических вариантов инфильтративного туберкулеза.

1. Облаковидный вариант впервые описан Г. Р. Рубинштейном, характеризуется наличием нежной, не очень интенсивной гомогенной тени с нечеткими, размытыми контурами. Часто отмечается быстрое формирование распада и свежей каверны.

2. Круглый вариант характеризуется округлой гомогенной тенью слабой интенсивности с четкими контурами. Также возможно образование распада, определяемого в виде просветления (типа Ассмана) на ранних этапах только при томографическом исследовании.

3. Лобит - обширный инфильтративный процесс, захватывающий целую долю легкого. Тень чаще негомогенная с наличием одиночных или множественных полостей распада. У отдельных больных возможно формирование полости больших и гигантских размеров.

4. Перисциссурит - обширная инфильтративная тень с наличием с одной стороны четкого края, с другой - размытого. Такой характер тени определяется поражением 1-2 сегментов, располагающихся вдоль междолевой борозды (рис. 6.9). Нередко отмечается также поражение междолевой плевры, иногда с накоплением выпота. Так же как и при других вариантах, может быть распад.

5. Лобулярный вариант характеризуется негомогенной тенью, представляющей собой слившиеся в один или несколько конгломератов крупные и мелкие очаги. В центре некоторых конгломератов выявляется распад.

Для всех клинико-рентгенологических вариантов характерно наличие не только инфильтративной тени (часто с распадом), но и бронхогенного обсеменения как в легком, в котором имеется инфильтрат, так и в противоположном легком. Часто у больных инфильтративным туберкулезом имеются различные виды эндобронхита. Диагноз инфильтративного туберкулеза легких еще не определяет всего многообразия патологических изменений при этой форме туберкулеза, в эпикризе желательно выделить клиник о-рентгенатогический вариант заболевания: круглый, облаковидный, лобит, перисциссурит, лобулярный.

Очень редко инфильтративный туберкулез протекает бессимптомно и малосимптомно, хотя такое течение возможно. В прежние годы у 25% больных инфильтративным туберкулезом наблюдалось малосимптомное течение. У подавляющего большинства лиц с инфильтративным туберкулезом клиническая картина заболевания характеризуется повышением до 38-38,5°С температуры тела, правда, такое повышение может держаться не очень долго - 5-6-10 дней. Отмечаются и другие симптомы интоксикации. Может появиться потливость, снижается работоспособность, появляется кашель, который не носит мучительного характера и не всегда привлекает внимание больного, как и при очаговом туберкулезе легких, но в основном сопровождается выделением мокроты, особенно если развивается деструктивный процесс. Иногда возникает кровохарканье. Этот симптом при инфильтративном туберкулезе встречается чаще, чем при очаговом. При выслушивании больных инфильтративным туберкулезом (особенно при наличии распада) слышны хрипы. Можно сказать, что чем обширнее инфильтративный процесс, тем чаще выявляются хрипы. Хрипы выслушиваются на протяжении всего нескольких дней, после начала лечения они исчезают особенно быстро. При пневмонии хрипы выслушиваются несколько дольше. При обширных инфильтратах может быть и притупление в соответствующих областях легких. Может быть измененное дыхание, но все-таки надо сказать, что эти проявления инфильтративного туберкулеза выражены не так ярко, как при банальной пневмонии. У больных с инфильтративным туберкулезом легких даже при лобите не встречается резко выраженного бронхиального дыхания, которое наблюдается при пневмонии. Однако отметим, что стетоакустическая картина при банальных пневмониях в настоящее время тоже нередко характеризуется стертостью, малосимптомностью.

Клинические проявления, отмечающиеся у больных инфильтративным туберкулезом и пневмонией, все больше и больше сближаются, и все труднее проводить дифференциальную диагностику между этими заболеваниями только по клиническим проявлениям. Даже при типичной крупозной пневмонии настоящая, классическая клиническая картина встречается далеко нечасто. Наоборот, это скорее исключение. В настоящее время по клинической симптоматологии дифференциальную диагностику провести трудно. Клинические проявления настолько подвержены индивидуальным различиям, что строить дифференциальную диагностику на этих признаках просто невозможно. Но тем не менее стетоакустические данные позволяют (особенно при обширных инфильтратах) сделать заключение о наличии легочной патологии и какого-то воспалительного процесса в легких. При ограниченных инфильтратах, особенно при круглых, облаковидных и небольших перисциссуритах при стетоакустическом исследовании патологических проявлений может не быть. Выявить инфильтрат в этом случае возможно только рентгенологическим методом.

Рентгенодиагностика инфильтративного туберкулеза легких - важный этап при обследовании больного, особенно с учетом вариантов инфильтративного туберкулеза. Однако ряд других заболеваний легких имеет сходную рентгенологическую картину, поэтому на основании только клинико-рентгенологических данных диагноз туберкулеза все-таки ставить нельзя. Подобная рентгенологическая картина может быть при затянувшихся пневмониях, пневмониях с явлениями распада, т. е. абсцедирования, при опухолях легких, и

особенно трудна дифференциальная диагностика между инфильтративным туберкулезом и пневмониями, появившимися у больных со старыми туберкулезными очагами. Очень частой ошибкой является заключение о туберкулезе, когда старые туберкулезные очаги расцениваются как бесспорный признак инфильтративного туберкулеза.

Важнейшим диагностчиеским методом является бактериологическая диагностика. Микобактерии туберкулеза могут быть выявлены методом как микроскопии, так и посева. Диагноз инфильтративного туберкулеза должен подтверждаться наличием микобактерии. Если уже имеется сформированная или формирующаяся четко видимая на рентгенограмме полость, у больных инфильтративным туберкулезом в 96-97% случаев удается обнаружить микобактерии туберкулеза. Труднее найти микобактерии, если на предыдущих этапах больного лечили туберкулостатическими препаратами или комбинацией пенициллина и стрептомицина. В настоящее время такая комбинация нередко применяется для лечения пневмонии. У таких больных частота находок микобактерии резко падает. Поэтому при выявлении больных с наличием инфильтративно-пневмонических изменений в легких обязательно до начала лечения нужно провести тщательное исследование мокроты. Если мокроты нет, ее нужно вызвать с помощью провоцирующих аэрозолей. Если полость видна только на томограмме, если она только формируется или у больного только фаза распада, простая микроскопия позволяет найти микобактерии примерно у 30% больных, у остальных 60% возбудителя можно выявить методом посева. И опять-таки посев нужно делать в течение 3 дней подряд и до применения химиотерапевтических средств, подавляющих размножение микобактерий. Наши данные позволяют утверждать, что можно верифицировать диагноз туберкулеза, применяя метод микроскопии и посева. При этом результативность исследования зависит, во-первых, от многократности (не менее 3 раз) исследования, во-вторых, исследование нужно провести до лечения и, в-третьих, обязательно проследить, какой материал направляется в лабораторию для этой цели. Это очень существенный момент. Если мокроты мало, рекомендуется собирать ее в течение суток или начать сбор хотя бы после обеда, продолжить его в вечернее время, ночью и утром.

Иногда результаты анализа мокроты могут ввести врача в заблуждение: у больных с развившейся пневмонией может быть однократное или повторяющееся несколько раз бактериовыделение за счет разрушения старых туберкулезных очагов, попавших в зону пневмонического воспаления. В данном случае инфильтративно-пневмонические изменения в легких исчезают довольно быстро под влиянием лечения антибиотиками широкого спектра действия. Такие больные в длительной противотуберкулезной химиотерапии не нуждаются, достаточно провести 2-3-месячный курс превентивной химиотерапии изониазидом. Факт обнаружения микобактерий должен рассматриваться в сочетании с другими признаками как один из элементов диагностического симптомокомплекса. Один из важных признаков инфильтративного туберкулеза - довольно характерная картина крови. У больных инфильтративным туберкулезом легких, как правило, не бывает высокого лейкоцитоза при наличии повышенной СОЭ, а у больных пневмонией лейкоцитоз и сдвиг влево являются типичными признаками. Если в крови выявляются лейкоцитоз и сдвиг влево, которые вызывают подозрение о возможном участии в воспалительном процессе смешанной флоры, нужно сделать анализ мокроты на такую флору, что помогает дифференциальной диагностике, особенно если наряду с этим проводится серо логическое исследование на наличие специфических антител. Определяют антитела к микобактериям туберкулеза и неспецифической флоре.

У больных инфильтративным туберкулезом, как правило, имеются сочетание микобактерий в мокроте и высокий титр туберкулезных антител при наличии характерной рентгенологической картины. У больных пневмонией обнаруживаются неспецифическая флора и высокий титр антител к этой флоре. Особое значение имеет такая сочетанная бактериологическая и иммунологическая диагностика у больных с развившейся пневмонией на фоне метатуберкулезных изменений, в том числе старых очагов. Особо трудна дифференциальная диагностика туберкулеза и пневмонии при локализации воспалительного процесса в средней (язычковой) доле легкого.

Бронхоскопия является важным методом диагностики, хотя далеко не всегда при инфильтративном туберкулезе легких отмечается сопутствующий специфический эндобронхит. Но такая находка, конечно, облегчает диагностику. Разлитой базальный эндобронхит, большое количество гноя в основном свидетельствуют о пневмоническом процессе. Правда, нужно быть очень осторожным, надо выяснить, не является ли больной курильщиком, нет ли у больного эмфиземы, бронхоэктазов, так как инфильтративный процесс туберкулеза может возникнуть у больного хроническим бронхитом, с бронхоэктазами, эмфиземой. Поэтому сама по себе указанная находка при бронхологическом исследовании не имеет решающего значения для диагностики, но в общем комплексе эти данные могут существенно ее облегчить. Туберкулиновые пробы у больных инфильтративным туберкулезом положительны, однако это дифференциально-диагностического значения не имеет. С этой целью проводят более углубленную туберкулинодиагностику - подкожное введение туберкулина с соответствующими лабораторными исследованиями (гемотуберкулиновые пробы). Гемотуберкулиновые пробы применяются при дифференциальной диагностике туберкулеза и опухолей легкого, когда нужно отвергнуть туберкулезную этиологию изменений, имеющихся в легких.

Для дифференциальной диагностики и последующего наблюдения за больными инфильтративным туберкулезом большое значение имеет анализ течения заболевания, в том числе в процессе лечения. Можно выделить два основных варианта течения инфильтративного туберкулеза легких.

1. Прогрессирующее течение характеризуется образованием деструкции, формирующейся очень быстро, как это уже подчеркивалось. При этом обращает на себя внимание диссоциация между клиническими проявлениями заболевания и динамикой морфологических изменений в легких. Повышенная температура тела, характерная для начала инфильтративного туберкулеза, постепенно снижается через 10-15 дней после начала болезни. К этому времени уменьшается выраженность «грудных» симптомов или они исчезают (кашель, выделение мокроты, определявшиеся ранее хрипы). Это улучшение в состоянии больного В. А. Равич-Щербо называл мнимым выздоровлением, так как у таких больных инфильтративным туберкулезом формировалась деструкция. При отсутствии лечения через некоторое время вновь возобновлялись «грудные» симптомы и интоксикация, т. е. развивалась вспышка. Затихание ее закономерно сменяется очередной вспышкой, и весь этот волнообразный процесс сопровождается постепенным развитием кавернозного туберкулеза с продолжающимся бактериовыделением.

2. Инволютивное течение имеет место при рациональном лечении. Для него характерно постепенное исчезновение клинических проявлений заболевания; раньше исчезают «грудные» симптомы, затем интоксикация, восстанавливается субъективное ощущение здоровья, как правило, в течение первых 3 мес прекращается выделение с мокротой микобактерий туберкулеза. Медленнее подвергаются инволюции морфологические изменения в легких, они характеризуются рассасыванием воспалительных очагов и закрытием деструкции, если она успела сформироваться. Инфильтративные процессы могут полностью прекратиться без видимых изменений, на месте инфильтрата могут оставаться очаги фиброзных изменений, выраженные в разной степени. У некоторых больных воспалительные и казеозные очаги могут осумковываться, и у таких больных формируется туберкулема. Этот вариант инволюции инфильтративного туберкулеза, так же как и формирование выраженного метатуберкулезного синдрома в виде цирроза доли или сегмента, не может считаться благоприятным исходом.

Нужно подчеркнуть, что исход инфильтративного туберкулеза во многом зависит от своевременного выявления больных, эффективности лечения, которое проводится в условиях стационара, а затем санатория. Больные находятся под диспансерным наблюдением сначала по I, а затем последовательно II, III и VII группе учета.

Приложения: 
1.in_.slayd6_.jpg2.in_.slayd7_.jpg
Катенёв Валентин Львович аватар
Не на сайте
Был на сайте: 7 лет 1 неделя назад
Зарегистрирован: 22.03.2008 - 22:15
Публикации: 54876

Инфильтративный туберкулез лёгких.

Приложения: 
1.inf_..slayd10.jpg2.inf_..slayd11.jpg3.inf_..slayd12.jpg
Катенёв Валентин Львович аватар
Не на сайте
Был на сайте: 7 лет 1 неделя назад
Зарегистрирован: 22.03.2008 - 22:15
Публикации: 54876

 

                    Рентгенологическая характеристика инфильтративно-пневмонического туберкулеза легких

     На обзорной рентгенограмме определяются, инфильтративные фокусы различной величины: от 1,5 см. в диаметре до поражения целой доли или сегмента, чаще всего в верхних отделах легких.
     Туберкулезные инфильтраты локализуются большей частью в верхних отделах (I, IIи VIсегментах), а неспецифические воспалительные процессы –в средних и нижних полях.
      От туберкулезного инфильтрата отходит «дорожка» к корню легкого; обычно по периферии основного фокуса поражения заметны отдельные очаговые тени, последние могут быть и в других участках этого же или противоположного легкого как результат бронхогенного обсеменения.
      Интенсивность фокусов различная, большей частью они окаймлены нечетким, размытым контуром, имеют неправильную форму, негомогенную структуру.
          При сегментарном и долевом поражении контуры инфильтрата будут четкими. В прилегающих участках легкого определяются очаги различной величины, сетчатость, тяжистость, воспалительная "дорожка" к корню.    
      Инфильтративно-пневмонический туберкулез легких осложняется распадам с формированием каверны. Она обнаруживается в виде просветления в инфильтрате, имеет округлую или неправильную форму, с четким внутренним контуром.

Различают следующие клинико-рентгенологические типы инфильтратов:
1)
бронхолобулярный инфильтрат;
2)округлый инфильтрат;
3)облаковидный инфильтрат;
4)перисциссурит;
5)лобит;
6)казеозная пневмония;

(а) - Бронхолобулярный инфильтрат – это фокус, расположенный в кортикальных отделах I или II сегментов верхней доли легкого, неправильно округлой формы, с нечеткими контурами, диаметром 1–3 см. При томографии он состоит из 2–3 или нескольких слившихся свежих очагов. Протекает бессимптомно, без функциональных изменений и бацилловыделения.
     (b) - Округлый инфильтрат – это фокусы затемнения округлой или овальной формы, нерезко контурированные, диаметром 1,5–2 см, расположенные чаще в III или VI сегментах легких. От них к корню легкого идет воспалительная «дорожка», на фоне которой определяется проекция бронха.

 

Приложения: 
03_10_05_inf_scheme_a-b.gif
Катенёв Валентин Львович аватар
Не на сайте
Был на сайте: 7 лет 1 неделя назад
Зарегистрирован: 22.03.2008 - 22:15
Публикации: 54876

 

  (a) - Облаковидный инфильтрат рентгенологически представляет собой неравномерное затемнение, контуры тени которого расплывчаты, распространяется на один или несколько сегментов верхней доли легкого.

  (b) - Туберкулезный инфильтрат напоминает картину неспецифической пневмонии, но отличается от нее стойкостью рентгенологических изменений, тенденцией к распаду и образованию каверн. 

Приложения: 
03_10_05_inf_scheme_2_a_b.gif
Катенёв Валентин Львович аватар
Не на сайте
Был на сайте: 7 лет 1 неделя назад
Зарегистрирован: 22.03.2008 - 22:15
Публикации: 54876

 

При рентгено-томографическом исследовании удается выявить включения более плотных или обызвествленных очагов, наличие мелких полостей распада, плевральных изменений, рубцовых образований. При прогрессировании круглых инфильтратов происходит увеличение зоны перифокального воспаления, появление признаков распада казеозного центра с образованием каверны. В каверне содержатся секвестры и небольшое количество жидкости – пневмониогенная каверна.

В результате бронхогенного обсеменения в здоровых участках легких появляются очаги различной величины.

 

(a) - Перисциссурит, или краевой инфильтрат – это облаковидный инфильтрат, расположенный у междолевой борозды.Вершина треугольника обращена к корню легкого, основание – кнаружи. Верхние границы расплывчаты и переходят без резких очертаний в малоизмененную легочную ткань. Нижняя граница соответствует междолевой плевре и поэтому четкая.

(b)- Лобит – воспалительный туберкулезный процесс, распространяющийся на всю долю легкого. 

Приложения: 
03_10_05_inf_scheme_3_a_b.gif
Катенёв Валентин Львович аватар
Не на сайте
Был на сайте: 7 лет 1 неделя назад
Зарегистрирован: 22.03.2008 - 22:15
Публикации: 54876

Инфильтративный туберкулез (обзорный снимок + томограмма). В верхней доле левого легкого определяется участок инфильтрации неправильной формы, размером 6 х 7 см. Интенсивность участка средняя, без четких контуров

Приложения: 
03_10_4.gif03_10_5.gif
Катенёв Валентин Львович аватар
Не на сайте
Был на сайте: 7 лет 1 неделя назад
Зарегистрирован: 22.03.2008 - 22:15
Публикации: 54876

 Деструктивный лобит правой верхней доли

Приложения: 
03_10_05_81.gif
Катенёв Валентин Львович аватар
Не на сайте
Был на сайте: 7 лет 1 неделя назад
Зарегистрирован: 22.03.2008 - 22:15
Публикации: 54876