Кальцификация базальных ганглиев является неспецифическим феноменом и может иметь место при целом ряде системных метаболических дефектов, инфекционных, эндокринных, сосудистых и иных заболеваниях, каждое из которых имеет свои особенности клинических проявлений и различный прогноз. В качестве случайной находки кальцификация базальных ганглиев выявляется при КТ в 0,7% всех обследуемых случаев, чаще у лиц старше 60 лет, при этом какие-либо клинические проявления обычно отсутствуют. Самостоятельную нозологическую форму представляет собой семейная идиопатическая кальцификация базальных ганглиев - болезнь Фара.
В большинстве описанных в литературе семей болезнь Фара наследуется по аутосомно-доминантному типу с неполной пенетрантностью; иногда могут встречаться спорадические случаи заболевания. Ген болезни Фара картирован на хромосоме 14q.
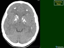
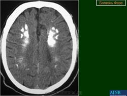
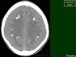
Наиболее типичной областью локализации кальцификатов при болезни Фара является бледный шар. Кроме того, они могут обнаруживаться в области скорлупы, хвостатого и зубчатого ядер, таламуса, внутренней капсулы, мозжечка, белого вещества больших полушарий мозга. При микроскопическом исследовании было показано, что отложения кальция находятся в экстрацеллюлярном и экстраваскулярном пространствах, часто вокруг капилляров вещества мозга. До настоящего времени не установлено, являются ли кальцификаты при болезни Фара вторичным проявлением локального повреждения гематоэнцефалического барьера, либо обусловлены нарушением внутриклеточного метаболизма кальция. В любом случае, у больных с идиопатической кальцификацией базальных ганглиев системные нарушения кальциево-фосфатного обмена не выявляются.
Заболевание начинается обычно в возрасте 30-60 лет. Ядром клинической картины являются дизартрия, полиморфная экстрапирамидная симптоматика, мозжечковая атаксия, эпилептические припадки, психические нарушения. У больных могут наблюдаться разнообразные экстрапирамидные расстройства: паркинсонизм, дистония, хорея, которые встречаются изолированно или в различных, нередко весьма причудливых комбинациях. Синдром паркинсонизма при данном заболевании обычно не чувствителен к препаратам леводопы, что обусловлено преимущественно стриопаллидарной локализацией патологического процесса. У большинства больных развиваются когнитивные нарушения «лобно-подкоркового» типа, сопровождающиеся расстройствами в эмоционально-волевой сфере (депрессией, аспонтанностью), постепенно нарастающими изменениями личности. Нередко у больных наблюдаются шизофреноподобные психозы. Следует отметить, что для болезни Фара весьма характерен выраженный полиморфизм клинических проявлений даже у родственников из одной и той же семьи.
Основным методом прижизненной диагностики болезни Фара является КТ мозга, выявляющая симметричные участки резко повышенной плотности, располагающиеся в указанных выше структурах мозга. Иногда симметричные кальцификаты в виде точечных «вкраплений» могут быть видны на обычных рентгеновских снимках черепа, чаще в супраселлярной области на расстоянии 3-4 см от средней линии. Важно подчеркнуть, что при подозрении на идиопатическую кальцификацию базальных ганглиев важно проводить нейровизуализационное обследование ближайших родственников больного.
Продолжение.
Кальцификация базальных ганглиев - болезнь Фара.
Кальцификация базальных ганглиев является неспецифическим феноменом и может иметь место при целом ряде системных метаболических дефектов, инфекционных, эндокринных, сосудистых и иных заболеваниях, каждое из которых имеет свои особенности клинических проявлений и различный прогноз. В качестве случайной находки кальцификация базальных ганглиев выявляется при КТ в 0,7% всех обследуемых случаев, чаще у лиц старше 60 лет, при этом какие-либо клинические проявления обычно отсутствуют. Самостоятельную нозологическую форму представляет собой семейная идиопатическая кальцификация базальных ганглиев - болезнь Фара.
В большинстве описанных в литературе семей болезнь Фара наследуется по аутосомно-доминантному типу с неполной пенетрантностью; иногда могут встречаться спорадические случаи заболевания. Ген болезни Фара картирован на хромосоме 14q.
Наиболее типичной областью локализации кальцификатов при болезни Фара является бледный шар. Кроме того, они могут обнаруживаться в области скорлупы, хвостатого и зубчатого ядер, таламуса, внутренней капсулы, мозжечка, белого вещества больших полушарий мозга. При микроскопическом исследовании было показано, что отложения кальция находятся в экстрацеллюлярном и экстраваскулярном пространствах, часто вокруг капилляров вещества мозга. До настоящего времени не установлено, являются ли кальцификаты при болезни Фара вторичным проявлением локального повреждения гематоэнцефалического барьера, либо обусловлены нарушением внутриклеточного метаболизма кальция. В любом случае, у больных с идиопатической кальцификацией базальных ганглиев системные нарушения кальциево-фосфатного обмена не выявляются.
Заболевание начинается обычно в возрасте 30-60 лет. Ядром клинической картины являются дизартрия, полиморфная экстрапирамидная симптоматика, мозжечковая атаксия, эпилептические припадки, психические нарушения. У больных могут наблюдаться разнообразные экстрапирамидные расстройства: паркинсонизм, дистония, хорея, которые встречаются изолированно или в различных, нередко весьма причудливых комбинациях. Синдром паркинсонизма при данном заболевании обычно не чувствителен к препаратам леводопы, что обусловлено преимущественно стриопаллидарной локализацией патологического процесса. У большинства больных развиваются когнитивные нарушения «лобно-подкоркового» типа, сопровождающиеся расстройствами в эмоционально-волевой сфере (депрессией, аспонтанностью), постепенно нарастающими изменениями личности. Нередко у больных наблюдаются шизофреноподобные психозы. Следует отметить, что для болезни Фара весьма характерен выраженный полиморфизм клинических проявлений даже у родственников из одной и той же семьи.
Основным методом прижизненной диагностики болезни Фара является КТ мозга, выявляющая симметричные участки резко повышенной плотности, располагающиеся в указанных выше структурах мозга. Иногда симметричные кальцификаты в виде точечных «вкраплений» могут быть видны на обычных рентгеновских снимках черепа, чаще в супраселлярной области на расстоянии 3-4 см от средней линии. Важно подчеркнуть, что при подозрении на идиопатическую кальцификацию базальных ганглиев важно проводить нейровизуализационное обследование ближайших родственников больного.
Фара болезнь.