Пар. Эхинококкоз 1. +

Эхинококкоз.

Катенёв Валентин Львович аватар
Не на сайте
Был на сайте: 7 лет 2 месяцев назад
Зарегистрирован: 22.03.2008 - 22:15
Публикации: 54876

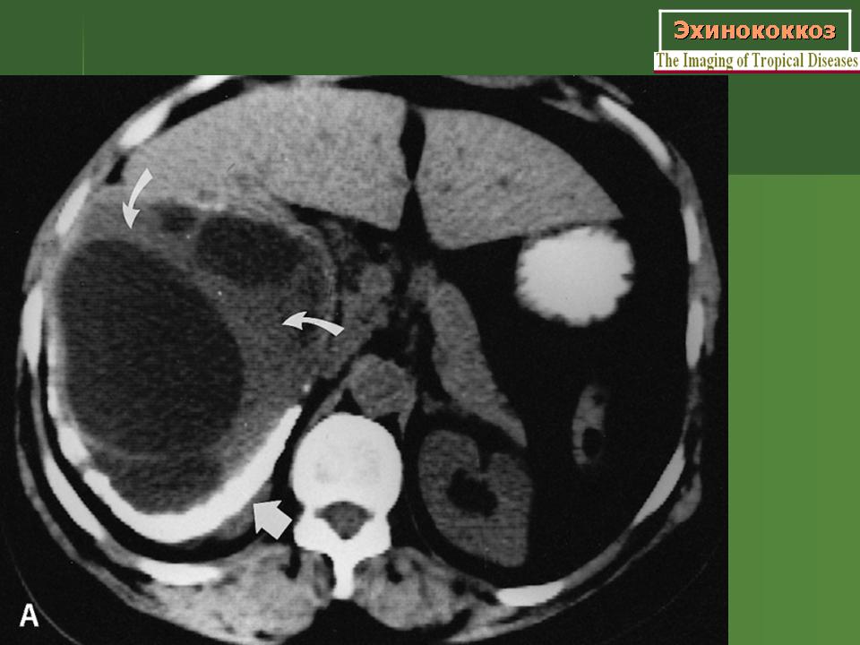
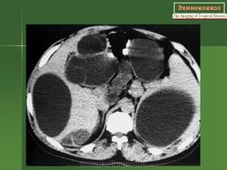
Эхинококкоз ( Ecninococcus unilocularis )

 

 

Приложения: 
1.e.slayd36.jpg2.e.slayd37.jpg3.e.slayd38.jpg4.e.slayd39.jpg1.eh_.slayd112.jpg1.eh_.slayd113.jpg3.eh_.slayd114.jpg4.eh_.slayd115.jpg5.eh_.slayd116.jpg6.eh_.slayd117.jpg7.eh_.slayd118.jpg8.eh_.slayd119.jpg
Катенёв Валентин Львович аватар
Не на сайте
Был на сайте: 7 лет 2 месяцев назад
Зарегистрирован: 22.03.2008 - 22:15
Публикации: 54876

Продолжение.

Приложения: 
1.eheslayd106.jpg2.eh_.slayd107.jpg3.eh_.slayd108.jpg4.eh_.slayd109.jpg5.eh_.slayd110.jpg6.eh_.slayd111.jpg1.eh_.slayd120.jpg2.eh_.slayd121.jpg3.eh_.slayd122.jpg
Катенёв Валентин Львович аватар
Не на сайте
Был на сайте: 7 лет 2 месяцев назад
Зарегистрирован: 22.03.2008 - 22:15
Публикации: 54876

Продолжение.

Приложения: 
1.eh_.slayd123.jpg2.eh_.slayd124.jpg3.eh_.slayd125.jpg4.eh_.slayd126.jpg5.eh_.slayd127.jpg6.eh_.slayd128.jpg7.eh_.slayd129.jpg8.eh_.slayd130.jpg
Катенёв Валентин Львович аватар
Не на сайте
Был на сайте: 7 лет 2 месяцев назад
Зарегистрирован: 22.03.2008 - 22:15
Публикации: 54876

Эхинококкоз молочной железы.

Приложения: 
41.eh_.slayd197.jpg42.eh_.slayd198.jpg43.eh_.slayd199.jpg44.eh_.slayd200.jpg
Катенёв Валентин Львович аватар
Не на сайте
Был на сайте: 7 лет 2 месяцев назад
Зарегистрирован: 22.03.2008 - 22:15
Публикации: 54876

Продолжение.

Приложения: 
1.e.slayd38.jpg2.e.slayd39.jpg3.e.slayd40.jpg4.e.slayd41.jpg5.e.slayd42.jpg6.e.slayd43.jpg
Катенёв Валентин Львович аватар
Не на сайте
Был на сайте: 7 лет 2 месяцев назад
Зарегистрирован: 22.03.2008 - 22:15
Публикации: 54876

Продолжение.

Приложения: 
1.e.slayd48.jpg2.e.slayd49.jpg3.e.slayd50.jpg
Катенёв Валентин Львович аватар
Не на сайте
Был на сайте: 7 лет 2 месяцев назад
Зарегистрирован: 22.03.2008 - 22:15
Публикации: 54876

Сердце

Приложения: 
113e.slayd117.jpg114e.slayd118.jpg115.e.slayd119.jpg
Катенёв Валентин Львович аватар
Не на сайте
Был на сайте: 7 лет 2 месяцев назад
Зарегистрирован: 22.03.2008 - 22:15
Публикации: 54876

Эхинококкоз

Splenic hydatid cyst </p> <p>

ID: 10637 Hydatid cyst of the spleen Dr Ruslan Esedov - 28 Aug 2010 CT demonstrates a very large cystic mass in the spleen with peripheral c...

CXR</p> <p>

ID: 3564 Hydatid of the spleen Dr Frank Gaillard - 26 May 2008 Incidental hydatid of the spleen.

Случаи и цифры

  •  
    Рисунок 1: жизненный цикл эхинококка
  •  
    Рисунок 2: микроскопия-echinococcus granulosus scolex
  • Изображение показывает p ...
     
    Рисунок 3: фотография патологии
  •  
    Рисунок 4: 
  • однослойный, простой ...
     
    Рисунок 5: стадии в печени
  •  
    Случай 3: забрюшинная гидатида
  • Echinococcus alve ...
     
    Случай 4: гепатит
  • Хорошо определен ...
     
    Случай 5: легочная и печеночная гидатиды
  •  
    Случай 6:
  •  
    Случай 7: 
  •  
    Случай 8: внутричерепные гидатидные кисты
  •  
    Случай 9: 
  •  
    Случай 10: 
  •  
    Случай 11: киста печени, селезенки и легочной гидатиды
  •  
    Случай 12
  •  
    Случай 13
  •  
    Случай 14
  •  
    Случай 15
  •  
    Случай 16: на шее
  •  
    Случай 17: разорванная киста селезеночной гидатиды
  •  
    Случай 18: множественные печеночные и легочные гидатидные кисты
  • Двусторонний ...
     
    Случай 19: легкие, печень и перикардиальная гидатида
  •  
    Случай 20: плевральные гидатидные кисты
Катенёв Валентин Львович аватар
Не на сайте
Был на сайте: 7 лет 2 месяцев назад
Зарегистрирован: 22.03.2008 - 22:15
Публикации: 54876

Эхинококковые кисты печени

Figure 15: Echinococcus cyst in the liver, contrast enhanced CT
Катенёв Валентин Львович аватар
Не на сайте
Был на сайте: 7 лет 2 месяцев назад
Зарегистрирован: 22.03.2008 - 22:15
Публикации: 54876

Продолжение.

 

Приложения: 
1.201510240001.jpg2.201510310163.jpg
Катенёв Валентин Львович аватар
Не на сайте
Был на сайте: 7 лет 2 месяцев назад
Зарегистрирован: 22.03.2008 - 22:15
Публикации: 54876
Катенёв Валентин Львович аватар
Не на сайте
Был на сайте: 7 лет 2 месяцев назад
Зарегистрирован: 22.03.2008 - 22:15
Публикации: 54876
A44917_4_En_21_Fig14_HTML.jpg

Рисунок 21.14 

Многокамерная эхинококковая киста в правых паравертебральных мышцах:
Катенёв Валентин Львович аватар
Не на сайте
Был на сайте: 7 лет 2 месяцев назад
Зарегистрирован: 22.03.2008 - 22:15
Публикации: 54876
A44917_4_En_21_Fig15_HTML.jpg

Рисунок 21.15 

Многокамерный эхинококкоз левого бедра
Катенёв Валентин Львович аватар
Не на сайте
Был на сайте: 7 лет 2 месяцев назад
Зарегистрирован: 22.03.2008 - 22:15
Публикации: 54876

Гидратидная киста в мышце vastus lateralis

https://www.ncbi.nlm.nih.gov/pmc/articles/PMC5726224/

Внешний файл, содержащий изображение, рисунок и т. Д. Имя объекта: 262-264f1.jpg

a) Осевое T1  МРТ-исследование перед терапией альбеданзолом

 

Катенёв Валентин Львович аватар
Не на сайте
Был на сайте: 7 лет 2 месяцев назад
Зарегистрирован: 22.03.2008 - 22:15
Публикации: 54876

Эхинококкоз позвоночника, редкая локализация.

https://www.ncbi.nlm.nih.gov/pmc/articles/PMC5490353/

Внешний файл, содержащий изображение, рисунок и т. Д. Имя объекта: JCVJS-8-159-g001.jpg

(a) Изображения

Катенёв Валентин Львович аватар
Не на сайте
Был на сайте: 7 лет 2 месяцев назад
Зарегистрирован: 22.03.2008 - 22:15
Публикации: 54876

Продолжение.

 

Приложения: 
slayd13144.jpgslayd13244.jpgslayd13344.jpgslayd13444.jpgslayd13544.jpgslayd13644.jpgslayd13744.jpgslayd13844.jpgslayd13944.jpgslayd14044.jpgslayd14144.jpgslayd14244.jpgslayd14344.jpgslayd14444.jpgslayd14544.jpgslayd14644.jpgslayd14744.jpgslayd14844.jpgslayd14944.jpgslayd15044.jpgslayd15144.jpgslayd15244.jpgslayd15344.jpg