Рентгенологическая картина костных и костно-суетавных поражений1 при проказе в настоящее время очень хорошо изучена. Велики здесь заслуги русских и советских авторов, особенно Г. Е. Животовского. Последнему принадлежит обстоятельная и единственная в .мировой литературе монография, посвященная этому вопросу. Рентгенология внесла много ценного для понимания этой древней болезни.
Патологические изменения в костно-суставной системе при проказе локализуются главным образом в периферических отделах скелета верхних и нижних конечностей. Они наблюдаются в любом возрасте, чаще всего у взрослых, одинаково часто у обоих полов. Эти изменения скелета должны быть отнесены к двум совершенно различным по своему существу группам.
Первая группа - изменения, обусловленные образованием в костной ткани хронических воспалительных специфических лепрозных гранулой, раз вивающихся местно вокруг возбудителя проказы - палочки Ганзена. Это так называемый лепроматоз костей, специфический лепрозный остит. Лепромы костей аналогичны грануломам кожи, подкожной клетчатки, нервной системы, различных органов и тканей человеческого тела. Лепромы могут ограничиваться только костной системой, но чаще всего сочетаются с бугристыми кожными проявлениями.
Вторая группа. При проказе развиваются вторичные изменения костей и суставов нервного происхождения, лишенные специфичности. Сюда относятся остеопороз, атрофия костей, всевозможные нервнотрофические нарушения, литические процессы, остеоартропатии и т. д., развивающиеся в самой тесной связи с соответствующими клиническими проявлениями нервной проказы - расстройствами чувствительности, трофическими изменениями в мягких тканях, параличами. Они ведут к характерным калечениям конечностей - мутиляциям, особенно тяжелым именно при лепре.
Третья группа костных и суставных изменений состоит из сочетания первых двух, т. е. специфических лепроматозных грануломатозных преимущественно1 деструктивных очагов и общих неспецифических нервнотрофичееких изменений на почве, очевидно, прямого нарушения кортико-висцеральной регуляции.
Рентгенологически специфические лепрозные оститы наблюдаются в виде (рис. 215) рассеянных множественных изолированных друг от друга очагов разрушения в корковом и преимущественно губчатом веществе эпифизарных и метафизарных концов фаланг, пястных и плюсневых костей. Реже они гнездятся в диафизах. Это резко очерченные округлые или чаще овальные просветления на месте рассасывания костной ткани бациллонесущей гранулойатозной тканью. Величина очагов в губчатом веществе колеблется от 2 до 8 мм в наибольшем длиннике, в корковом же веществе просветления меньше - до 3 мм в диаметре. Характерны весьма четкие контуры, окаймляющие костные изъяны.
Лепромы вызывают истончение коркового слоя, в результате чего могут возникнуть - надломы и переломы, не имеющие склонности к заживлению обычной костной мозолью. Очень характерны в окружности поверхностно расположенных гранулой периоститы малых трубчатых костей, вызывающие подчас даже некоторое вздутие кости. Г. Е. Живо-товский считает весьма показательным для этой формы проказы, т. е. для сочетания кожных и костных поражений, еще довольно резко выраженные муфтообразные оссифицирующие периоститы и остеопериоститы костей голени и в особенности- симметричные пластинчатые периоститы периферических отделов малоберцовых костей. 1Как известно, симметричные изолированные надкостничные наслоения именно этой локализации, т. е. на малоберцовых костях, не встречаются при других заболеваниях и поэтому приобретают известное диференциально- диагностическое значение.
Очаговое разрушение эпифизарных концов костей развивающимися лепромами влечет за собой также характерное изменение суставов, а именно подвывихи и вывихи, т. е. более или менее тяжелые деформации. Лепроматозные дефекты костей, по наблюдениям Г. Е. Животов-ского, отличаются стойкостью и при лечении не замещаются костной тканью.
Что касается нервной формы проказы (рис. 216), то наиболее ранним, постоянным и общим рентгенологическим ее проявлением служит остеопороз. IK остеопорозу рано присоединяются явления остеолиза. Иконография (т. е. описание картины) остеолиза дается различными авторами в традиционном для лепрологии стиле в чрезвычайно тонких и кропотливых внешне описательных образах. Здесь преобладают сравнения с общеизвестными предметами, как, например, отточенными кончиками карандаша, шахматными пешками и другими фигурами, кнопками, пуговицами для воротника, запонками, тающими свечами, обсосанными леденцами, столбиками, иглами и т. д. Существенно то, что налицо частичное или полное рассасывание и исчезновение костных элементов без их замещения другой тканью и без продуктивной репаративной реакции. Характерно истончение и укорочение костей, в первую очередь ногтевых фаланг. Рассасывание ногтевой фаланги начинается с ее ногтевого отростка. Структура бугорка становится крупнопористой, ноздреватой. Затем срезается дистальный или боковой край, развивается плоская или вогнутая узура, постепенно увеличивающаяся, а затем и весь ногтевой отросток сходит на нет; обнажается шейка. Основание фаланги рассасывается с одного края или с обеих сторон, иногда и целиком. В дальнейшем без каких-нибудь клинических признаков очередь доходит до фаланг средних и основных, а также пястных и плюсневых костей, с переходом на запястье и предплюсну, порой до полного исчезновения скелета одного, нескольких, многих или всех пальцев.
В локализации этих костных поражений трудно определить какую-нибудь иннервационную закономерность, т. е. связь с тем или иным иннервационным районом, что свойственно всем костным поражениям "а нервнотрофической почве. Если в одних случаях имеется симметричность поражений, то в подавляющем большинстве случаев удивляет именно асимметрия двусторонних поражений. Тяжесть калечения при нервной проказе не находится в прямой связи с длительностью забдлевания.
Здесь также часто наступают нарушения целости костей -- истинные патологические переломы, без периостальной активности, без заживления костной мозолью. Переломы ускоряют рассасывание костей. Их не следует смешивать рентгенологически с костными дефектами на протяжении метафиза или диафиза кости. Иногда исчезновение костной ткани происходит сильнее проксимально, чем дистально, и отдельные костные участки могут "повиснуть" в мягких тканях. Отсюда они отходят, отторгаются наружу наподобие секвестров при костном панариции; трудно сказать, в какой мере здесь играет роль совсем необязательная вторичная инфекция, крайне вялая, если она действительно имеет место. Иногда развиваются истинные неврогенные остеоартропатии - лепрозные остеоартро-патии.
Вместе с тем при нервной лепре наблюдаются также настоящие костные анкилозы. Чаще всего это происходит в области плюсне-пред-плюсневых суставов, а между суставами малых трубчатых костей кистей и стоп анкилозы при проказе не развиваются. Калечения усугубляются еще тягой мышц. Происходит уклонение фаланг в стороны, большие расхождения суставных концов, крайние деформации. Мы наблюдали и лоозеровекие зоны перестройки костей на обычных и особенно необычных местах, с нормальным или извращенным их течением и исходом.
В третьей группе костных изменений при проказе (рис. 217, 218) сочетаются элементы первых двух групп, т. е. специфические и неспецифические. Из особенностей проказы вытекает крайняя неповторяемость частных проявлений в каждом индивидуальном случае заболевания.
Рентгенологическое исследование костно-суставной системы в некоторых случаях проказы выявляет довольно богатую картину изменений, когда с клинической стороны заболевание еще ничем себя не проявило или же внешних дерматологических, неврологических и т. п. данных еще мало для ответственного распознавания; положительная рентгенологическая симптоматика может и должна направить мысль лечащего врача в сторону устанавливающего диагноза проказы. Это особенно важно в отдельных спорадических случаях.
В нашем распоряжении имеется несколько наблюдений, когда путем рентгенологического исследования была Б раннем периоде диагностирована проказа.
Диференциальная рентгенодиагностика проказы требует включения в круг подлежащих обсуждению заболеваний большого числа нозологических единиц. В первой группе надо иметь в виду множественные травматические кистевидные просветления, атипические формы костного туберкулеза, множественный кистевидный туберкулезный остит Юнглинга, ревматические гранулемы, сифилитический фалангит, множественный гуммозный остеопериостит, фиброзные остеодистрофии и т. д. Во второй группе диапазон еще шире. Это врожденные миэлодисплазии, сухотка спинного мозга, сирин- гомиэлия, миэлиты самой различной природы, болезнь Рейно, облитерирующий тромб- ангит, некоторые формы артериосклероза периферических сосудов, гангрена, склеродермия и склеродактилия, последствия ранений центральной и периферической нервной системы, обморожения, диабет, псориаз, грибковые заболевания конечностей, трофические язвы голени и т. д.
Лепра (синонимы: проказа, болезнь Гансена; leprosy — англ., Aussatz — нем.; la lepre — франц.) — хроническая генерализованная болезнь, поражающая преимущественно кожу и нервную систему (периферические нервы), реже внутренние органы. Этиология. Возбудитель — Mycobacterium lepreae (бацилла Гансена) был открыт норвежским врачом Hansen в 1874 году. Представляет собой кислото-устойчивую палочковидную бактерию, относящуюся к семейству Mycobacleriaceae. Она не растет на искусственных питательных средах, а также в культурах тканей. Размножение возбудителя наблюдается при заражении мышей в подушечки лапок, при заражении броненосцев и некоторых видов обезьян. Размножение происходит чрезвычайно медленно. Чувствительна крифампицину и некоторым сульфаниламидным препаратам. Эпидемиология. Лепра широко распространена в странах Африки, Азии и Южной Америки. В период с середины 1960-х до середины 1980-х годов число больных лепрой в мире было довольно стабильным и составляло 10—12 млн. Применение во многих странах комбинированной терапии привело к снижению в 1991 году числа больных до 5,5 млн. Число лиц с деформациями вследствие лепры (включая излечившихся) составляло 2—3 млн человек. На 25 стран приходится 95% больных, а на 5 из них — 82% больных лепрой. Наиболее распространена лепра в Индии (около 3 млн), Нигерии, Бразилии, Индонезии, Вьетнаме. В США и странах Европы спорадические случаи лепры выявляются у иммигрантов из эндемичных регионов. Передача инфекции происходит при тесном и длительном контакте с больным (между супругами, от родителей к детям). При контакте с нелеченными больными лепрой риск заражения около 10%. Инфицирование детей в семьях чаше происходит в возрасте до 10 лет. Резервуаром инфекции в природе могут быть дикие броненосцы и низшие приматы, но случаев заражения от них человека не описано. Мужчины заболевают чаше, чем женщины. Патогенез. Воротами инфекции является кожа и слизистая оболочка верхних дыхательных путей. От момента внедрения микробов до появления первых проявлений чаще проходит от 3 до 5 лет, но иногда и несколько десятилетий. Развернутая картина болезни развивается далеко не во всех случаях. Лишь у 10—20% инфицированных лиц развиваются малозаметные признаки инфекции и лишь у половины из них (т.е. у 5-10% инфицированных) в дальнейшем формируется развернутая картина болезни. Развитие определенной клинической формы связывают с генетическими особенностями организма (в частности с гаплотипами HLA). У больных лепрой выявляется дефект клеточного иммунитета, существенно отличающийся от дефектов клеточного иммунитета у ВИЧ-инфицированных. Даже при интенсивной гематогенной диссеминации возбудителя деструктивные процессы ограничиваются кожей, периферическими нервами, передними отделами глаза, яичками, верхними и нижними конечностями. Особенно часто поражается локтевой нерв около локтевого сгиба. При лепроматозной форме лепры микобактерии обнаруживаются в печени, селезенке, костном мозге. Симптомы и течение. Инкубационный период колеблется от 6 мес до нескольких десятилетий (чаще 3-5 лет). По клинико-гистологическим данным болезнь подразделяют на две формы: лепроматозная и туберкулоидная. При первой наиболее выражены кожные поражения, в меньшей степени поражаются нервы. При туберкулоидной форме кожные изменения менее заметны и более выражены поражения нервных стволов. Есть и пограничные формы. Болезнь развивается постепенно. У некоторых больных может отмечаться повышение температуры тела, слабость, боли в суставах, у других лихорадка отсутствует, отмечается анемия, слабость, сонливость, могут быть парестезии, расстройства потоотделения. Типичным проявлением ранней лепры считается появление кожных изменений. Появляется одно или несколько гипопигментированных пятен или гиперпигментированных бляшек, в области которых чувствительность полностью отсутствует или отмечается парестезия. При локализации очагов поражения на лице чувствительность может сохраняться. Туберкулоидная лепра впервые описана Ядассоном в 1898 г. В начальной стадии часто проявляется четко отграниченными пятнами гипопигментации кожи с пониженной чувствительностью. Позднее очаги увеличиваются в размерах, края их приподнимаются и приобретают кольцевидную форму. Отмечается периферическое распространение и заживление в центре. Сформировавшиеся очаги полностью утрачивают чувствительность и кожные образования (потовые железы и волосяные фолликулы). Наблюдаются и другие варианты кожных изменений (простые эритематозные изменения без признаков инфильтрации, папулезные, сходные с сифилитическими папулами, бугорковые и др.). Нервы рано вовлекаются в процесс. Поверхностные нервы, идущие от очага поражения, могут увеличиваться в размерах. Увеличенные периферические нервы (особенно локтевой, малоберцовый и некоторые другие) могут пальпироваться, а иногда становятся заметными при осмотре. В результате повреждения нервов развивается атрофия мышц кисти, контрактуры кисти и стопы. Развиваются подошвенные язвы (результаты травм), потери фаланг, кератит, изъязвление роговой оболочки с потерей зрения. Лепроматозная форма характеризуется резко выраженными изменениями кожи, слизистых оболочек и лимфатических узлов. Кожные очаги проявляются в виде пятен, узлов, бляшек. Пятна обычно гипопигменти-рованы, имеют нечеткие границы, а центральные участки их приподняты за счет уплотнения и инфильтрации, а не вогнуты, как при туберкулоидной форме лепры. Между очагами также можно обнаружить инфильтрацию кожи. Очаги кожных поражений чаще всего располагаются на лице (нос, щеки, брови), ушных раковинах, запястьях, локтевых суставах, ягодицах, коленных суставах. Выраженность инфильтрации, уплотнения и других поражений кожи постепенно прогрессирует. Характерно выпадение бровей (особенно боковых участков), свисание мочек ушных раковин, западает спинка носа. Мощная глубокая инфильтрация кожи лица приводит к образованию крупных складок, особенно на лбу (львиное лицо). Характерным является поражение слизистой оболочки носа, что приводит к затруднению носового дыхания, носовым кровотечениям, иногда к полной обструкции носовых ходов, разрушению носовой перегородки, нос становится седловидным. Могут наблюдаться ларингит, кератит, иридоциклит. У мужчин инфильтрация и рубцевание яичек приводит к стерильности, часто развивается гинекомастия. Паховые и подмышечные лимфатические узлы значительно увеличены, но безболезненны. Выраженных изменений периферических нервов не отмечается, однако чувствительность дистальных отделов конечностей существенно снижена. Пограничная лепра сочетает признаки туберкулоидной и лепроматозной формы болезни. Осложнения. Травмы и повторные вторичные инфекции приводят к деформации кисти, потере пальцев и дистальных отделов конечностей, могут развиваться слепота, амилоидоз. Диагноз и дифференциальный диагноз. При распознавании учитывают эпидемиологические предпосылки (длительное пребывание в эндемичных регионах, контакт с больными лепрой) и характерные клинические проявления (поражения кожи, периферических нервов и др.). Подтверждением диагноза является обнаружение кислотоустойчивых микобактерии в материале из кожных очагов, полученных методом соскоба-иссечения, гистологическое исследование биоптатов кожи (особенно доказательным являются признаки поражения периферических нервов). Разработаны серологические методы, позволяющие выявлять специфические антитела у 50-95% больных лепрой. Дифференцировать необходимо от красной волчанки, саркоидоза, кожного лейшманиоза и многих кожных болезней (различные дерматозы, эритемы и пр.). Лечение. Используют этиотроппую терапию. Основным препаратом является дапсон (4,4-диаминодифенилсульфон, дифенилсульфон). Взрослым больным препарат назначают от 50 до 100 мг 1 раз в сутки. Лечение длительное. Хотя через 12 нед большая часть микробов погибает, однако возможны рецидивы после прекращения лечения (иногда через 5—10 лет). Наблюдаются устойчивые к дапсону микобактерии. Очень активным препаратом является рифампицин (после приема 1500 мг препарата через 5 дней уже не удается обнаружить микобактерии). Препарат назначают по 600 мг/сут. Из-за дороговизны в развивающихся странах рифампицин назначают по 600 мг 2 раза в неделю и даже 1 раз в месяц. Имеются и другие препараты, которые еще недостаточно проверены. Полный курс терапии равен 24 мес. Профилактика и мероприятия в очаге. Раннее выявление и лечение больных лепрой.
Продолжение.
Изменения костей и суставов при проказе
Рентгенологическая картина костных и костно-суетавных поражений1 при проказе в настоящее время очень хорошо изучена. Велики здесь заслуги русских и советских авторов, особенно Г. Е. Животовского. Последнему принадлежит обстоятельная и единственная в .мировой литературе монография, посвященная этому вопросу. Рентгенология внесла много ценного для понимания этой древней болезни.
Патологические изменения в костно-суставной системе при проказе локализуются главным образом в периферических отделах скелета верхних и нижних конечностей. Они наблюдаются в любом возрасте, чаще всего у взрослых, одинаково часто у обоих полов. Эти изменения скелета должны быть отнесены к двум совершенно различным по своему существу группам.
Первая группа - изменения, обусловленные образованием в костной ткани хронических воспалительных специфических лепрозных гранулой, раз вивающихся местно вокруг возбудителя проказы - палочки Ганзена. Это так называемый лепроматоз костей, специфический лепрозный остит. Лепромы костей аналогичны грануломам кожи, подкожной клетчатки, нервной системы, различных органов и тканей человеческого тела. Лепромы могут ограничиваться только костной системой, но чаще всего сочетаются с бугристыми кожными проявлениями.
Вторая группа. При проказе развиваются вторичные изменения костей и суставов нервного происхождения, лишенные специфичности. Сюда относятся остеопороз, атрофия костей, всевозможные нервнотрофические нарушения, литические процессы, остеоартропатии и т. д., развивающиеся в самой тесной связи с соответствующими клиническими проявлениями нервной проказы - расстройствами чувствительности, трофическими изменениями в мягких тканях, параличами. Они ведут к характерным калечениям конечностей - мутиляциям, особенно тяжелым именно при лепре.
Третья группа костных и суставных изменений состоит из сочетания первых двух, т. е. специфических лепроматозных грануломатозных преимущественно1 деструктивных очагов и общих неспецифических нервнотрофичееких изменений на почве, очевидно, прямого нарушения кортико-висцеральной регуляции.
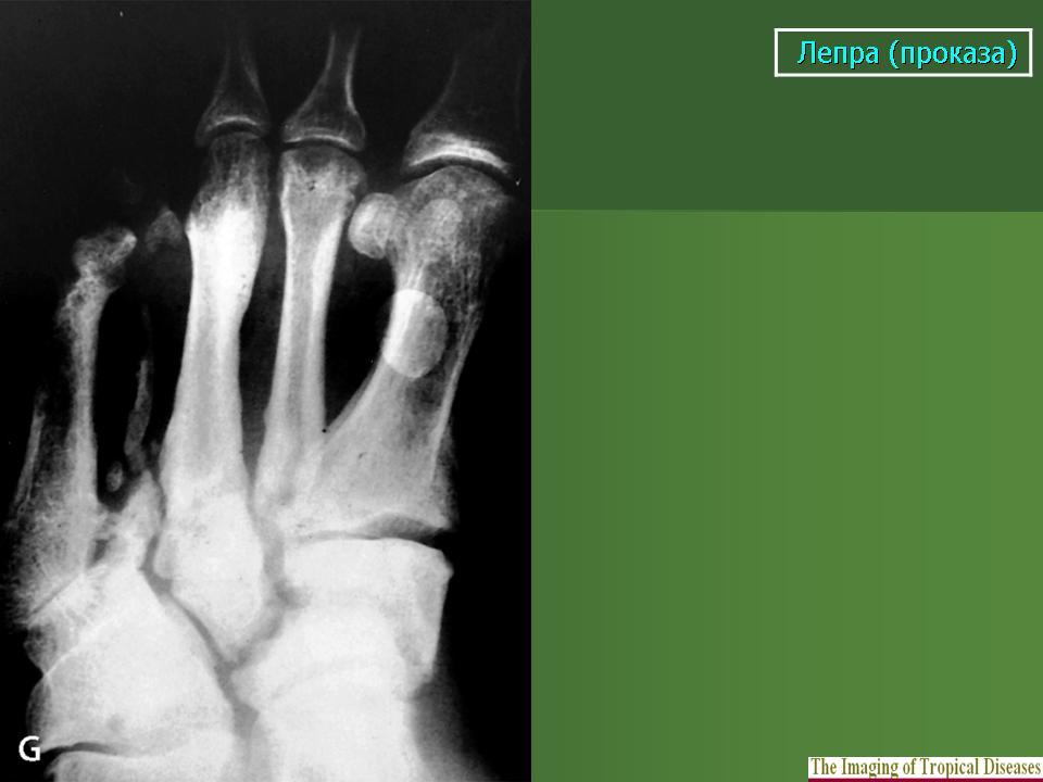
Рентгенологически специфические лепрозные оститы наблюдаются в виде (рис. 215) рассеянных множественных изолированных друг от друга очагов разрушения в корковом и преимущественно губчатом веществе эпифизарных и метафизарных концов фаланг, пястных и плюсневых костей. Реже они гнездятся в диафизах. Это резко очерченные округлые или чаще овальные просветления на месте рассасывания костной ткани бациллонесущей гранулойатозной тканью. Величина очагов в губчатом веществе колеблется от 2 до 8 мм в наибольшем длиннике, в корковом же веществе просветления меньше - до 3 мм в диаметре. Характерны весьма четкие контуры, окаймляющие костные изъяны.
Лепромы вызывают истончение коркового слоя, в результате чего могут возникнуть - надломы и переломы, не имеющие склонности к заживлению обычной костной мозолью. Очень характерны в окружности поверхностно расположенных гранулой периоститы малых трубчатых костей, вызывающие подчас даже некоторое вздутие кости. Г. Е. Живо-товский считает весьма показательным для этой формы проказы, т. е. для сочетания кожных и костных поражений, еще довольно резко выраженные муфтообразные оссифицирующие периоститы и остеопериоститы костей голени и в особенности- симметричные пластинчатые периоститы периферических отделов малоберцовых костей. 1Как известно, симметричные изолированные надкостничные наслоения именно этой локализации, т. е. на малоберцовых костях, не встречаются при других заболеваниях и поэтому приобретают известное диференциально- диагностическое значение.
Очаговое разрушение эпифизарных концов костей развивающимися лепромами влечет за собой также характерное изменение суставов, а именно подвывихи и вывихи, т. е. более или менее тяжелые деформации. Лепроматозные дефекты костей, по наблюдениям Г. Е. Животов-ского, отличаются стойкостью и при лечении не замещаются костной тканью.
Что касается нервной формы проказы (рис. 216), то наиболее ранним, постоянным и общим рентгенологическим ее проявлением служит остеопороз. IK остеопорозу рано присоединяются явления остеолиза. Иконография (т. е. описание картины) остеолиза дается различными авторами в традиционном для лепрологии стиле в чрезвычайно тонких и кропотливых внешне описательных образах. Здесь преобладают сравнения с общеизвестными предметами, как, например, отточенными кончиками карандаша, шахматными пешками и другими фигурами, кнопками, пуговицами для воротника, запонками, тающими свечами, обсосанными леденцами, столбиками, иглами и т. д. Существенно то, что налицо частичное или полное рассасывание и исчезновение костных элементов без их замещения другой тканью и без продуктивной репаративной реакции. Характерно истончение и укорочение костей, в первую очередь ногтевых фаланг. Рассасывание ногтевой фаланги начинается с ее ногтевого отростка. Структура бугорка становится крупнопористой, ноздреватой. Затем срезается дистальный или боковой край, развивается плоская или вогнутая узура, постепенно увеличивающаяся, а затем и весь ногтевой отросток сходит на нет; обнажается шейка. Основание фаланги рассасывается с одного края или с обеих сторон, иногда и целиком. В дальнейшем без каких-нибудь клинических признаков очередь доходит до фаланг средних и основных, а также пястных и плюсневых костей, с переходом на запястье и предплюсну, порой до полного исчезновения скелета одного, нескольких, многих или всех пальцев.
В локализации этих костных поражений трудно определить какую-нибудь иннервационную закономерность, т. е. связь с тем или иным иннервационным районом, что свойственно всем костным поражениям "а нервнотрофической почве. Если в одних случаях имеется симметричность поражений, то в подавляющем большинстве случаев удивляет именно асимметрия двусторонних поражений. Тяжесть калечения при нервной проказе не находится в прямой связи с длительностью забдлевания.
Здесь также часто наступают нарушения целости костей -- истинные патологические переломы, без периостальной активности, без заживления костной мозолью. Переломы ускоряют рассасывание костей. Их не следует смешивать рентгенологически с костными дефектами на протяжении метафиза или диафиза кости. Иногда исчезновение костной ткани происходит сильнее проксимально, чем дистально, и отдельные костные участки могут "повиснуть" в мягких тканях. Отсюда они отходят, отторгаются наружу наподобие секвестров при костном панариции; трудно сказать, в какой мере здесь играет роль совсем необязательная вторичная инфекция, крайне вялая, если она действительно имеет место. Иногда развиваются истинные неврогенные остеоартропатии - лепрозные остеоартро-патии.
Вместе с тем при нервной лепре наблюдаются также настоящие костные анкилозы. Чаще всего это происходит в области плюсне-пред-плюсневых суставов, а между суставами малых трубчатых костей кистей и стоп анкилозы при проказе не развиваются. Калечения усугубляются еще тягой мышц. Происходит уклонение фаланг в стороны, большие расхождения суставных концов, крайние деформации. Мы наблюдали и лоозеровекие зоны перестройки костей на обычных и особенно необычных местах, с нормальным или извращенным их течением и исходом.
В третьей группе костных изменений при проказе (рис. 217, 218) сочетаются элементы первых двух групп, т. е. специфические и неспецифические. Из особенностей проказы вытекает крайняя неповторяемость частных проявлений в каждом индивидуальном случае заболевания.
Рентгенологическое исследование костно-суставной системы в некоторых случаях проказы выявляет довольно богатую картину изменений, когда с клинической стороны заболевание еще ничем себя не проявило или же внешних дерматологических, неврологических и т. п. данных еще мало для ответственного распознавания; положительная рентгенологическая симптоматика может и должна направить мысль лечащего врача в сторону устанавливающего диагноза проказы. Это особенно важно в отдельных спорадических случаях.
В нашем распоряжении имеется несколько наблюдений, когда путем рентгенологического исследования была Б раннем периоде диагностирована проказа.
Диференциальная рентгенодиагностика проказы требует включения в круг подлежащих обсуждению заболеваний большого числа нозологических единиц. В первой группе надо иметь в виду множественные травматические кистевидные просветления, атипические формы костного туберкулеза, множественный кистевидный туберкулезный остит Юнглинга, ревматические гранулемы, сифилитический фалангит, множественный гуммозный остеопериостит, фиброзные остеодистрофии и т. д. Во второй группе диапазон еще шире. Это врожденные миэлодисплазии, сухотка спинного мозга, сирин- гомиэлия, миэлиты самой различной природы, болезнь Рейно, облитерирующий тромб- ангит, некоторые формы артериосклероза периферических сосудов, гангрена, склеродермия и склеродактилия, последствия ранений центральной и периферической нервной системы, обморожения, диабет, псориаз, грибковые заболевания конечностей, трофические язвы голени и т. д.
Лепра (синонимы: проказа, болезнь Гансена; leprosy — англ., Aussatz — нем.; la lepre — франц.) — хроническая генерализованная болезнь, поражающая преимущественно кожу и нервную систему (периферические нервы), реже внутренние органы.
Этиология. Возбудитель — Mycobacterium lepreae (бацилла Гансена) был открыт норвежским врачом Hansen в 1874 году. Представляет собой кислото-устойчивую палочковидную бактерию, относящуюся к семейству Mycobacleriaceae. Она не растет на искусственных питательных средах, а также в культурах тканей. Размножение возбудителя наблюдается при заражении мышей в подушечки лапок, при заражении броненосцев и некоторых видов обезьян. Размножение происходит чрезвычайно медленно. Чувствительна крифампицину и некоторым сульфаниламидным препаратам.
Эпидемиология. Лепра широко распространена в странах Африки, Азии и Южной Америки. В период с середины 1960-х до середины 1980-х годов число больных лепрой в мире было довольно стабильным и составляло 10—12 млн. Применение во многих странах комбинированной терапии привело к снижению в 1991 году числа больных до 5,5 млн. Число лиц с деформациями вследствие лепры (включая излечившихся) составляло 2—3 млн человек. На 25 стран приходится 95% больных, а на 5 из них — 82% больных лепрой. Наиболее распространена лепра в Индии (около 3 млн), Нигерии, Бразилии, Индонезии, Вьетнаме. В США и странах Европы спорадические случаи лепры выявляются у иммигрантов из эндемичных регионов. Передача инфекции происходит при тесном и длительном контакте с больным (между супругами, от родителей к детям). При контакте с нелеченными больными лепрой риск заражения около 10%. Инфицирование детей в семьях чаше происходит в возрасте до 10 лет. Резервуаром инфекции в природе могут быть дикие броненосцы и низшие приматы, но случаев заражения от них человека не описано. Мужчины заболевают чаше, чем женщины.
Патогенез. Воротами инфекции является кожа и слизистая оболочка верхних дыхательных путей. От момента внедрения микробов до появления первых проявлений чаще проходит от 3 до 5 лет, но иногда и несколько десятилетий. Развернутая картина болезни развивается далеко не во всех случаях. Лишь у 10—20% инфицированных лиц развиваются малозаметные признаки инфекции и лишь у половины из них (т.е. у 5-10% инфицированных) в дальнейшем формируется развернутая картина болезни. Развитие определенной клинической формы связывают с генетическими особенностями организма (в частности с гаплотипами HLA). У больных лепрой выявляется дефект клеточного иммунитета, существенно отличающийся от дефектов клеточного иммунитета у ВИЧ-инфицированных. Даже при интенсивной гематогенной диссеминации возбудителя деструктивные процессы ограничиваются кожей, периферическими нервами, передними отделами глаза, яичками, верхними и нижними конечностями. Особенно часто поражается локтевой нерв около локтевого сгиба. При лепроматозной форме лепры микобактерии обнаруживаются в печени, селезенке, костном мозге.
Симптомы и течение. Инкубационный период колеблется от 6 мес до нескольких десятилетий (чаще 3-5 лет). По клинико-гистологическим данным болезнь подразделяют на две формы: лепроматозная и туберкулоидная. При первой наиболее выражены кожные поражения, в меньшей степени поражаются нервы. При туберкулоидной форме кожные изменения менее заметны и более выражены поражения нервных стволов. Есть и пограничные формы.
Болезнь развивается постепенно. У некоторых больных может отмечаться повышение температуры тела, слабость, боли в суставах, у других лихорадка отсутствует, отмечается анемия, слабость, сонливость, могут быть парестезии, расстройства потоотделения. Типичным проявлением ранней лепры считается появление кожных изменений. Появляется одно или несколько гипопигментированных пятен или гиперпигментированных бляшек, в области которых чувствительность полностью отсутствует или отмечается парестезия. При локализации очагов поражения на лице чувствительность может сохраняться.
Туберкулоидная лепра впервые описана Ядассоном в 1898 г. В начальной стадии часто проявляется четко отграниченными пятнами гипопигментации кожи с пониженной чувствительностью. Позднее очаги увеличиваются в размерах, края их приподнимаются и приобретают кольцевидную форму. Отмечается периферическое распространение и заживление в центре. Сформировавшиеся очаги полностью утрачивают чувствительность и кожные образования (потовые железы и волосяные фолликулы). Наблюдаются и другие варианты кожных изменений (простые эритематозные изменения без признаков инфильтрации, папулезные, сходные с сифилитическими папулами, бугорковые и др.). Нервы рано вовлекаются в процесс. Поверхностные нервы, идущие от очага поражения, могут увеличиваться в размерах. Увеличенные периферические нервы (особенно локтевой, малоберцовый и некоторые другие) могут пальпироваться, а иногда становятся заметными при осмотре. В результате повреждения нервов развивается атрофия мышц кисти, контрактуры кисти и стопы. Развиваются подошвенные язвы (результаты травм), потери фаланг, кератит, изъязвление роговой оболочки с потерей зрения.
Лепроматозная форма характеризуется резко выраженными изменениями кожи, слизистых оболочек и лимфатических узлов. Кожные очаги проявляются в виде пятен, узлов, бляшек. Пятна обычно гипопигменти-рованы, имеют нечеткие границы, а центральные участки их приподняты за счет уплотнения и инфильтрации, а не вогнуты, как при туберкулоидной форме лепры. Между очагами также можно обнаружить инфильтрацию кожи. Очаги кожных поражений чаще всего располагаются на лице (нос, щеки, брови), ушных раковинах, запястьях, локтевых суставах, ягодицах, коленных суставах. Выраженность инфильтрации, уплотнения и других поражений кожи постепенно прогрессирует. Характерно выпадение бровей (особенно боковых участков), свисание мочек ушных раковин, западает спинка носа. Мощная глубокая инфильтрация кожи лица приводит к образованию крупных складок, особенно на лбу (львиное лицо).
Характерным является поражение слизистой оболочки носа, что приводит к затруднению носового дыхания, носовым кровотечениям, иногда к полной обструкции носовых ходов, разрушению носовой перегородки, нос становится седловидным. Могут наблюдаться ларингит, кератит, иридоциклит. У мужчин инфильтрация и рубцевание яичек приводит к стерильности, часто развивается гинекомастия. Паховые и подмышечные лимфатические узлы значительно увеличены, но безболезненны. Выраженных изменений периферических нервов не отмечается, однако чувствительность дистальных отделов конечностей существенно снижена.
Пограничная лепра сочетает признаки туберкулоидной и лепроматозной формы болезни.
Осложнения. Травмы и повторные вторичные инфекции приводят к деформации кисти, потере пальцев и дистальных отделов конечностей, могут развиваться слепота, амилоидоз.
Диагноз и дифференциальный диагноз. При распознавании учитывают эпидемиологические предпосылки (длительное пребывание в эндемичных регионах, контакт с больными лепрой) и характерные клинические проявления (поражения кожи, периферических нервов и др.). Подтверждением диагноза является обнаружение кислотоустойчивых микобактерии в материале из кожных очагов, полученных методом соскоба-иссечения, гистологическое исследование биоптатов кожи (особенно доказательным являются признаки поражения периферических нервов). Разработаны серологические методы, позволяющие выявлять специфические антитела у 50-95% больных лепрой. Дифференцировать необходимо от красной волчанки, саркоидоза, кожного лейшманиоза и многих кожных болезней (различные дерматозы, эритемы и пр.).
Лечение. Используют этиотроппую терапию. Основным препаратом является дапсон (4,4-диаминодифенилсульфон, дифенилсульфон). Взрослым больным препарат назначают от 50 до 100 мг 1 раз в сутки. Лечение длительное. Хотя через 12 нед большая часть микробов погибает, однако возможны рецидивы после прекращения лечения (иногда через 5—10 лет). Наблюдаются устойчивые к дапсону микобактерии. Очень активным препаратом является рифампицин (после приема 1500 мг препарата через 5 дней уже не удается обнаружить микобактерии). Препарат назначают по 600 мг/сут. Из-за дороговизны в развивающихся странах рифампицин назначают по 600 мг 2 раза в неделю и даже 1 раз в месяц. Имеются и другие препараты, которые еще недостаточно проверены. Полный курс терапии равен 24 мес.
Профилактика и мероприятия в очаге. Раннее выявление и лечение больных лепрой.
Продолжение.