Инородные тела 1. Огнестрел и военные действия. +

Инородные тела 

Огнестрел и военные действия.

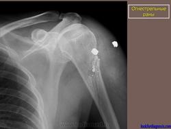
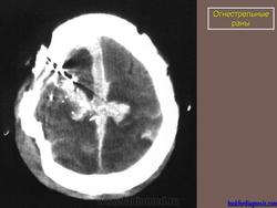
Огнестрельные раны.

 

Катенёв Валентин Львович аватар
Не на сайте
Был на сайте: 7 лет 3 месяцев назад
Зарегистрирован: 22.03.2008 - 22:15
Публикации: 54876

Огнестрел и военные действия.

Приложения: 
1.pulya_.29.i.slayd28.jpg2yupulya.30.i.slayd29.jpg3.pulya_.32.i.slayd31.jpg4.pulya_.33.i.slayd32.jpg
Катенёв Валентин Львович аватар
Не на сайте
Был на сайте: 7 лет 3 месяцев назад
Зарегистрирован: 22.03.2008 - 22:15
Публикации: 54876

Огнестрел и военные действия.

 

Приложения: 
1.ogn_.1.rd_.slayd59.jpg3.ogn_.2.rd_.slayd69.jpg4.ogn_.16.i.slayd15.jpg
Катенёв Валентин Львович аватар
Не на сайте
Был на сайте: 7 лет 3 месяцев назад
Зарегистрирован: 22.03.2008 - 22:15
Публикации: 54876

Огнестрел и военные действия.

Приложения: 
1.pul_.36.i.slayd35.jpg2.pul_.37.i.slayd36.jpg3.pul_.9.pul_.slayd68.jpg4.pul_.8.pul_.slayd67.jpg5.pul_.7.pul_.slayd66.jpg6.pul_.5.pul_.slayd64.jpg7.pul_.4.pul_.slayd63.jpg7.pul_.6.pul_.slayd65.jpg8.pul_.3.vz_.slayd41.jpg9.pul_.3.pul_.slayd62.jpg