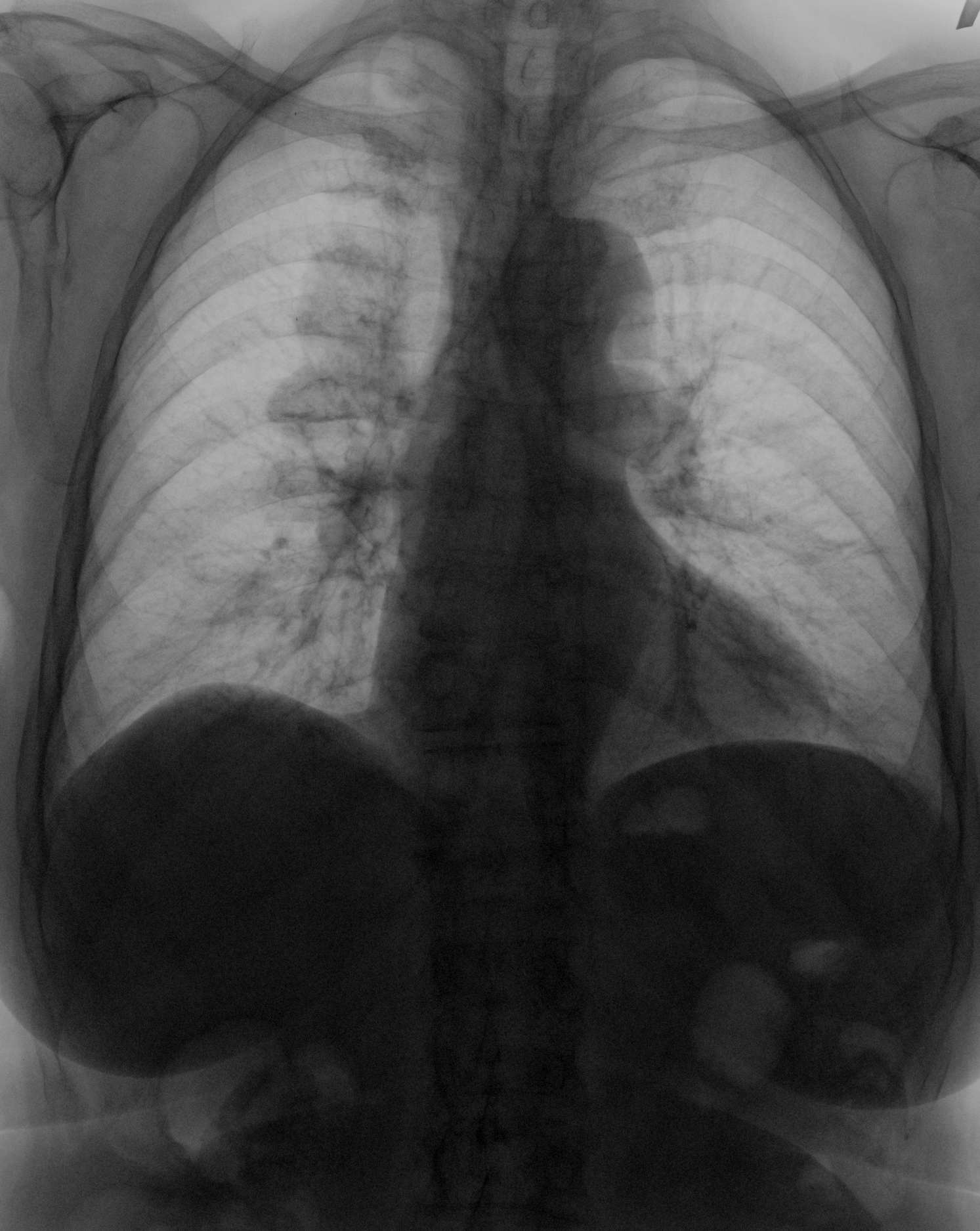
20.11.2010 Рентгенография органов грудной полости.

Пациентка 82 года поступила в приемное отделение  с Ds: ЖКБ. К нам направили для исключения пневмонии и на предмет свободного газа в брюшной полости.

  

  • https://radiomed.ru/sites/default/files/styles/case_slider_image/public/user/117/mm_170602000000.jpg?itok=_Z7rgKK8
  • https://radiomed.ru/sites/default/files/styles/case_slider_image/public/user/117/mm_170324000000_0002.jpg?itok=coDhiEEK
  • https://radiomed.ru/sites/default/files/styles/case_slider_image/public/user/117/mm_170602000000_0002.jpg?itok=ntyozzB7
ID:55302
Петрович аватар
Не на сайте
Был на сайте: 7 лет 2 месяцев назад
Зарегистрирован: 22.03.2009 - 01:13
Публикации: 3908

 

Имеется обызвествление по задней поверхности костальной плевры справа.

Неоднозначно всё

Сан Саныч1 аватар
Не на сайте
Был на сайте: 11 месяцев 1 неделя назад
Зарегистрирован: 07.06.2010 - 21:17
Публикации: 2114

Интенсивность для обызвествления мала. Возможен и острый процесс.

Хочешь сделать что-то нормально - сделай это сам!

Medeа аватар
Не на сайте
Был на сайте: 14 лет 10 месяцев назад
Зарегистрирован: 10.09.2010 - 18:11
Публикации: 152

-

Петрович аватар
Не на сайте
Был на сайте: 7 лет 2 месяцев назад
Зарегистрирован: 22.03.2009 - 01:13
Публикации: 3908

На 100% выпот не исключил бы, но пестрота картины против острого процесса.

Неоднозначно всё

Helios аватар
Не на сайте
Был на сайте: 7 месяцев 2 недели назад
Зарегистрирован: 06.08.2010 - 15:16
Публикации: 4417

Снижение высоты+ клиновидная деформация 12 грудного  позвонка.

.+ за осумкованный выпот.

Петрович аватар
Не на сайте
Был на сайте: 7 лет 2 месяцев назад
Зарегистрирован: 22.03.2009 - 01:13
Публикации: 3908

 

А может быть нам покажут боковую томограмму правой ½ грудной клетки? Но лучше бы КТ.

Неоднозначно всё

Игорь Иванович аватар
Не на сайте
Был на сайте: 3 года 9 месяцев назад
Зарегистрирован: 23.01.2010 - 14:56
Публикации: 3695

Петрович wrote:

 

Имеется обызвествление по задней поверхности костальной плевры справа.

На все 100%.

Катенёв Валентин Львович аватар
Не на сайте
Был на сайте: 7 лет 1 неделя назад
Зарегистрирован: 22.03.2008 - 22:15
Публикации: 54876

Может что-то застарелое, типа "древних ретенционных кист"?

Makcimalist аватар
Не на сайте
Был на сайте: 11 лет 8 месяцев назад
Зарегистрирован: 08.05.2010 - 14:28
Публикации: 1994

Helios wrote:

Снижение высоты+ клиновидная деформация 12 грудного  позвонка.

.+ за осумкованный выпот.

+1 (поддержу всё). Если не зло, то выпот. УЗИсты "допилят"!

--------------

"Просто, по видимости, не видеть логики в очевидных вещах - это тоже одно из свойств некоторых умов, наряду с грустными думами о свойствах ума других."  © Vega 08/10/2011