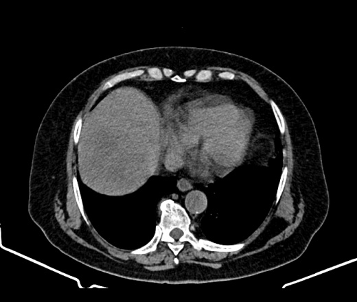
МТС печени? инвагинация?

Пол пациента: 
Область исследования: 
Методы исследования: 

Здравствуйте подскажите, женщина 77 лет, жалобы на боли в правом подреберье, в печени это мтс? и инвагинация ли справа?

 

https://disk.yandex.ru/d/ETvzBRXAIJGshQ

  • https://radiomed.ru/sites/default/files/styles/case_slider_image/public/user/53645/img-0005-00025_1.jpg?itok=DpY-L-XR
  • https://radiomed.ru/sites/default/files/styles/case_slider_image/public/user/53645/img-0005-00026_1.jpg?itok=Qy_YZhTc
  • https://radiomed.ru/sites/default/files/styles/case_slider_image/public/user/53645/img-0005-00027_1.jpg?itok=tMkq1XCp
  • https://radiomed.ru/sites/default/files/styles/case_slider_image/public/user/53645/img-0005-00028_1.jpg?itok=C1v-Xt52
  • https://radiomed.ru/sites/default/files/styles/case_slider_image/public/user/53645/img-0005-00029_1.jpg?itok=1vbU3ggM
  • https://radiomed.ru/sites/default/files/styles/case_slider_image/public/user/53645/img-0005-00030_1.jpg?itok=sg21Vrsu
  • https://radiomed.ru/sites/default/files/styles/case_slider_image/public/user/53645/img-0005-00031_1.jpg?itok=h9u6qnR2
  • https://radiomed.ru/sites/default/files/styles/case_slider_image/public/user/53645/img-0005-00032_1.jpg?itok=UYfuYCEh
  • https://radiomed.ru/sites/default/files/styles/case_slider_image/public/user/53645/img-0005-00033_1.jpg?itok=Cm2aqdAi
  • https://radiomed.ru/sites/default/files/styles/case_slider_image/public/user/53645/img-0005-00034_1.jpg?itok=rrkg7sNl
  • https://radiomed.ru/sites/default/files/styles/case_slider_image/public/user/53645/img-0005-00035_1.jpg?itok=3sYGMUSx
  • https://radiomed.ru/sites/default/files/styles/case_slider_image/public/user/53645/img-0005-00036_1.jpg?itok=BO8W0lTi
  • https://radiomed.ru/sites/default/files/styles/case_slider_image/public/user/53645/img-0005-00037_1.jpg?itok=bxIz3sPH
  • https://radiomed.ru/sites/default/files/styles/case_slider_image/public/user/53645/img-0005-00038_1.jpg?itok=_G3YEt0W
  • https://radiomed.ru/sites/default/files/styles/case_slider_image/public/user/53645/img-0005-00039_1.jpg?itok=BnscL5HE
  • https://radiomed.ru/sites/default/files/styles/case_slider_image/public/user/53645/img-0005-00040_1.jpg?itok=rvYR8IXk
  • https://radiomed.ru/sites/default/files/styles/case_slider_image/public/user/53645/img-0005-00041_1.jpg?itok=8lBo8mtE
  • https://radiomed.ru/sites/default/files/styles/case_slider_image/public/user/53645/img-0005-00042_1.jpg?itok=SSEIhkkN
  • https://radiomed.ru/sites/default/files/styles/case_slider_image/public/user/53645/img-0005-00043_1.jpg?itok=oqjw7y_8
  • https://radiomed.ru/sites/default/files/styles/case_slider_image/public/user/53645/img-0005-00044_1.jpg?itok=wShDLpw8
  • https://radiomed.ru/sites/default/files/styles/case_slider_image/public/user/53645/img-0005-00045_1.jpg?itok=Z-_drKdj
  • https://radiomed.ru/sites/default/files/styles/case_slider_image/public/user/53645/img-0005-00046_1.jpg?itok=TauHxFyx
  • https://radiomed.ru/sites/default/files/styles/case_slider_image/public/user/53645/img-0005-00047_1.jpg?itok=OFSGkhNs
  • https://radiomed.ru/sites/default/files/styles/case_slider_image/public/user/53645/img-0005-00048_1.jpg?itok=98UUZoEE
  • https://radiomed.ru/sites/default/files/styles/case_slider_image/public/user/53645/img-0005-00049_1.jpg?itok=vWp9XY4B
  • https://radiomed.ru/sites/default/files/styles/case_slider_image/public/user/53645/img-0005-00050_1.jpg?itok=hrjeioky
  • https://radiomed.ru/sites/default/files/styles/case_slider_image/public/user/53645/img-0005-00051_1.jpg?itok=VNlXIXpu
  • https://radiomed.ru/sites/default/files/styles/case_slider_image/public/user/53645/img-0005-00052_1.jpg?itok=CMqc8Ah2
  • https://radiomed.ru/sites/default/files/styles/case_slider_image/public/user/53645/img-0005-00053_1.jpg?itok=wSAVRuyI
  • https://radiomed.ru/sites/default/files/styles/case_slider_image/public/user/53645/img-0005-00054_1.jpg?itok=ojhau_ko
  • https://radiomed.ru/sites/default/files/styles/case_slider_image/public/user/53645/img-0005-00055_1.jpg?itok=4syerb7T
  • https://radiomed.ru/sites/default/files/styles/case_slider_image/public/user/53645/img-0005-00056_1.jpg?itok=t7b96CVt
  • https://radiomed.ru/sites/default/files/styles/case_slider_image/public/user/53645/img-0005-00057_1.jpg?itok=n-ttLvhe
  • https://radiomed.ru/sites/default/files/styles/case_slider_image/public/user/53645/img-0005-00058_1.jpg?itok=qMjxDdyM
  • https://radiomed.ru/sites/default/files/styles/case_slider_image/public/user/53645/img-0005-00059_1.jpg?itok=cHprgm99
  • https://radiomed.ru/sites/default/files/styles/case_slider_image/public/user/53645/img-0005-00060_1.jpg?itok=dmXD3gQK
  • https://radiomed.ru/sites/default/files/styles/case_slider_image/public/user/53645/img-0005-00061_1.jpg?itok=BKh4h_5b
  • https://radiomed.ru/sites/default/files/styles/case_slider_image/public/user/53645/img-0005-00062_1.jpg?itok=WhWKcgNo
  • https://radiomed.ru/sites/default/files/styles/case_slider_image/public/user/53645/img-0005-00063_1.jpg?itok=8VMPcAwC
  • https://radiomed.ru/sites/default/files/styles/case_slider_image/public/user/53645/img-0005-00064_1.jpg?itok=_LpshB-X
  • https://radiomed.ru/sites/default/files/styles/case_slider_image/public/user/53645/img-0005-00065_0.jpg?itok=v7mn8aMX
  • https://radiomed.ru/sites/default/files/styles/case_slider_image/public/user/53645/img-0005-00066_0.jpg?itok=Sq3tYCpe
  • https://radiomed.ru/sites/default/files/styles/case_slider_image/public/user/53645/img-0005-00067_0.jpg?itok=XSnq9kuc
  • https://radiomed.ru/sites/default/files/styles/case_slider_image/public/user/53645/img-0005-00068_0.jpg?itok=vfq6o01z
  • https://radiomed.ru/sites/default/files/styles/case_slider_image/public/user/53645/img-0005-00069.jpg?itok=JmMkWFYA
  • https://radiomed.ru/sites/default/files/styles/case_slider_image/public/user/53645/img-0005-00070.jpg?itok=LWnwWvtj
  • https://radiomed.ru/sites/default/files/styles/case_slider_image/public/user/53645/img-0005-00071.jpg?itok=peFqwHVZ
  • https://radiomed.ru/sites/default/files/styles/case_slider_image/public/user/53645/img-0005-00072.jpg?itok=hLEMYymS
  • https://radiomed.ru/sites/default/files/styles/case_slider_image/public/user/53645/img-0005-00073.jpg?itok=vkgnaT8Y
  • https://radiomed.ru/sites/default/files/styles/case_slider_image/public/user/53645/img-0005-00074.jpg?itok=kZ-lUJ2i
  • https://radiomed.ru/sites/default/files/styles/case_slider_image/public/user/53645/img-0005-00075.jpg?itok=DaKSMEBl
  • https://radiomed.ru/sites/default/files/styles/case_slider_image/public/user/53645/img-0005-00076.jpg?itok=vSBNJtW7
  • https://radiomed.ru/sites/default/files/styles/case_slider_image/public/user/53645/img-0005-00077.jpg?itok=gNGBSRc8
  • https://radiomed.ru/sites/default/files/styles/case_slider_image/public/user/53645/img-0005-00078.jpg?itok=qjp30agF
  • https://radiomed.ru/sites/default/files/styles/case_slider_image/public/user/53645/img-0005-00079.jpg?itok=3FAKcQ4Z
  • https://radiomed.ru/sites/default/files/styles/case_slider_image/public/user/53645/img-0005-00080.jpg?itok=ipS1BTTU
  • https://radiomed.ru/sites/default/files/styles/case_slider_image/public/user/53645/img-0005-00081.jpg?itok=mCeTbvDG
  • https://radiomed.ru/sites/default/files/styles/case_slider_image/public/user/53645/img-0005-00082.jpg?itok=r6ch-p5X
  • https://radiomed.ru/sites/default/files/styles/case_slider_image/public/user/53645/img-0005-00083.jpg?itok=NgqDj5vN
  • https://radiomed.ru/sites/default/files/styles/case_slider_image/public/user/53645/img-0005-00084.jpg?itok=tE-mwtmn
  • https://radiomed.ru/sites/default/files/styles/case_slider_image/public/user/53645/img-0005-00085.jpg?itok=twjwoicT
  • https://radiomed.ru/sites/default/files/styles/case_slider_image/public/user/53645/img-0005-00086.jpg?itok=-NooDA19
  • https://radiomed.ru/sites/default/files/styles/case_slider_image/public/user/53645/img-0005-00087.jpg?itok=RQGRwTEq
  • https://radiomed.ru/sites/default/files/styles/case_slider_image/public/user/53645/img-0005-00088.jpg?itok=OYZ7SHDa
  • https://radiomed.ru/sites/default/files/styles/case_slider_image/public/user/53645/img-0005-00089.jpg?itok=TzK20_fy
  • https://radiomed.ru/sites/default/files/styles/case_slider_image/public/user/53645/img-0005-00090.jpg?itok=wuNh79UU
  • https://radiomed.ru/sites/default/files/styles/case_slider_image/public/user/53645/img-0005-00091.jpg?itok=WMwAMB1h
  • https://radiomed.ru/sites/default/files/styles/case_slider_image/public/user/53645/img-0005-00092.jpg?itok=AcKVJ1YP
  • https://radiomed.ru/sites/default/files/styles/case_slider_image/public/user/53645/img-0005-00093.jpg?itok=f4Ac_hQ7
  • https://radiomed.ru/sites/default/files/styles/case_slider_image/public/user/53645/img-0005-00094.jpg?itok=R4W_kDny
  • https://radiomed.ru/sites/default/files/styles/case_slider_image/public/user/53645/img-0005-00095.jpg?itok=HMaDig0m
  • https://radiomed.ru/sites/default/files/styles/case_slider_image/public/user/53645/img-0005-00096.jpg?itok=AEIRZiOc
  • https://radiomed.ru/sites/default/files/styles/case_slider_image/public/user/53645/img-0005-00097.jpg?itok=YGdqbeEK
  • https://radiomed.ru/sites/default/files/styles/case_slider_image/public/user/53645/img-0005-00098.jpg?itok=jeSNNGJL
  • https://radiomed.ru/sites/default/files/styles/case_slider_image/public/user/53645/img-0005-00099.jpg?itok=c_pgSSmL
  • https://radiomed.ru/sites/default/files/styles/case_slider_image/public/user/53645/img-0005-00100.jpg?itok=lUiaSF2H
  • https://radiomed.ru/sites/default/files/styles/case_slider_image/public/user/53645/img-0005-00101.jpg?itok=UMffzqQc
  • https://radiomed.ru/sites/default/files/styles/case_slider_image/public/user/53645/img-0005-00102.jpg?itok=I4vp20Oq
  • https://radiomed.ru/sites/default/files/styles/case_slider_image/public/user/53645/img-0005-00103.jpg?itok=_umeIvGj
  • https://radiomed.ru/sites/default/files/styles/case_slider_image/public/user/53645/img-0005-00104.jpg?itok=VS4QCRpC
  • https://radiomed.ru/sites/default/files/styles/case_slider_image/public/user/53645/img-0005-00105.jpg?itok=FTnk1U8d
  • https://radiomed.ru/sites/default/files/styles/case_slider_image/public/user/53645/img-0005-00106.jpg?itok=R4LhFx7x
  • https://radiomed.ru/sites/default/files/styles/case_slider_image/public/user/53645/img-0005-00107.jpg?itok=iKAVaKE2
  • https://radiomed.ru/sites/default/files/styles/case_slider_image/public/user/53645/img-0005-00108.jpg?itok=vZELhb7N
  • https://radiomed.ru/sites/default/files/styles/case_slider_image/public/user/53645/img-0005-00109.jpg?itok=d4oV8p95
  • https://radiomed.ru/sites/default/files/styles/case_slider_image/public/user/53645/img-0005-00110.jpg?itok=Vbt9Fmay
  • https://radiomed.ru/sites/default/files/styles/case_slider_image/public/user/53645/img-0005-00111.jpg?itok=Zxe_Xpt3
  • https://radiomed.ru/sites/default/files/styles/case_slider_image/public/user/53645/img-0005-00112.jpg?itok=9KbF-uhi
  • https://radiomed.ru/sites/default/files/styles/case_slider_image/public/user/53645/img-0005-00113.jpg?itok=a6jLA6NC
  • https://radiomed.ru/sites/default/files/styles/case_slider_image/public/user/53645/img-0005-00114.jpg?itok=wB0rxzdm
  • https://radiomed.ru/sites/default/files/styles/case_slider_image/public/user/53645/img-0005-00115.jpg?itok=cVvaiV9q
  • https://radiomed.ru/sites/default/files/styles/case_slider_image/public/user/53645/img-0005-00116.jpg?itok=ye5ewsEq
  • https://radiomed.ru/sites/default/files/styles/case_slider_image/public/user/53645/img-0005-00117.jpg?itok=JA1pEhDY
  • https://radiomed.ru/sites/default/files/styles/case_slider_image/public/user/53645/img-0005-00118.jpg?itok=x_ffkVRH
  • https://radiomed.ru/sites/default/files/styles/case_slider_image/public/user/53645/img-0005-00119.jpg?itok=TLvAPZVl
  • https://radiomed.ru/sites/default/files/styles/case_slider_image/public/user/53645/img-0005-00120.jpg?itok=gzqZN5V7
  • https://radiomed.ru/sites/default/files/styles/case_slider_image/public/user/53645/img-0005-00121.jpg?itok=aORX_woL
  • https://radiomed.ru/sites/default/files/styles/case_slider_image/public/user/53645/img-0005-00122.jpg?itok=tCqZaBLo
  • https://radiomed.ru/sites/default/files/styles/case_slider_image/public/user/53645/img-0005-00123.jpg?itok=kqHVf2Ny
  • https://radiomed.ru/sites/default/files/styles/case_slider_image/public/user/53645/img-0005-00124.jpg?itok=JbMADjj-
  • https://radiomed.ru/sites/default/files/styles/case_slider_image/public/user/53645/img-0005-00125.jpg?itok=nr7PAVuK
  • https://radiomed.ru/sites/default/files/styles/case_slider_image/public/user/53645/img-0005-00126.jpg?itok=_hhihOOz
  • https://radiomed.ru/sites/default/files/styles/case_slider_image/public/user/53645/img-0005-00127.jpg?itok=dbWJ11b7
  • https://radiomed.ru/sites/default/files/styles/case_slider_image/public/user/53645/img-0005-00128.jpg?itok=qgBGLMiB
  • https://radiomed.ru/sites/default/files/styles/case_slider_image/public/user/53645/img-0005-00129.jpg?itok=wEC2_ehB
  • https://radiomed.ru/sites/default/files/styles/case_slider_image/public/user/53645/img-0005-00130.jpg?itok=l--nFmYC
  • https://radiomed.ru/sites/default/files/styles/case_slider_image/public/user/53645/img-0005-00131.jpg?itok=7dG_dOZ3
  • https://radiomed.ru/sites/default/files/styles/case_slider_image/public/user/53645/img-0005-00132.jpg?itok=BAscixxT
  • https://radiomed.ru/sites/default/files/styles/case_slider_image/public/user/53645/img-0005-00133.jpg?itok=4fXX2yfJ
  • https://radiomed.ru/sites/default/files/styles/case_slider_image/public/user/53645/img-0005-00134.jpg?itok=y1IR4Ace
  • https://radiomed.ru/sites/default/files/styles/case_slider_image/public/user/53645/img-0005-00135.jpg?itok=PqcOd_bP
  • https://radiomed.ru/sites/default/files/styles/case_slider_image/public/user/53645/img-0005-00136.jpg?itok=v2arpDag
  • https://radiomed.ru/sites/default/files/styles/case_slider_image/public/user/53645/img-0005-00137.jpg?itok=rMWiWku1
  • https://radiomed.ru/sites/default/files/styles/case_slider_image/public/user/53645/img-0005-00138.jpg?itok=ppK7XgwC
  • https://radiomed.ru/sites/default/files/styles/case_slider_image/public/user/53645/img-0005-00139.jpg?itok=gSicCHb_
  • https://radiomed.ru/sites/default/files/styles/case_slider_image/public/user/53645/img-0005-00140.jpg?itok=mFtYwWAR
  • https://radiomed.ru/sites/default/files/styles/case_slider_image/public/user/53645/img-0005-00141.jpg?itok=TRMKX_nS
  • https://radiomed.ru/sites/default/files/styles/case_slider_image/public/user/53645/img-0005-00142.jpg?itok=xwpA8_4Y
  • https://radiomed.ru/sites/default/files/styles/case_slider_image/public/user/53645/img-0005-00143.jpg?itok=TSKKwhQQ
  • https://radiomed.ru/sites/default/files/styles/case_slider_image/public/user/53645/img-0005-00144.jpg?itok=zyrfKrNA
  • https://radiomed.ru/sites/default/files/styles/case_slider_image/public/user/53645/img-0005-00145.jpg?itok=jxp2CH2W
  • https://radiomed.ru/sites/default/files/styles/case_slider_image/public/user/53645/img-0005-00146.jpg?itok=Wtg9CY-B
  • https://radiomed.ru/sites/default/files/styles/case_slider_image/public/user/53645/img-0005-00147.jpg?itok=hWM3l9tF
  • https://radiomed.ru/sites/default/files/styles/case_slider_image/public/user/53645/img-0005-00148.jpg?itok=de81hMOR
  • https://radiomed.ru/sites/default/files/styles/case_slider_image/public/user/53645/img-0005-00149.jpg?itok=OgQU8y16
  • https://radiomed.ru/sites/default/files/styles/case_slider_image/public/user/53645/img-0005-00150.jpg?itok=9I96_io9
  • https://radiomed.ru/sites/default/files/styles/case_slider_image/public/user/53645/img-0005-00151.jpg?itok=hnDLLsP8
  • https://radiomed.ru/sites/default/files/styles/case_slider_image/public/user/53645/img-0005-00152.jpg?itok=GMgrnd1g
  • https://radiomed.ru/sites/default/files/styles/case_slider_image/public/user/53645/img-0005-00153.jpg?itok=esXKnojN
  • https://radiomed.ru/sites/default/files/styles/case_slider_image/public/user/53645/img-0005-00154.jpg?itok=Se9aejNz
  • https://radiomed.ru/sites/default/files/styles/case_slider_image/public/user/53645/img-0005-00155.jpg?itok=D63MHDtD
  • https://radiomed.ru/sites/default/files/styles/case_slider_image/public/user/53645/img-0005-00156.jpg?itok=v4tpgppt
  • https://radiomed.ru/sites/default/files/styles/case_slider_image/public/user/53645/img-0005-00157.jpg?itok=2EX5IMq7
  • https://radiomed.ru/sites/default/files/styles/case_slider_image/public/user/53645/img-0005-00158.jpg?itok=qlb_tXYO
  • https://radiomed.ru/sites/default/files/styles/case_slider_image/public/user/53645/img-0005-00159.jpg?itok=dn-1xLu6
  • https://radiomed.ru/sites/default/files/styles/case_slider_image/public/user/53645/img-0005-00160.jpg?itok=KWbATw4S
  • https://radiomed.ru/sites/default/files/styles/case_slider_image/public/user/53645/img-0005-00161.jpg?itok=j9q_TX24
  • https://radiomed.ru/sites/default/files/styles/case_slider_image/public/user/53645/img-0005-00162.jpg?itok=vr1ZYiai
  • https://radiomed.ru/sites/default/files/styles/case_slider_image/public/user/53645/img-0005-00163.jpg?itok=CBuzLN94
  • https://radiomed.ru/sites/default/files/styles/case_slider_image/public/user/53645/img-0005-00164.jpg?itok=MROe-RRv
  • https://radiomed.ru/sites/default/files/styles/case_slider_image/public/user/53645/img-0005-00165.jpg?itok=BsNX0qr-
  • https://radiomed.ru/sites/default/files/styles/case_slider_image/public/user/53645/img-0005-00166.jpg?itok=4bEWbyBU
  • https://radiomed.ru/sites/default/files/styles/case_slider_image/public/user/53645/img-0005-00167.jpg?itok=pRZmAsrA
  • https://radiomed.ru/sites/default/files/styles/case_slider_image/public/user/53645/img-0005-00168.jpg?itok=QAtUbrYF
  • https://radiomed.ru/sites/default/files/styles/case_slider_image/public/user/53645/img-0005-00169.jpg?itok=VeEtif6e
  • https://radiomed.ru/sites/default/files/styles/case_slider_image/public/user/53645/img-0005-00170.jpg?itok=coapNJ8z
  • https://radiomed.ru/sites/default/files/styles/case_slider_image/public/user/53645/img-0005-00171.jpg?itok=meMGkwhn
  • https://radiomed.ru/sites/default/files/styles/case_slider_image/public/user/53645/img-0005-00172.jpg?itok=-nAt1_kX
  • https://radiomed.ru/sites/default/files/styles/case_slider_image/public/user/53645/img-0005-00173.jpg?itok=7pVOzQz3
  • https://radiomed.ru/sites/default/files/styles/case_slider_image/public/user/53645/img-0005-00174.jpg?itok=mYrk9Lbq
  • https://radiomed.ru/sites/default/files/styles/case_slider_image/public/user/53645/img-0005-00175.jpg?itok=IhHzOzVC
  • https://radiomed.ru/sites/default/files/styles/case_slider_image/public/user/53645/img-0005-00176.jpg?itok=v-6mmvHG
  • https://radiomed.ru/sites/default/files/styles/case_slider_image/public/user/53645/img-0005-00177.jpg?itok=u_OswK5r
  • https://radiomed.ru/sites/default/files/styles/case_slider_image/public/user/53645/img-0005-00178.jpg?itok=X_1rtEu4
  • https://radiomed.ru/sites/default/files/styles/case_slider_image/public/user/53645/img-0005-00179.jpg?itok=tFX3H31-
  • https://radiomed.ru/sites/default/files/styles/case_slider_image/public/user/53645/img-0005-00180.jpg?itok=xB0RD4I7
  • https://radiomed.ru/sites/default/files/styles/case_slider_image/public/user/53645/img-0005-00181.jpg?itok=RQ4sdpxV
  • https://radiomed.ru/sites/default/files/styles/case_slider_image/public/user/53645/img-0005-00182.jpg?itok=wWnDrwW8
  • https://radiomed.ru/sites/default/files/styles/case_slider_image/public/user/53645/img-0005-00183.jpg?itok=3kMejSY0
  • https://radiomed.ru/sites/default/files/styles/case_slider_image/public/user/53645/img-0005-00184.jpg?itok=OBh8dMXh
  • https://radiomed.ru/sites/default/files/styles/case_slider_image/public/user/53645/img-0005-00185.jpg?itok=FA4pQ5aF
  • https://radiomed.ru/sites/default/files/styles/case_slider_image/public/user/53645/img-0005-00186.jpg?itok=b-cqZw0m
  • https://radiomed.ru/sites/default/files/styles/case_slider_image/public/user/53645/img-0005-00187.jpg?itok=jJGTan6h
  • https://radiomed.ru/sites/default/files/styles/case_slider_image/public/user/53645/img-0005-00188.jpg?itok=i5dWmvwr
  • https://radiomed.ru/sites/default/files/styles/case_slider_image/public/user/53645/img-0005-00189.jpg?itok=JAtUwekN
  • https://radiomed.ru/sites/default/files/styles/case_slider_image/public/user/53645/img-0005-00190.jpg?itok=KCebPvVu
  • https://radiomed.ru/sites/default/files/styles/case_slider_image/public/user/53645/img-0005-00191.jpg?itok=G_07LqnP
  • https://radiomed.ru/sites/default/files/styles/case_slider_image/public/user/53645/img-0005-00192.jpg?itok=qripRf6o
  • https://radiomed.ru/sites/default/files/styles/case_slider_image/public/user/53645/img-0005-00193.jpg?itok=jkl8sISV
  • https://radiomed.ru/sites/default/files/styles/case_slider_image/public/user/53645/img-0005-00194.jpg?itok=XuS5_Czy
  • https://radiomed.ru/sites/default/files/styles/case_slider_image/public/user/53645/img-0005-00195.jpg?itok=KmnjDY1n
  • https://radiomed.ru/sites/default/files/styles/case_slider_image/public/user/53645/img-0005-00196.jpg?itok=5Jk6-VXD
  • https://radiomed.ru/sites/default/files/styles/case_slider_image/public/user/53645/img-0005-00197.jpg?itok=kBGyHQvZ
  • https://radiomed.ru/sites/default/files/styles/case_slider_image/public/user/53645/img-0005-00198.jpg?itok=8fygQJHS
  • https://radiomed.ru/sites/default/files/styles/case_slider_image/public/user/53645/img-0005-00199.jpg?itok=uY4jHtlv
  • https://radiomed.ru/sites/default/files/styles/case_slider_image/public/user/53645/img-0005-00200.jpg?itok=qsvDYtgM
  • https://radiomed.ru/sites/default/files/styles/case_slider_image/public/user/53645/img-0005-00201.jpg?itok=GLfNIKh4
  • https://radiomed.ru/sites/default/files/styles/case_slider_image/public/user/53645/img-0005-00202.jpg?itok=-iGbccyd
  • https://radiomed.ru/sites/default/files/styles/case_slider_image/public/user/53645/img-0005-00203.jpg?itok=m8LV5nKs
  • https://radiomed.ru/sites/default/files/styles/case_slider_image/public/user/53645/img-0005-00204.jpg?itok=1XrktnAQ
  • https://radiomed.ru/sites/default/files/styles/case_slider_image/public/user/53645/img-0005-00205.jpg?itok=c5Apo_dS
  • https://radiomed.ru/sites/default/files/styles/case_slider_image/public/user/53645/img-0005-00206.jpg?itok=hBzxczU9
  • https://radiomed.ru/sites/default/files/styles/case_slider_image/public/user/53645/img-0005-00207.jpg?itok=dinnl0vE
  • https://radiomed.ru/sites/default/files/styles/case_slider_image/public/user/53645/img-0005-00208.jpg?itok=zsftXCg6
  • https://radiomed.ru/sites/default/files/styles/case_slider_image/public/user/53645/img-0005-00209.jpg?itok=XUmoIuEC
  • https://radiomed.ru/sites/default/files/styles/case_slider_image/public/user/53645/img-0005-00210.jpg?itok=6JmdfGZ7
  • https://radiomed.ru/sites/default/files/styles/case_slider_image/public/user/53645/img-0005-00211.jpg?itok=fjMw3Ke-
  • https://radiomed.ru/sites/default/files/styles/case_slider_image/public/user/53645/img-0005-00212.jpg?itok=srhR2M6D
  • https://radiomed.ru/sites/default/files/styles/case_slider_image/public/user/53645/img-0005-00213.jpg?itok=Xw60N8Rw
  • https://radiomed.ru/sites/default/files/styles/case_slider_image/public/user/53645/img-0005-00214.jpg?itok=DEND595t
  • https://radiomed.ru/sites/default/files/styles/case_slider_image/public/user/53645/img-0005-00215.jpg?itok=d9tLtlus
  • https://radiomed.ru/sites/default/files/styles/case_slider_image/public/user/53645/img-0005-00216.jpg?itok=mGM6xgww
  • https://radiomed.ru/sites/default/files/styles/case_slider_image/public/user/53645/img-0005-00217.jpg?itok=r66Rhk1I
  • https://radiomed.ru/sites/default/files/styles/case_slider_image/public/user/53645/img-0005-00218.jpg?itok=b0jpn0AM
  • https://radiomed.ru/sites/default/files/styles/case_slider_image/public/user/53645/img-0005-00219.jpg?itok=1C1Im1ys
  • https://radiomed.ru/sites/default/files/styles/case_slider_image/public/user/53645/img-0005-00220.jpg?itok=Y6c3RaYX
  • https://radiomed.ru/sites/default/files/styles/case_slider_image/public/user/53645/img-0005-00221.jpg?itok=Qs0x3pYA
  • https://radiomed.ru/sites/default/files/styles/case_slider_image/public/user/53645/img-0005-00222.jpg?itok=_-hR3ZKM
  • https://radiomed.ru/sites/default/files/styles/case_slider_image/public/user/53645/img-0005-00223.jpg?itok=KJgi97T5
  • https://radiomed.ru/sites/default/files/styles/case_slider_image/public/user/53645/img-0005-00224.jpg?itok=jmkPFa7w
  • https://radiomed.ru/sites/default/files/styles/case_slider_image/public/user/53645/img-0005-00225.jpg?itok=_M6SBcF6
  • https://radiomed.ru/sites/default/files/styles/case_slider_image/public/user/53645/img-0005-00226.jpg?itok=xMQYeni4
  • https://radiomed.ru/sites/default/files/styles/case_slider_image/public/user/53645/img-0005-00227.jpg?itok=77QbnPO5
  • https://radiomed.ru/sites/default/files/styles/case_slider_image/public/user/53645/img-0005-00228.jpg?itok=QhJx40Sh
  • https://radiomed.ru/sites/default/files/styles/case_slider_image/public/user/53645/img-0005-00229.jpg?itok=edSEhQp9
  • https://radiomed.ru/sites/default/files/styles/case_slider_image/public/user/53645/img-0005-00230.jpg?itok=cpm52BXL
  • https://radiomed.ru/sites/default/files/styles/case_slider_image/public/user/53645/img-0005-00231.jpg?itok=f38RbQQL
  • https://radiomed.ru/sites/default/files/styles/case_slider_image/public/user/53645/img-0005-00232.jpg?itok=7tzpVV6m
  • https://radiomed.ru/sites/default/files/styles/case_slider_image/public/user/53645/img-0005-00233.jpg?itok=kXpORzl9
  • https://radiomed.ru/sites/default/files/styles/case_slider_image/public/user/53645/img-0005-00234.jpg?itok=wULy3GWf
  • https://radiomed.ru/sites/default/files/styles/case_slider_image/public/user/53645/img-0005-00235.jpg?itok=VoHsdSZv
  • https://radiomed.ru/sites/default/files/styles/case_slider_image/public/user/53645/img-0005-00236.jpg?itok=4SVYe77y
  • https://radiomed.ru/sites/default/files/styles/case_slider_image/public/user/53645/img-0005-00237.jpg?itok=1KpZkpd6
  • https://radiomed.ru/sites/default/files/styles/case_slider_image/public/user/53645/img-0005-00238.jpg?itok=v1zZwaSh
  • https://radiomed.ru/sites/default/files/styles/case_slider_image/public/user/53645/img-0005-00239.jpg?itok=C-mkfN9M
  • https://radiomed.ru/sites/default/files/styles/case_slider_image/public/user/53645/img-0005-00240.jpg?itok=NAeuv0Su
  • https://radiomed.ru/sites/default/files/styles/case_slider_image/public/user/53645/img-0005-00241.jpg?itok=djVMZLiZ
  • https://radiomed.ru/sites/default/files/styles/case_slider_image/public/user/53645/img-0005-00242.jpg?itok=iGH1EabP
  • https://radiomed.ru/sites/default/files/styles/case_slider_image/public/user/53645/img-0005-00243.jpg?itok=yfZe6A4E
  • https://radiomed.ru/sites/default/files/styles/case_slider_image/public/user/53645/img-0005-00244.jpg?itok=HJ4qmUE2
  • https://radiomed.ru/sites/default/files/styles/case_slider_image/public/user/53645/img-0005-00245.jpg?itok=VBH4cxdk
  • https://radiomed.ru/sites/default/files/styles/case_slider_image/public/user/53645/img-0005-00246.jpg?itok=y-cjPRL1
  • https://radiomed.ru/sites/default/files/styles/case_slider_image/public/user/53645/img-0005-00247.jpg?itok=SMW56Car
  • https://radiomed.ru/sites/default/files/styles/case_slider_image/public/user/53645/img-0005-00248.jpg?itok=0O36OX87
  • https://radiomed.ru/sites/default/files/styles/case_slider_image/public/user/53645/img-0005-00249.jpg?itok=WPVy_S0a
  • https://radiomed.ru/sites/default/files/styles/case_slider_image/public/user/53645/img-0005-00250.jpg?itok=qVKLt3Lh
  • https://radiomed.ru/sites/default/files/styles/case_slider_image/public/user/53645/img-0005-00251.jpg?itok=4LktOURG
  • https://radiomed.ru/sites/default/files/styles/case_slider_image/public/user/53645/img-0005-00252.jpg?itok=eVLEJWqK
  • https://radiomed.ru/sites/default/files/styles/case_slider_image/public/user/53645/img-0005-00253.jpg?itok=MZsiUqxR
  • https://radiomed.ru/sites/default/files/styles/case_slider_image/public/user/53645/img-0005-00254.jpg?itok=e2_g7tnU
  • https://radiomed.ru/sites/default/files/styles/case_slider_image/public/user/53645/img-0005-00255.jpg?itok=nMjmHuzP
  • https://radiomed.ru/sites/default/files/styles/case_slider_image/public/user/53645/img-0005-00256.jpg?itok=U5-cfiF4
  • https://radiomed.ru/sites/default/files/styles/case_slider_image/public/user/53645/img-0005-00257.jpg?itok=eIXADv_q
  • https://radiomed.ru/sites/default/files/styles/case_slider_image/public/user/53645/img-0005-00258.jpg?itok=iw8jX6uw
  • https://radiomed.ru/sites/default/files/styles/case_slider_image/public/user/53645/img-0005-00259.jpg?itok=nlYGPL2-
  • https://radiomed.ru/sites/default/files/styles/case_slider_image/public/user/53645/img-0005-00260.jpg?itok=-xfhTjqm
  • https://radiomed.ru/sites/default/files/styles/case_slider_image/public/user/53645/img-0005-00261.jpg?itok=bANC71nw
  • https://radiomed.ru/sites/default/files/styles/case_slider_image/public/user/53645/img-0005-00262.jpg?itok=gwhroqvy
  • https://radiomed.ru/sites/default/files/styles/case_slider_image/public/user/53645/img-0005-00263.jpg?itok=4q2FCmRP
  • https://radiomed.ru/sites/default/files/styles/case_slider_image/public/user/53645/img-0005-00264.jpg?itok=mJ2HXZDL
  • https://radiomed.ru/sites/default/files/styles/case_slider_image/public/user/53645/img-0005-00265.jpg?itok=JQ0H87Lx
  • https://radiomed.ru/sites/default/files/styles/case_slider_image/public/user/53645/img-0005-00266.jpg?itok=B0QQrx4V
  • https://radiomed.ru/sites/default/files/styles/case_slider_image/public/user/53645/img-0005-00267.jpg?itok=mm6OGgP-
  • https://radiomed.ru/sites/default/files/styles/case_slider_image/public/user/53645/img-0005-00268.jpg?itok=FfHooRCy
  • https://radiomed.ru/sites/default/files/styles/case_slider_image/public/user/53645/img-0005-00269.jpg?itok=YRsyc40l
  • https://radiomed.ru/sites/default/files/styles/case_slider_image/public/user/53645/img-0005-00270.jpg?itok=05sX3e1K
  • https://radiomed.ru/sites/default/files/styles/case_slider_image/public/user/53645/img-0005-00271.jpg?itok=eTmSUOeT
  • https://radiomed.ru/sites/default/files/styles/case_slider_image/public/user/53645/img-0005-00272.jpg?itok=ZYMPglFV
  • https://radiomed.ru/sites/default/files/styles/case_slider_image/public/user/53645/img-0005-00273.jpg?itok=QC6CUJ1j
  • https://radiomed.ru/sites/default/files/styles/case_slider_image/public/user/53645/img-0005-00274.jpg?itok=T1C5B6qU
  • https://radiomed.ru/sites/default/files/styles/case_slider_image/public/user/53645/img-0005-00275.jpg?itok=FxDPMZwh
  • https://radiomed.ru/sites/default/files/styles/case_slider_image/public/user/53645/img-0005-00276.jpg?itok=mxhJPUm0
  • https://radiomed.ru/sites/default/files/styles/case_slider_image/public/user/53645/img-0005-00277.jpg?itok=_tvKdL1_
  • https://radiomed.ru/sites/default/files/styles/case_slider_image/public/user/53645/img-0005-00278.jpg?itok=6AU-V9Qe
  • https://radiomed.ru/sites/default/files/styles/case_slider_image/public/user/53645/img-0005-00279.jpg?itok=t0XibdeS
  • https://radiomed.ru/sites/default/files/styles/case_slider_image/public/user/53645/img-0005-00280.jpg?itok=45KtBTLb
  • https://radiomed.ru/sites/default/files/styles/case_slider_image/public/user/53645/img-0005-00281.jpg?itok=I3g-YtNT
  • https://radiomed.ru/sites/default/files/styles/case_slider_image/public/user/53645/img-0005-00282.jpg?itok=rS35rNsp
  • https://radiomed.ru/sites/default/files/styles/case_slider_image/public/user/53645/img-0005-00283.jpg?itok=C_Cfd8J2
  • https://radiomed.ru/sites/default/files/styles/case_slider_image/public/user/53645/img-0005-00284.jpg?itok=LHsnIQtl
  • https://radiomed.ru/sites/default/files/styles/case_slider_image/public/user/53645/img-0005-00285.jpg?itok=V-n1QUfW
  • https://radiomed.ru/sites/default/files/styles/case_slider_image/public/user/53645/img-0005-00286.jpg?itok=pFlG--j2
  • https://radiomed.ru/sites/default/files/styles/case_slider_image/public/user/53645/img-0005-00287.jpg?itok=hgdHQiNQ
  • https://radiomed.ru/sites/default/files/styles/case_slider_image/public/user/53645/img-0005-00288.jpg?itok=7soyIeuh
  • https://radiomed.ru/sites/default/files/styles/case_slider_image/public/user/53645/img-0001-00026_2.jpg?itok=PlZetUkc
  • https://radiomed.ru/sites/default/files/styles/case_slider_image/public/user/53645/img-0001-00027_2.jpg?itok=mnaV_SXk
  • https://radiomed.ru/sites/default/files/styles/case_slider_image/public/user/53645/img-0001-00028_2.jpg?itok=0CV5-b7X
  • https://radiomed.ru/sites/default/files/styles/case_slider_image/public/user/53645/img-0001-00029_2.jpg?itok=M-_hSZpH
  • https://radiomed.ru/sites/default/files/styles/case_slider_image/public/user/53645/img-0001-00030_2.jpg?itok=glGwTuIR
  • https://radiomed.ru/sites/default/files/styles/case_slider_image/public/user/53645/img-0001-00031_2.jpg?itok=c_J2eRIg
  • https://radiomed.ru/sites/default/files/styles/case_slider_image/public/user/53645/img-0001-00032_2.jpg?itok=KVQsbHim
  • https://radiomed.ru/sites/default/files/styles/case_slider_image/public/user/53645/img-0001-00033_2.jpg?itok=5sJkE4qr
  • https://radiomed.ru/sites/default/files/styles/case_slider_image/public/user/53645/img-0001-00034_2.jpg?itok=p8A0z2Ug
  • https://radiomed.ru/sites/default/files/styles/case_slider_image/public/user/53645/img-0001-00035_2.jpg?itok=roFg4Xvm
  • https://radiomed.ru/sites/default/files/styles/case_slider_image/public/user/53645/img-0001-00036_2.jpg?itok=ElE6cVlv
  • https://radiomed.ru/sites/default/files/styles/case_slider_image/public/user/53645/img-0001-00037_2.jpg?itok=ZL58r31R
  • https://radiomed.ru/sites/default/files/styles/case_slider_image/public/user/53645/img-0001-00038_2.jpg?itok=cUqVCPFr
  • https://radiomed.ru/sites/default/files/styles/case_slider_image/public/user/53645/img-0001-00039_2.jpg?itok=BH0XE3R_
  • https://radiomed.ru/sites/default/files/styles/case_slider_image/public/user/53645/img-0001-00040_2.jpg?itok=TJIWdTgF
  • https://radiomed.ru/sites/default/files/styles/case_slider_image/public/user/53645/img-0001-00041_2.jpg?itok=oirECMJj
  • https://radiomed.ru/sites/default/files/styles/case_slider_image/public/user/53645/img-0001-00042_2.jpg?itok=CjjcpPaE
  • https://radiomed.ru/sites/default/files/styles/case_slider_image/public/user/53645/img-0001-00043_2.jpg?itok=uuA8RRhZ
  • https://radiomed.ru/sites/default/files/styles/case_slider_image/public/user/53645/img-0001-00044_2.jpg?itok=_STbqvnb
  • https://radiomed.ru/sites/default/files/styles/case_slider_image/public/user/53645/img-0001-00045_2.jpg?itok=nItnwC-y
  • https://radiomed.ru/sites/default/files/styles/case_slider_image/public/user/53645/img-0001-00046_2.jpg?itok=6S1Z9C_Q
  • https://radiomed.ru/sites/default/files/styles/case_slider_image/public/user/53645/img-0001-00047_2.jpg?itok=lokr7Ga4
  • https://radiomed.ru/sites/default/files/styles/case_slider_image/public/user/53645/img-0001-00048_2.jpg?itok=FRv81pxW
  • https://radiomed.ru/sites/default/files/styles/case_slider_image/public/user/53645/img-0001-00049_2.jpg?itok=CbKrafhx
  • https://radiomed.ru/sites/default/files/styles/case_slider_image/public/user/53645/img-0001-00050_1.jpg?itok=n1eSWoui
  • https://radiomed.ru/sites/default/files/styles/case_slider_image/public/user/53645/img-0001-00051_1.jpg?itok=8pP58VPy
  • https://radiomed.ru/sites/default/files/styles/case_slider_image/public/user/53645/img-0001-00052_1.jpg?itok=TwROsSod
  • https://radiomed.ru/sites/default/files/styles/case_slider_image/public/user/53645/img-0001-00053_1.jpg?itok=lB047nW1
  • https://radiomed.ru/sites/default/files/styles/case_slider_image/public/user/53645/img-0001-00054_1.jpg?itok=cQs8rujh
  • https://radiomed.ru/sites/default/files/styles/case_slider_image/public/user/53645/img-0001-00055_1.jpg?itok=L426jZ9h
  • https://radiomed.ru/sites/default/files/styles/case_slider_image/public/user/53645/img-0001-00056_1.jpg?itok=SV4DRpDW
  • https://radiomed.ru/sites/default/files/styles/case_slider_image/public/user/53645/img-0001-00057_1.jpg?itok=8QsGnCTl
  • https://radiomed.ru/sites/default/files/styles/case_slider_image/public/user/53645/img-0001-00058_1.jpg?itok=8Hn8yl8p
  • https://radiomed.ru/sites/default/files/styles/case_slider_image/public/user/53645/img-0001-00059_1.jpg?itok=094w0fHm
  • https://radiomed.ru/sites/default/files/styles/case_slider_image/public/user/53645/img-0001-00060_1.jpg?itok=L9Ckhjp1
  • https://radiomed.ru/sites/default/files/styles/case_slider_image/public/user/53645/img-0001-00061_1.jpg?itok=5drqz4aw
  • https://radiomed.ru/sites/default/files/styles/case_slider_image/public/user/53645/img-0001-00062_1.jpg?itok=IdOf7VzG
  • https://radiomed.ru/sites/default/files/styles/case_slider_image/public/user/53645/img-0001-00063_1.jpg?itok=GK2d_OBC
  • https://radiomed.ru/sites/default/files/styles/case_slider_image/public/user/53645/img-0001-00064_1.jpg?itok=LDHw35U2
  • https://radiomed.ru/sites/default/files/styles/case_slider_image/public/user/53645/img-0001-00065_1.jpg?itok=BxV7EfMh
  • https://radiomed.ru/sites/default/files/styles/case_slider_image/public/user/53645/img-0001-00066_2.jpg?itok=4MqZZGzt
  • https://radiomed.ru/sites/default/files/styles/case_slider_image/public/user/53645/img-0001-00067_2.jpg?itok=KYmucN69
  • https://radiomed.ru/sites/default/files/styles/case_slider_image/public/user/53645/img-0001-00068_2.jpg?itok=PdgA5E86
  • https://radiomed.ru/sites/default/files/styles/case_slider_image/public/user/53645/img-0001-00069_2.jpg?itok=DgyaYkfE
  • https://radiomed.ru/sites/default/files/styles/case_slider_image/public/user/53645/img-0001-00070_2.jpg?itok=39yKUu67
  • https://radiomed.ru/sites/default/files/styles/case_slider_image/public/user/53645/img-0001-00071_2.jpg?itok=SRqYffcS
  • https://radiomed.ru/sites/default/files/styles/case_slider_image/public/user/53645/img-0001-00072_2.jpg?itok=bqhA3EE1
  • https://radiomed.ru/sites/default/files/styles/case_slider_image/public/user/53645/img-0001-00073_2.jpg?itok=MjHnTPyg
  • https://radiomed.ru/sites/default/files/styles/case_slider_image/public/user/53645/img-0001-00074_2.jpg?itok=9wN7Cy0G
  • https://radiomed.ru/sites/default/files/styles/case_slider_image/public/user/53645/img-0001-00075_2.jpg?itok=6OMAD2G_
  • https://radiomed.ru/sites/default/files/styles/case_slider_image/public/user/53645/img-0001-00076_2.jpg?itok=JKdbpeR_
  • https://radiomed.ru/sites/default/files/styles/case_slider_image/public/user/53645/img-0001-00077_2.jpg?itok=u2ALFk_h
  • https://radiomed.ru/sites/default/files/styles/case_slider_image/public/user/53645/img-0001-00078_2.jpg?itok=IbOTcw5s
  • https://radiomed.ru/sites/default/files/styles/case_slider_image/public/user/53645/img-0001-00079_2.jpg?itok=p28tTIhL
  • https://radiomed.ru/sites/default/files/styles/case_slider_image/public/user/53645/img-0001-00080_2.jpg?itok=KkBRzrIT
  • https://radiomed.ru/sites/default/files/styles/case_slider_image/public/user/53645/img-0001-00081_2.jpg?itok=a-f_QKqh
  • https://radiomed.ru/sites/default/files/styles/case_slider_image/public/user/53645/img-0001-00082_2.jpg?itok=hvTQMTpN
  • https://radiomed.ru/sites/default/files/styles/case_slider_image/public/user/53645/img-0001-00083_2.jpg?itok=kOpEC--h
  • https://radiomed.ru/sites/default/files/styles/case_slider_image/public/user/53645/img-0001-00084_2.jpg?itok=oZ7_LAJC
  • https://radiomed.ru/sites/default/files/styles/case_slider_image/public/user/53645/img-0001-00085_2.jpg?itok=-S85yTD-
  • https://radiomed.ru/sites/default/files/styles/case_slider_image/public/user/53645/img-0001-00086_2.jpg?itok=KWqzGCj8
  • https://radiomed.ru/sites/default/files/styles/case_slider_image/public/user/53645/img-0001-00087_2.jpg?itok=T4vQqdyu
  • https://radiomed.ru/sites/default/files/styles/case_slider_image/public/user/53645/img-0001-00088_2.jpg?itok=Nb3dA4y9
  • https://radiomed.ru/sites/default/files/styles/case_slider_image/public/user/53645/img-0001-00089_2.jpg?itok=KSLlrqMY
  • https://radiomed.ru/sites/default/files/styles/case_slider_image/public/user/53645/img-0001-00090_2.jpg?itok=br1unaWl
  • https://radiomed.ru/sites/default/files/styles/case_slider_image/public/user/53645/img-0001-00091_2.jpg?itok=2gRtLLZz
  • https://radiomed.ru/sites/default/files/styles/case_slider_image/public/user/53645/img-0001-00092_2.jpg?itok=J8Mw6DKR
  • https://radiomed.ru/sites/default/files/styles/case_slider_image/public/user/53645/img-0001-00093_2.jpg?itok=C2spufA_
  • https://radiomed.ru/sites/default/files/styles/case_slider_image/public/user/53645/img-0001-00094_2.jpg?itok=Sye1x0Ed
  • https://radiomed.ru/sites/default/files/styles/case_slider_image/public/user/53645/img-0001-00095_2.jpg?itok=okkodjrE
  • https://radiomed.ru/sites/default/files/styles/case_slider_image/public/user/53645/img-0001-00096_2.jpg?itok=PI8PZbRa
  • https://radiomed.ru/sites/default/files/styles/case_slider_image/public/user/53645/img-0001-00097_2.jpg?itok=8lnJobT9
  • https://radiomed.ru/sites/default/files/styles/case_slider_image/public/user/53645/img-0001-00098_2.jpg?itok=7znDku84
  • https://radiomed.ru/sites/default/files/styles/case_slider_image/public/user/53645/img-0001-00099_2.jpg?itok=MeVx6uYn
  • https://radiomed.ru/sites/default/files/styles/case_slider_image/public/user/53645/img-0001-00100_2.jpg?itok=a5QsU0Vq
  • https://radiomed.ru/sites/default/files/styles/case_slider_image/public/user/53645/img-0001-00101_2.jpg?itok=SEgJk8FM
  • https://radiomed.ru/sites/default/files/styles/case_slider_image/public/user/53645/img-0001-00102_2.jpg?itok=RNcQT6kV
  • https://radiomed.ru/sites/default/files/styles/case_slider_image/public/user/53645/img-0001-00103_2.jpg?itok=pGO_S7VL
  • https://radiomed.ru/sites/default/files/styles/case_slider_image/public/user/53645/img-0001-00104_2.jpg?itok=Vqo-u3cO
  • https://radiomed.ru/sites/default/files/styles/case_slider_image/public/user/53645/img-0001-00105_2.jpg?itok=HhXqUJlC
  • https://radiomed.ru/sites/default/files/styles/case_slider_image/public/user/53645/img-0001-00106_2.jpg?itok=QJJ9zaIl
  • https://radiomed.ru/sites/default/files/styles/case_slider_image/public/user/53645/img-0001-00107_2.jpg?itok=DkXhLOnt
  • https://radiomed.ru/sites/default/files/styles/case_slider_image/public/user/53645/img-0001-00108_2.jpg?itok=I_M9vQRb
  • https://radiomed.ru/sites/default/files/styles/case_slider_image/public/user/53645/img-0001-00109_2.jpg?itok=cZmdMieo
  • https://radiomed.ru/sites/default/files/styles/case_slider_image/public/user/53645/img-0001-00110_2.jpg?itok=9mcBF6lG
  • https://radiomed.ru/sites/default/files/styles/case_slider_image/public/user/53645/img-0001-00111_1.jpg?itok=xnBJzlct
  • https://radiomed.ru/sites/default/files/styles/case_slider_image/public/user/53645/img-0001-00112_1.jpg?itok=iUqH195P
  • https://radiomed.ru/sites/default/files/styles/case_slider_image/public/user/53645/img-0001-00113_1.jpg?itok=zrTDsrUi
  • https://radiomed.ru/sites/default/files/styles/case_slider_image/public/user/53645/img-0001-00114_1.jpg?itok=QoIohodn
  • https://radiomed.ru/sites/default/files/styles/case_slider_image/public/user/53645/img-0001-00115_1.jpg?itok=vKsHyqWL
  • https://radiomed.ru/sites/default/files/styles/case_slider_image/public/user/53645/img-0001-00116_1.jpg?itok=9MlSFcco
  • https://radiomed.ru/sites/default/files/styles/case_slider_image/public/user/53645/img-0001-00117_1.jpg?itok=lc3hRy1C
  • https://radiomed.ru/sites/default/files/styles/case_slider_image/public/user/53645/img-0001-00118_1.jpg?itok=J6KYXbRa
  • https://radiomed.ru/sites/default/files/styles/case_slider_image/public/user/53645/img-0001-00119_1.jpg?itok=wC-1IRaW
  • https://radiomed.ru/sites/default/files/styles/case_slider_image/public/user/53645/img-0001-00120_1.jpg?itok=X3pXJJ45
  • https://radiomed.ru/sites/default/files/styles/case_slider_image/public/user/53645/img-0001-00121_1.jpg?itok=YIOiFplO
  • https://radiomed.ru/sites/default/files/styles/case_slider_image/public/user/53645/img-0001-00122_1.jpg?itok=_M4Vdf7v
  • https://radiomed.ru/sites/default/files/styles/case_slider_image/public/user/53645/img-0001-00123_1.jpg?itok=IW7yT4Y0
  • https://radiomed.ru/sites/default/files/styles/case_slider_image/public/user/53645/img-0001-00124_1.jpg?itok=igiBHLN4
  • https://radiomed.ru/sites/default/files/styles/case_slider_image/public/user/53645/img-0001-00125_1.jpg?itok=c0nG50nf
  • https://radiomed.ru/sites/default/files/styles/case_slider_image/public/user/53645/img-0001-00126_1.jpg?itok=v5NZ4MaN
  • https://radiomed.ru/sites/default/files/styles/case_slider_image/public/user/53645/img-0001-00127_1.jpg?itok=P0xn3OIY
  • https://radiomed.ru/sites/default/files/styles/case_slider_image/public/user/53645/img-0001-00128_1.jpg?itok=SNBoECq_
  • https://radiomed.ru/sites/default/files/styles/case_slider_image/public/user/53645/img-0001-00129_2.jpg?itok=4CnWXoDE
  • https://radiomed.ru/sites/default/files/styles/case_slider_image/public/user/53645/img-0001-00130_2.jpg?itok=JbdxIY4u
  • https://radiomed.ru/sites/default/files/styles/case_slider_image/public/user/53645/img-0001-00131_2.jpg?itok=hbXv-x7v
  • https://radiomed.ru/sites/default/files/styles/case_slider_image/public/user/53645/img-0001-00132_1.jpg?itok=xL4RzBlb
  • https://radiomed.ru/sites/default/files/styles/case_slider_image/public/user/53645/img-0001-00133_1.jpg?itok=HLyRZHCj
  • https://radiomed.ru/sites/default/files/styles/case_slider_image/public/user/53645/img-0001-00134_1.jpg?itok=SESojIJ4
  • https://radiomed.ru/sites/default/files/styles/case_slider_image/public/user/53645/img-0001-00135_1.jpg?itok=zX-aNPtU
  • https://radiomed.ru/sites/default/files/styles/case_slider_image/public/user/53645/img-0001-00136_1.jpg?itok=3tIiknLA
  • https://radiomed.ru/sites/default/files/styles/case_slider_image/public/user/53645/img-0001-00137_1.jpg?itok=iLz6U3kC
  • https://radiomed.ru/sites/default/files/styles/case_slider_image/public/user/53645/img-0001-00138_1.jpg?itok=eh1AuX8T
  • https://radiomed.ru/sites/default/files/styles/case_slider_image/public/user/53645/img-0001-00139_1.jpg?itok=Je_4F5dF
  • https://radiomed.ru/sites/default/files/styles/case_slider_image/public/user/53645/img-0001-00140_1.jpg?itok=Ex0uLsHw
  • https://radiomed.ru/sites/default/files/styles/case_slider_image/public/user/53645/img-0001-00141_1.jpg?itok=xdgsdZTX
  • https://radiomed.ru/sites/default/files/styles/case_slider_image/public/user/53645/img-0001-00142_1.jpg?itok=rlNRB4r_
  • https://radiomed.ru/sites/default/files/styles/case_slider_image/public/user/53645/img-0001-00143_1.jpg?itok=SYBZ3Kg9
  • https://radiomed.ru/sites/default/files/styles/case_slider_image/public/user/53645/img-0001-00144_1.jpg?itok=sD--tKXS
  • https://radiomed.ru/sites/default/files/styles/case_slider_image/public/user/53645/img-0001-00145_1.jpg?itok=M_409_EP
  • https://radiomed.ru/sites/default/files/styles/case_slider_image/public/user/53645/img-0001-00146_1.jpg?itok=bk0Tvw98
  • https://radiomed.ru/sites/default/files/styles/case_slider_image/public/user/53645/img-0001-00147_1.jpg?itok=et_JRQ-T
  • https://radiomed.ru/sites/default/files/styles/case_slider_image/public/user/53645/img-0001-00148_1.jpg?itok=wczIcs4G
  • https://radiomed.ru/sites/default/files/styles/case_slider_image/public/user/53645/img-0001-00149_1.jpg?itok=HdNgHF4V
  • https://radiomed.ru/sites/default/files/styles/case_slider_image/public/user/53645/img-0001-00150_1.jpg?itok=PjvODbUb
  • https://radiomed.ru/sites/default/files/styles/case_slider_image/public/user/53645/img-0001-00151_1.jpg?itok=xDDBd2_6
  • https://radiomed.ru/sites/default/files/styles/case_slider_image/public/user/53645/img-0001-00152_1.jpg?itok=a4uAHr7H
  • https://radiomed.ru/sites/default/files/styles/case_slider_image/public/user/53645/img-0001-00153_0.jpg?itok=Nk-YPdzn
  • https://radiomed.ru/sites/default/files/styles/case_slider_image/public/user/53645/img-0001-00154_0.jpg?itok=LE2yDLDI
  • https://radiomed.ru/sites/default/files/styles/case_slider_image/public/user/53645/img-0001-00155_0.jpg?itok=KpG1QzJL
  • https://radiomed.ru/sites/default/files/styles/case_slider_image/public/user/53645/img-0001-00156_0.jpg?itok=0UOiSulg
  • https://radiomed.ru/sites/default/files/styles/case_slider_image/public/user/53645/img-0001-00157_0.jpg?itok=T_nDBu0n
  • https://radiomed.ru/sites/default/files/styles/case_slider_image/public/user/53645/img-0001-00158_0.jpg?itok=GaOiqHz3
  • https://radiomed.ru/sites/default/files/styles/case_slider_image/public/user/53645/img-0001-00159_0.jpg?itok=C3nJF-lG
  • https://radiomed.ru/sites/default/files/styles/case_slider_image/public/user/53645/img-0001-00160_0.jpg?itok=-8bFc0S4
  • https://radiomed.ru/sites/default/files/styles/case_slider_image/public/user/53645/img-0001-00161_0.jpg?itok=UTkuQLNr
  • https://radiomed.ru/sites/default/files/styles/case_slider_image/public/user/53645/img-0001-00162_0.jpg?itok=43c34wHC
  • https://radiomed.ru/sites/default/files/styles/case_slider_image/public/user/53645/img-0001-00163_1.jpg?itok=3ecELkpE
  • https://radiomed.ru/sites/default/files/styles/case_slider_image/public/user/53645/img-0001-00164_1.jpg?itok=FcvT_jJ7
  • https://radiomed.ru/sites/default/files/styles/case_slider_image/public/user/53645/img-0001-00165_1.jpg?itok=h9OB-n_4
  • https://radiomed.ru/sites/default/files/styles/case_slider_image/public/user/53645/img-0001-00166_1.jpg?itok=WmYeENgu
  • https://radiomed.ru/sites/default/files/styles/case_slider_image/public/user/53645/img-0001-00167_1.jpg?itok=8Mn7LngQ
  • https://radiomed.ru/sites/default/files/styles/case_slider_image/public/user/53645/img-0001-00168_1.jpg?itok=KwqkViaN
  • https://radiomed.ru/sites/default/files/styles/case_slider_image/public/user/53645/img-0001-00169_1.jpg?itok=2nPiPx0g
  • https://radiomed.ru/sites/default/files/styles/case_slider_image/public/user/53645/img-0001-00170_1.jpg?itok=bRl-xKPg
  • https://radiomed.ru/sites/default/files/styles/case_slider_image/public/user/53645/img-0001-00171_1.jpg?itok=hOZiyT2m
  • https://radiomed.ru/sites/default/files/styles/case_slider_image/public/user/53645/img-0001-00172_1.jpg?itok=_nn8-Ogo
  • https://radiomed.ru/sites/default/files/styles/case_slider_image/public/user/53645/img-0001-00173_1.jpg?itok=C_YEPKTp
  • https://radiomed.ru/sites/default/files/styles/case_slider_image/public/user/53645/img-0001-00174_1.jpg?itok=PQoUkKtO
  • https://radiomed.ru/sites/default/files/styles/case_slider_image/public/user/53645/img-0001-00175_1.jpg?itok=Tp3pBqFw
  • https://radiomed.ru/sites/default/files/styles/case_slider_image/public/user/53645/img-0001-00176_1.jpg?itok=J8nAnMWS
  • https://radiomed.ru/sites/default/files/styles/case_slider_image/public/user/53645/img-0001-00177_1.jpg?itok=v43ckd-h
  • https://radiomed.ru/sites/default/files/styles/case_slider_image/public/user/53645/img-0001-00178_1.jpg?itok=ZEuKEQnC
  • https://radiomed.ru/sites/default/files/styles/case_slider_image/public/user/53645/img-0001-00179_1.jpg?itok=N8saW3p_
  • https://radiomed.ru/sites/default/files/styles/case_slider_image/public/user/53645/img-0001-00180_1.jpg?itok=e9tS8mDA
  • https://radiomed.ru/sites/default/files/styles/case_slider_image/public/user/53645/img-0001-00181_1.jpg?itok=l_lJRcma
  • https://radiomed.ru/sites/default/files/styles/case_slider_image/public/user/53645/img-0001-00182_1.jpg?itok=QmkgA0Z_
  • https://radiomed.ru/sites/default/files/styles/case_slider_image/public/user/53645/img-0001-00183_1.jpg?itok=8-gu3pP9
  • https://radiomed.ru/sites/default/files/styles/case_slider_image/public/user/53645/img-0001-00184_1.jpg?itok=faj3m8NK
  • https://radiomed.ru/sites/default/files/styles/case_slider_image/public/user/53645/img-0001-00185_1.jpg?itok=Avd4P3gX
  • https://radiomed.ru/sites/default/files/styles/case_slider_image/public/user/53645/img-0001-00186_1.jpg?itok=SYi9qLvD
  • https://radiomed.ru/sites/default/files/styles/case_slider_image/public/user/53645/img-0001-00187_1.jpg?itok=WWAjRCB9
  • https://radiomed.ru/sites/default/files/styles/case_slider_image/public/user/53645/img-0001-00188_1.jpg?itok=34iYeDEg
  • https://radiomed.ru/sites/default/files/styles/case_slider_image/public/user/53645/img-0001-00189_1.jpg?itok=z1uMXfmj
  • https://radiomed.ru/sites/default/files/styles/case_slider_image/public/user/53645/img-0001-00190_1.jpg?itok=y10yRcsS
  • https://radiomed.ru/sites/default/files/styles/case_slider_image/public/user/53645/img-0001-00191_1.jpg?itok=kQaOZWs3
  • https://radiomed.ru/sites/default/files/styles/case_slider_image/public/user/53645/img-0001-00192_1.jpg?itok=1i9fAkbj
  • https://radiomed.ru/sites/default/files/styles/case_slider_image/public/user/53645/img-0001-00193_1.jpg?itok=JHcUZ5bk
  • https://radiomed.ru/sites/default/files/styles/case_slider_image/public/user/53645/img-0001-00194_1.jpg?itok=p0d072Uf
  • https://radiomed.ru/sites/default/files/styles/case_slider_image/public/user/53645/img-0001-00195_1.jpg?itok=GEN-QFDP
  • https://radiomed.ru/sites/default/files/styles/case_slider_image/public/user/53645/img-0001-00196_1.jpg?itok=4Ot__G-j
  • https://radiomed.ru/sites/default/files/styles/case_slider_image/public/user/53645/img-0001-00197_1.jpg?itok=W-vLs-vV
  • https://radiomed.ru/sites/default/files/styles/case_slider_image/public/user/53645/img-0001-00198_1.jpg?itok=bsYxh-aL
  • https://radiomed.ru/sites/default/files/styles/case_slider_image/public/user/53645/img-0001-00199_1.jpg?itok=7pB7a1Hb
  • https://radiomed.ru/sites/default/files/styles/case_slider_image/public/user/53645/img-0001-00200_1.jpg?itok=s4FG16KX
  • https://radiomed.ru/sites/default/files/styles/case_slider_image/public/user/53645/img-0001-00201_1.jpg?itok=YzhqEg6v
  • https://radiomed.ru/sites/default/files/styles/case_slider_image/public/user/53645/img-0001-00202_1.jpg?itok=_kLLWItE
  • https://radiomed.ru/sites/default/files/styles/case_slider_image/public/user/53645/img-0001-00203_1.jpg?itok=ra6AK2nu
  • https://radiomed.ru/sites/default/files/styles/case_slider_image/public/user/53645/img-0001-00204_1.jpg?itok=tHqFCtkz
  • https://radiomed.ru/sites/default/files/styles/case_slider_image/public/user/53645/img-0001-00205_1.jpg?itok=VGjfj1LD
  • https://radiomed.ru/sites/default/files/styles/case_slider_image/public/user/53645/img-0001-00206_1.jpg?itok=KAqai9jT
  • https://radiomed.ru/sites/default/files/styles/case_slider_image/public/user/53645/img-0001-00207_1.jpg?itok=dUcECMpd
  • https://radiomed.ru/sites/default/files/styles/case_slider_image/public/user/53645/img-0001-00208_1.jpg?itok=UZ6UnfXg
  • https://radiomed.ru/sites/default/files/styles/case_slider_image/public/user/53645/img-0001-00209_1.jpg?itok=VepIH2bn
  • https://radiomed.ru/sites/default/files/styles/case_slider_image/public/user/53645/img-0001-00210_1.jpg?itok=rt9flKEM
  • https://radiomed.ru/sites/default/files/styles/case_slider_image/public/user/53645/img-0001-00211_1.jpg?itok=OQ8fbRsS
  • https://radiomed.ru/sites/default/files/styles/case_slider_image/public/user/53645/img-0001-00212_1.jpg?itok=bwH3l4wJ
  • https://radiomed.ru/sites/default/files/styles/case_slider_image/public/user/53645/img-0001-00213_1.jpg?itok=nkUKZ-2p
  • https://radiomed.ru/sites/default/files/styles/case_slider_image/public/user/53645/img-0001-00214_1.jpg?itok=g9chQRxt
  • https://radiomed.ru/sites/default/files/styles/case_slider_image/public/user/53645/img-0001-00215_1.jpg?itok=La4djfEa
  • https://radiomed.ru/sites/default/files/styles/case_slider_image/public/user/53645/img-0001-00216_1.jpg?itok=_wYG-YC0
  • https://radiomed.ru/sites/default/files/styles/case_slider_image/public/user/53645/img-0001-00217_1.jpg?itok=ZhjjDLkz
  • https://radiomed.ru/sites/default/files/styles/case_slider_image/public/user/53645/img-0001-00218_1.jpg?itok=OP7gi_-d
  • https://radiomed.ru/sites/default/files/styles/case_slider_image/public/user/53645/img-0001-00219_1.jpg?itok=Cv0mpEFL
  • https://radiomed.ru/sites/default/files/styles/case_slider_image/public/user/53645/img-0001-00220_1.jpg?itok=nuW-hF0o
  • https://radiomed.ru/sites/default/files/styles/case_slider_image/public/user/53645/img-0001-00221_1.jpg?itok=yjfvG_pp
  • https://radiomed.ru/sites/default/files/styles/case_slider_image/public/user/53645/img-0001-00222_1.jpg?itok=17W1JSJ-
  • https://radiomed.ru/sites/default/files/styles/case_slider_image/public/user/53645/img-0001-00223_1.jpg?itok=_u4OL06N
  • https://radiomed.ru/sites/default/files/styles/case_slider_image/public/user/53645/img-0001-00224_1.jpg?itok=jvijURzB
  • https://radiomed.ru/sites/default/files/styles/case_slider_image/public/user/53645/img-0001-00225_1.jpg?itok=Pk1e2Ox2
  • https://radiomed.ru/sites/default/files/styles/case_slider_image/public/user/53645/img-0001-00226_1.jpg?itok=-wf9zeuK
  • https://radiomed.ru/sites/default/files/styles/case_slider_image/public/user/53645/img-0001-00227_1.jpg?itok=TA8GSFTe
  • https://radiomed.ru/sites/default/files/styles/case_slider_image/public/user/53645/img-0001-00228_1.jpg?itok=U-i5fKiK
  • https://radiomed.ru/sites/default/files/styles/case_slider_image/public/user/53645/img-0001-00229_0.jpg?itok=_NnfH9eu
  • https://radiomed.ru/sites/default/files/styles/case_slider_image/public/user/53645/img-0001-00230_0.jpg?itok=dG0bcL0T
  • https://radiomed.ru/sites/default/files/styles/case_slider_image/public/user/53645/img-0001-00231_0.jpg?itok=-38N1W9C
  • https://radiomed.ru/sites/default/files/styles/case_slider_image/public/user/53645/img-0001-00232_0.jpg?itok=oIIzVRE5
  • https://radiomed.ru/sites/default/files/styles/case_slider_image/public/user/53645/img-0001-00233_1.jpg?itok=z37nnItZ
  • https://radiomed.ru/sites/default/files/styles/case_slider_image/public/user/53645/img-0001-00234_1.jpg?itok=uSuqXnKd
  • https://radiomed.ru/sites/default/files/styles/case_slider_image/public/user/53645/img-0001-00235_2.jpg?itok=PaEf6ySs
  • https://radiomed.ru/sites/default/files/styles/case_slider_image/public/user/53645/img-0001-00236_2.jpg?itok=7nPq3OFE
  • https://radiomed.ru/sites/default/files/styles/case_slider_image/public/user/53645/img-0001-00237_2.jpg?itok=Rb95Orlx
  • https://radiomed.ru/sites/default/files/styles/case_slider_image/public/user/53645/img-0001-00238_2.jpg?itok=fi-fFXYA
  • https://radiomed.ru/sites/default/files/styles/case_slider_image/public/user/53645/img-0001-00239_2.jpg?itok=-M0Tc1ju
  • https://radiomed.ru/sites/default/files/styles/case_slider_image/public/user/53645/img-0001-00240_2.jpg?itok=JoQJG2mW
  • https://radiomed.ru/sites/default/files/styles/case_slider_image/public/user/53645/img-0001-00241_2.jpg?itok=pak2H2_p
  • https://radiomed.ru/sites/default/files/styles/case_slider_image/public/user/53645/img-0001-00242_2.jpg?itok=YYRbJ_uf
  • https://radiomed.ru/sites/default/files/styles/case_slider_image/public/user/53645/img-0001-00243_2.jpg?itok=xJ3pRwi6
  • https://radiomed.ru/sites/default/files/styles/case_slider_image/public/user/53645/img-0001-00244_2.jpg?itok=qzxihNwn
  • https://radiomed.ru/sites/default/files/styles/case_slider_image/public/user/53645/img-0001-00245_2.jpg?itok=b30209nL
  • https://radiomed.ru/sites/default/files/styles/case_slider_image/public/user/53645/img-0001-00246_2.jpg?itok=TyKrCI04
  • https://radiomed.ru/sites/default/files/styles/case_slider_image/public/user/53645/img-0001-00247_1.jpg?itok=S93TjQF6
  • https://radiomed.ru/sites/default/files/styles/case_slider_image/public/user/53645/img-0001-00248_1.jpg?itok=l1ENqRgt
  • https://radiomed.ru/sites/default/files/styles/case_slider_image/public/user/53645/img-0001-00249_1.jpg?itok=jQC-5_Ky
  • https://radiomed.ru/sites/default/files/styles/case_slider_image/public/user/53645/img-0001-00250_1.jpg?itok=Bf6AG_vw
  • https://radiomed.ru/sites/default/files/styles/case_slider_image/public/user/53645/img-0001-00251_1.jpg?itok=VKUIkaxX
  • https://radiomed.ru/sites/default/files/styles/case_slider_image/public/user/53645/img-0001-00252_1.jpg?itok=F5IYLOsF
  • https://radiomed.ru/sites/default/files/styles/case_slider_image/public/user/53645/img-0001-00253_1.jpg?itok=AcOBSZhc
  • https://radiomed.ru/sites/default/files/styles/case_slider_image/public/user/53645/img-0001-00254_1.jpg?itok=c2JdKF3B
  • https://radiomed.ru/sites/default/files/styles/case_slider_image/public/user/53645/img-0001-00255_1.jpg?itok=dA84b3-U
  • https://radiomed.ru/sites/default/files/styles/case_slider_image/public/user/53645/img-0001-00256_1.jpg?itok=H-0452Ua
  • https://radiomed.ru/sites/default/files/styles/case_slider_image/public/user/53645/img-0001-00257_1.jpg?itok=T2NYEg-X
  • https://radiomed.ru/sites/default/files/styles/case_slider_image/public/user/53645/img-0001-00258_1.jpg?itok=fTM2l-g9
  • https://radiomed.ru/sites/default/files/styles/case_slider_image/public/user/53645/img-0001-00259_1.jpg?itok=ZCVNL2Op
  • https://radiomed.ru/sites/default/files/styles/case_slider_image/public/user/53645/img-0001-00260_1.jpg?itok=RKEwMod2
  • https://radiomed.ru/sites/default/files/styles/case_slider_image/public/user/53645/img-0001-00261_1.jpg?itok=WxMNFdDw
  • https://radiomed.ru/sites/default/files/styles/case_slider_image/public/user/53645/img-0001-00262_1.jpg?itok=3IR0lRo_
  • https://radiomed.ru/sites/default/files/styles/case_slider_image/public/user/53645/img-0001-00263_1.jpg?itok=Uo0E1lrG
  • https://radiomed.ru/sites/default/files/styles/case_slider_image/public/user/53645/img-0001-00264_1.jpg?itok=LYOS65nx
  • https://radiomed.ru/sites/default/files/styles/case_slider_image/public/user/53645/img-0001-00265_0.jpg?itok=XY1bpBdP
  • https://radiomed.ru/sites/default/files/styles/case_slider_image/public/user/53645/img-0001-00266_0.jpg?itok=K-Y1qQ1f
  • https://radiomed.ru/sites/default/files/styles/case_slider_image/public/user/53645/img-0001-00267_0.jpg?itok=MHqwuxTT
  • https://radiomed.ru/sites/default/files/styles/case_slider_image/public/user/53645/img-0001-00268_0.jpg?itok=UKMvbed1
  • https://radiomed.ru/sites/default/files/styles/case_slider_image/public/user/53645/img-0001-00269_0.jpg?itok=UM4aCuJ-
  • https://radiomed.ru/sites/default/files/styles/case_slider_image/public/user/53645/img-0001-00270_0.jpg?itok=nlfC_GHL
  • https://radiomed.ru/sites/default/files/styles/case_slider_image/public/user/53645/img-0001-00271_0.jpg?itok=jzB7DyUP
  • https://radiomed.ru/sites/default/files/styles/case_slider_image/public/user/53645/img-0001-00272_0.jpg?itok=RyK_MiI9
  • https://radiomed.ru/sites/default/files/styles/case_slider_image/public/user/53645/img-0001-00273_0.jpg?itok=jb77zUKg
  • https://radiomed.ru/sites/default/files/styles/case_slider_image/public/user/53645/img-0001-00274_0.jpg?itok=sPPuNp2e
  • https://radiomed.ru/sites/default/files/styles/case_slider_image/public/user/53645/img-0001-00275_0.jpg?itok=cZoEz3Y2
  • https://radiomed.ru/sites/default/files/styles/case_slider_image/public/user/53645/img-0001-00276_0.jpg?itok=Zr_9IqEe
  • https://radiomed.ru/sites/default/files/styles/case_slider_image/public/user/53645/img-0001-00277_0.jpg?itok=FbbEziV_
  • https://radiomed.ru/sites/default/files/styles/case_slider_image/public/user/53645/img-0001-00278_0.jpg?itok=nRmYdr3A
  • https://radiomed.ru/sites/default/files/styles/case_slider_image/public/user/53645/img-0001-00279_0.jpg?itok=Tn9QUpxz
  • https://radiomed.ru/sites/default/files/styles/case_slider_image/public/user/53645/img-0001-00280_0.jpg?itok=uC-7ns0Z
  • https://radiomed.ru/sites/default/files/styles/case_slider_image/public/user/53645/img-0001-00281_0.jpg?itok=4kTbScAM
  • https://radiomed.ru/sites/default/files/styles/case_slider_image/public/user/53645/img-0001-00282_0.jpg?itok=aEa3-bML
  • https://radiomed.ru/sites/default/files/styles/case_slider_image/public/user/53645/img-0001-00283_0.jpg?itok=bcOZJQ7k
  • https://radiomed.ru/sites/default/files/styles/case_slider_image/public/user/53645/img-0001-00284_0.jpg?itok=0D3fGzH8
  • https://radiomed.ru/sites/default/files/styles/case_slider_image/public/user/53645/img-0001-00285_0.jpg?itok=PGtqdcjM
  • https://radiomed.ru/sites/default/files/styles/case_slider_image/public/user/53645/img-0001-00286_0.jpg?itok=cckZP6Gc
  • https://radiomed.ru/sites/default/files/styles/case_slider_image/public/user/53645/img-0001-00287_0.jpg?itok=cPyb-Zmo
  • https://radiomed.ru/sites/default/files/styles/case_slider_image/public/user/53645/img-0001-00288_0.jpg?itok=-JfnA-LS
  • https://radiomed.ru/sites/default/files/styles/case_slider_image/public/user/53645/img-0001-00289_0.jpg?itok=cgM5twsR
  • https://radiomed.ru/sites/default/files/styles/case_slider_image/public/user/53645/img-0001-00290_0.jpg?itok=PTdLl9pd
  • https://radiomed.ru/sites/default/files/styles/case_slider_image/public/user/53645/img-0001-00291_0.jpg?itok=v9KJi0gC
  • https://radiomed.ru/sites/default/files/styles/case_slider_image/public/user/53645/img-0001-00292_0.jpg?itok=ui5UpC64
  • https://radiomed.ru/sites/default/files/styles/case_slider_image/public/user/53645/img-0001-00293_0.jpg?itok=SRkOu0h4
  • https://radiomed.ru/sites/default/files/styles/case_slider_image/public/user/53645/img-0001-00294_0.jpg?itok=62IOLi2i
  • https://radiomed.ru/sites/default/files/styles/case_slider_image/public/user/53645/img-0001-00295_0.jpg?itok=xOI4eIMj
  • https://radiomed.ru/sites/default/files/styles/case_slider_image/public/user/53645/img-0001-00296_0.jpg?itok=0L2vyZzX
  • https://radiomed.ru/sites/default/files/styles/case_slider_image/public/user/53645/img-0001-00297_0.jpg?itok=lxExpfMd
  • https://radiomed.ru/sites/default/files/styles/case_slider_image/public/user/53645/img-0001-00298_0.jpg?itok=m_24i475
  • https://radiomed.ru/sites/default/files/styles/case_slider_image/public/user/53645/img-0001-00299_0.jpg?itok=B8j-ObEK
  • https://radiomed.ru/sites/default/files/styles/case_slider_image/public/user/53645/img-0001-00300_0.jpg?itok=Q8qcFpWO
  • https://radiomed.ru/sites/default/files/styles/case_slider_image/public/user/53645/img-0001-00301_0.jpg?itok=J_fmlcvF
  • https://radiomed.ru/sites/default/files/styles/case_slider_image/public/user/53645/img-0001-00302_0.jpg?itok=_oAdY2sn
  • https://radiomed.ru/sites/default/files/styles/case_slider_image/public/user/53645/img-0001-00303_0.jpg?itok=0GAyQD00
  • https://radiomed.ru/sites/default/files/styles/case_slider_image/public/user/53645/img-0001-00304_0.jpg?itok=BdUtCiZJ
  • https://radiomed.ru/sites/default/files/styles/case_slider_image/public/user/53645/img-0001-00305_0.jpg?itok=8tKgMczi
  • https://radiomed.ru/sites/default/files/styles/case_slider_image/public/user/53645/img-0001-00306.jpg?itok=v5vzOJI4
  • https://radiomed.ru/sites/default/files/styles/case_slider_image/public/user/53645/img-0001-00307.jpg?itok=eY68t7Sa
  • https://radiomed.ru/sites/default/files/styles/case_slider_image/public/user/53645/img-0001-00308.jpg?itok=3LIgKdBm
  • https://radiomed.ru/sites/default/files/styles/case_slider_image/public/user/53645/img-0001-00309.jpg?itok=_PE55QFM
  • https://radiomed.ru/sites/default/files/styles/case_slider_image/public/user/53645/img-0001-00310.jpg?itok=w0mQRCJq
  • https://radiomed.ru/sites/default/files/styles/case_slider_image/public/user/53645/movie-0003_1.gif?itok=r-xgU7Lx
  • https://radiomed.ru/sites/default/files/styles/case_slider_image/public/user/53645/img-0006-00025_0.jpg?itok=2IuWRZwt
  • https://radiomed.ru/sites/default/files/styles/case_slider_image/public/user/53645/img-0006-00026_0.jpg?itok=auSQBYAR
  • https://radiomed.ru/sites/default/files/styles/case_slider_image/public/user/53645/img-0006-00027_0.jpg?itok=cjP0-Z8Z
  • https://radiomed.ru/sites/default/files/styles/case_slider_image/public/user/53645/img-0006-00028_0.jpg?itok=CXn1aJIG
  • https://radiomed.ru/sites/default/files/styles/case_slider_image/public/user/53645/img-0006-00029_0.jpg?itok=-XOZbWqq
  • https://radiomed.ru/sites/default/files/styles/case_slider_image/public/user/53645/img-0006-00030_0.jpg?itok=1bSi_7aP
  • https://radiomed.ru/sites/default/files/styles/case_slider_image/public/user/53645/img-0006-00031_0.jpg?itok=jnWSUr_6
  • https://radiomed.ru/sites/default/files/styles/case_slider_image/public/user/53645/img-0006-00032_0.jpg?itok=k4LYE1h4
  • https://radiomed.ru/sites/default/files/styles/case_slider_image/public/user/53645/img-0006-00033_0.jpg?itok=NU9-ahFK
  • https://radiomed.ru/sites/default/files/styles/case_slider_image/public/user/53645/img-0006-00034_0.jpg?itok=Q5leZD7m
  • https://radiomed.ru/sites/default/files/styles/case_slider_image/public/user/53645/img-0006-00035_0.jpg?itok=oinJyUFk
  • https://radiomed.ru/sites/default/files/styles/case_slider_image/public/user/53645/img-0006-00036_0.jpg?itok=HW_CTrtl
  • https://radiomed.ru/sites/default/files/styles/case_slider_image/public/user/53645/img-0006-00037_0.jpg?itok=5ZO7kcvo
  • https://radiomed.ru/sites/default/files/styles/case_slider_image/public/user/53645/img-0006-00038_0.jpg?itok=neRTWgTt
  • https://radiomed.ru/sites/default/files/styles/case_slider_image/public/user/53645/img-0006-00039_0.jpg?itok=7fdxqluf
  • https://radiomed.ru/sites/default/files/styles/case_slider_image/public/user/53645/img-0006-00040_0.jpg?itok=jxMiXA6s
  • https://radiomed.ru/sites/default/files/styles/case_slider_image/public/user/53645/img-0006-00041_0.jpg?itok=BeEwL-UU
  • https://radiomed.ru/sites/default/files/styles/case_slider_image/public/user/53645/img-0006-00042_0.jpg?itok=_GHXyTwB
  • https://radiomed.ru/sites/default/files/styles/case_slider_image/public/user/53645/img-0006-00043_1.jpg?itok=SpEMhsB-
  • https://radiomed.ru/sites/default/files/styles/case_slider_image/public/user/53645/img-0006-00044_1.jpg?itok=k_xOnpRB
  • https://radiomed.ru/sites/default/files/styles/case_slider_image/public/user/53645/img-0006-00045_1.jpg?itok=vxBCyLB3
  • https://radiomed.ru/sites/default/files/styles/case_slider_image/public/user/53645/img-0006-00046_1.jpg?itok=RiBdEQV0
  • https://radiomed.ru/sites/default/files/styles/case_slider_image/public/user/53645/img-0006-00047_1.jpg?itok=ZbJTSk-8
  • https://radiomed.ru/sites/default/files/styles/case_slider_image/public/user/53645/img-0006-00048_1.jpg?itok=fF14wEs0
  • https://radiomed.ru/sites/default/files/styles/case_slider_image/public/user/53645/img-0006-00049_1.jpg?itok=V5H8IVUY
  • https://radiomed.ru/sites/default/files/styles/case_slider_image/public/user/53645/img-0006-00050_1.jpg?itok=Vx2IX21F
  • https://radiomed.ru/sites/default/files/styles/case_slider_image/public/user/53645/img-0006-00051_1.jpg?itok=IlfUd1We
  • https://radiomed.ru/sites/default/files/styles/case_slider_image/public/user/53645/img-0006-00052_1.jpg?itok=WYQVF22m
  • https://radiomed.ru/sites/default/files/styles/case_slider_image/public/user/53645/img-0006-00053_1.jpg?itok=eQtrQwKT
  • https://radiomed.ru/sites/default/files/styles/case_slider_image/public/user/53645/img-0006-00054_1.jpg?itok=0SJUfgvq
  • https://radiomed.ru/sites/default/files/styles/case_slider_image/public/user/53645/img-0006-00055_1.jpg?itok=5uKl2bU1
  • https://radiomed.ru/sites/default/files/styles/case_slider_image/public/user/53645/img-0006-00056_1.jpg?itok=9UBHfWSA
  • https://radiomed.ru/sites/default/files/styles/case_slider_image/public/user/53645/img-0006-00057_1.jpg?itok=M7_Cmbqm
  • https://radiomed.ru/sites/default/files/styles/case_slider_image/public/user/53645/img-0006-00058_1.jpg?itok=SOmxGqA7
  • https://radiomed.ru/sites/default/files/styles/case_slider_image/public/user/53645/img-0006-00059_1.jpg?itok=SMKpJLCL
  • https://radiomed.ru/sites/default/files/styles/case_slider_image/public/user/53645/img-0006-00060_1.jpg?itok=Q_FPpABj
  • https://radiomed.ru/sites/default/files/styles/case_slider_image/public/user/53645/img-0006-00061_1.jpg?itok=6_iOAuHj
  • https://radiomed.ru/sites/default/files/styles/case_slider_image/public/user/53645/img-0006-00062_1.jpg?itok=ZAOzyRS1
  • https://radiomed.ru/sites/default/files/styles/case_slider_image/public/user/53645/img-0006-00063_1.jpg?itok=sAg46Q8x
  • https://radiomed.ru/sites/default/files/styles/case_slider_image/public/user/53645/img-0006-00064_1.jpg?itok=9Ze3HwFB
  • https://radiomed.ru/sites/default/files/styles/case_slider_image/public/user/53645/img-0006-00065_1.jpg?itok=PgQ-qgSU
  • https://radiomed.ru/sites/default/files/styles/case_slider_image/public/user/53645/img-0006-00066_1.jpg?itok=Fc3aTbSL
  • https://radiomed.ru/sites/default/files/styles/case_slider_image/public/user/53645/img-0006-00067_1.jpg?itok=6NcY6MvF
  • https://radiomed.ru/sites/default/files/styles/case_slider_image/public/user/53645/img-0006-00068_1.jpg?itok=z2AknZYp
  • https://radiomed.ru/sites/default/files/styles/case_slider_image/public/user/53645/img-0006-00069_1.jpg?itok=yDidPLhK
  • https://radiomed.ru/sites/default/files/styles/case_slider_image/public/user/53645/img-0006-00070_1.jpg?itok=rIyqwLNE
  • https://radiomed.ru/sites/default/files/styles/case_slider_image/public/user/53645/img-0006-00071_1.jpg?itok=5pvUEhRo
  • https://radiomed.ru/sites/default/files/styles/case_slider_image/public/user/53645/img-0006-00072_1.jpg?itok=zN0UneoJ
  • https://radiomed.ru/sites/default/files/styles/case_slider_image/public/user/53645/img-0006-00073_1.jpg?itok=twDSMFjV
  • https://radiomed.ru/sites/default/files/styles/case_slider_image/public/user/53645/img-0006-00074_1.jpg?itok=_VvXNj65
  • https://radiomed.ru/sites/default/files/styles/case_slider_image/public/user/53645/img-0006-00075_1.jpg?itok=IMhIapU4
  • https://radiomed.ru/sites/default/files/styles/case_slider_image/public/user/53645/img-0006-00076_1.jpg?itok=uI-dlgvX
  • https://radiomed.ru/sites/default/files/styles/case_slider_image/public/user/53645/img-0006-00077_1.jpg?itok=423LLcJd
  • https://radiomed.ru/sites/default/files/styles/case_slider_image/public/user/53645/img-0006-00078_1.jpg?itok=o-2t038v
  • https://radiomed.ru/sites/default/files/styles/case_slider_image/public/user/53645/img-0006-00079_1.jpg?itok=2A9fK2ad
  • https://radiomed.ru/sites/default/files/styles/case_slider_image/public/user/53645/img-0006-00080_1.jpg?itok=Szh7jZ-1
  • https://radiomed.ru/sites/default/files/styles/case_slider_image/public/user/53645/img-0006-00081_1.jpg?itok=uM6hjN6l
  • https://radiomed.ru/sites/default/files/styles/case_slider_image/public/user/53645/img-0006-00082_1.jpg?itok=z3ygr1wK
  • https://radiomed.ru/sites/default/files/styles/case_slider_image/public/user/53645/img-0006-00083_1.jpg?itok=qc5_Hrb7
  • https://radiomed.ru/sites/default/files/styles/case_slider_image/public/user/53645/img-0006-00084_1.jpg?itok=vWEKAZal
  • https://radiomed.ru/sites/default/files/styles/case_slider_image/public/user/53645/img-0006-00085_1.jpg?itok=4wY9-2Qq
  • https://radiomed.ru/sites/default/files/styles/case_slider_image/public/user/53645/img-0006-00086_1.jpg?itok=AuS0pFsY
  • https://radiomed.ru/sites/default/files/styles/case_slider_image/public/user/53645/img-0006-00087_1.jpg?itok=HjRGmxeN
  • https://radiomed.ru/sites/default/files/styles/case_slider_image/public/user/53645/img-0006-00088_1.jpg?itok=Es4aLIXZ
  • https://radiomed.ru/sites/default/files/styles/case_slider_image/public/user/53645/img-0006-00089_1.jpg?itok=YkPQwWcA
  • https://radiomed.ru/sites/default/files/styles/case_slider_image/public/user/53645/img-0006-00090_0.jpg?itok=FDiFpBbR
  • https://radiomed.ru/sites/default/files/styles/case_slider_image/public/user/53645/img-0006-00091_0.jpg?itok=lVdYTCX-
  • https://radiomed.ru/sites/default/files/styles/case_slider_image/public/user/53645/img-0006-00092_0.jpg?itok=M3VbaLmr
  • https://radiomed.ru/sites/default/files/styles/case_slider_image/public/user/53645/img-0006-00093_0.jpg?itok=bEK8205l
  • https://radiomed.ru/sites/default/files/styles/case_slider_image/public/user/53645/img-0006-00094_0.jpg?itok=spTgiZVb
  • https://radiomed.ru/sites/default/files/styles/case_slider_image/public/user/53645/img-0006-00095_0.jpg?itok=EmPLHhlf
  • https://radiomed.ru/sites/default/files/styles/case_slider_image/public/user/53645/img-0006-00096_0.jpg?itok=urLmm3LW
  • https://radiomed.ru/sites/default/files/styles/case_slider_image/public/user/53645/img-0006-00097_0.jpg?itok=7fWaJVO3
  • https://radiomed.ru/sites/default/files/styles/case_slider_image/public/user/53645/img-0006-00098_0.jpg?itok=MrqyZw_q
  • https://radiomed.ru/sites/default/files/styles/case_slider_image/public/user/53645/img-0006-00099_0.jpg?itok=w8QI4iPC
  • https://radiomed.ru/sites/default/files/styles/case_slider_image/public/user/53645/img-0006-00100_0.jpg?itok=IJmy9oGI
  • https://radiomed.ru/sites/default/files/styles/case_slider_image/public/user/53645/img-0006-00101_0.jpg?itok=5vfVsbdf
  • https://radiomed.ru/sites/default/files/styles/case_slider_image/public/user/53645/img-0006-00102_0.jpg?itok=51gORpSz
  • https://radiomed.ru/sites/default/files/styles/case_slider_image/public/user/53645/img-0006-00103_0.jpg?itok=OD1gGwZz
  • https://radiomed.ru/sites/default/files/styles/case_slider_image/public/user/53645/img-0006-00104_0.jpg?itok=rt76HLE9
  • https://radiomed.ru/sites/default/files/styles/case_slider_image/public/user/53645/img-0006-00105_0.jpg?itok=YCyIeA5y
  • https://radiomed.ru/sites/default/files/styles/case_slider_image/public/user/53645/img-0006-00106_0.jpg?itok=HBACvwyi
  • https://radiomed.ru/sites/default/files/styles/case_slider_image/public/user/53645/img-0006-00107.jpg?itok=VMGXV1hd
  • https://radiomed.ru/sites/default/files/styles/case_slider_image/public/user/53645/img-0006-00108.jpg?itok=AJqsDsMB
  • https://radiomed.ru/sites/default/files/styles/case_slider_image/public/user/53645/img-0006-00109.jpg?itok=nQKxguxx
  • https://radiomed.ru/sites/default/files/styles/case_slider_image/public/user/53645/img-0006-00110.jpg?itok=YI9eivts
  • https://radiomed.ru/sites/default/files/styles/case_slider_image/public/user/53645/img-0006-00111.jpg?itok=HuRQ80cF
  • https://radiomed.ru/sites/default/files/styles/case_slider_image/public/user/53645/img-0006-00112.jpg?itok=s5Qe2z8y
  • https://radiomed.ru/sites/default/files/styles/case_slider_image/public/user/53645/img-0006-00113.jpg?itok=eLBqtsS-
  • https://radiomed.ru/sites/default/files/styles/case_slider_image/public/user/53645/img-0006-00114.jpg?itok=RqH7muOW
  • https://radiomed.ru/sites/default/files/styles/case_slider_image/public/user/53645/img-0006-00115.jpg?itok=JHJTR17M
  • https://radiomed.ru/sites/default/files/styles/case_slider_image/public/user/53645/img-0006-00116.jpg?itok=TnrtCdGU
  • https://radiomed.ru/sites/default/files/styles/case_slider_image/public/user/53645/img-0006-00117.jpg?itok=QQa7seqw
  • https://radiomed.ru/sites/default/files/styles/case_slider_image/public/user/53645/img-0006-00118.jpg?itok=9gz79jc5
  • https://radiomed.ru/sites/default/files/styles/case_slider_image/public/user/53645/img-0006-00119.jpg?itok=ZUVSW0h4
  • https://radiomed.ru/sites/default/files/styles/case_slider_image/public/user/53645/img-0006-00120.jpg?itok=QXOlXZxX
  • https://radiomed.ru/sites/default/files/styles/case_slider_image/public/user/53645/img-0006-00121.jpg?itok=D-HhZU4-
  • https://radiomed.ru/sites/default/files/styles/case_slider_image/public/user/53645/img-0006-00122.jpg?itok=NkdAh5jA
  • https://radiomed.ru/sites/default/files/styles/case_slider_image/public/user/53645/img-0006-00123.jpg?itok=AwyN3phl
  • https://radiomed.ru/sites/default/files/styles/case_slider_image/public/user/53645/img-0006-00124.jpg?itok=vkFjaG4y
  • https://radiomed.ru/sites/default/files/styles/case_slider_image/public/user/53645/img-0006-00125.jpg?itok=3TRLktHV
  • https://radiomed.ru/sites/default/files/styles/case_slider_image/public/user/53645/img-0006-00126.jpg?itok=vgac9Y3c
  • https://radiomed.ru/sites/default/files/styles/case_slider_image/public/user/53645/img-0006-00127.jpg?itok=3lrt2rZ2
  • https://radiomed.ru/sites/default/files/styles/case_slider_image/public/user/53645/img-0006-00128.jpg?itok=iv3FXzwx
  • https://radiomed.ru/sites/default/files/styles/case_slider_image/public/user/53645/img-0006-00129.jpg?itok=_iukPR5E
  • https://radiomed.ru/sites/default/files/styles/case_slider_image/public/user/53645/img-0006-00130.jpg?itok=NXWh3ZTw
  • https://radiomed.ru/sites/default/files/styles/case_slider_image/public/user/53645/img-0006-00131.jpg?itok=GGDVO_LP
  • https://radiomed.ru/sites/default/files/styles/case_slider_image/public/user/53645/img-0006-00132.jpg?itok=0tfJqPMD
  • https://radiomed.ru/sites/default/files/styles/case_slider_image/public/user/53645/img-0006-00133.jpg?itok=4PZhsZcd
  • https://radiomed.ru/sites/default/files/styles/case_slider_image/public/user/53645/img-0006-00134.jpg?itok=KOblnMgQ
  • https://radiomed.ru/sites/default/files/styles/case_slider_image/public/user/53645/img-0006-00135.jpg?itok=vZhq2qYc
  • https://radiomed.ru/sites/default/files/styles/case_slider_image/public/user/53645/img-0006-00136.jpg?itok=xKCKFlYD
  • https://radiomed.ru/sites/default/files/styles/case_slider_image/public/user/53645/img-0006-00137.jpg?itok=Fi1mV51X
  • https://radiomed.ru/sites/default/files/styles/case_slider_image/public/user/53645/img-0006-00138.jpg?itok=IgwO6U3e
  • https://radiomed.ru/sites/default/files/styles/case_slider_image/public/user/53645/img-0006-00139.jpg?itok=IDqxAw_B
  • https://radiomed.ru/sites/default/files/styles/case_slider_image/public/user/53645/img-0006-00140.jpg?itok=zIdeyGaA
  • https://radiomed.ru/sites/default/files/styles/case_slider_image/public/user/53645/img-0006-00141.jpg?itok=8XIBYhri
  • https://radiomed.ru/sites/default/files/styles/case_slider_image/public/user/53645/img-0006-00142.jpg?itok=rQljwgUT
  • https://radiomed.ru/sites/default/files/styles/case_slider_image/public/user/53645/img-0006-00143.jpg?itok=Qlt4hQ9U
  • https://radiomed.ru/sites/default/files/styles/case_slider_image/public/user/53645/img-0006-00144.jpg?itok=uwP5LybS
  • https://radiomed.ru/sites/default/files/styles/case_slider_image/public/user/53645/img-0006-00145.jpg?itok=fleFJ1n2
  • https://radiomed.ru/sites/default/files/styles/case_slider_image/public/user/53645/img-0006-00146.jpg?itok=mUkINqfs
  • https://radiomed.ru/sites/default/files/styles/case_slider_image/public/user/53645/img-0006-00147.jpg?itok=3MUyS4uY
  • https://radiomed.ru/sites/default/files/styles/case_slider_image/public/user/53645/img-0006-00148.jpg?itok=TlBYVMNF
  • https://radiomed.ru/sites/default/files/styles/case_slider_image/public/user/53645/img-0006-00149.jpg?itok=UWrVOuWk
  • https://radiomed.ru/sites/default/files/styles/case_slider_image/public/user/53645/img-0006-00150.jpg?itok=mYZguYM8
  • https://radiomed.ru/sites/default/files/styles/case_slider_image/public/user/53645/img-0006-00151.jpg?itok=EgsVAP9N
  • https://radiomed.ru/sites/default/files/styles/case_slider_image/public/user/53645/img-0006-00152.jpg?itok=VVoH5XWO
  • https://radiomed.ru/sites/default/files/styles/case_slider_image/public/user/53645/img-0006-00153.jpg?itok=z5e7-oqN
  • https://radiomed.ru/sites/default/files/styles/case_slider_image/public/user/53645/img-0006-00154.jpg?itok=fgcg1NFt
  • https://radiomed.ru/sites/default/files/styles/case_slider_image/public/user/53645/img-0006-00155.jpg?itok=nHQf_CMD
  • https://radiomed.ru/sites/default/files/styles/case_slider_image/public/user/53645/img-0006-00156.jpg?itok=1NmGqbS8
  • https://radiomed.ru/sites/default/files/styles/case_slider_image/public/user/53645/img-0006-00157.jpg?itok=ekQbcvwY
  • https://radiomed.ru/sites/default/files/styles/case_slider_image/public/user/53645/img-0006-00158.jpg?itok=zqNsRDXx
  • https://radiomed.ru/sites/default/files/styles/case_slider_image/public/user/53645/img-0006-00159.jpg?itok=Xe6XE1Mi
  • https://radiomed.ru/sites/default/files/styles/case_slider_image/public/user/53645/img-0006-00160.jpg?itok=8M0j-EWP
  • https://radiomed.ru/sites/default/files/styles/case_slider_image/public/user/53645/img-0006-00161.jpg?itok=-fonMQRQ
  • https://radiomed.ru/sites/default/files/styles/case_slider_image/public/user/53645/img-0006-00162.jpg?itok=-LzN76Yx
  • https://radiomed.ru/sites/default/files/styles/case_slider_image/public/user/53645/img-0006-00163.jpg?itok=seT_3HKG
  • https://radiomed.ru/sites/default/files/styles/case_slider_image/public/user/53645/img-0006-00164.jpg?itok=Y7nzDwy9
  • https://radiomed.ru/sites/default/files/styles/case_slider_image/public/user/53645/img-0006-00165.jpg?itok=LJzRVWDi
  • https://radiomed.ru/sites/default/files/styles/case_slider_image/public/user/53645/img-0006-00166.jpg?itok=19XvsIZA
  • https://radiomed.ru/sites/default/files/styles/case_slider_image/public/user/53645/img-0006-00167.jpg?itok=LEYq50y6
  • https://radiomed.ru/sites/default/files/styles/case_slider_image/public/user/53645/img-0006-00168.jpg?itok=fdaEdQI9
  • https://radiomed.ru/sites/default/files/styles/case_slider_image/public/user/53645/img-0006-00169.jpg?itok=GAr0pGBB
  • https://radiomed.ru/sites/default/files/styles/case_slider_image/public/user/53645/img-0006-00170.jpg?itok=AJQW8FYP
  • https://radiomed.ru/sites/default/files/styles/case_slider_image/public/user/53645/img-0006-00171.jpg?itok=is_TeO8X
  • https://radiomed.ru/sites/default/files/styles/case_slider_image/public/user/53645/img-0006-00172.jpg?itok=FKnAeIan
  • https://radiomed.ru/sites/default/files/styles/case_slider_image/public/user/53645/img-0006-00173.jpg?itok=sjF2R47H
  • https://radiomed.ru/sites/default/files/styles/case_slider_image/public/user/53645/img-0006-00174.jpg?itok=6OGfNgl8
  • https://radiomed.ru/sites/default/files/styles/case_slider_image/public/user/53645/img-0006-00175.jpg?itok=_nJ0ZWPJ
  • https://radiomed.ru/sites/default/files/styles/case_slider_image/public/user/53645/img-0006-00176.jpg?itok=flb1WdeH
  • https://radiomed.ru/sites/default/files/styles/case_slider_image/public/user/53645/img-0006-00177.jpg?itok=jhiwEDGo
  • https://radiomed.ru/sites/default/files/styles/case_slider_image/public/user/53645/img-0006-00178.jpg?itok=cd5LG-_I
  • https://radiomed.ru/sites/default/files/styles/case_slider_image/public/user/53645/img-0006-00179.jpg?itok=JpZDlKzw
  • https://radiomed.ru/sites/default/files/styles/case_slider_image/public/user/53645/img-0006-00180.jpg?itok=Lkc9H13c
  • https://radiomed.ru/sites/default/files/styles/case_slider_image/public/user/53645/img-0006-00181.jpg?itok=o4UTlF-H
  • https://radiomed.ru/sites/default/files/styles/case_slider_image/public/user/53645/img-0006-00182.jpg?itok=CEoyLPrX
  • https://radiomed.ru/sites/default/files/styles/case_slider_image/public/user/53645/img-0006-00183.jpg?itok=zQdygz4Y
  • https://radiomed.ru/sites/default/files/styles/case_slider_image/public/user/53645/img-0006-00184.jpg?itok=atwTte4Y
  • https://radiomed.ru/sites/default/files/styles/case_slider_image/public/user/53645/img-0006-00185.jpg?itok=CQK8nN4f
  • https://radiomed.ru/sites/default/files/styles/case_slider_image/public/user/53645/img-0006-00186.jpg?itok=SefuPR80
  • https://radiomed.ru/sites/default/files/styles/case_slider_image/public/user/53645/img-0006-00187.jpg?itok=dbhd_fT9
  • https://radiomed.ru/sites/default/files/styles/case_slider_image/public/user/53645/img-0006-00188.jpg?itok=NqQBK-hU
  • https://radiomed.ru/sites/default/files/styles/case_slider_image/public/user/53645/img-0006-00189.jpg?itok=VnZsMDVa
  • https://radiomed.ru/sites/default/files/styles/case_slider_image/public/user/53645/img-0006-00190.jpg?itok=TsntwtY2
  • https://radiomed.ru/sites/default/files/styles/case_slider_image/public/user/53645/img-0006-00191.jpg?itok=Ysbrf3R3
  • https://radiomed.ru/sites/default/files/styles/case_slider_image/public/user/53645/img-0006-00192.jpg?itok=cqqAX3vc
  • https://radiomed.ru/sites/default/files/styles/case_slider_image/public/user/53645/img-0006-00193.jpg?itok=HoyhKsTS
  • https://radiomed.ru/sites/default/files/styles/case_slider_image/public/user/53645/img-0006-00194.jpg?itok=VUCOGo5_
  • https://radiomed.ru/sites/default/files/styles/case_slider_image/public/user/53645/img-0006-00195.jpg?itok=kuCDmPlB
  • https://radiomed.ru/sites/default/files/styles/case_slider_image/public/user/53645/img-0006-00196.jpg?itok=LwMexTlY
  • https://radiomed.ru/sites/default/files/styles/case_slider_image/public/user/53645/img-0006-00197.jpg?itok=4dJjtCsf
  • https://radiomed.ru/sites/default/files/styles/case_slider_image/public/user/53645/img-0006-00198.jpg?itok=G2wcUtLq
  • https://radiomed.ru/sites/default/files/styles/case_slider_image/public/user/53645/img-0006-00199.jpg?itok=FZ0eEtnQ
  • https://radiomed.ru/sites/default/files/styles/case_slider_image/public/user/53645/img-0006-00200.jpg?itok=jRKx-Jdc
  • https://radiomed.ru/sites/default/files/styles/case_slider_image/public/user/53645/img-0006-00201.jpg?itok=ZysW5iKW
  • https://radiomed.ru/sites/default/files/styles/case_slider_image/public/user/53645/img-0006-00202.jpg?itok=jwLhcI8J
  • https://radiomed.ru/sites/default/files/styles/case_slider_image/public/user/53645/img-0006-00203.jpg?itok=CTIgQ7Pd
  • https://radiomed.ru/sites/default/files/styles/case_slider_image/public/user/53645/img-0006-00204.jpg?itok=q0Isixjb
  • https://radiomed.ru/sites/default/files/styles/case_slider_image/public/user/53645/img-0006-00205.jpg?itok=KwR_mnUB
  • https://radiomed.ru/sites/default/files/styles/case_slider_image/public/user/53645/img-0006-00206.jpg?itok=EnEWV4Hx
  • https://radiomed.ru/sites/default/files/styles/case_slider_image/public/user/53645/img-0006-00207.jpg?itok=9ZFaCh_A
  • https://radiomed.ru/sites/default/files/styles/case_slider_image/public/user/53645/img-0006-00208.jpg?itok=w_kr3RAm
  • https://radiomed.ru/sites/default/files/styles/case_slider_image/public/user/53645/img-0006-00209.jpg?itok=3J7Subi6
  • https://radiomed.ru/sites/default/files/styles/case_slider_image/public/user/53645/img-0006-00210.jpg?itok=7dsOzQVX
  • https://radiomed.ru/sites/default/files/styles/case_slider_image/public/user/53645/img-0006-00211.jpg?itok=JFS0hutn
  • https://radiomed.ru/sites/default/files/styles/case_slider_image/public/user/53645/img-0006-00212.jpg?itok=FKqzNqKM
  • https://radiomed.ru/sites/default/files/styles/case_slider_image/public/user/53645/img-0006-00213.jpg?itok=12rccOt6
  • https://radiomed.ru/sites/default/files/styles/case_slider_image/public/user/53645/img-0006-00214.jpg?itok=9d3qjxA1
  • https://radiomed.ru/sites/default/files/styles/case_slider_image/public/user/53645/img-0006-00215.jpg?itok=B1ISzaa-
  • https://radiomed.ru/sites/default/files/styles/case_slider_image/public/user/53645/img-0006-00216.jpg?itok=S9SMqAHH
  • https://radiomed.ru/sites/default/files/styles/case_slider_image/public/user/53645/img-0006-00217.jpg?itok=UtJ_rcrx
  • https://radiomed.ru/sites/default/files/styles/case_slider_image/public/user/53645/img-0006-00218.jpg?itok=a36Xyo59
  • https://radiomed.ru/sites/default/files/styles/case_slider_image/public/user/53645/img-0006-00219.jpg?itok=QwZl1yLb
  • https://radiomed.ru/sites/default/files/styles/case_slider_image/public/user/53645/img-0006-00220.jpg?itok=LSGOnucX
  • https://radiomed.ru/sites/default/files/styles/case_slider_image/public/user/53645/img-0006-00221.jpg?itok=_ULBQ7AF
  • https://radiomed.ru/sites/default/files/styles/case_slider_image/public/user/53645/img-0006-00222.jpg?itok=Uw4PZsOM
  • https://radiomed.ru/sites/default/files/styles/case_slider_image/public/user/53645/img-0006-00223.jpg?itok=JtnaT-Pt
  • https://radiomed.ru/sites/default/files/styles/case_slider_image/public/user/53645/img-0006-00224.jpg?itok=Kqr6qauE
  • https://radiomed.ru/sites/default/files/styles/case_slider_image/public/user/53645/img-0006-00225.jpg?itok=Unx1pRUn
  • https://radiomed.ru/sites/default/files/styles/case_slider_image/public/user/53645/img-0006-00226.jpg?itok=5faqbXYx
  • https://radiomed.ru/sites/default/files/styles/case_slider_image/public/user/53645/img-0006-00227.jpg?itok=T9i3utNF
  • https://radiomed.ru/sites/default/files/styles/case_slider_image/public/user/53645/img-0006-00228.jpg?itok=mTDcwCkz
  • https://radiomed.ru/sites/default/files/styles/case_slider_image/public/user/53645/img-0006-00229.jpg?itok=SfJ3u0PE
  • https://radiomed.ru/sites/default/files/styles/case_slider_image/public/user/53645/img-0006-00230.jpg?itok=hxYLMz3q
  • https://radiomed.ru/sites/default/files/styles/case_slider_image/public/user/53645/img-0006-00231.jpg?itok=ANNGbR_3
  • https://radiomed.ru/sites/default/files/styles/case_slider_image/public/user/53645/img-0006-00232.jpg?itok=ABt4S2MU
  • https://radiomed.ru/sites/default/files/styles/case_slider_image/public/user/53645/img-0006-00233.jpg?itok=5JCNc66D
  • https://radiomed.ru/sites/default/files/styles/case_slider_image/public/user/53645/img-0006-00234.jpg?itok=OhfwtXpv
  • https://radiomed.ru/sites/default/files/styles/case_slider_image/public/user/53645/img-0006-00235.jpg?itok=e0H9LIXR
  • https://radiomed.ru/sites/default/files/styles/case_slider_image/public/user/53645/img-0006-00236.jpg?itok=ckk1h0-G
  • https://radiomed.ru/sites/default/files/styles/case_slider_image/public/user/53645/img-0006-00237.jpg?itok=rcbK9QSB
  • https://radiomed.ru/sites/default/files/styles/case_slider_image/public/user/53645/img-0006-00238.jpg?itok=9zYYFvQI
  • https://radiomed.ru/sites/default/files/styles/case_slider_image/public/user/53645/img-0006-00239.jpg?itok=NaM81RUj
  • https://radiomed.ru/sites/default/files/styles/case_slider_image/public/user/53645/img-0006-00240.jpg?itok=lN8qEEbW
  • https://radiomed.ru/sites/default/files/styles/case_slider_image/public/user/53645/img-0006-00241.jpg?itok=SDT3KZjd
  • https://radiomed.ru/sites/default/files/styles/case_slider_image/public/user/53645/img-0006-00242.jpg?itok=_jnKlsod
  • https://radiomed.ru/sites/default/files/styles/case_slider_image/public/user/53645/img-0006-00243.jpg?itok=yr5_9dAM
  • https://radiomed.ru/sites/default/files/styles/case_slider_image/public/user/53645/img-0006-00244.jpg?itok=9Dd0KTGq
  • https://radiomed.ru/sites/default/files/styles/case_slider_image/public/user/53645/img-0006-00245.jpg?itok=iUD945bl
  • https://radiomed.ru/sites/default/files/styles/case_slider_image/public/user/53645/img-0006-00246.jpg?itok=GqFicoKv
  • https://radiomed.ru/sites/default/files/styles/case_slider_image/public/user/53645/img-0006-00247.jpg?itok=NU3YQkGu
  • https://radiomed.ru/sites/default/files/styles/case_slider_image/public/user/53645/img-0006-00248.jpg?itok=63K9ek0O
  • https://radiomed.ru/sites/default/files/styles/case_slider_image/public/user/53645/img-0006-00249.jpg?itok=UvChhEmK
  • https://radiomed.ru/sites/default/files/styles/case_slider_image/public/user/53645/img-0006-00250.jpg?itok=jUYRlmF5
  • https://radiomed.ru/sites/default/files/styles/case_slider_image/public/user/53645/img-0006-00251.jpg?itok=536-pv8D
  • https://radiomed.ru/sites/default/files/styles/case_slider_image/public/user/53645/img-0006-00252.jpg?itok=LYjUAHaG
  • https://radiomed.ru/sites/default/files/styles/case_slider_image/public/user/53645/img-0006-00253.jpg?itok=mQVWDiAn
  • https://radiomed.ru/sites/default/files/styles/case_slider_image/public/user/53645/img-0006-00254.jpg?itok=VAhpKtFS
  • https://radiomed.ru/sites/default/files/styles/case_slider_image/public/user/53645/img-0006-00255.jpg?itok=kHg5t2LC
  • https://radiomed.ru/sites/default/files/styles/case_slider_image/public/user/53645/img-0006-00256.jpg?itok=7LD0JFOl
  • https://radiomed.ru/sites/default/files/styles/case_slider_image/public/user/53645/img-0006-00257.jpg?itok=smJJ3HwY
  • https://radiomed.ru/sites/default/files/styles/case_slider_image/public/user/53645/img-0006-00258.jpg?itok=SsAio4mp
  • https://radiomed.ru/sites/default/files/styles/case_slider_image/public/user/53645/img-0006-00259.jpg?itok=SRVTvGDS
  • https://radiomed.ru/sites/default/files/styles/case_slider_image/public/user/53645/img-0006-00260.jpg?itok=YrID-6Xw
  • https://radiomed.ru/sites/default/files/styles/case_slider_image/public/user/53645/img-0006-00261.jpg?itok=yCCsu__6
  • https://radiomed.ru/sites/default/files/styles/case_slider_image/public/user/53645/img-0006-00262.jpg?itok=KMFb1mbx
  • https://radiomed.ru/sites/default/files/styles/case_slider_image/public/user/53645/img-0006-00263.jpg?itok=RAicz89_
  • https://radiomed.ru/sites/default/files/styles/case_slider_image/public/user/53645/img-0006-00264.jpg?itok=KPAlNBdf
  • https://radiomed.ru/sites/default/files/styles/case_slider_image/public/user/53645/img-0006-00265.jpg?itok=xVM-Gaq5
  • https://radiomed.ru/sites/default/files/styles/case_slider_image/public/user/53645/img-0006-00266.jpg?itok=8Dk0v-VJ
  • https://radiomed.ru/sites/default/files/styles/case_slider_image/public/user/53645/img-0006-00267.jpg?itok=RJ5-5SD5
  • https://radiomed.ru/sites/default/files/styles/case_slider_image/public/user/53645/img-0006-00268.jpg?itok=wA-6OWCB
  • https://radiomed.ru/sites/default/files/styles/case_slider_image/public/user/53645/img-0006-00269.jpg?itok=DlkfbyDz
  • https://radiomed.ru/sites/default/files/styles/case_slider_image/public/user/53645/img-0006-00270.jpg?itok=_ULTBVIm
  • https://radiomed.ru/sites/default/files/styles/case_slider_image/public/user/53645/img-0006-00271.jpg?itok=Fx7283IJ
  • https://radiomed.ru/sites/default/files/styles/case_slider_image/public/user/53645/img-0006-00272.jpg?itok=0AfumyOc
  • https://radiomed.ru/sites/default/files/styles/case_slider_image/public/user/53645/img-0006-00273.jpg?itok=J712sRGz
  • https://radiomed.ru/sites/default/files/styles/case_slider_image/public/user/53645/img-0006-00274.jpg?itok=ahM6HwG-
  • https://radiomed.ru/sites/default/files/styles/case_slider_image/public/user/53645/img-0006-00275.jpg?itok=ivHdPUW3
  • https://radiomed.ru/sites/default/files/styles/case_slider_image/public/user/53645/img-0006-00276.jpg?itok=R16QwKVb
  • https://radiomed.ru/sites/default/files/styles/case_slider_image/public/user/53645/img-0006-00277.jpg?itok=fJ0XTkSf
  • https://radiomed.ru/sites/default/files/styles/case_slider_image/public/user/53645/img-0006-00278.jpg?itok=Ihe4E4Fs
  • https://radiomed.ru/sites/default/files/styles/case_slider_image/public/user/53645/img-0006-00279.jpg?itok=IDvNgqfj
  • https://radiomed.ru/sites/default/files/styles/case_slider_image/public/user/53645/img-0006-00280.jpg?itok=T3sun1Vq
  • https://radiomed.ru/sites/default/files/styles/case_slider_image/public/user/53645/img-0006-00281.jpg?itok=SG7bfAek
  • https://radiomed.ru/sites/default/files/styles/case_slider_image/public/user/53645/img-0006-00282.jpg?itok=KgGlTgcS
  • https://radiomed.ru/sites/default/files/styles/case_slider_image/public/user/53645/img-0006-00283.jpg?itok=bt6wWbAU
  • https://radiomed.ru/sites/default/files/styles/case_slider_image/public/user/53645/img-0006-00284.jpg?itok=lBCsieqC
  • https://radiomed.ru/sites/default/files/styles/case_slider_image/public/user/53645/img-0006-00285.jpg?itok=fb8Ox3EL
  • https://radiomed.ru/sites/default/files/styles/case_slider_image/public/user/53645/img-0006-00286.jpg?itok=aLTr38ls
  • https://radiomed.ru/sites/default/files/styles/case_slider_image/public/user/53645/img-0006-00287.jpg?itok=wPjlYRuy
  • https://radiomed.ru/sites/default/files/styles/case_slider_image/public/user/53645/img-0006-00288.jpg?itok=i0Fg4zdM
ID:92110
Цель публикации: 
И.Бондаренко аватар
Не на сайте
Был на сайте: 2 дня 12 часов назад
Зарегистрирован: 13.09.2011 - 22:55
Публикации: 9206

А где остальные фазы?

Agr_Ai аватар
Не на сайте
Был на сайте: 2 месяцев 2 недели назад
Зарегистрирован: 02.09.2014 - 14:10
Публикации: 1393

Опухоль это в куполе, ЛАП регионарно, метастазы в печень и по висцеральной плевре. 

И.Бондаренко аватар
Не на сайте
Был на сайте: 2 дня 12 часов назад
Зарегистрирован: 13.09.2011 - 22:55
Публикации: 9206

Возможно не прав, гемангиома. Только возраст смущает. Заодно в восходящей и слепой образование, окружающая клетчатка как бы не изменена. 

X-Ray-Man аватар
Не на сайте
Был на сайте: 7 месяцев 1 неделя назад
Зарегистрирован: 03.08.2021 - 23:23
Публикации: 332

Agr_Ai wrote:

Опухоль это в куполе, ЛАП регионарно, метастазы в печень и по висцеральной плевре. 

Спасибо, а есть ли инвагинация кишечника?

Андрей Юрьевич аватар
Не на сайте
Был на сайте: 1 день 14 часов назад
Зарегистрирован: 16.11.2008 - 22:16
Публикации: 18098

X-Ray-Man wrote:

Agr_Ai wrote:

Опухоль это в куполе, ЛАП регионарно, метастазы в печень и по висцеральной плевре. 

Спасибо, а есть ли инвагинация кишечника?

- а инвагинация чего во что, что во что инвагинирует?

Андрей Юрьевич