Пол пациента:
Тип патологии:
Область исследования:
Методы исследования:
![]()
![]()
![]()
![]()
![]()
![]()
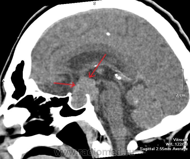
Аденома гипофиза. Образование в просвете слегка растянутого турецкого седла (красные стрелки), распространяющиеся над седлом до третьего желудочка (зеленая стрелка). Черная стрелка - спинка турецкого седла. Аденома растет и кзади от спинки турецкого седла, влево от седла. Следовательно образование не только интраселлярное, но и супра-, пара-, ретроселлярное. Клиника типичная - акромегалия, головные боли, нарушение зрения.
Огромное спасибо!
С Вашими пояснениями, которые весьма рациональны, все становится понятным.
Еще раз большое спасибо Вам коллега за эту микрошколу. Может она со временем трансформируется в макрошколу?
Да какая там школа! Все банально, давно описано и обсосано. Книжки написаны. Эти представления могут быть интересны только начинающим или скорее интересующимся. Надеюсь они пробудят интерес к КТ, которую я так люблю и подвинут к чтению литературы, которой сейчас предостаточно.
Ничего не банально и не обсосано, по крайней мере для нас, работающих на периферии. А вот мы, именно не занимающиеся таким методом диагностики, имеем интерес к таким сообщениям, особенно с пояснениями. А вот и литературы у нас недостаточно (может в центре и есть), с литературов вообще - "концы".
Ну тогда, если это вам интересно, я могу показывать как заболевания головного мозга, так и сердечно-сосудистые исследования, которые мы недавно начали делать на КТ.
А с книгами-то какая проблемма? Сейчас по интернету можно купить, что угодно из существующего в природе. Мне больше всего нравиться магазин http://www.mmbook.ru/ Книги получаю через 7-10 дней. Не сочтите за рекламу, никакой личной заинтересованности нет.
Правда не по всем разделам есть литература на русском. Например, ни одной книги о патологии орбит на русском еще не встречала. Но есть бездонный и безмерный интернет, слава богу.
Уважаемая коллега!
Выставляйте все, что есть. Мы обязательно постаремся в конечном итоге все рубрифицировать. Не все так просто на периферии. Самое паскудное, конечно то, что "сидит" врач-рентгенолог в единственном числе, в своём районе и в "трудных случаях", даже посоветоваться не с кем. А в области скажут, надо сделать то-то и то-то, но деланье то-то и то-то - не спасает, потом порекомендуют динамику и еще раз динамику. а дельного редко...
Я хорошо представляю, о чем Вы говорите. Сама когда-то начинала с района по распределению. Мы контактируем с районными рентгенологами. Как правило они в районе в единственном числе, работают на "антиквариате". На учебу посылают со скрипом, часто за свой счет.
А я как раз работаю в области. Вы-то хоть в область можете послать, а нам некуда. Шутка!
Большая проблема со специализацией. Как правило это выездной цикл по общей рентгенодиагностике. По КТ ничего, ноль. Хорошо сейчас книги можно купить. И интернет - это просто гениальная вещь. Здесь все можно найти. Я очень многому научилась, и на этом сайте в том числе, за то сравнительно короткое время, что осваиваю интернет.
Ну вот и поплакались друг другу!
А сейчас друг-другу вытрем "слезы" посредством Интернета.
Nela, у меня такое подозрение, что в данном случае если смотреть на боковую обзорную рентгенограмму черепа, можно ничего не заподозрить? Именно этим интересна для меня публикация.
За... снимками черепа
только миеломную б-нь изредка вижу, астроцитома - казуистика, интраселлерных образований ни разу не диагносцировал при рутинной р-гр!
Дурацкая традиция делать снимки черепа при головной боли, гипертонии, ожирении, "гормональных сдвигах"
Зри в корень!
Да, действительно на боковом снимке (топограмме) почти все нормально, седло не увеличено, спинка не разрушена, не истончена. Единсвенное, что может насторожить, неестественно правильный, как нарисованный циркулем, контур дна. Но это, уверяю Вас, глаз должен быть хорошо натренирован. Жаль, что снимка уже нет, не могу показать.
А по снимкам черепа крайне редко (кроме изменений в самих костях) что-либо обнаруживается. Там, где есть КТ снимки черепа уже почти не делают. А раньше у нас даже при инсультах назначали снимки черепа. Для чего? Говорили - стандарт.
А ведь действительно - "стандарт", а главное, что этот стандарт действует до сих пор.
У нас тоже направляют на снимки черепа даже тогда, когда подозреваемое заболевание не может быть выявлено методом рентгенографии.
сколько назначают клиницисты краниограммы обуславливают лишь тем чтоб не пропустить что-то; но сказать по правде по алгоритму конечно бы хорошо например при чмт делать сразу ркт но вот у нас доступность и возможность его играет большое значение.