Стишок видел, уже скопировал в ветвь, о которой говорил.
А, насчет снимков, подумаем еще, варианты, конечно есть, и не один.
Мы, в своё время, тоже весьма интенсивно использовали томоэлектрорентгенографию, конечно, преимущественно для исследования лёгких. Когда удалось, вместо поставляемых селеновых пластин СЭРП - 100/150, достать, по большому блату, какие-то другие, сейчас уже не помню, но повысилось не только качество получаемого изображения, но и доза стала намного меньше, и даже меньше, чем при традиционной пленочной рентгенографии. Это я к тому, что при определенном желании и заинтересованности, данный метод - электрорентгенография работал, и весьма хорошо, и все негативные стороны данного метода были нивелированы по максимуму. А "краевой эффект", также в ряде случаев, повышал определенные диагностические возможности.
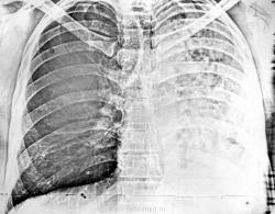
Не будучи специалистом в этой области, рискну предположить казеозную пневмонию левого лёгкого, а уменьшение объема пораженного легкого (смещение органов средостения) за счёт предсуществовавшего пневмофиброза, пример которого видим справа в верхней доле.
Я-бы рискнул предположить аномалию развития нижнедолевого бронха слева, возможно, и других бронхов слева, возможно даже с каким-то вариантным недоразвитием легочной ткани (уж очень средостение смещено влево), ну и возможно, с присоединением к этим аномалиям воспалительного процесса.
Тогда мною выставлен диагноз метатуберкулезного цирроза левого легкого, приехал конультант из облтубдиспансера и забрал пациента с собой немедленно и безоговорочно -что бывает редко... К сожалению судьбу не знаю. А в бронхах действительно вероятно что то было, но - в армии служил....
средостение и трахея смещены в пораженную сторону, а левый боковой не добавите?
Срединный срез
А, что-же случилось с нижнедолевым бронхом слева?
Здравствуйте Валентин Львович!
Я когда с этим больным разбирался, а были еще снимки, - отметил для себя, что все бронхи проходимы... А в архиве остались только эти два снимка...
Я там добавил интересный стишок про собачников....
Здравствуйте Анатолий Владимирович!
Стишок видел, уже скопировал в ветвь, о которой говорил.
А, насчет снимков, подумаем еще, варианты, конечно есть, и не один.
Мы, в своё время, тоже весьма интенсивно использовали томоэлектрорентгенографию, конечно, преимущественно для исследования лёгких. Когда удалось, вместо поставляемых селеновых пластин СЭРП - 100/150, достать, по большому блату, какие-то другие, сейчас уже не помню, но повысилось не только качество получаемого изображения, но и доза стала намного меньше, и даже меньше, чем при традиционной пленочной рентгенографии. Это я к тому, что при определенном желании и заинтересованности, данный метод - электрорентгенография работал, и весьма хорошо, и все негативные стороны данного метода были нивелированы по максимуму. А "краевой эффект", также в ряде случаев, повышал определенные диагностические возможности.
Спасибо!
А в те времена ЭРГ - это прорыв во времени - вся информация сразу же, уже закрепляется... Ностальгия...
Такая картина навевает мысль о врожденной патологии, осложненной воспалительным процессом. Какая-нибудь кистозная гипоплазия легкого?
Великое преймущество врача заключается в том, что он не обязан следовать собственным советам. ( А. Кристи)
Наверное это плевроцирроз.
Дмитрий
Не будучи специалистом в этой области, рискну предположить казеозную пневмонию левого лёгкого, а уменьшение объема пораженного легкого (смещение органов средостения) за счёт предсуществовавшего пневмофиброза, пример которого видим справа в верхней доле.
Неоднозначно всё
скописты не смотрели?
Я-бы рискнул предположить аномалию развития нижнедолевого бронха слева, возможно, и других бронхов слева, возможно даже с каким-то вариантным недоразвитием легочной ткани (уж очень средостение смещено влево), ну и возможно, с присоединением к этим аномалиям воспалительного процесса.
Это лет 20 назад, бронхоскопии не было...
Тогда мною выставлен диагноз метатуберкулезного цирроза левого легкого, приехал конультант из облтубдиспансера и забрал пациента с собой немедленно и безоговорочно -что бывает редко... К сожалению судьбу не знаю. А в бронхах действительно вероятно что то было, но - в армии служил....
Да, в армии служили многие, которые служит были не должны, именно по медицинским противопоказаниям.