В "десятку", Анатолий Владимирович - пакет увеличеных надключичных л\узлов справа, именно с жалобами на наличие припухлости там и обратилась больная к хирургу, итог - рак молочной железы....увы....жаль, что у нас нет маммографа и маммограммы практически никогда не попадают...
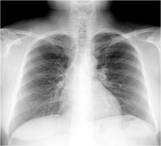
Честно скажу, на мягкие ткани области правого плечевого пояса внимания не обратил. Да, левый купол, внимание зацепил своим "высокомерием". А вообще, случай интересен так как именно в таких областях зачастую находишь разно-всякое.
Чувствуя напряженное молчание выставляю подсказку...
Болезни ног: виды, симптомы, причины, профилактика и лечение
Виктор, а что там, апикальный плеврит?
Не совсем, Игорь Иванович, сравни пожалуйста зоны надплечий с обеих сторон-вывод сам на язык напросится...
Болезни ног: виды, симптомы, причины, профилактика и лечение
Видать лимфоузлы. Молочная???
В "десятку", Анатолий Владимирович - пакет увеличеных надключичных л\узлов справа, именно с жалобами на наличие припухлости там и обратилась больная к хирургу, итог - рак молочной железы....увы....жаль, что у нас нет маммографа и маммограммы практически никогда не попадают...
Болезни ног: виды, симптомы, причины, профилактика и лечение
Я еще присматривался к высокому левому куполу - не рак желудка ли с мета Вирхова, но он вроде слева должен быть.
Наблюдение интересное, спасибо
Честно скажу, на мягкие ткани области правого плечевого пояса внимания не обратил. Да, левый купол, внимание зацепил своим "высокомерием". А вообще, случай интересен так как именно в таких областях зачастую находишь разно-всякое.