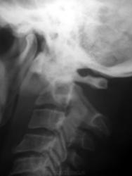
Архив. Травма. Упавшая лестница ударила по голове. Терял сознание. Не может повернуть голову. Ваше мнение?

Пол пациента: 
Тип патологии: 
Область исследования: 
Методы исследования: 

Неумная шутка коллег по работе в теплице - приставленная с другой стороны дверей лестница. Шутка удалась - при открывании дверей лестница упала на голову. Есть один снимок.

ID:539
Катенёв Валентин Львович аватар
Не на сайте
Был на сайте: 7 лет 3 недели назад
Зарегистрирован: 22.03.2008 - 22:15
Публикации: 54876

Интересный случай. Случай можно назвать - "Развод зуба с телом".

Анатолий Владимирович Шумаков аватар
Не на сайте
Был на сайте: 7 лет 10 месяцев назад
Зарегистрирован: 16.10.2009 - 21:16
Публикации: 1941

Здравствуйте Валентин Львович!

Нейрохирурги были в затруднении...

Катенёв Валентин Львович аватар
Не на сайте
Был на сайте: 7 лет 3 недели назад
Зарегистрирован: 22.03.2008 - 22:15
Публикации: 54876

Здравствуйте Анатолий Владимирович!

По всей видимости и от С1, что-то отвалилось.

Анатолий Владимирович Шумаков аватар
Не на сайте
Был на сайте: 7 лет 10 месяцев назад
Зарегистрирован: 16.10.2009 - 21:16
Публикации: 1941

Суммируется с передней дужкой...

Nela аватар
Не на сайте
Был на сайте: 6 лет 1 месяц назад
Зарегистрирован: 12.05.2009 - 20:43
Публикации: 1847

Атланто-аксиальная дислокация. Как ни всматиривалась, так и не удалось хорошо разглядеть зубовидный отростокНедоволен.

Атлант цел. В таких случаях возможны два варианта: перелом зубовидного отростка или разрыв связок сустава Крювелье.

Almo аватар
На сайте
Был на сайте: 17 минут 34 секунды назад
Зарегистрирован: 28.09.2008 - 18:50
Публикации: 8259

Умозрительно, скорее второе.

Анатолий Владимирович Шумаков аватар
Не на сайте
Был на сайте: 7 лет 10 месяцев назад
Зарегистрирован: 16.10.2009 - 21:16
Публикации: 1941

Здесь так: поперечный перелом основания зуба С2, зуб развернуло в сагиттальной плоскости на 90 градусов кпереди, так, что он своим основанием контактирует с суставной поверхностью сустава Крювелье со стороны С1. Так что и разрывы связок там неизбежны. Подвывих С1 кпереди по отношению к С2 на 12-14 мм.

Ольга Дмитриевна аватар
Не на сайте
Был на сайте: 15 лет 9 месяцев назад
Зарегистрирован: 13.01.2010 - 16:55
Публикации: 168

Анатолий Шумаков wrote:

Здесь так: поперечный перелом основания зуба С2, зуб развернуло в сагиттальной плоскости на 90 градусов кпереди, так, что он своим основанием контактирует с суставной поверхностью сустава Крювелье со стороны С1. Так что и разрывы связок там неизбежны. Подвывих С1 кпереди по отношению к С2 на 12-14 мм.

КТ делали?

Красота - гормон карьерного роста!

Катенёв Валентин Львович аватар
Не на сайте
Был на сайте: 7 лет 3 недели назад
Зарегистрирован: 22.03.2008 - 22:15
Публикации: 54876

Вижу, что Анатолия Владимировича на сайте нет, рискну ответить за него, что КТ - не делали, просто КТ, тогда не было.

Анатолий Владимирович Шумаков аватар
Не на сайте
Был на сайте: 7 лет 10 месяцев назад
Зарегистрирован: 16.10.2009 - 21:16
Публикации: 1941

Тогда на дворе был 1984 год...

Ольга Дмитриевна аватар
Не на сайте
Был на сайте: 15 лет 9 месяцев назад
Зарегистрирован: 13.01.2010 - 16:55
Публикации: 168

Анатолий Шумаков wrote:

Здесь так: поперечный перелом основания зуба С2, зуб развернуло в сагиттальной плоскости на 90 градусов кпереди, так, что он своим основанием контактирует с суставной поверхностью сустава Крювелье со стороны С1. Так что и разрывы связок там неизбежны. Подвывих С1 кпереди по отношению к С2 на 12-14 мм.

Как это удалось выяснить? На представленном снимке невозможно различить верхушку и основание зуба. Лин томография?

Красота - гормон карьерного роста!

Анатолий Владимирович Шумаков аватар
Не на сайте
Был на сайте: 7 лет 10 месяцев назад
Зарегистрирован: 16.10.2009 - 21:16
Публикации: 1941

Все таки фотокопия. А больше ничего не сможем....