Беспокоит сухой продолжительный кашель

Пол пациента: 
Тип патологии: 
Методы исследования: 

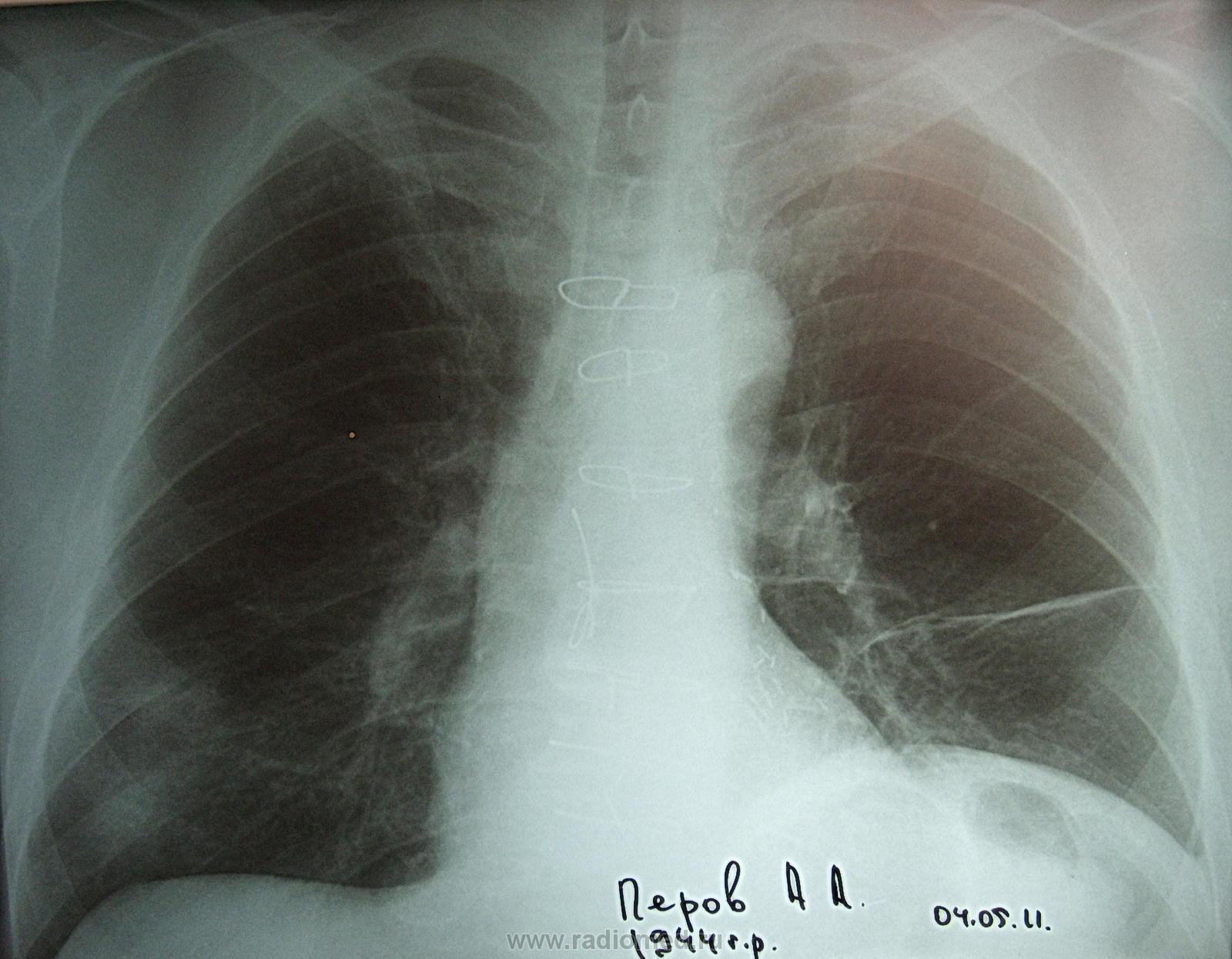
Мужчина 1944 года рождения обратился с жалобами по поводу сухого кашля, который около месяца его беспокоит. Температуры нет, аускультативно терапевт выслушывает хрипы. В прошлом была операция по поводу шунтирования. Давно, в молодости был консультирован у фтизиатра. который снял все подозрения, связанные с очаговыми включениями справа в в\доле.

  • https://radiomed.ru/sites/default/files/styles/case_slider_image/public/user/712/sl273633.jpg?itok=4qfY7RRa
ID:13775
Nikolas аватар
Не на сайте
Был на сайте: 1 месяц 3 недели назад
Зарегистрирован: 21.12.2010 - 20:37
Публикации: 4559

Среди лекарственных препаратов наибольшее значение в возникновении кашлевого синдрома имеют ингибиторы АПФ, прием которых вызываент сухой кашель разной интенсивности у 10-15% больных. Вазможно, пациент их принимает. С уважением Nicolas

Посторонним В аватар
Не на сайте
Был на сайте: 6 лет 2 недели назад
Зарегистрирован: 16.08.2010 - 21:23
Публикации: 345

Иигибиторы апф? А нижняя доля справа, а м/долевая плевра слева?

...

Kuzmitch аватар
Не на сайте
Был на сайте: 12 лет 7 месяцев назад
Зарегистрирован: 01.10.2010 - 18:20
Публикации: 171

Справа в н отделе (проекция S 9) - инфильтрация ? На боковом какая-то подозрительно ровная треугольная тень рисуется в этих отделах (шварта?)

Пневмо-, плеврофиброзные изменения

Kat аватар
Kat
Не на сайте
Был на сайте: 12 лет 6 месяцев назад
Зарегистрирован: 19.04.2011 - 19:10
Публикации: 365

может,полечим банальную пневмонию справа?она же, вероятно, и дает тень на боковом.

Временно отсутствую на сайте...

Nikolas аватар
Не на сайте
Был на сайте: 1 месяц 3 недели назад
Зарегистрирован: 21.12.2010 - 20:37
Публикации: 4559

есть пневмония или нет. Если клиническая картина не указывает на пневмонию, то рентгенологические находки потребуют другого истолкования. Слишком легко некоторые врачи назначают антибиотики в качестве  диагностического теста. Так формируем резистентность микробов к антибиотикам, дисбиоз.   С уважением Nikolas

ЛГ аватар
Не на сайте
Был на сайте: 8 лет 10 месяцев назад
Зарегистрирован: 06.01.2010 - 12:31
Публикации: 3523

И выводы и лечение - ответственность клинициста. Как и побочное действие лекарственных средств, которое указывается в аннотации к препаратам. На то и клиницист, чтоб учесть совокупность всех даных: клиники, лабораторных и инструментальных методов исследования. Всё верно...

Вопрос в другом: какие рентгенологические находки Вы, уважаемый Nikolas, имеете в виду в данном случае? На другой ветке Вы писали: "...Вы как врач - рентгенолог, отдавая предпочтение пневмонии, ориентировались больше на клинические данные или на теневую картину поражения? Это очень полезно знать начинающим рентгенологам и врачам терапевтам.Если этого больного направят в туберкулезный стационар, то внутригоспитальная суперинфекция ему обеспечена, да ещё лекарственноустойчивыми штаммами МБТ. Судьба больного зависит от всех врачей, но часто заключение рентгенолога играет главную роль... "

ЛГ аватар
Не на сайте
Был на сайте: 8 лет 10 месяцев назад
Зарегистрирован: 06.01.2010 - 12:31
Публикации: 3523

С учетом операции... я бы в первую очередь подумала об инфаркной пневмонии с затянувшимся течением. Сегментарная, S9 справа. И рекомендовала бы контроль после противовоспалительного лечения. При отсутствии динамики - линейная или компьютерная томография. И, разумеется, поднять архив.

Слева высокое стояние купола диафрагмы, может, только за счет раздутого газом селезеночного угла, да только толщина диафрагмы слева не позволяет полностью исключить наддиафрагмальный выпот... Много вопросов, нужен ФЛГ-архив.

Глазков Игорь Артурович аватар
Не на сайте
Был на сайте: 9 месяцев 2 недели назад
Зарегистрирован: 19.12.2008 - 20:41
Публикации: 1597

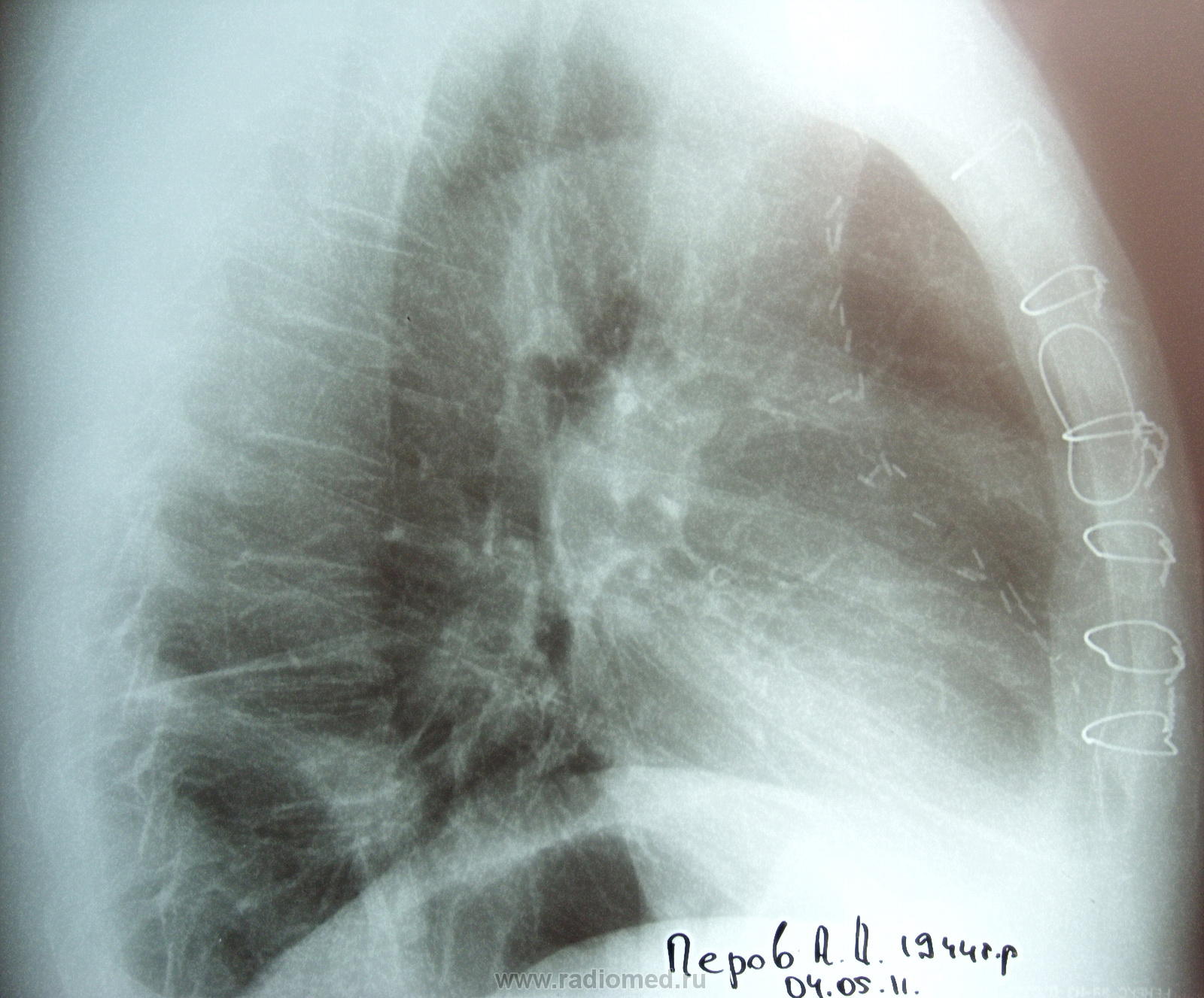
лёгком определяется дисковидный ателектаз. У меня возник вопрос по поводу ретростернального пространства, в боковой проекции,  есть ли там воздух? Мне показалось что есть.

Прийди к Себе

Петрович аватар
Не на сайте
Был на сайте: 7 лет 2 месяцев назад
Зарегистрирован: 22.03.2009 - 01:13
Публикации: 3908

Справа я вижу два фокуса воспалительных в н/д, фиброз в с/д.

Слева купол поднят из-за кишки раздутой? И дисковидный ателектаз из-за неё же? Спаек-то не видно, и плеврального выпота не вижу.

Неоднозначно всё

Евгений1313 аватар
Не на сайте
Был на сайте: 13 лет 1 неделя назад
Зарегистрирован: 15.10.2010 - 19:13
Публикации: 808

Острого не вижу.Эмфизема, участки пневмосклероза(не исключаются перенесенные инфарктные пневмонии).Двусторонний деформирующий бронхит.