Болел, давно снят с учета. Клиническое излечение. Рецидив?

Пол пациента: 
Тип патологии: 
Методы исследования: 

Болел, давно снят с учета. Клиническое излечение. Рецидив?

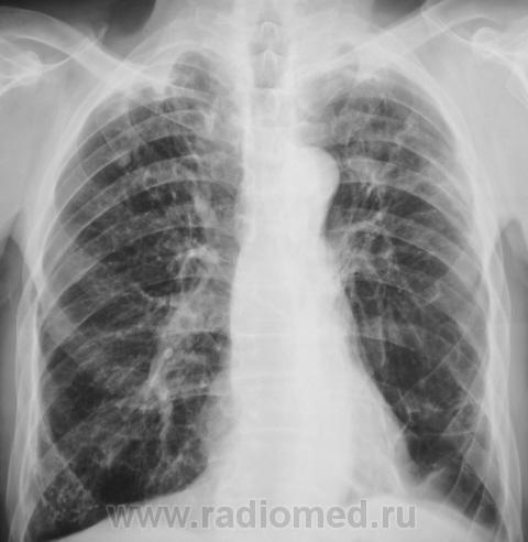
Рентгенограмма.

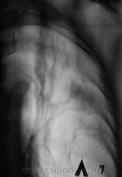
Томограмма- 1 срез.

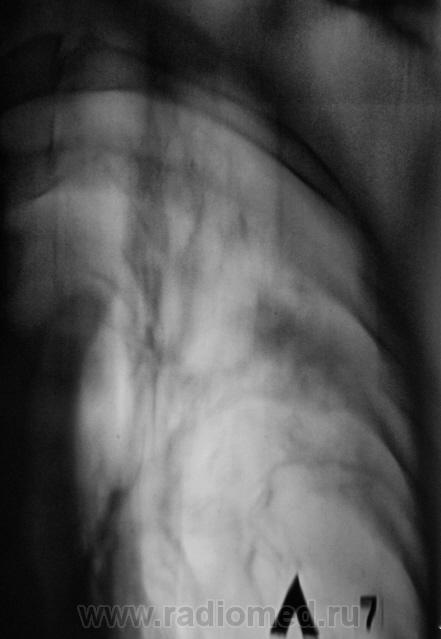
Томограмма - второй срез.

  • https://radiomed.ru/sites/default/files/styles/case_slider_image/public/user/12/2.pb130024.jpg?itok=gJuYtimk
  • https://radiomed.ru/sites/default/files/styles/case_slider_image/public/user/12/3.pb130025.jpg?itok=iL78aFbu
  • https://radiomed.ru/sites/default/files/styles/case_slider_image/public/user/12/4.pb130025a.jpg?itok=pvdjUAE5
  • https://radiomed.ru/sites/default/files/styles/case_slider_image/public/user/12/5.pb130026.jpg?itok=6za5yNVp
  • https://radiomed.ru/sites/default/files/styles/case_slider_image/public/user/12/6.pb130026a.jpg?itok=mZyod_g6
  • https://radiomed.ru/sites/default/files/styles/case_slider_image/public/user/12/1.pb130027.jpg?itok=Hj-d0ZP6
  • https://radiomed.ru/sites/default/files/styles/case_slider_image/public/user/12/2.pb130028.jpg?itok=afN_WyFM
  • https://radiomed.ru/sites/default/files/styles/case_slider_image/public/user/12/3.pb130029.jpg?itok=GzPGpIde
  • https://radiomed.ru/sites/default/files/styles/case_slider_image/public/user/12/4.pb130029a.jpg?itok=UJlcbEBE
  • https://radiomed.ru/sites/default/files/styles/case_slider_image/public/user/12/5.pb130030.jpg?itok=ui2wwn5J
  • https://radiomed.ru/sites/default/files/styles/case_slider_image/public/user/12/6.pb130030a.jpg?itok=MBNJCGis
  • https://radiomed.ru/sites/default/files/styles/case_slider_image/public/user/12/1.pb130031.jpg?itok=dx6g4GzO
  • https://radiomed.ru/sites/default/files/styles/case_slider_image/public/user/12/2.pb130032.jpg?itok=i-1n-rfN
  • https://radiomed.ru/sites/default/files/styles/case_slider_image/public/user/12/3.pb130032a.jpg?itok=7rsh4g52
  • https://radiomed.ru/sites/default/files/styles/case_slider_image/public/user/12/4.pb130033.jpg?itok=hJsqsdg7
  • https://radiomed.ru/sites/default/files/styles/case_slider_image/public/user/12/5.pb130033a.jpg?itok=eHZpLnHz
  • https://radiomed.ru/sites/default/files/styles/case_slider_image/public/user/12/6.pb130034.jpg?itok=clNeGhKv
  • https://radiomed.ru/sites/default/files/styles/case_slider_image/public/user/12/7.pb130034a.jpg?itok=naU8KT4o
  • https://radiomed.ru/sites/default/files/styles/case_slider_image/public/user/12/8.pb130035.jpg?itok=RHirZLpR
  • https://radiomed.ru/sites/default/files/styles/case_slider_image/public/user/12/9.pb130035a.jpg?itok=7Y-5S7xj
ID:8853
Сан Саныч1 аватар
Не на сайте
Был на сайте: 11 месяцев 3 недели назад
Зарегистрирован: 07.06.2010 - 21:17
Публикации: 2114

Архив?

Хочешь сделать что-то нормально - сделай это сам!

Катенёв Валентин Львович аватар
Не на сайте
Был на сайте: 7 лет 4 недели назад
Зарегистрирован: 22.03.2008 - 22:15
Публикации: 54876

Архив, который был в тубе - "йок тарды" - прорвало отопление в том году....

koriatus аватар
Не на сайте
Был на сайте: 3 года 2 недели назад
Зарегистрирован: 14.06.2010 - 01:49
Публикации: 452

Я не очень хорошо разбираюсь в линейных томограмаах, но мне кажется что есть полости с обеих сторон, а это - показатель активности процесса. 

Для доствоерности бы сделал КТ - если есть полости деструкции или "дерево-в -почках" - определенно активный процесс. (даже если не получено БК в мокроте). Можно тогда будет прицельно дать зону  с какой брать ПВБ. 

Если нету - продолжать сеять на БК + рентгенконтроль.

(мда, все таки насколько "цифра" удобнее пленки - хранилось бы несколько эл.копий архивов в разных местах - ничего бы не пострадало).  

P.S. Кстати, просьба к коллегам -рентгенологам: часто вижу пишут "кальцифицированные" очаги по снимкам. Я уже много раз убеждаюсь, делая КТ, что  эти очаги очень часто мягкотканной плотности.

Вообще, если выявлены любые очаги на снимках, без предыдущего архива, считаю, надо обязательно делать КТ.

Катенёв Валентин Львович аватар
Не на сайте
Был на сайте: 7 лет 4 недели назад
Зарегистрирован: 22.03.2008 - 22:15
Публикации: 54876

На мой взгляд, полости есть.

КТ - нет.

Конечно , "палки" не всегда находят, но в данном случае, при "кратном" исследовании, надо надеяться, что будут найдены.

Катенёв Валентин Львович аватар
Не на сайте
Был на сайте: 7 лет 4 недели назад
Зарегистрирован: 22.03.2008 - 22:15
Публикации: 54876

koriatus wrote:

P.S. Кстати, просьба к коллегам -рентгенологам: часто вижу пишут "кальцифицированные" очаги по снимкам. Я уже много раз убеждаюсь, делая КТ, что  эти очаги очень часто мягкотканной плотности.

Вообще, если выявлены любые очаги на снимках, без предыдущего архива, считаю, надо обязательно делать КТ.

Хорошие вопросы поднимаете уважаемый коллега, а главное, что "хитро-жизненные".