Болгарочные травмы

Пол пациента: 
Тип патологии: 
Область исследования: 
Методы исследования: 

 

В связи с появлением и широкой популярностью шлифмашинок (в просторечии болгарки), травмы нанесенные этими прогрессивными агрегатами стали широко распространены. Характерной их особенностью являются переломы в виде линейных дефектов или ампутаций, чаще кистей-предплечий, стоп-голеней. Вот характерное наблюдение.

 

Изображение

В.Б. Серов аватар
Не на сайте
Был на сайте: 1 неделя 6 часов назад
Зарегистрирован: 16.07.2008 - 10:15
Публикации: 1361

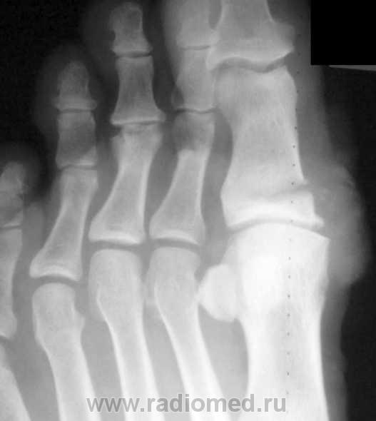
Вот еще, как по заказу сегодня случай попался

Изображение

Зри в корень!

В.Б. Серов аватар
Не на сайте
Был на сайте: 1 неделя 6 часов назад
Зарегистрирован: 16.07.2008 - 10:15
Публикации: 1361

Все наоборот вставилось Недоволен первый снимок - через 1.5 мес после травмы, второй - исходный.

Зри в корень!

В.Б. Серов аватар
Не на сайте
Был на сайте: 1 неделя 6 часов назад
Зарегистрирован: 16.07.2008 - 10:15
Публикации: 1361

Очередной случай

Изображение

Зри в корень!

Катенёв Валентин Львович аватар
Не на сайте
Был на сайте: 7 лет 2 недели назад
Зарегистрирован: 22.03.2008 - 22:15
Публикации: 54876

По большому счету, это уже набор изображений, характеризующих определенный профессиональный травматизм, а данная тема становится актуальной, не только в плане диагностики, но и в векторе вопросов техники безопасности, возможно даже на производстве.

В.Б. Серов аватар
Не на сайте
Был на сайте: 1 неделя 6 часов назад
Зарегистрирован: 16.07.2008 - 10:15
Публикации: 1361

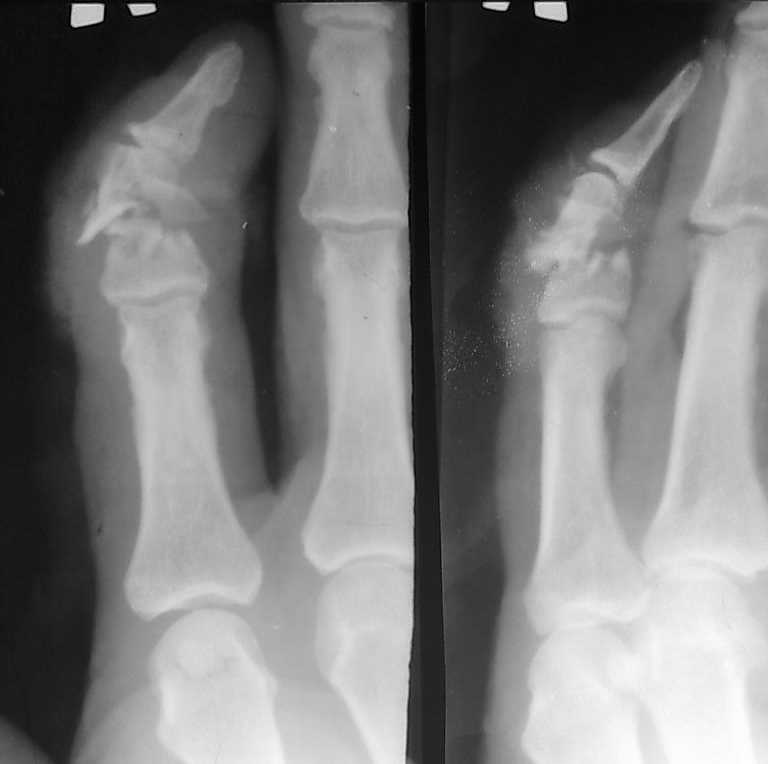
Опять болгарка

Изображение

Зри в корень!

В.Б. Серов аватар
Не на сайте
Был на сайте: 1 неделя 6 часов назад
Зарегистрирован: 16.07.2008 - 10:15
Публикации: 1361

Болгарочная травма предплечья

ИзображениеИзображение

Зри в корень!

В.Б. Серов аватар
Не на сайте
Был на сайте: 1 неделя 6 часов назад
Зарегистрирован: 16.07.2008 - 10:15
Публикации: 1361

Еще предплечье, еще болгарка

ИзображениеИзображение

Зри в корень!

Катенёв Валентин Львович аватар
Не на сайте
Был на сайте: 7 лет 2 недели назад
Зарегистрирован: 22.03.2008 - 22:15
Публикации: 54876

Хорошая подборка Владимир Борисович. В последующем, можно скомпоновать набор изображений, Вы не против?

Наряду с названием - "Болгарочные травмы" в скобках можно написать - "Происки потомков Фредди Крюгера".

В.Б. Серов аватар
Не на сайте
Был на сайте: 1 неделя 6 часов назад
Зарегистрирован: 16.07.2008 - 10:15
Публикации: 1361

Катенёв Валентин Львович wrote:

Вы не против?

...в скобках можно написать - "Происки потомков Фредди Крюгера".

Нет, не против. Про Фредди это круто Суперрр

Зри в корень!

Катенёв Валентин Львович аватар
Не на сайте
Был на сайте: 7 лет 2 недели назад
Зарегистрирован: 22.03.2008 - 22:15
Публикации: 54876

Спасибо за разрешение формирования набора на "Вашем материале"

В.Б. Серов аватар
Не на сайте
Был на сайте: 1 неделя 6 часов назад
Зарегистрирован: 16.07.2008 - 10:15
Публикации: 1361

Пропилил богаркой ахиллово сухожилие

ИзображениеИзображение

Зри в корень!

В.Б. Серов аватар
Не на сайте
Был на сайте: 1 неделя 6 часов назад
Зарегистрирован: 16.07.2008 - 10:15
Публикации: 1361

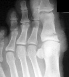
Очередная характерная картина

 

Приложения: 
bpr.jpgbk.jpg

Зри в корень!