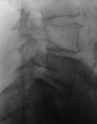
Боли в пояснице. Пациент направлен на рентгенографию поясничного отдела позвоночника.

Пол пациента: 
Тип патологии: 
Область исследования: 
Методы исследования: 

Боли в пояснице.  Пациент направлен на рентгенографию поясничного отдела позвоночника.

  • https://radiomed.ru/sites/default/files/styles/case_slider_image/public/user/12/2.dscn0356.jpg?itok=jYfJ5kF9
  • https://radiomed.ru/sites/default/files/styles/case_slider_image/public/user/12/3.dscn0356ad.jpg?itok=TVtvX3tq
  • https://radiomed.ru/sites/default/files/styles/case_slider_image/public/user/12/4.dscn0356g.jpg?itok=cBtnQzZr
ID:23742
maker4ik аватар
Не на сайте
Был на сайте: 8 лет 7 месяцев назад
Зарегистрирован: 19.10.2011 - 17:49
Публикации: 2682

Очтеохондроз, 4 период.

И.Бондаренко аватар
Не на сайте
Был на сайте: 19 минут 16 секунд назад
Зарегистрирован: 13.09.2011 - 22:55
Публикации: 9206

Остеохондроз, грыжа Шморля L3. Возможно старый перелом. А, что за понятие остеохондроз 4 период. Иногда пишут стадии. Такое разграничение где-то написано?

cupitur аватар
Не на сайте
Был на сайте: 11 лет 10 месяцев назад
Зарегистрирован: 19.09.2011 - 10:42
Публикации: 262

Грыжа L3-L4

Гаврилов Кирилл Викторович аватар
Не на сайте
Был на сайте: 7 лет 10 месяцев назад
Зарегистрирован: 03.11.2009 - 21:50
Публикации: 87

Остеохондроз, Грыжа Шморля Л2-3 диска, S-образный сколиоз

Рентгеновы лучи никогда не ошибаются. Ошибаемся мы, переводя их на свой язык

tatyana аватар
Не на сайте
Был на сайте: 4 года 1 месяц назад
Зарегистрирован: 24.06.2009 - 08:33
Публикации: 2090

Контур и структура передней поверхности L3 в сочетании с превертебральными сосудистыми кальцинатами на этом уровне позволяют заподозрить аневризму брюшной аорты

"самоуверенность дилетантов - предмет зависти профессионалов"

Катенёв Валентин Львович аватар
Не на сайте
Был на сайте: 7 лет 2 недели назад
Зарегистрирован: 22.03.2008 - 22:15
Публикации: 54876

tatyana wrote:

Контур и структура передней поверхности L3 в сочетании с превертебральными сосудистыми кальцинатами на этом уровне позволяют заподозрить аневризму брюшной аорты

Да, Вы правы аневризма брюшной аорты есть, она диагностирована ранее.

tatyana аватар
Не на сайте
Был на сайте: 4 года 1 месяц назад
Зарегистрирован: 24.06.2009 - 08:33
Публикации: 2090

о тож, расслаивающая или воспалившаяся аневризма проявляет себя как раз болями в пояснице. Это уже несколько серьезнее остеохондроза

"самоуверенность дилетантов - предмет зависти профессионалов"

Катенёв Валентин Львович аватар
Не на сайте
Был на сайте: 7 лет 2 недели назад
Зарегистрирован: 22.03.2008 - 22:15
Публикации: 54876

Хорошая ссылка по поводу болей в пояснице.

http://radiology.rsna.org/content/217/2/321.full

maker4ik аватар
Не на сайте
Был на сайте: 8 лет 7 месяцев назад
Зарегистрирован: 19.10.2011 - 17:49
Публикации: 2682

И.Бондаренко wrote:

А, что за понятие остеохондроз 4 период.

Видимо, то же, что и стадия. Почему-то у нас принято употреблять слово период, и, если честно, впервые от вас услышала, что возможны другие варианты))