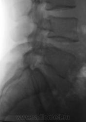
Пациент с болями в пояснице, направлен на рентгенологическое исследование поясничного отдела позвоночника.

Пол пациента: 
Тип патологии: 
Область исследования: 
Методы исследования: 

Пациент с болями в пояснице, направлен на рентгенологическое исследование поясничного отдела позвоночника.

  • https://radiomed.ru/sites/default/files/styles/case_slider_image/public/user/12/2.Lenk_..JPG?itok=-oLmv8jV
  • https://radiomed.ru/sites/default/files/styles/case_slider_image/public/user/12/3.Lenk_.jpg?itok=ujyv0g9F
  • https://radiomed.ru/sites/default/files/styles/case_slider_image/public/user/12/4.Lenk_.JPG?itok=APckASBS
  • https://radiomed.ru/sites/default/files/styles/case_slider_image/public/user/12/5.Lenk_.JPG?itok=1F3AgJxZ
ID:921
Юрич аватар
Не на сайте
Был на сайте: 6 лет 5 месяцев назад
Зарегистрирован: 17.01.2010 - 09:55
Публикации: 351

задний спондилолистез L3,L4. сакрализация L5.признаки остеохондроза.аномалия тропизма L3-L4 справа ,L5 с обеих сторон.

stovbav аватар
Не на сайте
Был на сайте: 2 года 2 месяцев назад
Зарегистрирован: 20.12.2009 - 17:28
Публикации: 7066

А нет ли у него почечной колики справа...и всех делов. Иначе что это за плотные тени в проекции правой почки и в\трети правого мочеточника, артефакты? Касаемо коментариев Юрича - все так и есть, но не маловато ли этого для обращения в клинику, ведь это было и вчера....?

Катенёв Валентин Львович аватар
Не на сайте
Был на сайте: 7 лет 2 недели назад
Зарегистрирован: 22.03.2008 - 22:15
Публикации: 54876

Боли беспокоят в течение последних двух лет.

Андрей Юрьевич аватар
Не на сайте
Был на сайте: 1 неделя 23 часа назад
Зарегистрирован: 16.11.2008 - 22:16
Публикации: 18098

При всем уважении к коллеге stovbav, лестничный микроретролистез L-2-L-3-L-4 может инициировать такие боли в спмне, что "мама, не горюй". А удлинение задне-нижних углов тел L-3,L -4 запросто могут оказаться косвенными признаками дорсальных протрузий диска..

Андрей Юрьевич

Игорь Иванович аватар
Не на сайте
Был на сайте: 3 года 9 месяцев назад
Зарегистрирован: 23.01.2010 - 14:56
Публикации: 3695

А что там с поперечным отростком L5 справа, и рядом в мягких тканях? Хондрома?

stovbav аватар
Не на сайте
Был на сайте: 2 года 2 месяцев назад
Зарегистрирован: 20.12.2009 - 17:28
Публикации: 7066

Андрей Юрьевич wrote:

При всем уважении к коллеге stovbav, лестничный микроретролистез L-2-L-3-L-4 может инициировать такие боли в спмне, что "мама, не горюй". А удлинение задне-нижних углов тел L-3,L -4 запросто могут оказаться косвенными признаками дорсальных протрузий диска..

Андрей Юрьевич, так никто и не спорит, только, как мне кажется, основной причиной в этом случае болевых проявлений будет не сколько микролистез, сколько микроподвывихи в дугоотростчастых суставах, но их то мы и не увидим на этих рентгенограммах. касаемо протрузии...тоже вряд ли ее степень столь значительна. Но ...без МРТ не разберемся...Улыбаюсь....

Vikkur аватар
Не на сайте
Был на сайте: 4 года 8 месяцев назад
Зарегистрирован: 24.09.2009 - 14:34
Публикации: 1749

А позвонков разве не 6? И подготовить бы больного. У нас в поликлинике, почемуто не принято готовить больных к съёмке ПКОП,  только если к ЭУ.

Виктор.

Анатолий Владимирович Шумаков аватар
Не на сайте
Был на сайте: 7 лет 10 месяцев назад
Зарегистрирован: 16.10.2009 - 21:16
Публикации: 1941

Самый начальный деформирующий спондилоз. Листеза нет. Справа несколько небольших теней, могущих быть кокрементами в мочевых путях...

Игорь Иванович аватар
Не на сайте
Был на сайте: 3 года 9 месяцев назад
Зарегистрирован: 23.01.2010 - 14:56
Публикации: 3695

Никто не поддерживает меня на счет поперечного отростка L5 справа - хорошо, будем считать это "кишечник наложился". Но тогда поддржу Виктора Григорьевича на счет микро... Может в ангстремах будем мерять листезы? Будем считаь нормой - предел метода.

Андрей Юрьевич аватар
Не на сайте
Был на сайте: 1 неделя 23 часа назад
Зарегистрирован: 16.11.2008 - 22:16
Публикации: 18098

Можно и не в "ангстремах", а в "четветях" (1/4 от площадки тела позвонка). Вот тут точно ни сомнений, ни гипердиагностикиУлыбаюсь.

Андрей Юрьевич

Катенёв Валентин Львович аватар
Не на сайте
Был на сайте: 7 лет 2 недели назад
Зарегистрирован: 22.03.2008 - 22:15
Публикации: 54876

?.

 

Приложения: 
1.Pozvonochnik..JPG
Игорь Иванович аватар
Не на сайте
Был на сайте: 3 года 9 месяцев назад
Зарегистрирован: 23.01.2010 - 14:56
Публикации: 3695

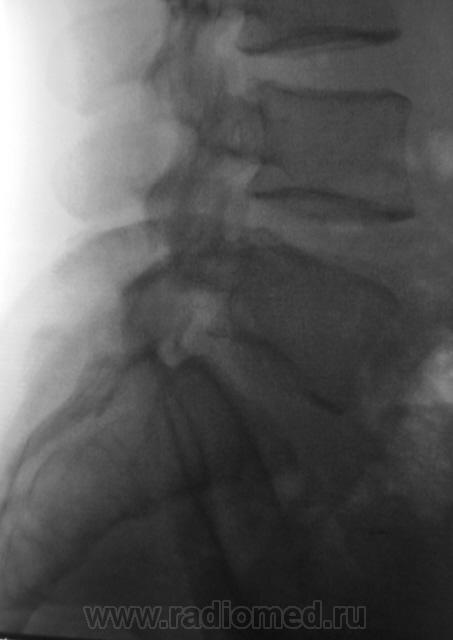
Что-же тогда говорить об этом? Буквально сегодняшний случай. Пациент говорит, что до 70 лет проблем не было. А задняя поверхность тела позвонка тоже где-то двухконтурная, как и суставные поверхности ( я имею ввиду касательные)

Приложения: 
30012010219.jpg1.IIII_.jpg2.IIII_.jpg
Катенёв Валентин Львович аватар
Не на сайте
Был на сайте: 7 лет 2 недели назад
Зарегистрирован: 22.03.2008 - 22:15
Публикации: 54876

Игорь Иванович!

Возможно, Вы и правы, да, по всей видимости, даже правы "без возможно" на все 100, но если-бы, не имело место маленькое, НО. Возраст пациента, представленного мною - 21 год.

И еще один, не маловажный вопрос - а где прямая рентгенограмма, представлена только боковая, вот, с наличием прямой, обсуждение было-бы более предметным.

Но проблема псевдоспондилолистезов и спондилолистезов (истинных), конечно нуждается в самом серьёзном обсуждении. Вот еще есть интересный термин - "истинный спондилолистез", что навевает на размышления, что есть и "не истинный", что я понимаю, как, то, что позвонок соскользнул куда-то, но - это не истинное, а раз не истинное, то значит - кажущееся?

Андрей Юрьевич аватар
Не на сайте
Был на сайте: 1 неделя 23 часа назад
Зарегистрирован: 16.11.2008 - 22:16
Публикации: 18098

Игорь Иванович wrote:

Что-же тогда говорить об этом? Буквально сегодняшний случай. Пациент говорит, что до 70 лет проблем не было. А задняя поверхность тела позвонка тоже где-то двухконтурная, как и суставные поверхности ( я имею ввиду касательные)

С удовольствием поучаствую в ученой беседе, но вопрос, насколько я понял, риторический, т.е. ответа не требует

Андрей Юрьевич

stovbav аватар
Не на сайте
Был на сайте: 2 года 2 месяцев назад
Зарегистрирован: 20.12.2009 - 17:28
Публикации: 7066

Кстати...о возрасте 21 год...уточните анамнез, очень часто молодые люди занимающиеся силовыми видами спорта, в т.ч., например,штангисты, борцы, просто постоянно с юности таскающие железо, имеют подобные проблемы...или, как минимум, чрезвычайно тяжелая работа....

Катенёв Валентин Львович аватар
Не на сайте
Был на сайте: 7 лет 2 недели назад
Зарегистрирован: 22.03.2008 - 22:15
Публикации: 54876

Ничем он не занимается, работает у нас в конторе больницы - "субтильный астеник". Из тяжелой работы - только одна - недавно женился.

Юрич аватар
Не на сайте
Был на сайте: 6 лет 5 месяцев назад
Зарегистрирован: 17.01.2010 - 09:55
Публикации: 351

кстати, как раз кто "занмается" имеет меньше проблем со спиной( по крайней мере пока заниается) , чем тот кто далек от штанги и тому подобное. говорю из опыта. мышцы должны держать позвоночник, а не бедный позвоночник все тело. а смещение оно и везде смещение- истинное или ложное. вопрос давит на что позвонок или нет. часто вижу страшную картину на снимках, а человек практически жалоб не предъявляет и наоборот.

Игорь Иванович аватар
Не на сайте
Был на сайте: 3 года 9 месяцев назад
Зарегистрирован: 23.01.2010 - 14:56
Публикации: 3695

Истинный спондилолистез, если мне не изменяет память, связан с незаращением дужек и т.д.( как в моем сегодняшнем случае), а ложный - с, допустим, развитием артроза в дугоотр. суставах,  сужение суставных щелей и, как следствие, некоторым смещением тел позвонков относительно друг друга. Так у Рейнберга.

Игорь Иванович аватар
Не на сайте
Был на сайте: 3 года 9 месяцев назад
Зарегистрирован: 23.01.2010 - 14:56
Публикации: 3695

Я не говорю о конкретном случае, но иногда ( возм. за счет укладки) задние поверхности тел позвонков двухконтурные и касательную провести затруднительно. А потом вылазят и микро- и ангстремоспондилолистезы.

Nela аватар
Не на сайте
Был на сайте: 6 лет 1 месяц назад
Зарегистрирован: 12.05.2009 - 20:43
Публикации: 1847

Двуконтурность задних отделов тел естественна, связана с бобовидной формой тел позвонков за счет небольшого вдавление в средней части тела. Так как идеально уложить пациента трудно, более выступающие боковые части задних отделов расходятся и дают двуконтурность. Это не редкость.

 

Приложения: 
1256828157.171.jpg
Андрей Юрьевич аватар
Не на сайте
Был на сайте: 1 неделя 23 часа назад
Зарегистрирован: 16.11.2008 - 22:16
Публикации: 18098

Игорь Иванович wrote:

... Будем считаь нормой - предел метода.

Можно считать и нормой. Но именно так выглядит II стадия остеохондроза по А.И. Осна.

Андрей Юрьевич

Игорь Иванович аватар
Не на сайте
Был на сайте: 3 года 9 месяцев назад
Зарегистрирован: 23.01.2010 - 14:56
Публикации: 3695

Ув. Андрей Юрьевич. Я в душе на 90% физик, а остальное лирик. Мне нравятся ровные, четкие линии и когда 2х2=4, а не около. И если бы мы взяли детские кубики и попробывали бы уложить их по ровной дуге (я имею ввиду поясничный лордоз). У нас бы получились клиновидные расстояния м-ду ними (имею ввиду межпозв. диски). А если бы мы хотели сохранить равные расстояния, то у нас бы не получилась дуга (лордоз), или нам бы нужно было бы использывать не кубики, а усеченные пирамиды. А природе нужно уложить это все в дугу (лордоз).Но медицина, как я понимаю, больше лирика, ровного и четкого в ней практически нет, все условно. Если конкретно, то тело позвонка только условно похоже на цилиндр (т.е. неправильный цилиндр), и если учесть всякие скиалогические сюрпризы, то можем ли мы так чертить, и на основании этого делать далекоидущие выводы. Я ( может по своей недалекости) знаю, что дуга по задней поверхности должна быть без уступов, а уступы ли там?

Я привел свою Ro-грамму не для того, что-бы кого-то удивить ( такого добра, я думаю, хватает у всех), а для того, что-бы заострить внимание на компенсаторные свойства организма ( человек до 70 лет не предъявлял жалоб, а листез, я уверен, у него давно. Правда природа здесь сама набедокурила ( незаращение дужки), сама и щадит). А имеем ли мы право "микроспондилолистез" связывать с болями? Или все-таки есть какой-то предел.

Теперь по А.И.Осна. Каюсь, не знаком. Но если так выглядит 2 стадия по нему, то я думаю, что в этой классификации около 10-20 стадий, и каждая по 3-5 подстадий. Мне больше по душе старый Рейнберг. Так там вообще нет стадий ни на остеохондроз, ни на артроз.Но он постоянно предостерегает от гипердиагностики.

Теперь на счет расчерчивания. Вот, что я себе нафантазировал. Совершенно две разные картины.Хотя небольшой уступ все таки получился.

 

Приложения: 
4.Lenk_.JPG4.Lenk_2.JPG
Андрей Юрьевич аватар
Не на сайте
Был на сайте: 1 неделя 23 часа назад
Зарегистрирован: 16.11.2008 - 22:16
Публикации: 18098

Разговор о рентгенологических проявлениях дегенеративно-дистрофических измений позвоночника, уважаемый Игорь Иванович, давний, в российском рентгенологическом сообществе не решенный, и напоминает дискуссию остроконечников с тупоконечниками. Это чисто российская, советсткая, СНГовская, рунетовская проблема. Для западной медицины эта проблема не существует. Во-первых, у них нет остеохондроза, во-вторых у них доступна МРТ. А мы, что имеем, то и имеемУлыбаюсь...

Познакомиться с стадиями по Осна (1971г) несложно, она есть и в рунете, да и на этом сайте, высвечивается в любом поисковике.

Как и все, преклоняюсь пред трудами Самуила Ароновича Рейнберга, но, в части остеохондроза и нарушения статики, и Иосиф Львович Тагер кое-что написал совместно с И.С.Мазо.

Кстати, фраза ///Мне больше по душе старый Рейнберг/// в устах совеменного кардиолога должна звучать наверное так ///Мне больше по душе старый Мясников///Улыбаюсь.

Андрей Юрьевич

Игорь Иванович аватар
Не на сайте
Был на сайте: 3 года 9 месяцев назад
Зарегистрирован: 23.01.2010 - 14:56
Публикации: 3695

 

Кстати, фраза ///Мне больше по душе старый Рейнберг/// в устах совеменного кардиолога должна звучать наверное так ///Мне больше по душе старый Мясников///Улыбаюсь.

Может быть рентгенкимография в диагностике заболеваний сердца - это и аналог старого Мясникова в кардиологии, но чистая рентгендиагностика  остеохондроза (без КТ, МРТ) - не думаю, что сильно изменилась. Я понимаю, что споры велись и ведутся, и нужно было защищать и кандидатские и докторские на чем-то (опять же, пока не появилость КТ, МРТ и тд.) , а все уже перепахано - вот и пошли чертежники, классификаторы. И если во время учебы мы смотрели на единственного академика в институте, как на супер звезду, а по книжкам профессоров, читающих нам лекции - занимались студенты медики всего Союза, то сейчас, куда не плюнь - профессор, или членкор, правда очень часто академии не медицинских наук: то академии научно-технического прогресса, то охраны окружающей среды. Но это только в Украине, думаю в России не так.

Но это лирическое отступление. А если конкретно, то нужно очень щепетильно подходить прежде, чем поставить д-з остеохондроз 2 ст. 21-летнему человеку. И я себя ловил не раз - вот, вроде-бы ступенька, а присмотришься - маячит 2-й контур, и ступеньки нет.

И как Вы отнесетесь к такому высказыванию:

 

Приложения: 
31012010228.jpg
Катенёв Валентин Львович аватар
Не на сайте
Был на сайте: 7 лет 2 недели назад
Зарегистрирован: 22.03.2008 - 22:15
Публикации: 54876

Игорь Иванович:

"Я не говорю о конкретном случае, но иногда ( возм. за счет укладки) задние поверхности тел позвонков двухконтурные и касательную провести затруднительно.

А как, Вы считаете, уважаемые коллеги, наиболее целосообразно исследовать грудной и поясничный отделы позвоночника в положении лежа или стоя, или - это не имеет значения?

stovbav аватар
Не на сайте
Был на сайте: 2 года 2 месяцев назад
Зарегистрирован: 20.12.2009 - 17:28
Публикации: 7066

Катенёв Валентин Львович wrote:

 

А как, Вы считаете, уважаемые коллеги, наиболее целосообразно исследовать грудной и поясничный отделы позвоночника в положении лежа или стоя, или - это не имеет значения?

Из опыта последних двух лет - делаем рентгенографию поясничного отдела в положении стоя на 1-м рабочем месте, в т.ч. цифровую (прицельно, два снимка на 24*30), смею сказать, что проекционных искажения стало гораздо меньше.

 

Катенёв Валентин Львович аватар
Не на сайте
Был на сайте: 7 лет 2 недели назад
Зарегистрирован: 22.03.2008 - 22:15
Публикации: 54876

Я, давно отказался от рентгенографии, как шейного, так и поясничного отделов позвоночника в положении лежа. Давно делаем в ортоположении. Уж, очень много всякого разного, нивелируется в положении "лежа", да еще и лаборанты, иногда для красоты снимка пациента потянут за ноги, чтобы "правильнее" лежал.

Катенёв Валентин Львович аватар
Не на сайте
Был на сайте: 7 лет 2 недели назад
Зарегистрирован: 22.03.2008 - 22:15
Публикации: 54876

Игорь Иванович:

"Теперь на счет расчерчивания. Вот, что я себе нафантазировал. Совершенно две разные картины. Хотя небольшой уступ все таки получился."

Ничего, Вы себе не нафантазировали, Игорь Иванович. В данном случае "двуконтурности" заднего края отдельных позвонков не избежать, так как на рентгенограмме в прямой стандартной проекции (снимок выполнен стоя), вроде-бы, как-бы намечается некоторое искривление позвоночника во фронтальной плоскости. Конечно, это никакое не искривление, это просто ротация - 1 - 2 позвонков, и становится понятным, что если 1-2 позвонка чуть ротировались, то на ровность заднего контура всех поясничных позвонков расчитывать не приходится.

О ротации, также свидетельствует различная длина поперечных отростков одноименного позвонка, и это видно.

 

Приложения: 
0.Fantaziya..JPG4.Fantaziya.JPG
Катенёв Валентин Львович аватар
Не на сайте
Был на сайте: 7 лет 2 недели назад
Зарегистрирован: 22.03.2008 - 22:15
Публикации: 54876

Ну и с некоторым увеличением изображения.

 

Приложения: 
1._Fantaziya..JPG2._Fantaziya.JPG3._Fantaziya.JPG
Катенёв Валентин Львович аватар
Не на сайте
Был на сайте: 7 лет 2 недели назад
Зарегистрирован: 22.03.2008 - 22:15
Публикации: 54876

И еще один вопрос... Как расценивать "вдавленность" контура замыкательной пластинки Л5 - желтые стрелки, но с учетом красных стрелок.

 

Приложения: 
1..VOPROS...JPG2..VOPROS...JPG
Катенёв Валентин Львович аватар
Не на сайте
Был на сайте: 7 лет 2 недели назад
Зарегистрирован: 22.03.2008 - 22:15
Публикации: 54876

А не "дефектна - ли" дужка Л5?

 

Приложения: 
1.Defektna..JPG2._Defektna..JPG
Vikkur аватар
Не на сайте
Был на сайте: 4 года 8 месяцев назад
Зарегистрирован: 24.09.2009 - 14:34
Публикации: 1749

Вроде складывается впечатление о спондилолизе.

 

Виктор.

Катенёв Валентин Львович аватар
Не на сайте
Был на сайте: 7 лет 2 недели назад
Зарегистрирован: 22.03.2008 - 22:15
Публикации: 54876

Похоже, и весьма.