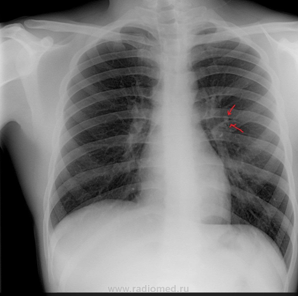
Пол пациента: Мужской пол Тип патологии: Другое Область исследования: Грудная клетка и верхние дыхательные пути Методы исследования: Rg Пациет 20 лет. Жалобы на боли в правой! половине грудной клетке. Объективно: болезненность при пальпации 6 и 7 межреберных промежутков справа!. Направлен на дообследование. https://radiomed.ru/sites/default/files/styles/case_slider_image/public/user/351/1992g.jpg?itok=8ubI0VCA ID:19584 Ср, 14/03/2012 - 11:33 #1 Кирилл Не на сайте Был на сайте: 6 лет 1 месяц назад Зарегистрирован: 11.09.2008 - 17:18 Публикации: 8 1Приложения: Кирилл Ср, 14/03/2012 - 10:28 #2 Побединский Мих... Не на сайте Был на сайте: 7 лет 9 месяцев назад Зарегистрирован: 25.12.2010 - 23:44 Публикации: 696 Тангенциальное сечение сосуда. Ср, 14/03/2012 - 10:35 #3 Viktoriya_K Не на сайте Был на сайте: 12 лет 8 месяцев назад Зарегистрирован: 19.10.2010 - 22:45 Публикации: 8 +1 Ср, 14/03/2012 - 11:09 #4 Helios Не на сайте Был на сайте: 7 месяцев 2 недели назад Зарегистрирован: 06.08.2010 - 15:16 Публикации: 4417 Скорее всего, сосуд. Как будете дообследовать? Ср, 14/03/2012 - 11:36 #5 Кирилл Не на сайте Был на сайте: 6 лет 1 месяц назад Зарегистрирован: 11.09.2008 - 17:18 Публикации: 8 дообследование и заключалось а в рентгене и ОАМ и ОАК ))) Кирилл Ср, 14/03/2012 - 11:38 #6 Кирилл Не на сайте Был на сайте: 6 лет 1 месяц назад Зарегистрирован: 11.09.2008 - 17:18 Публикации: 8 просто такое ощущение что "сидит"на сосуде образование Кирилл Ср, 14/03/2012 - 13:59 #7 stovbav Не на сайте Был на сайте: 2 года 2 месяцев назад Зарегистрирован: 20.12.2009 - 17:28 Публикации: 7066 Кирилл wrote: просто такое ощущение что "сидит"на сосуде образование Сделайте снимок с небольшим поворотом и на большем вдохе...вот тень и "разьедется")))) Болезни ног: виды, симптомы, причины, профилактика и лечение Ср, 14/03/2012 - 19:14 #8 Чижевский Вадим... Не на сайте Был на сайте: 3 года 3 недели назад Зарегистрирован: 12.11.2008 - 21:21 Публикации: 43 Посмотрите за экраном. Есть ли пульсация? Изменяет ли форму при поворотах? А если это ортопроекция сосуда, то и вопрос будет снят.
1
Кирилл
Тангенциальное сечение сосуда.
+1
Скорее всего, сосуд. Как будете дообследовать?
дообследование и заключалось а в рентгене и ОАМ и ОАК )))
Кирилл
просто такое ощущение что "сидит"на сосуде образование
Кирилл
Сделайте снимок с небольшим поворотом и на большем вдохе...вот тень и "разьедется"))))
Болезни ног: виды, симптомы, причины, профилактика и лечение
Посмотрите за экраном. Есть ли пульсация? Изменяет ли форму при поворотах? А если это ортопроекция сосуда, то и вопрос будет снят.