что это может быть? помогите пожалуйста разобраться

Пол пациента: 
Методы исследования: 

.

  • https://radiomed.ru/sites/default/files/styles/case_slider_image/public/user/7133/26052011163.jpg?itok=8qaZKbEC
  • https://radiomed.ru/sites/default/files/styles/case_slider_image/public/user/7133/26052011164.jpg?itok=lR2jFkTU
ID:13932
margarita аватар
Не на сайте
Был на сайте: 11 лет 2 месяцев назад
Зарегистрирован: 09.11.2010 - 20:25
Публикации: 6

Бабушка 1934г. помогите разобраться что это может быть.

Приложения: 
26052011162.jpg26052011163.jpg26052011164.jpg
ЛГ аватар
Не на сайте
Был на сайте: 8 лет 11 месяцев назад
Зарегистрирован: 06.01.2010 - 12:31
Публикации: 3523

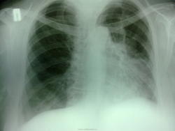
Довольно крупное с четкими контурами, интенсивное образование переднего средостения, не дифференцируется от сердечной тени. Я бы поставила кисту перикарда под вопросом. Остальное зависит от Ваших возможностей - линейная томография, КТ. Что с клиникой и флюороархивом, есть ли данные УЗИ сердца? 

Helios аватар
Не на сайте
Был на сайте: 7 месяцев 4 недели назад
Зарегистрирован: 06.08.2010 - 15:16
Публикации: 4417

Согдасна с Людмилой Григорьевной-образование переднего средостения.

margarita аватар
Не на сайте
Был на сайте: 11 лет 2 месяцев назад
Зарегистрирован: 09.11.2010 - 20:25
Публикации: 6

есть архив, к сожалению они не четкие.  12 дней назад в другой поликлинике  поставили заключение- Слева в корне округлой формы с четкими контурами тень 3на4 см интенсивного харакрера. Прозрачность легочного поля снижена за счет гиповентиляции. Сердце без особенностей. Заключение- Заболевание правого легкого.

Приложения: 
26052011166.jpg26052011167.jpg
margarita аватар
Не на сайте
Был на сайте: 11 лет 2 месяцев назад
Зарегистрирован: 09.11.2010 - 20:25
Публикации: 6

Клиника как у всех бабушек тяжело дышать. 

ЛГ аватар
Не на сайте
Был на сайте: 8 лет 11 месяцев назад
Зарегистрирован: 06.01.2010 - 12:31
Публикации: 3523

Линейная томография у Вас реальна?

10dent I.A. аватар
Не на сайте
Был на сайте: 11 лет 4 месяцев назад
Зарегистрирован: 25.04.2011 - 15:53
Публикации: 47

-достаточный разворот влево, на ПП создается впечатление о гипо- или ателектазе нижней доли слева, но учитывая БП -я думаю о кардиомегалии;

-образований средостения видел мало,и сейчас не вижу, потому думаю о дуге аорты;

-благо есть линейная томография, плохая скопия, да барий с комочками.

...я мало видел, еще меньше знаю...

margarita аватар
Не на сайте
Был на сайте: 11 лет 2 месяцев назад
Зарегистрирован: 09.11.2010 - 20:25
Публикации: 6

Спасибо коллеги большое за коментарии... а если линейная томография невозможна?

Kat аватар
Kat
Не на сайте
Был на сайте: 12 лет 7 месяцев назад
Зарегистрирован: 19.04.2011 - 19:10
Публикации: 365

аневризма восходящей части аорты-100пудово)) левый корень подтянут кверху похоже и тень с бугристыми контурами над ним- надо исключить (или подтвердить) C-r

Временно отсутствую на сайте...

Эрик аватар
Не на сайте
Был на сайте: 13 лет 11 месяцев назад
Зарегистрирован: 25.05.2011 - 19:58
Публикации: 33

Kat wrote:

аневризма восходящей части аорты-100пудово)) левый корень подтянут кверху похоже и тень с бугристыми контурами над ним- надо исключить (или подтвердить) C-r

аневризму покажите стрелкой,если можно

Kat аватар
Kat
Не на сайте
Был на сайте: 12 лет 7 месяцев назад
Зарегистрирован: 19.04.2011 - 19:10
Публикации: 365

Вот это

Приложения: 
26052011163.jpg

Временно отсутствую на сайте...

Эрик аватар
Не на сайте
Был на сайте: 13 лет 11 месяцев назад
Зарегистрирован: 25.05.2011 - 19:58
Публикации: 33

спасибо.  прямому снимку не соответствует вроде бы... впрочем даже не знаю!!!

helenmar аватар
Не на сайте
Был на сайте: 8 лет 6 месяцев назад
Зарегистрирован: 23.03.2008 - 12:27
Публикации: 291

Мне видится все несколько иначе: уменьшено левое легкое за счет в/доли, нижняя вздута, органы средостения смещены влево (даже с учетом разворота). У корня на уровне 2-го ребра (на прямом снимке) дополнительное образование. Данные в пользу центрального Са слева с признакками нарушени я бронхиальной проходимости в виде гиповентиляции верхней и вздутия нижней долей. КТ решит вопрос окончательно.

Делай, что должно, и будь, что будет.

Kuzmitch аватар
Не на сайте
Был на сайте: 12 лет 7 месяцев назад
Зарегистрирован: 01.10.2010 - 18:20
Публикации: 171

Если даже у опытных коллег разные мнения... Жесть...Страшновато начинать работать )). Снижение прозрачности в/д слева (язычковые сегменты) с некоторым уменьшением в объёме. Диф Ds пневмония слева с нарушением бронхиальной проводимости и гиповентиляцией, объёмный центральный процесс слева. Насчёт тени сердца - честно, затрудняюсь

sema аватар
Не на сайте
Был на сайте: 10 лет 4 месяцев назад
Зарегистрирован: 05.09.2010 - 08:39
Публикации: 233

----спасибо. прямому снимку не соответствует вроде бы... впрочем даже не знаю!!!-------

Эрик, просто посмотрите на прямую рентгенограмму - почему средостение съехоло влево? И на счет аневризмы восходящего отдела перестаните думать.

Kat аватар
Kat
Не на сайте
Был на сайте: 12 лет 7 месяцев назад
Зарегистрирован: 19.04.2011 - 19:10
Публикации: 365

sema wrote:
И на счет аневризмы восходящего отдела перестаните думать.

Вы абсолютно правы!!! Еще раз внимательно посмотрела на снимки-первый с разворотом-в нижнем поле тень сердца, а на боковом левом четко видна тень опухоли с гиповентиляцией S 3. Никогда не торопись!

Приложения: 
26052011164.jpg

Временно отсутствую на сайте...

Евгений1313 аватар
Не на сайте
Был на сайте: 13 лет 2 недели назад
Зарегистрирован: 15.10.2010 - 19:13
Публикации: 808

Поставьте бабушке эмфизему,деформирующий бронхит, бронхоэктазы..

Helios аватар
Не на сайте
Был на сайте: 7 месяцев 4 недели назад
Зарегистрирован: 06.08.2010 - 15:16
Публикации: 4417

Kat, Вы не только Вездеснующая , но и Классновидящая ( это я по-доброму, не подумайте)!Я-то хорошим зрением похвастаться не могу, поэтому тень опухоли не увидела,осбенно на снимке такого качества, тем более на правом боковом.

Kat аватар
Kat
Не на сайте
Был на сайте: 12 лет 7 месяцев назад
Зарегистрирован: 19.04.2011 - 19:10
Публикации: 365

Helios wrote:

Kat, Вы не только Вездеснующая , но и Классновидящая ( это я по-доброму, не подумайте)!Я-то хорошим зрением похвастаться не могу, поэтому тень опухоли не увидела,осбенно на снимке такого качества, тем более на правом боковом.

не поверите,покраснела перед компом)))

Временно отсутствую на сайте...

Helios аватар
Не на сайте
Был на сайте: 7 месяцев 4 недели назад
Зарегистрирован: 06.08.2010 - 15:16
Публикации: 4417

Почему, поверю.