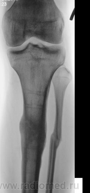
Что можно сказать по поводу процесса окончательного заживления перелема?

Пол пациента: 
Тип патологии: 
Область исследования: 
Методы исследования: 

Что можно сказать по поводу процесса окончательного заживления перелема?

Пациент направляется на МСЭК.

  • https://radiomed.ru/sites/default/files/styles/case_slider_image/public/user/12/2..ZYa_.JPG?itok=rZ9sj6L9
  • https://radiomed.ru/sites/default/files/styles/case_slider_image/public/user/12/3.ZYa_.jpg?itok=T64gUCvn
  • https://radiomed.ru/sites/default/files/styles/case_slider_image/public/user/12/4.ZYa_.JPG?itok=1IQK4cfO
  • https://radiomed.ru/sites/default/files/styles/case_slider_image/public/user/12/6.ZYa_.JPG?itok=s66KQ0e1
  • https://radiomed.ru/sites/default/files/styles/case_slider_image/public/user/12/7.ZYa_.jpg?itok=ifG-Zsn2
  • https://radiomed.ru/sites/default/files/styles/case_slider_image/public/user/12/8.ZYa_.JPG?itok=ByeEzERC
ID:2728
lupan аватар
Не на сайте
Был на сайте: 6 лет 10 месяцев назад
Зарегистрирован: 07.01.2010 - 17:17
Публикации: 1406

Щелевидный дефект до 1/2 d кости обусловлен, по всей вероятности, необезыствленной остеоидной тканью. Со временем "захряснет". Клиницисты в таких случаях констатируют консолидированный перелом.

Великое преймущество врача заключается в том, что он не обязан следовать собственным советам. ( А. Кристи)

ABDULLA аватар
Не на сайте
Был на сайте: 13 лет 10 месяцев назад
Зарегистрирован: 10.04.2010 - 11:08
Публикации: 18

СОСТОЯНИЕ КОСТНЫХ ОТЛОМКОВ УДОВЛЕТВОРИТЕЛЬНОЕ. ЛИНИЯ ПЕРЕЛОМА НЕ ОПРЕДЕЛЯЕТСЯ. ИЗБЫТОЧНАЯ КОСТНАЯ МАЗОЛЬ. А ДЛЯ ЧЕГО МСЭК?

Катенёв Валентин Львович аватар
Не на сайте
Был на сайте: 7 лет 3 недели назад
Зарегистрирован: 22.03.2008 - 22:15
Публикации: 54876

Группу хотят, хотят, и очень.

ABDULLA аватар
Не на сайте
Был на сайте: 13 лет 10 месяцев назад
Зарегистрирован: 10.04.2010 - 11:08
Публикации: 18

ВАЛЕНТИН ЛЬВОВИЧ. Я НЕ ПЕРЕБОРЩИЛ С ИЗБЫТОЧНОЙ МАЗОЛЬЮ? А ЕСТЬКРИТЕРИИ ?

Катенёв Валентин Львович аватар
Не на сайте
Был на сайте: 7 лет 3 недели назад
Зарегистрирован: 22.03.2008 - 22:15
Публикации: 54876

Пациент борется "за группу" применяя все тактические дозволенные и не дозволенные действия. На мой взгляд , некоторая избыточная костная мозоль есть. Длинник кости сохранен.

lupan аватар
Не на сайте
Был на сайте: 6 лет 10 месяцев назад
Зарегистрирован: 07.01.2010 - 17:17
Публикации: 1406

Катенёв Валентин Львович wrote:

Пациент борется "за группу" применяя все тактические дозволенные и не дозволенные действия. На мой взгляд , некоторая избыточная костная мозоль есть. Длинник кости сохранен.

Со временем мозоль уплотнится и уменьшится в размерах. Избыточности ее я не вижу.

Великое преймущество врача заключается в том, что он не обязан следовать собственным советам. ( А. Кристи)

Фаина аватар
Не на сайте
Был на сайте: 2 года 11 месяцев назад
Зарегистрирован: 14.12.2008 - 16:51
Публикации: 323

Консолидированный  перелом костей голени на границе верхней и средней 1\3 диафизов. Состояние костных отломков удовлетворительное. Линия перелома, практически, не визуализируется. В б\б кости линия простветления до 1\2 поперечника, обусловленная дефектом костной ткан. Определяется избыточная костная мозоль. В верхней и средней 1\3 дефекты костной ткани как следствие перенесенной операции МОС. А на основании чего этот упорный пациент надеется получить группу?!  Все сопоставлено, срослось...  ???

Наталия аватар
Не на сайте
Был на сайте: 8 лет 7 месяцев назад
Зарегистрирован: 30.07.2008 - 13:24
Публикации: 538

Линия перелома хорошо видна на боковом снимке

Петрович аватар
Не на сайте
Был на сайте: 7 лет 2 месяцев назад
Зарегистрирован: 22.03.2009 - 01:13
Публикации: 3908

  Видна линия «просветения», в которой содержание солей кальция понижено. Но она не является линией перелома и пересекает не весь поперечник утолщенного диафиза. Главное: опорная функция восстановлена?

Неоднозначно всё

ABDULLA аватар
Не на сайте
Был на сайте: 13 лет 10 месяцев назад
Зарегистрирован: 10.04.2010 - 11:08
Публикации: 18

Предупреждение 1. Пожалуйста, не пользуйтесь заглавными буквами в сообщении кроме предусмотренных правилами русского языка случаев, т.к. это является проявлением неуважения к остальным участникам.

Предупреждение 2. Офф-топик в сообщениях. Для вопросов, которые не связаны с основной темой, необходимо открывать новую тему.

ABDULLA аватар
Не на сайте
Был на сайте: 13 лет 10 месяцев назад
Зарегистрирован: 10.04.2010 - 11:08
Публикации: 18

спасибо  за замечания. учту.