"Данных за туберкулёз нет"? или "как хорошо быть фтизиатром?".

Пол пациента: 
Тип патологии: 
Методы исследования: 

Весьма часто получая заключение из соответствующего учреждения - "Данных за туберкулёз нет", возникает вопрос - "А что есть"? Или фтизиатры перестают быть пульмонологами?

Часть первая.

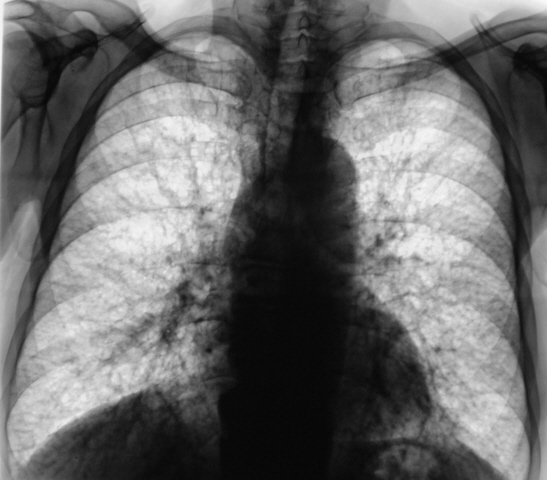
Пациент после расшифровки флюорограмм "был взят на контроль". Проведено дообследование.

Ермолаев аватар
Не на сайте
Был на сайте: 8 лет 10 месяцев назад
Зарегистрирован: 07.02.2009 - 16:33
Публикации: 670

Валентин Львович! Все таки нужен анамнез. Есть ли у пациента в анамнезе профвредность (шахтер, производство цемента и т.д.). На мой взгляд картина сходна с двумя заболеваниями: силикотуберкулез и легочной фиброз Хаммена-Рича.

dok

Катенёв Валентин Львович аватар
Не на сайте
Был на сайте: 7 лет 3 недели назад
Зарегистрирован: 22.03.2008 - 22:15
Публикации: 54876

Здравствуйте.

Профвредности никакой, разве, что раньше была очень вредная жена, житель сельской местности. Я думал о синдроме Хаммана-Рича. Вчера - кровохарканье.

Горохов С.А. аватар
Не на сайте
Был на сайте: 13 лет 4 недели назад
Зарегистрирован: 05.02.2009 - 21:48
Публикации: 23

Валентин Львович. Если учесть те крохи  анамнеза, которые  вы предоставили  я склоняюсь к  обострению  хронического бронхита.  А  вообще по  фтизитрам  вы  правы -  они  "берут"  от нас пациента только с  раскрученным  диагнозом. Даже  не смотря на  явные  признаки  ТБЦ по рентгенограмме.

нурдаулет аватар
Не на сайте
Был на сайте: 14 лет 4 месяцев назад
Зарегистрирован: 25.07.2009 - 09:18
Публикации: 1

Интересно а с какими жалобами он поступил?и сколько они его беспокоят(я начинающий пульмонолог).Если не ошибаюсь картина сотового легкого.Возможно ИФА,легкое фермера?

Андрей Юрьевич аватар
Не на сайте
Был на сайте: 2 недели 13 часов назад
Зарегистрирован: 16.11.2008 - 22:16
Публикации: 18098

Интересно-2. Коллега Нурдаулет, судя по терминологии Вы получили современное медицинское образование. Возможно также, что Вы работаете в России. Раъясните, пожалуйста, как расшифровывается ИФА, и чем легкое фермера отличается от легкого городского жителя.

В обмен могу рассказать, как расшифровывается КВДПУлыбается.

Андрей Юрьевич