Динамика

Пол пациента: 
Методы исследования: 

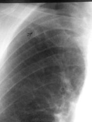
Мужчина 1952 г.р.Рентгенологическое исследование от 4.10.13. Жалоб не предъявлял. Выявлен при профосмотре.За предыдущие годы - норма.Рентгенкартина не впечатлила. Фиброз - он и в Африке

фиброз.Видали и похлестче. Может пневмонией переболел.

  • https://radiomed.ru/sites/default/files/styles/case_slider_image/public/user/19308/p200314_1147.jpg?itok=3y_gVhzz
  • https://radiomed.ru/sites/default/files/styles/case_slider_image/public/user/19308/p200314_111201.jpg?itok=nd9ggJMV
  • https://radiomed.ru/sites/default/files/styles/case_slider_image/public/user/19308/p200314_1020.jpg?itok=D3EVScxm
ID:36286
NIL аватар
NIL
Не на сайте
Был на сайте: 2 дня 21 час назад
Зарегистрирован: 25.11.2013 - 20:50
Публикации: 18203

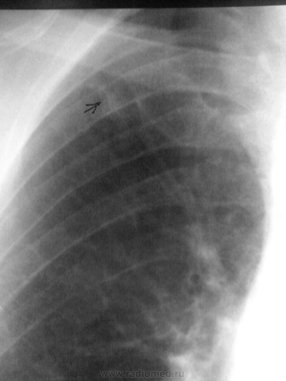
Но, так как изменения выявлены впервые, решила проконтролировать. Пригласила на рентгенконтроль через 3 месяца. Позже,но пришёл. Вот динамика.

Приложения: 
p200314_114701.jpgp200314_1148.jpgp200314_104902.jpgp200314_104903.jpgp200314_114801.jpgp200314_1149.jpg


"Слушай всех, прислушивайся к немногим, решай сам".©

atexta аватар
Не на сайте
Был на сайте: 2 года 10 месяцев назад
Зарегистрирован: 08.02.2014 - 18:41
Публикации: 4842

Вот это да !sad

Не нам судить…

svetlana292929 аватар
Не на сайте
Был на сайте: 3 года 8 месяцев назад
Зарегистрирован: 18.06.2012 - 13:53
Публикации: 869

о ужас!!!  Так что, периферический? или Тбц?

Сергей Кузьминов аватар
Не на сайте
Был на сайте: 1 год 1 неделя назад
Зарегистрирован: 06.10.2012 - 15:51
Публикации: 11813

Томограмм хочется.

Mila85 аватар
Не на сайте
Был на сайте: 3 года 1 месяц назад
Зарегистрирован: 15.03.2012 - 16:59
Публикации: 1790

Метастазы скорее. Для себя на работе на ФЛГ уяснила, что любая даже самая небольшая тень, возникшая внезапно после серии норм должна быть объяснена, "фиброз" обычно просто так в легких не появляется, так что правильно что на контроль взяли

NIL аватар
NIL
Не на сайте
Был на сайте: 2 дня 21 час назад
Зарегистрирован: 25.11.2013 - 20:50
Публикации: 18203

И к онкологу отправили.


"Слушай всех, прислушивайся к немногим, решай сам".©

GHN аватар
GHN
Не на сайте
Был на сайте: 9 лет 5 месяцев назад
Зарегистрирован: 23.11.2013 - 15:38
Публикации: 41

 Подскажите? Как поступать рентгенологу при обнаружении таких изменений (впервые выявленных, при отсутствии архива и возможности выполнить КТ), как на представленной рентгенограмме от 4.10.13г.? Контроль через 1,3 месяца?

sha_da аватар
Не на сайте
Был на сайте: 11 лет 8 месяцев назад
Зарегистрирован: 20.03.2014 - 21:25
Публикации: 3

Присоединяюсь к вопросу GHN. и еще,что в таком случае писать в заключении для леч.врача?

Nobody аватар
Не на сайте
Был на сайте: 11 лет 3 недели назад
Зарегистрирован: 15.03.2014 - 20:29
Публикации: 2013

NIL wrote:

...Рентгенкартина не впечатлила. Фиброз - он и в Африке фиброз.Видали и похлестче...

Прошу извинить. Совсем не фиброзная скиалогия... Дообследовать ведь можно было и раньше, то есть тогда. Но что уж теперь - процесс расцвёл... (по нашей вине) как всегда.(

"Лишь утратив всё до конца, мы обретаем свободу." F.C.

schlyapa аватар
Не на сайте
Был на сайте: 8 лет 1 неделя назад
Зарегистрирован: 27.09.2013 - 22:15
Публикации: 613

А почему не фиброзная?

Nobody аватар
Не на сайте
Был на сайте: 11 лет 3 недели назад
Зарегистрирован: 15.03.2014 - 20:29
Публикации: 2013

schlyapa wrote:
А почему не фиброзная?

Тени плотность не столь велика, чтобы фиброзом называться могла.)

Несмотря на невысокое качество снимков, смотрится тень как инфильтрат. А если немного поработать в цифре, то начинает маячить и тень за 7 ребром... Пропуск. Так бывает. Печально. Но факт...

"Лишь утратив всё до конца, мы обретаем свободу." F.C.

NIL аватар
NIL
Не на сайте
Был на сайте: 2 дня 21 час назад
Зарегистрирован: 25.11.2013 - 20:50
Публикации: 18203

К сожалению, это не цифра, а плёнка. Подработать не получается. Качество изображения ухудшилось ещё и при съемке телефоном.Часть изображений для демонстрации обработала в Фотошопе (инверсия -  негатив превращает в позитив)  В натуре на первых снимках всё выглядит вполне линейно и достаточно чётко, что и усыпило бдительность. Я себя не оправдываю. Но пусть мой пример будет другим наука.


"Слушай всех, прислушивайся к немногим, решай сам".©

Андрей Юрьевич аватар
Не на сайте
Был на сайте: 3 дня 19 часов назад
Зарегистрирован: 16.11.2008 - 22:16
Публикации: 18098

Хороший случай. Практический.

Андрей Юрьевич

Дмитрий Волегов аватар
Не на сайте
Был на сайте: 3 года 6 месяцев назад
Зарегистрирован: 22.05.2013 - 00:32
Публикации: 1148

Спасибо, NIL, за случай.

С Уважением, Дмитрий.

ЧЮГ аватар
Не на сайте
Был на сайте: 2 месяцев 3 недели назад
Зарегистрирован: 31.10.2012 - 15:10
Публикации: 414

Можем соглашаться или не соглашаться, но случай очень поучительный. Спасибо автору!

NIL аватар
NIL
Не на сайте
Был на сайте: 2 дня 21 час назад
Зарегистрирован: 25.11.2013 - 20:50
Публикации: 18203

GHN wrote:

 Подскажите? Как поступать рентгенологу при обнаружении таких изменений (впервые выявленных, при отсутствии архива и возможности выполнить КТ), как на представленной рентгенограмме от 4.10.13г.? Контроль через 1,3 месяца?

Если бы можно было время  повернуть вспять.Рентгенконтроль следовало назничить через 1 месяц. Пациента следовало проконсультировать у онколога и фтизиатра,тогда бы он на контроль явился в назначенный срок, как миленький. И всё сложилось бы иначе.


"Слушай всех, прислушивайся к немногим, решай сам".©

ren_gen аватар
Не на сайте
Был на сайте: 11 лет 1 месяц назад
Зарегистрирован: 30.10.2010 - 19:17
Публикации: 285

к сожалению никто не застрахован от ошибок, но имено они делают нас бдительней. спасибо за случай

ren_gen аватар
Не на сайте
Был на сайте: 11 лет 1 месяц назад
Зарегистрирован: 30.10.2010 - 19:17
Публикации: 285

GHN wrote:

 Подскажите? Как поступать рентгенологу при обнаружении таких изменений (впервые выявленных, при отсутствии архива и возможности выполнить КТ), как на представленной рентгенограмме от 4.10.13г.? Контроль через 1,3 месяца?

в самом начале рентгенологической деятельности меня учили так: при обнаружении изменений на флюораграмме, обязательно Рг-графия в 2 проекциях. а если на рентгенограммах изменения, то рекомендуйте КТ и консультацию фтизиатра, они обчно не упускают пациентов из вида, и находят когда надо, в отличии от терапевтов. снимки легких в 2-проекциях, даже профилактические!!!

atexta аватар
Не на сайте
Был на сайте: 2 года 10 месяцев назад
Зарегистрирован: 08.02.2014 - 18:41
Публикации: 4842

NIL wrote:

GHN wrote:

 Подскажите? Как поступать рентгенологу при обнаружении таких изменений (впервые выявленных, при отсутствии архива и возможности выполнить КТ), как на представленной рентгенограмме от 4.10.13г.? Контроль через 1,3 месяца?

Если бы можно было время  повернуть вспять.Рентгенконтроль следовало назничить через 1 месяц. Пациента следовало проконсультировать у онколога и фтизиатра,тогда бы он на контроль явился в назначенный срок, как миленький. И всё сложилось бы иначе.

NIL, спасибо за демонстрацию, поучительно. И все же не могу не высказаться. Только глаз рентгенолога определяет время контроля. Безусловно, все обсуждаемые последнее время случаи изменений в легких требуют дообследования сразу или через неделю. В данном случае (если тень выглядела линейно и тонко) могу признать, что поступила бы так же -контроль через 3-4 мес. Однако, даже при наличии добросовестного терапевта и своих архивов, не всегда возможно соблюсти желаемый срок контрольных исследований. Иногда к сожалению. А скорости процессов бывают разные (

Не нам судить…

Сольвейг аватар
Не на сайте
Был на сайте: 3 года 5 месяцев назад
Зарегистрирован: 05.02.2013 - 20:25
Публикации: 2239

NIL! Спасибо!

Nobody аватар
Не на сайте
Был на сайте: 11 лет 3 недели назад
Зарегистрирован: 15.03.2014 - 20:29
Публикации: 2013

NIL wrote:

К сожалению, это не цифра, а плёнка. Подработать не получается. Качество изображения ухудшилось ещё и при съемке телефоном.Часть изображений для демонстрации обработала в Фотошопе (инверсия -  негатив превращает в позитив)  В натуре на первых снимках всё выглядит вполне линейно и достаточно чётко, что и усыпило бдительность. Я себя не оправдываю. Но пусть мой пример будет другим наука.

Один мой бывший учитель как-то любил называть нас теневиками. Если задуматься на минуту, то есть в слове этом толика правды. Тени нашли, нужно их описать. А чтобы они находились, другой учитель, получше который, нам завещал придерживаться некоторых правил. Касается это именно плёночных снимков. Он с именно с ними работал и для нас методики разработал. Например, смотреть на нежную тень под углом, прозрачную плёнку по снимку перемещать, чтобы что скрыто сначала, стали мы замечать. Отметил он утомляемость глаз при длительном взгляде на снимок, отметил влияние незашторенной части негатоскопа на зрительное восприятие и ловлю глазом всяческих бяк... Говорил, что не нужно видеть только одну патологию, а следует анализировать снимок как есть, целиком. Если опытный взгляд что-то кольнуло, к снимку следует непременно вернуться. Писать заключение нужно не торопясь. Лучше, когда прошлись глазами по снимку раз ...-дцать!))

А насчёт мелких изменений лёгочного рисунка на старых страницах нашёл пару пунктов...

Смотрите, читайте, помните, не забывайте. Напутствие учителя пусть будет с нами, будем лучше работать своим инструментом глазо-мозгами!))

Приложения: 
cancer.jpglitra.jpgro.jpg

"Лишь утратив всё до конца, мы обретаем свободу." F.C.

NIL аватар
NIL
Не на сайте
Был на сайте: 2 дня 21 час назад
Зарегистрирован: 25.11.2013 - 20:50
Публикации: 18203

Спасибо!. Впечатляет

Приложения: 
ro.jpg


"Слушай всех, прислушивайся к немногим, решай сам".©

Nikolas аватар
Не на сайте
Был на сайте: 1 месяц 3 недели назад
Зарегистрирован: 21.12.2010 - 20:37
Публикации: 4559

а в списке литературы один из источников датируется 1997 годом? Текст на первом листе какого года?

Nikolas аватар
Не на сайте
Был на сайте: 1 месяц 3 недели назад
Зарегистрирован: 21.12.2010 - 20:37
Публикации: 4559

Окончательный диагноз известен Вам? Выдвигалась версия о метастазах.

NIL аватар
NIL
Не на сайте
Был на сайте: 2 дня 21 час назад
Зарегистрирован: 25.11.2013 - 20:50
Публикации: 18203

Уважаемый Nikolas. Пациент ещё не вернулся из онкодиспасера. Сама жду результата с трепетом. Когда мне станет что-нибудь известно, обязательно сообщу.


"Слушай всех, прислушивайся к немногим, решай сам".©

Nobody аватар
Не на сайте
Был на сайте: 11 лет 3 недели назад
Зарегистрирован: 15.03.2014 - 20:29
Публикации: 2013

Nikolas wrote:

а в списке литературы один из источников датируется 1997 годом? Текст на первом листе какого года?

Николас, умение анализировать - это хорошо. А сопоставлять - лучше.) Ведь я фото не одной методички привёл в том сообщении. Подпись Автора, как напутствие, привёл, из другой. Какой? Отвечаю. Вам. "Психологические причины рентгенодиагностических ошибок". Год какой? Отвечаю, 1992.)    Вы, кстати, коллега, так и не ответили про признаки пневмонии алкогольной... Которую цитируемый Вами учёный давно заприметил. И, наверняка, описал. То была другая ветка. Но Вам, как архивариусу, она, должно быть, видна.) До встречи в той ветке, отыщется если она.)

"Лишь утратив всё до конца, мы обретаем свободу." F.C.