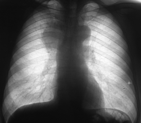
Пол пациента: Мужской пол Тип патологии: Злокачественное новообразование Область исследования: Грудная клетка и верхние дыхательные пути Методы исследования: Rg При расшифровке цифровых флюорограмм пациент взят на контроль. Приводится цифровая флюорограмма и фрагмент с увеличением изображения. Ваше мнение коллеги? Пт, 26/06/2009 - 19:45 #1 Ермолаев Не на сайте Был на сайте: 8 лет 10 месяцев назад Зарегистрирован: 07.02.2009 - 16:33 Публикации: 670 Валентин Львович! Пожалуйста, выложите боковой снимок, если таковой имеется. Объемное образование средостения. Важно в дифдиагностике, какая локализация. Переднее или заднее средостение. dok Пт, 26/06/2009 - 19:57 #2 Катенёв Валенти... Не на сайте Был на сайте: 7 лет 2 недели назад Зарегистрирован: 22.03.2008 - 22:15 Публикации: 54876 Рентгенография и томография. Пт, 26/06/2009 - 20:15 #3 Ермолаев Не на сайте Был на сайте: 8 лет 10 месяцев назад Зарегистрирован: 07.02.2009 - 16:33 Публикации: 670 Валентин Львович! Виноват, образование внутри легочное (правило Ленка). Контуры неровные, нечеткие, "лучистые". Выражена дорожка к корню легкого. Объем? dok Пнд, 29/06/2009 - 14:57 #4 Катенёв Валенти... Не на сайте Был на сайте: 7 лет 2 недели назад Зарегистрирован: 22.03.2008 - 22:15 Публикации: 54876 Пациента прооперировали. Предварительно рак лёгкого. Произвели правостороннюю пульмонэктомию.
Валентин Львович! Пожалуйста, выложите боковой снимок, если таковой имеется. Объемное образование средостения. Важно в дифдиагностике, какая локализация. Переднее или заднее средостение.
dok
Рентгенография и томография.
Валентин Львович! Виноват, образование внутри легочное (правило Ленка). Контуры неровные, нечеткие, "лучистые". Выражена дорожка к корню легкого. Объем?
dok
Пациента прооперировали. Предварительно рак лёгкого. Произвели правостороннюю пульмонэктомию.