фистулография

Пол пациента: 
Тип патологии: 
Область исследования: 
Методы исследования: 

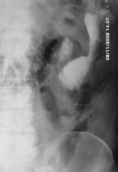
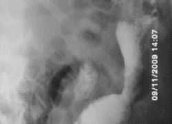
 помогите разобраться имеется ли свищ толстой кишки

200.FIST_.jpg
200.FIST_.jpg
201.FIST_.jpg
201.FIST_.jpg

 

 

 

 

 

 

 

 

 

 

 

 

202.FIST_.jpg
202.FIST_.jpg
203.FIST_..jpg
203.FIST_..jpg

 

 

ВложениеРазмер
Иконка изображения 200.FIST_.jpg84.36 КБ
Иконка изображения 201.FIST_.jpg115.78 КБ
Иконка изображения 202.FIST_.jpg144.72 КБ
Иконка изображения 203.FIST_..jpg91.5 КБ
Катенёв Валентин Львович аватар
Не на сайте
Был на сайте: 7 лет 2 недели назад
Зарегистрирован: 22.03.2008 - 22:15
Публикации: 54876

Нужны, хоть минимальные "клинические пояснения".

Анатолий Владимирович Шумаков аватар
Не на сайте
Был на сайте: 7 лет 10 месяцев назад
Зарегистрирован: 16.10.2009 - 21:16
Публикации: 1941

Как представляекся - оперативное вмешательство на желудке? Сейчас контрастной вещество в основном контрастировало развитую систему свищевых ходов в левом поддиафрагмаальном пространстве. Считаю, что сообщение с просветом поперечной ободочной кишки есть, но основная масса контрастного вещества располагается рядом с нисходящей кишкой. Доказательств  сообщения ходов с протоками панкреас не видно, но она в таких ситуациях принимает участие очень часто... Попытался бы применять встречное контрастирование - все повторить совместно с ирригоскопией, но гарантии в таких случаях не даст никто. Ищи - свищи....

sara аватар
Не на сайте
Был на сайте: 8 лет 3 недели назад
Зарегистрирован: 23.11.2009 - 16:42
Публикации: 2

 Оперативное вмешательство  в октябре 2009г по поводу гемангиомы левой доли печени в объме резекции левой доли печени и хвоста поджелудочной железы, дренирование поддиафрагмального пространства. Сброса воздуха по дренажу никогда не отмечала.