Флг

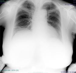
Пациентка 1945 г.р. Флг для ВТЭК, жалоб особых нет, температура нормальная, дыхание свободное. Архив от 2010 - без особенностей. В начале апреля 2014 г АКШ, согласно выписке R перед операцией - без особенностей, после операции - отмечалось высокое стояние пр купола диафрагмы. Самих снимков нет. Дисковидный ателектаз в S9 справа, тень с четкой верхней границей (в медиальных её отделах) над диафрагмой на прямом - признаки гиповентиляции? Или тень - плевральные наложения? Требуется ли контроль\дообследование?

  • https://radiomed.ru/sites/default/files/styles/case_slider_image/public/user/18954/pr00001_1_0.jpg?itok=82WNJ_GS
  • https://radiomed.ru/sites/default/files/styles/case_slider_image/public/user/18954/bok00001_0.jpg?itok=muQjupBX
  • https://radiomed.ru/sites/default/files/styles/case_slider_image/public/user/18954/bok00001_1_0.jpg?itok=H1tAtLft
ID:46468
Андрей Юрьевич аватар
Не на сайте
Был на сайте: 1 неделя 12 часов назад
Зарегистрирован: 16.11.2008 - 22:16
Публикации: 18098

schlyapa wrote:
... тень с четкой верхней границей (в медиальных её отделах) над диафрагмой на прямом - признаки гиповентиляции? ...

Очертите, пожалуйста.

Андрей Юрьевич

NIL аватар
NIL
Не на сайте
Был на сайте: 1 день 6 часов назад
Зарегистрирован: 25.11.2013 - 20:50
Публикации: 18206

Состояние после стернотомии.Линейная тяжистость в нижней доле справа( фиброз). Релаксация правого купола диафрагмы.( Дообследование не требуется).


"Слушай всех, прислушивайся к немногим, решай сам".©

Сергей Кузьминов аватар
Не на сайте
Был на сайте: 1 год 2 недели назад
Зарегистрирован: 06.10.2012 - 15:51
Публикации: 11813

Не нахожу ателектаза.Фиброз.

schlyapa аватар
Не на сайте
Был на сайте: 8 лет 1 неделя назад
Зарегистрирован: 27.09.2013 - 22:15
Публикации: 613

Андрей Юрьевич wrote:

schlyapa wrote:
... тень с четкой верхней границей (в медиальных её отделах) над диафрагмой на прямом - признаки гиповентиляции? ...

Очертите, пожалуйста.

Приложения: 
pr00001_2.jpg
Андрей Юрьевич аватар
Не на сайте
Был на сайте: 1 неделя 12 часов назад
Зарегистрирован: 16.11.2008 - 22:16
Публикации: 18098

Нет, тут нечего дообследовать. Высокое стояние правого купола отмечалось и после операции

Андрей Юрьевич

schlyapa аватар
Не на сайте
Был на сайте: 8 лет 1 неделя назад
Зарегистрирован: 27.09.2013 - 22:15
Публикации: 613

А все-таки, чем обусловлена тень с указанной красным верхней границей?

NIL аватар
NIL
Не на сайте
Был на сайте: 1 день 6 часов назад
Зарегистрирован: 25.11.2013 - 20:50
Публикации: 18206

schlyapa wrote:
А все-таки, чем обусловлена тень с указанной красным верхней границей?

Я считаю, плевродиафрагмальной швартой ( гляньте на боковой. Или стрелку рисовать?)


"Слушай всех, прислушивайся к немногим, решай сам".©

Андрей Юрьевич аватар
Не на сайте
Был на сайте: 1 неделя 12 часов назад
Зарегистрирован: 16.11.2008 - 22:16
Публикации: 18098

ХЗ, скиалогия какая-то, может организовавшаяся жидкость в междолевой щели.

Андрей Юрьевич

schlyapa аватар
Не на сайте
Был на сайте: 8 лет 1 неделя назад
Зарегистрирован: 27.09.2013 - 22:15
Публикации: 613

NIL wrote:

 

Я считаю, плевродиафрагмальной швартой ( гляньте на боковой. Или стрелку рисовать?)

 

Вы про №1?

А меня смущает тень №2 - по-моему, это не очень похоже на фиброз.

Приложения: 
bok00001_3.jpg
Сольвейг аватар
Не на сайте
Был на сайте: 3 года 5 месяцев назад
Зарегистрирован: 05.02.2013 - 20:25
Публикации: 2239

schlyapa wrote:
А все-таки, чем обусловлена тень с указанной красным верхней границей?
Это вполне может оказаться жидкость с заходом в нижние отделы главной м/долевой щели, уже осумкованная,и в малом количестве. Базальные сегменты поджаты( дисков. ателектаз) -горизонт. тень. Со временем все рассосется.Но купол останется высоким, если не "раздышится".При R-контроле все увидите.

NIL аватар
NIL
Не на сайте
Был на сайте: 1 день 6 часов назад
Зарегистрирован: 25.11.2013 - 20:50
Публикации: 18206

Да. я про №1. А №2 - разгул фантазии


"Слушай всех, прислушивайся к немногим, решай сам".©