Флюорографические будни.

Пол пациента: 
Тип патологии: 
Методы исследования: 

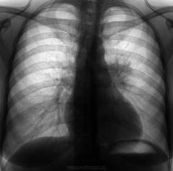
Такая флюшка, 30 лет,  архива нет, про жалобы не заявила (обычно лаборанты такое фиксируют), стало быть профилактическая. Что делать?

ID:18850
nastyachel аватар
Не на сайте
Был на сайте: 7 лет 11 месяцев назад
Зарегистрирован: 17.01.2012 - 17:17
Публикации: 43

обследовать надо

nastyachel аватар
Не на сайте
Был на сайте: 7 лет 11 месяцев назад
Зарегистрирован: 17.01.2012 - 17:17
Публикации: 43

боковой снимок, томограммы

kotanka аватар
Не на сайте
Был на сайте: 13 лет 10 месяцев назад
Зарегистрирован: 10.02.2012 - 16:42
Публикации: 15

на рентген ее - боковой, томограммы, КТ - при необходимости 

Игорь Иванович аватар
Не на сайте
Был на сайте: 3 года 9 месяцев назад
Зарегистрирован: 23.01.2010 - 14:56
Публикации: 3695

Сделали боковуху + пациентка под "пытками" рассказала, что немного ранее было недомагание, кашель, t. Сейчас состояние сносное. Все и прояснилось, S6.  А по прямому можно придумать бог весть что.

Приложения: 
1982g.r.10.02.2012g.lev_._bok.jpg
И.Бондаренко аватар
Не на сайте
Был на сайте: 2 дня 19 часов назад
Зарегистрирован: 13.09.2011 - 22:55
Публикации: 9206

Я думаю, что здесь нужна помощь друга - фтизиатра. Но и о другом надо подумать и лучше дообследовать.

Евгений1313 аватар
Не на сайте
Был на сайте: 13 лет 6 дней назад
Зарегистрирован: 15.10.2010 - 19:13
Публикации: 808

Наверное туберкулёз( С6).

Бородулин М.А. аватар
Не на сайте
Был на сайте: 9 месяцев 1 неделя назад
Зарегистрирован: 17.02.2011 - 01:10
Публикации: 1409

Игорь Иванович wrote:

Сделали боковуху + пациентка под "пытками" рассказала, что немного ранее было недомагание, кашель, t. Сейчас состояние сносное. Все и прояснилось, S6.  А по прямому можно придумать бог весть что.

enlightenedyes

Контроль через 10 дней.

Nikolas аватар
Не на сайте
Был на сайте: 1 месяц 3 недели назад
Зарегистрирован: 21.12.2010 - 20:37
Публикации: 4559

сколько угодно и о чём угодно в том случае, если мы будем знать, что увидим контроль.  Изложу  все-таки свою точку зрения ради пациентки. У  больной имеет место туберкулез внутригрудных лимфатических узлов левой бронхопульмональной группы, бронхолёгочное поражение S6. Брохоскопия в ПТД . Пробное лечение антибиотками не оправдано.

Игорь Иванович аватар
Не на сайте
Был на сайте: 3 года 9 месяцев назад
Зарегистрирован: 23.01.2010 - 14:56
Публикации: 3695

Не стал заморачиваться в отношении корня, посчитал инфильтрация в S6 наложилась на него. Написал пневмонию. Не знаю, где будет лечится. Если у нас и будет на контроле - обязательно выставлю.

Катенёв Валентин Львович аватар
Не на сайте
Был на сайте: 7 лет 2 недели назад
Зарегистрирован: 22.03.2008 - 22:15
Публикации: 54876

Но "глаз" за шестерку цепляется...

Приложения: 
1.shesterka.1982g.r.10.02.jpg2.shesterka.1982g.r.10.02.2012g.jpg3.shesterka.1982g.r.10.02.2012g.lev_.jpg