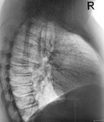
Флюшка, "тень на фоне ребра", сделали контроль..., и вот, в смущении...

Пол пациента: 
Тип патологии: 
Методы исследования: 

Флюшка, "тень на фоне ребра", сделали контроль..., и вот, в смущении...

  • https://radiomed.ru/sites/default/files/styles/case_slider_image/public/user/12/2.pc080006.jpg?itok=VPCb_RKj
  • https://radiomed.ru/sites/default/files/styles/case_slider_image/public/user/12/3.pc080007.jpg?itok=9nDZVFwD
  • https://radiomed.ru/sites/default/files/styles/case_slider_image/public/user/12/4.pc080008.jpg?itok=n3gVmNFT
  • https://radiomed.ru/sites/default/files/styles/case_slider_image/public/user/12/5.pc080008a.jpg?itok=-a3H0vmh
  • https://radiomed.ru/sites/default/files/styles/case_slider_image/public/user/12/6.pc080009.jpg?itok=21P-7JHo
  • https://radiomed.ru/sites/default/files/styles/case_slider_image/public/user/12/7.pc080009a.jpg?itok=mCKTC-zT
ID:17372
Nikolas аватар
Не на сайте
Был на сайте: 1 месяц 3 недели назад
Зарегистрирован: 21.12.2010 - 20:37
Публикации: 4559

округлой формы с распадом, глядя на представленные снимки. См. рисунок. Nikolas

Наталия Васильевна аватар
Не на сайте
Был на сайте: 5 лет 8 месяцев назад
Зарегистрирован: 25.09.2011 - 09:02
Публикации: 754

Ничего не понимаю, Валентин Львович, где томограммы? Вы нас так балуете ими, что при таком (!) кругляше их нет? А вообще-то где он на боковом? И не сделать ли косой прицел? Может быть, чем Бог не шутит, такой остеосклероз? конечно, сильно тянет на образование в легком-ТВС, опухоль.

Катенёв Валентин Львович аватар
Не на сайте
Был на сайте: 7 лет 2 недели назад
Зарегистрирован: 22.03.2008 - 22:15
Публикации: 54876

Да, на боковом, лазил, лазил, не нашел. Сделал пару срезов в прямой проекции, но тень - "йок"...

И.Бондаренко аватар
Не на сайте
Был на сайте: 1 день 15 часов назад
Зарегистрирован: 13.09.2011 - 22:55
Публикации: 9206

Больше похоже ,что не ребре эта тень. Опять же лучше на скопии посмотреть.

Катенёв Валентин Львович аватар
Не на сайте
Был на сайте: 7 лет 2 недели назад
Зарегистрирован: 22.03.2008 - 22:15
Публикации: 54876

Самое плохое, то, что за месяц до сенгодняшних событий, как мы выцепили пациентку по "флюшке", она по поводу пневмонии в соседнем районе в платной клинике "прошла" рентгенографии, и там была норма. Как правило, пациенты, с "определенным положением", в таких случаях начинают пускать "пузыри" и лепить угрозы, да еще и оскорблять. Но, у моих лаборантов уже давно выработалась невосприимчивость к подобному, так как "сие" встречается довольно часто и, мы, все одно не обращая на - "да, я Вас", сделали два среза в боковой проекции.

Катенёв Валентин Львович аватар
Не на сайте
Был на сайте: 7 лет 2 недели назад
Зарегистрирован: 22.03.2008 - 22:15
Публикации: 54876

Первый срез.

Приложения: 
1.pc080010.jpg1.pc080014.jpg2.pc080012.jpg3.pc080012a.jpg4.pc080013.jpg5.pc080013a.jpg
Наталия Васильевна аватар
Не на сайте
Был на сайте: 5 лет 8 месяцев назад
Зарегистрирован: 25.09.2011 - 09:02
Публикации: 754

Платность-не всегда порядочность, хотя снимки на руки дать должны были. И чего лечить будем: ТВС или периферию? И то, и другое с элементами распада. Хотя по локализации больше к ТВС.

Катенёв Валентин Львович аватар
Не на сайте
Был на сайте: 7 лет 2 недели назад
Зарегистрирован: 22.03.2008 - 22:15
Публикации: 54876

Второй срез.

Приложения: 
1.pc080015.jpg2.pc080016.jpg3.pc080017.jpg4.pc080017a.jpg5.pc080018.jpg6.pc080018a.jpg
Наталия Васильевна аватар
Не на сайте
Был на сайте: 5 лет 8 месяцев назад
Зарегистрирован: 25.09.2011 - 09:02
Публикации: 754

Я че то ничего не понимаю-что за перстенек? какую пневмонию ей лечили или грибы собирали?

Катенёв Валентин Львович аватар
Не на сайте
Был на сайте: 7 лет 2 недели назад
Зарегистрирован: 22.03.2008 - 22:15
Публикации: 54876

Мы, сегодня с коллегой фтизиатром, в конце рабочего дня врубились в скиалогию, решили (для себя), что кругляш "мягкая" туберкулома, так как на второй томограмме в окружаюшей легочной ткани узрели очаговые тени. Решили эту "Высокую мадаму" направить на консультацию в ОПТД, а там её, возможно, покрутят и не только в векторе "Величества".

Almo аватар
Не на сайте
Был на сайте: 1 час 51 минут назад
Зарегистрирован: 28.09.2008 - 18:50
Публикации: 8249

Больше данных за туберкулому, но не исключается и периферический рак лёгкого.

zozo аватар
Не на сайте
Был на сайте: 13 лет 12 месяцев назад
Зарегистрирован: 09.12.2011 - 22:12
Публикации: 19

сколько лет человеку?

Катенёв Валентин Львович аватар
Не на сайте
Был на сайте: 7 лет 2 недели назад
Зарегистрирован: 22.03.2008 - 22:15
Публикации: 54876

54 года.