Интересная история со всевозможными реверансами.
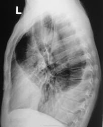
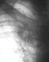
Зацепили по "флюшке"...
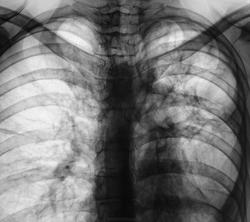
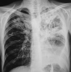
Было высказано продположение о наличии специфического процесса. Была рекомендована консультация фтизиатра. Однако, обстоятельства распорядились в другом векторе. Пациент был госпитализирован в хирургическое отделение был пунктирован, проведено противовоспалительное лечение... и через две недели был назначен рентген-контроль.
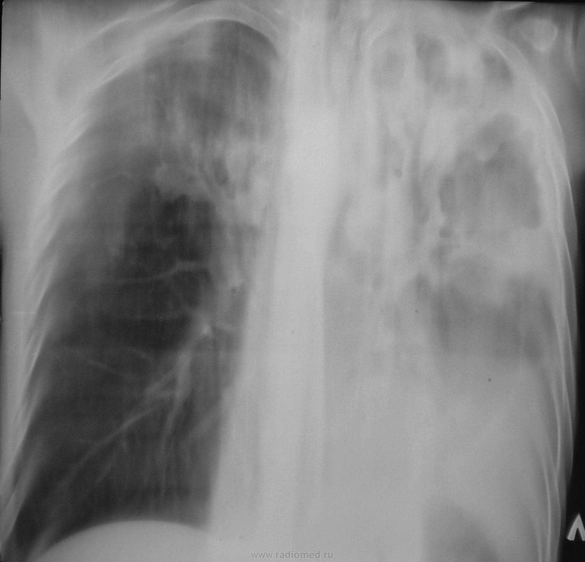
После проведенного исследования вновь, повторно была рекомендована консультация фтизиатра. Однако, фтизиатры патологию своей не признали.
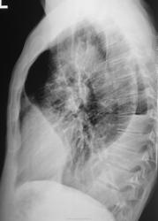
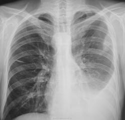
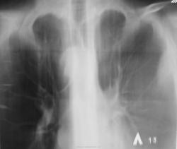
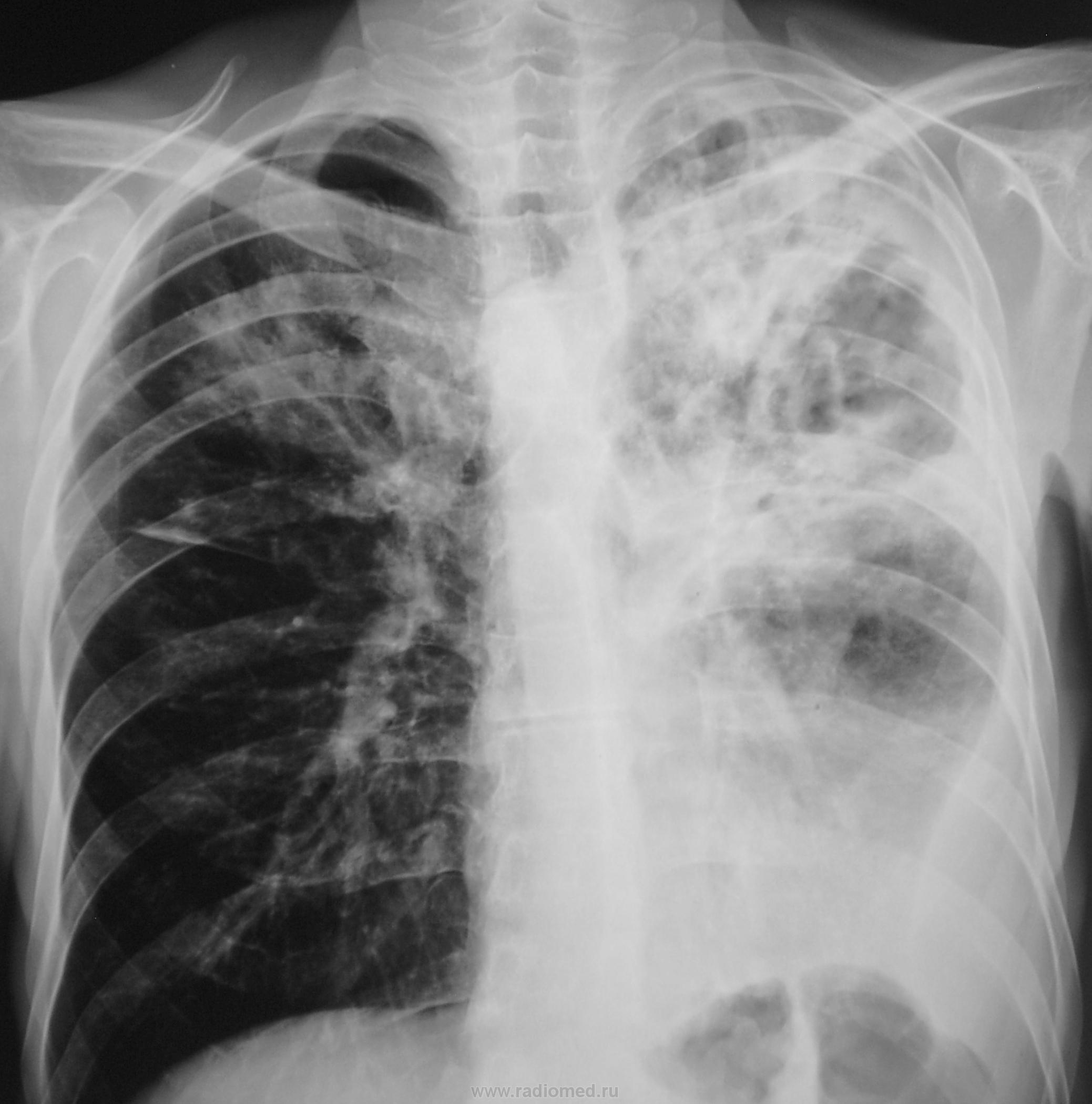
Прошел год, пациент значительно потерял в весе, температура около 38 градусов, кашель с мокротой и был доставлен в рентгеновский кабинет на носилках.
"Ой"! Воскликнули фтизиатры, это наше! На носилках пациент был срочно госпитализирован в областную туб больницу в тяжелом состоянии. Лечение, со слов фтизиатров, было не легким, так сказать - "на грани", пациент был прооперирован.
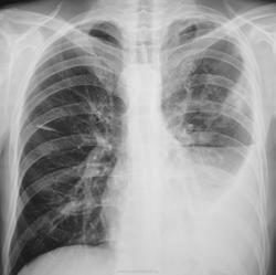
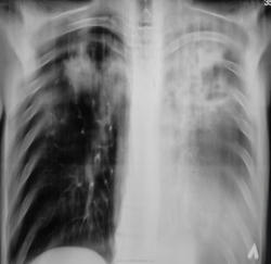
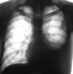
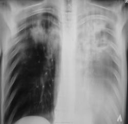
Через пол года после выписки из облтуббольницы.
Через год плановое исследование.
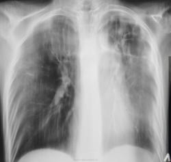
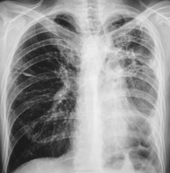
Через 8 месяцев пациент "простыл" и был направлен терапевтом на "флюшку" по поводу пневмонии, почему, именно, на флюорографию, ибо, состоит на учете у фтизиатра, совсем не понятно.
Коллеги, вместе с фтизиатром решили пролечить пневмонию в условиях отделения общего профиля.
Лечили интенсивно две недели. Итог лечения ниже.
Пацент направлен в облтуббольницу.
Гимн, на сегодня, закончен.
- https://radiomed.ru/sites/default/files/styles/case_slider_image/public/user/12/1.p6140014.jpg?itok=NlAnhBsk
- https://radiomed.ru/sites/default/files/styles/case_slider_image/public/user/12/2.p6140015.jpg?itok=a74Bw4TP
- https://radiomed.ru/sites/default/files/styles/case_slider_image/public/user/12/3.p6140016.jpg?itok=8Ho9SVCt
- https://radiomed.ru/sites/default/files/styles/case_slider_image/public/user/12/1.p6140017.jpg?itok=kiPWWkcR
- https://radiomed.ru/sites/default/files/styles/case_slider_image/public/user/12/2.p6140018.jpg?itok=2TyxH0jR
- https://radiomed.ru/sites/default/files/styles/case_slider_image/public/user/12/3.p6140019.jpg?itok=4hqgkXRe
- https://radiomed.ru/sites/default/files/styles/case_slider_image/public/user/12/4.p6140019a.jpg?itok=J75dgHOv
- https://radiomed.ru/sites/default/files/styles/case_slider_image/public/user/12/5.p6140019ab.jpg?itok=9-5Xt9lO
- https://radiomed.ru/sites/default/files/styles/case_slider_image/public/user/12/1.p6140020_0.jpg?itok=9DXWXCr3
- https://radiomed.ru/sites/default/files/styles/case_slider_image/public/user/12/2.p6140021_0.jpg?itok=eEKTRcYM
- https://radiomed.ru/sites/default/files/styles/case_slider_image/public/user/12/3.p6140021a_0.jpg?itok=oqwP3lIc
- https://radiomed.ru/sites/default/files/styles/case_slider_image/public/user/12/4.p6140022_0.jpg?itok=oXQWJl81
- https://radiomed.ru/sites/default/files/styles/case_slider_image/public/user/12/5.p6140022a_0.jpg?itok=503tpwDa
- https://radiomed.ru/sites/default/files/styles/case_slider_image/public/user/12/1.p6140023.jpg?itok=xbZ8vVwI
- https://radiomed.ru/sites/default/files/styles/case_slider_image/public/user/12/2.p6140024.jpg?itok=t5eOhU24
- https://radiomed.ru/sites/default/files/styles/case_slider_image/public/user/12/1.p6140025.jpg?itok=sbpJibcE
- https://radiomed.ru/sites/default/files/styles/case_slider_image/public/user/12/2.p6140026.jpg?itok=LzV2gTNG
- https://radiomed.ru/sites/default/files/styles/case_slider_image/public/user/12/1.p6140029a.jpg?itok=VIyyErqn
- https://radiomed.ru/sites/default/files/styles/case_slider_image/public/user/12/2.p6140030e.jpg?itok=pf8PgJY_
- https://radiomed.ru/sites/default/files/styles/case_slider_image/public/user/12/3.p6140030b.jpg?itok=D-EqQPSm
- https://radiomed.ru/sites/default/files/styles/case_slider_image/public/user/12/4.p6140030bk.jpg?itok=_hWmMCwS
- https://radiomed.ru/sites/default/files/styles/case_slider_image/public/user/12/1.p6140033.jpg?itok=potDdWog
- https://radiomed.ru/sites/default/files/styles/case_slider_image/public/user/12/2.p6140033a.jpg?itok=u_pCZtWs
- https://radiomed.ru/sites/default/files/styles/case_slider_image/public/user/12/3.p6140033sh.jpg?itok=oJGRGMgI
- https://radiomed.ru/sites/default/files/styles/case_slider_image/public/user/12/4.p6140033sha.jpg?itok=JoRJDqKt
Вчера дал консультацию на сайте по поводу выпота. Ваше наблюдение ещё раз подтверждает, что всякий плеврит у лиц 18-45 лет требует исключения специфической природы. Просто катастрофа в подготовке врачей в отношении диагностики выпотов в плевральную полость.
Мда.. Сколько помню из торакальной хирургии.. у молодых людей (приходилось пунктировать), с рецидивными выпотными плевритами, в последующем как правило, подтверждалась туберкулезная этиология, при первоначально отрицательных анализах плевральной жидкости и мокроты на БК. Терапевты и фтизиатры отрицают туб .этиологию до последнего ...
решают всё.
мне вот интересно А - чем таки это признали фтизиатры вначале
Б - куда пропал недолеченный пациент на год и почему его никто не искал (в частности те кто проводил последний контроль)
халатность...
Не ограничивайте свою мысль
Живешь пока учишься
Ecrasez l’infame
Вы совершенно правы уважаемая коллега!
Случай не зря озаглавлен так - "Гимн палке". Возникает закономерный вопрос, сколько, благодаря упертости некоторых терапевтов и фтизиатров, стоящих до "последнего", пользующих подобных пациентов в отделениях общего профиля, или месяцами, наблюдая их амбулаторно, сколько граждан инфицировано подобными "сеятелями".
Есть и другой вопрос, а сколько усилий фтизиатров, а возможно и диспансеров, сведено на нет благодаря таким "сеятелям" и "упертым", и совершенно смешными становятся ВСЕ, проводимые мероприятия по поводу "борьбы с туберкулёзом".
По всей видимости, такое положение будет существовать до тех пор, пока отдельные фтизиатры не поменяют лозунг - "От себя", на лозунг - "На себя"...
Никуда он не пропадал, жил в своей селухе. А те, кто провели контроль (об этом упомянуто выше), рекомендовали консультацию фтизиатра, и фтизиатр консультировал, но своим не признал.
А, что такое халатность?
у нас такой лозунг уже работает (иногда правда вызывая негодование пациентов). Все более менее подозрительные пневмонии проходят через ПТД. Инфильтрации со скудной клиникой сразу получают путевку.
Не ограничивайте свою мысль
Живешь пока учишься
Ecrasez l’infame
В соответствии с действующим Уголовным кодексом РФ (ст. 293), под халатностью понимается неисполнение или ненадлежащее исполнение должностным лицом своих обязанностей вследствие недобросовестного или небрежного отношения к службе, если это повлекло причинение крупного ущерба, то есть ущерба, сумма которого превышает сто тысяч рублей. Наказание усиливается в случае причинения по неосторожности тяжкого вреда здоровью или смерти человека.
Не ограничивайте свою мысль
Живешь пока учишься
Ecrasez l’infame
Пока, что работает лозунг - "МБТ+" - наш, а вот если МБТ-, то все становится призрачным в этом мире бушующем.
не признал своим фтизиатр - хорошо лечение и повторный контроль после лечения. А не рекомендовано консультация фтизиатра и до свидания.
Не ограничивайте свою мысль
Живешь пока учишься
Ecrasez l’infame
Вы шутить изволите?
Этим должен заниматься рентгенолог?
И лечить рентгенолог должен, и вызывать на повторный контроль тоже рентгенолог?
лечить нет, на контроль у нас по крайней мере да. заводится на каждого пациента карточка и пока либо он не будет принят в ПТД на лечение либо не излечится по нашим данным мы его ведем, вызваниваем ищем по квартирной помощи и тд.)) достаем вопчем)
Не ограничивайте свою мысль
Живешь пока учишься
Ecrasez l’infame
Вопрос спорный, особенно, когда работаешь в стационаре, а к тебе приходит на прием амбулаторный пациент. А что касается плевритов-сейчас много плевритов без поражения легочной ткани, а вот поражение плевры встречается. Но...лечение проводится, а на учет ставить не хотят. Дело в том, что эти самые "просянные зернышки", которые видят торакальщики при операциях, крайне редко сеются с положительным результатом. А насчет "халатности"? Чья вина в данном случае? Что такое врачебная ошибка? И есть в ПТД контроль над пациентами, о котором зашла речь выше?
Этим должен заниматься или участковый терапевт, или семейный врач, или врач ВОПа, по "территории" - кому ведать надлежит, ну иж никак не сотрудники рентгеновской службы.
Да и вызванивать, и интересоваться должны вышеуказанные категории специалистов, не даром у некоторых по регламенту две м.с.
А. карточка, которую Вы заводите, что на все виды патологии - туберкулёз, онкология, часто и длительно болеющие, с пневмокониозами и пр.?
Да, такое имеет место быть..., очень интересная практика.
Как бывший терапевт могу сказать, что лечить что-то в верхних отделах больше 2 недель без динамики - сразу речь о спецпроцессе. К фтизиатру и точка.
карточка одна, но она ложится в специальные коробочки по разделам и алфавиту)) Когда вопрос разрешается переносится в коробочку с реконвалесцентами. Вот такая порочная практика...
Не ограничивайте свою мысль
Живешь пока учишься
Ecrasez l’infame
Еще одно печальное наблюдение.