Удивляться не чему, когда идет интравазальное контрастирование, это должно только "напрягать". Все перед Вашими глазами, гадать не стоит, а вот рекомендации бы не помешали!
"Знаешь, у некоторых врачей есть комплекс мессии — им необходимо спасать мир. А у тебя комплекс Рубика — тебе необходимо решать головоломки."
Удивляться не чему, когда идет интравазальное контрастирование, это должно только "напрягать". Все перед Вашими глазами, гадать не стоит, а вот рекомендации бы не помешали!
Я видела такое впервые, поэтому и удивилась. Даже хирурга-гинеколога попросила посмотреть. От него узнала, что такое осложнение встречается довольно часто. Можно уточнить рекомендации?
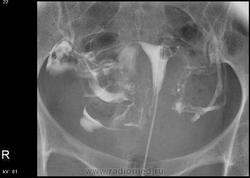
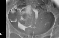
С учетом представленных нескольких снимков по интервалу времени, а следовало делать отсроченный, складывается впечатления о дефекте наполнения контрастного вещества дна матки, да и левая труба четко не законтрасирвона и контраста нет свободно распределяющегося в брюшной полости, из этого следует делать вывод по Вашим снимкам либо это следствие наличие пузырьков воздуха(а перед исследованием врач-гинеколог выпускет свободный воздух в шприце с контрастным веществом), либо это следствие образования матки или яичника и минимум после Вашего исследования надо проводить УЗИ-малого таза.
"Знаешь, у некоторых врачей есть комплекс мессии — им необходимо спасать мир. А у тебя комплекс Рубика — тебе необходимо решать головоломки."
В заключении написала, что левая труба непроходима. Дефект наполнения посчитала за воздух, такую картину вижу уже не в первый раз. УЗИ сделано несколько раз перед исследованием (в разные дни цикла), без патологии.
С учетом представленных нескольких снимков по интервалу времени, а следовало делать отсроченный, складывается впечатления о дефекте наполнения контрастного вещества дна матки, да и левая труба четко не законтрасирвона и контраста нет свободно распределяющегося в брюшной полости, из этого следует делать вывод по Вашим снимкам либо это следствие наличие пузырьков воздуха(а перед исследованием врач-гинеколог выпускет свободный воздух в шприце с контрастным веществом), либо это следствие образования матки или яичника и минимум после Вашего исследования надо проводить УЗИ-малого таза.
В заключении написала, что левая труба непроходима. Дефект наполнения посчитала за воздух, такую картину вижу уже не в первый раз. УЗИ сделано несколько раз перед исследованием (в разные дни цикла), без патологии.
Ни в коем случае не хочу показаться предвзятым, вопросов более нет, в плане проходимости маточных труб ГСГ это прекрасная методика исследования. Это хорошо, что между рентгенологом и УЗИ-врачом есть понимание и доверие.
"Знаешь, у некоторых врачей есть комплекс мессии — им необходимо спасать мир. А у тебя комплекс Рубика — тебе необходимо решать головоломки."
Исследование проведено с нарушениями: воздуху в полости матки абсолютно нечего делать, эта воздушная пробка могла стать причиной отсутствия контрастирования левой трубы, так что диагностическое значение исследования снижено. Экстравазация тазовых вен ни о чем плохом не говорит. Картина распределения контаста в правой половине малого таза - тоже без патологии.
Удивляться не чему, когда идет интравазальное контрастирование, это должно только "напрягать". Все перед Вашими глазами, гадать не стоит, а вот рекомендации бы не помешали!
"Знаешь, у некоторых врачей есть комплекс мессии — им необходимо спасать мир. А у тебя комплекс Рубика — тебе необходимо решать головоломки."
Интравазация околоматочных сосудов. Подобные наблюдения демонстрировались на сайте. Надеюсь всё прошло без санитарных потерь?
Я видела такое впервые, поэтому и удивилась. Даже хирурга-гинеколога попросила посмотреть. От него узнала, что такое осложнение встречается довольно часто. Можно уточнить рекомендации?
С учетом представленных нескольких снимков по интервалу времени, а следовало делать отсроченный, складывается впечатления о дефекте наполнения контрастного вещества дна матки, да и левая труба четко не законтрасирвона и контраста нет свободно распределяющегося в брюшной полости, из этого следует делать вывод по Вашим снимкам либо это следствие наличие пузырьков воздуха(а перед исследованием врач-гинеколог выпускет свободный воздух в шприце с контрастным веществом), либо это следствие образования матки или яичника и минимум после Вашего исследования надо проводить УЗИ-малого таза.
"Знаешь, у некоторых врачей есть комплекс мессии — им необходимо спасать мир. А у тебя комплекс Рубика — тебе необходимо решать головоломки."
В заключении написала, что левая труба непроходима. Дефект наполнения посчитала за воздух, такую картину вижу уже не в первый раз. УЗИ сделано несколько раз перед исследованием (в разные дни цикла), без патологии.
Абсолютно согласен.
Ни в коем случае не хочу показаться предвзятым, вопросов более нет, в плане проходимости маточных труб ГСГ это прекрасная методика исследования. Это хорошо, что между рентгенологом и УЗИ-врачом есть понимание и доверие.
"Знаешь, у некоторых врачей есть комплекс мессии — им необходимо спасать мир. А у тебя комплекс Рубика — тебе необходимо решать головоломки."
Исследование проведено с нарушениями: воздуху в полости матки абсолютно нечего делать, эта воздушная пробка могла стать причиной отсутствия контрастирования левой трубы, так что диагностическое значение исследования снижено. Экстравазация тазовых вен ни о чем плохом не говорит. Картина распределения контаста в правой половине малого таза - тоже без патологии.
Андрей Юрьевич