Хроническая нейроинфекция?

Пол пациента: 
Тип патологии: 
Область исследования: 
Методы исследования: 

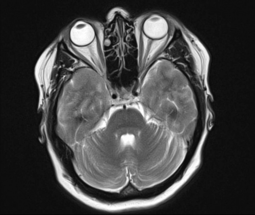
У пациентки 1960 г.р. с 2005 наблюдается птоз, диагноз миастении исключен. МРТ ГМ впервые выполнено в августе 2015 г в плановом порядке, новых жалоб не было, по описанию МРТ - очаговые изменения белого и серого вещества больших полушарий и ствола мозга - признаки энцефаломиелита.

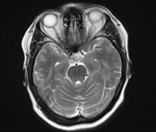
В сентябре 2015 новое МРТ: субкортикальные очаги в белом веществе больших полушарий, не накапливающие контраст; уменьшение размеров ряда очагов - Данных за демиелинизирующее заболевание нет, поствоспалительные изменения. Консультирована в НИИ неврологии, предположено демиелинизирующее заболевание вторичного генеза. В неврологическом статусе: правосторонний птоз, ограничение конвергенции, асимметрия носогубных складок.

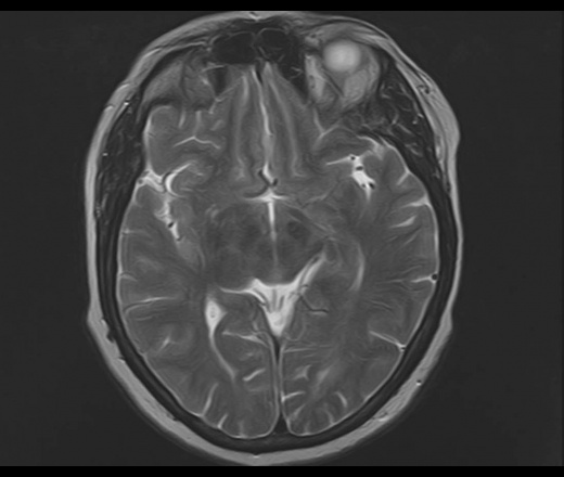
Сейчас вновь сделано МРТ, появлись 2 новых очага: в полюсе правой височной доли и поперечной височной извилине слева. Очаг в задних отделах левой теменной доли (угловая извилина) увеличился в размерах. С контрастом пока не работаем.

Подскажите, пожалуйста, что это за процесс? Поражено только белое вещество или серое также? Есть ли поражение ствола мозга?

Август 2015

  • Ax T2
  • Ax FLAIR
  • Ax T1
  • Cor T2
  • Sag T2
  • DWI Isotropic
  • ADC
  • https://radiomed.ru/sites/default/files/styles/case_slider_image/public/user/18954/img-0002-00001_24.jpg?itok=fyMQy_fV
  • https://radiomed.ru/sites/default/files/styles/case_slider_image/public/user/18954/img-0002-00002_22.jpg?itok=x5rPwPm7
  • https://radiomed.ru/sites/default/files/styles/case_slider_image/public/user/18954/img-0002-00003_19.jpg?itok=STZaDMBe
  • https://radiomed.ru/sites/default/files/styles/case_slider_image/public/user/18954/img-0002-00004_19.jpg?itok=zRywBhcW
  • https://radiomed.ru/sites/default/files/styles/case_slider_image/public/user/18954/img-0002-00005_19.jpg?itok=EMs7VlfH
  • https://radiomed.ru/sites/default/files/styles/case_slider_image/public/user/18954/img-0002-00006_19.jpg?itok=joU2s2RE
  • https://radiomed.ru/sites/default/files/styles/case_slider_image/public/user/18954/img-0002-00007_19.jpg?itok=G3Ff4Fvy
  • https://radiomed.ru/sites/default/files/styles/case_slider_image/public/user/18954/img-0002-00008_19.jpg?itok=dIo0ogzC
  • https://radiomed.ru/sites/default/files/styles/case_slider_image/public/user/18954/img-0002-00009_19.jpg?itok=q5h81Up-
  • https://radiomed.ru/sites/default/files/styles/case_slider_image/public/user/18954/img-0002-00010_19.jpg?itok=JQ-4H9xA
  • https://radiomed.ru/sites/default/files/styles/case_slider_image/public/user/18954/img-0002-00011_18.jpg?itok=0FwWoA44
  • https://radiomed.ru/sites/default/files/styles/case_slider_image/public/user/18954/img-0002-00012_18.jpg?itok=ixGb7HXd
  • https://radiomed.ru/sites/default/files/styles/case_slider_image/public/user/18954/img-0002-00013_18.jpg?itok=J-BoVOSi
  • https://radiomed.ru/sites/default/files/styles/case_slider_image/public/user/18954/img-0002-00014_15.jpg?itok=TjdcvPQk
  • https://radiomed.ru/sites/default/files/styles/case_slider_image/public/user/18954/img-0002-00015_15.jpg?itok=yU-U5cb3
  • https://radiomed.ru/sites/default/files/styles/case_slider_image/public/user/18954/img-0002-00016_15.jpg?itok=SHSPtRAN
  • https://radiomed.ru/sites/default/files/styles/case_slider_image/public/user/18954/img-0002-00017_15.jpg?itok=XmhkGt7o
  • https://radiomed.ru/sites/default/files/styles/case_slider_image/public/user/18954/img-0002-00018_15.jpg?itok=Hb-cRJgg
  • https://radiomed.ru/sites/default/files/styles/case_slider_image/public/user/18954/img-0002-00019_15.jpg?itok=GMhQn42G
  • https://radiomed.ru/sites/default/files/styles/case_slider_image/public/user/18954/img-0002-00020_15.jpg?itok=GNCRuqVJ
  • https://radiomed.ru/sites/default/files/styles/case_slider_image/public/user/18954/img-0002-00021_15.jpg?itok=SJsGmgCM
  • https://radiomed.ru/sites/default/files/styles/case_slider_image/public/user/18954/img-0002-00022_12.jpg?itok=wHgxCCqQ
  • https://radiomed.ru/sites/default/files/styles/case_slider_image/public/user/18954/img-0002-00023_12.jpg?itok=Ifnu_SJX
  • https://radiomed.ru/sites/default/files/styles/case_slider_image/public/user/18954/img-0002-00024_11.jpg?itok=GdC_ZKfX
  • https://radiomed.ru/sites/default/files/styles/case_slider_image/public/user/18954/img-0002-00025_11.jpg?itok=LSMzMxQO
  • https://radiomed.ru/sites/default/files/styles/case_slider_image/public/user/18954/img-0003-00001_18.jpg?itok=IEa0fwgo
  • https://radiomed.ru/sites/default/files/styles/case_slider_image/public/user/18954/img-0003-00002_16.jpg?itok=j9kC9H9m
  • https://radiomed.ru/sites/default/files/styles/case_slider_image/public/user/18954/img-0003-00003_15.jpg?itok=Bm_peYl1
  • https://radiomed.ru/sites/default/files/styles/case_slider_image/public/user/18954/img-0003-00004_15.jpg?itok=GduHy4f0
  • https://radiomed.ru/sites/default/files/styles/case_slider_image/public/user/18954/img-0003-00005_15.jpg?itok=6msBiRxM
  • https://radiomed.ru/sites/default/files/styles/case_slider_image/public/user/18954/img-0003-00006_15.jpg?itok=rhnAP6GA
  • https://radiomed.ru/sites/default/files/styles/case_slider_image/public/user/18954/img-0003-00007_15.jpg?itok=wNk-uOnA
  • https://radiomed.ru/sites/default/files/styles/case_slider_image/public/user/18954/img-0003-00008_15.jpg?itok=qf8OmLt5
  • https://radiomed.ru/sites/default/files/styles/case_slider_image/public/user/18954/img-0003-00009_15.jpg?itok=YQt-HOdg
  • https://radiomed.ru/sites/default/files/styles/case_slider_image/public/user/18954/img-0003-00010_15.jpg?itok=BJYbhRCO
  • https://radiomed.ru/sites/default/files/styles/case_slider_image/public/user/18954/img-0003-00011_15.jpg?itok=EzkpGSpq
  • https://radiomed.ru/sites/default/files/styles/case_slider_image/public/user/18954/img-0003-00012_16.jpg?itok=2HOBJrKZ
  • https://radiomed.ru/sites/default/files/styles/case_slider_image/public/user/18954/img-0003-00013_16.jpg?itok=e40d3IDJ
  • https://radiomed.ru/sites/default/files/styles/case_slider_image/public/user/18954/img-0003-00014_15.jpg?itok=E1VgCUrB
  • https://radiomed.ru/sites/default/files/styles/case_slider_image/public/user/18954/img-0003-00015_15.jpg?itok=BnQIFp4l
  • https://radiomed.ru/sites/default/files/styles/case_slider_image/public/user/18954/img-0003-00016_15.jpg?itok=qI9RwfwH
  • https://radiomed.ru/sites/default/files/styles/case_slider_image/public/user/18954/img-0003-00017_15.jpg?itok=AkcH3ryz
  • https://radiomed.ru/sites/default/files/styles/case_slider_image/public/user/18954/img-0003-00018_15.jpg?itok=VDOxOgxs
  • https://radiomed.ru/sites/default/files/styles/case_slider_image/public/user/18954/img-0003-00019_15.jpg?itok=zFPT4sV7
  • https://radiomed.ru/sites/default/files/styles/case_slider_image/public/user/18954/img-0003-00020_15.jpg?itok=0SWBRiW2
  • https://radiomed.ru/sites/default/files/styles/case_slider_image/public/user/18954/img-0003-00021_13.jpg?itok=HMZNkP_9
  • https://radiomed.ru/sites/default/files/styles/case_slider_image/public/user/18954/img-0003-00022_11.jpg?itok=v43F2Ua6
  • https://radiomed.ru/sites/default/files/styles/case_slider_image/public/user/18954/img-0003-00023_9.jpg?itok=s3Re2TsD
  • https://radiomed.ru/sites/default/files/styles/case_slider_image/public/user/18954/img-0003-00024_8.jpg?itok=-IxWzdMT
  • https://radiomed.ru/sites/default/files/styles/case_slider_image/public/user/18954/img-0003-00025_8.jpg?itok=ITCT-q7f
  • https://radiomed.ru/sites/default/files/styles/case_slider_image/public/user/18954/img-0005-00001_13.jpg?itok=DGc3amic
  • https://radiomed.ru/sites/default/files/styles/case_slider_image/public/user/18954/img-0005-00002_13.jpg?itok=9uJOs3r0
  • https://radiomed.ru/sites/default/files/styles/case_slider_image/public/user/18954/img-0005-00003_13.jpg?itok=uSO23ltM
  • https://radiomed.ru/sites/default/files/styles/case_slider_image/public/user/18954/img-0005-00004_13.jpg?itok=PJukAjQY
  • https://radiomed.ru/sites/default/files/styles/case_slider_image/public/user/18954/img-0005-00005_13.jpg?itok=scSDJ4ee
  • https://radiomed.ru/sites/default/files/styles/case_slider_image/public/user/18954/img-0005-00006_13.jpg?itok=Jrgn2gLe
  • https://radiomed.ru/sites/default/files/styles/case_slider_image/public/user/18954/img-0005-00007_13.jpg?itok=GeMmQbFb
  • https://radiomed.ru/sites/default/files/styles/case_slider_image/public/user/18954/img-0005-00008_13.jpg?itok=QYzjN40S
  • https://radiomed.ru/sites/default/files/styles/case_slider_image/public/user/18954/img-0005-00009_13.jpg?itok=SbyQz7i0
  • https://radiomed.ru/sites/default/files/styles/case_slider_image/public/user/18954/img-0005-00010_13.jpg?itok=dtoFWsxu
  • https://radiomed.ru/sites/default/files/styles/case_slider_image/public/user/18954/img-0005-00011_13.jpg?itok=I6cTvbHf
  • https://radiomed.ru/sites/default/files/styles/case_slider_image/public/user/18954/img-0005-00012_13.jpg?itok=h_54GdrM
  • https://radiomed.ru/sites/default/files/styles/case_slider_image/public/user/18954/img-0005-00013_13.jpg?itok=TyRs3JWI
  • https://radiomed.ru/sites/default/files/styles/case_slider_image/public/user/18954/img-0005-00014_12.jpg?itok=VlQSTLW1
  • https://radiomed.ru/sites/default/files/styles/case_slider_image/public/user/18954/img-0005-00015_12.jpg?itok=IcFX-3qM
  • https://radiomed.ru/sites/default/files/styles/case_slider_image/public/user/18954/img-0005-00016_12.jpg?itok=xsPUHZpz
  • https://radiomed.ru/sites/default/files/styles/case_slider_image/public/user/18954/img-0005-00017_12.jpg?itok=4fpgv9DZ
  • https://radiomed.ru/sites/default/files/styles/case_slider_image/public/user/18954/img-0005-00018_12.jpg?itok=yLaxmrIl
  • https://radiomed.ru/sites/default/files/styles/case_slider_image/public/user/18954/img-0005-00019_12.jpg?itok=HJfiPztK
  • https://radiomed.ru/sites/default/files/styles/case_slider_image/public/user/18954/img-0005-00020_12.jpg?itok=XqRUhimK
  • https://radiomed.ru/sites/default/files/styles/case_slider_image/public/user/18954/img-0005-00021_12.jpg?itok=6elWnNQt
  • https://radiomed.ru/sites/default/files/styles/case_slider_image/public/user/18954/img-0005-00022_11.jpg?itok=wXv1Zeao
  • https://radiomed.ru/sites/default/files/styles/case_slider_image/public/user/18954/img-0005-00023_11.jpg?itok=zv2JHI2q
  • https://radiomed.ru/sites/default/files/styles/case_slider_image/public/user/18954/img-0005-00024_10.jpg?itok=osOFQDGW
  • https://radiomed.ru/sites/default/files/styles/case_slider_image/public/user/18954/img-0005-00025_8.jpg?itok=6C0h-5r8
  • https://radiomed.ru/sites/default/files/styles/case_slider_image/public/user/18954/img-0005-00026_4.jpg?itok=zPV3-_0Z
  • https://radiomed.ru/sites/default/files/styles/case_slider_image/public/user/18954/img-0005-00027_4.jpg?itok=Oa0xmLfM
  • https://radiomed.ru/sites/default/files/styles/case_slider_image/public/user/18954/img-0005-00028_4.jpg?itok=SFuDb87x
  • https://radiomed.ru/sites/default/files/styles/case_slider_image/public/user/18954/img-0005-00029_4.jpg?itok=XcsYPtgK
  • https://radiomed.ru/sites/default/files/styles/case_slider_image/public/user/18954/img-0004-00001_17.jpg?itok=1ICT1Z2o
  • https://radiomed.ru/sites/default/files/styles/case_slider_image/public/user/18954/img-0004-00002_16.jpg?itok=l_j0RDhv
  • https://radiomed.ru/sites/default/files/styles/case_slider_image/public/user/18954/img-0004-00003_16.jpg?itok=6ahIhO_b
  • https://radiomed.ru/sites/default/files/styles/case_slider_image/public/user/18954/img-0004-00004_15.jpg?itok=kreRCXgy
  • https://radiomed.ru/sites/default/files/styles/case_slider_image/public/user/18954/img-0004-00005_15.jpg?itok=NFqLWJaN
  • https://radiomed.ru/sites/default/files/styles/case_slider_image/public/user/18954/img-0004-00006_15.jpg?itok=YdanqVH6
  • https://radiomed.ru/sites/default/files/styles/case_slider_image/public/user/18954/img-0004-00007_15.jpg?itok=EhXYshvl
  • https://radiomed.ru/sites/default/files/styles/case_slider_image/public/user/18954/img-0004-00008_15.jpg?itok=rJX-tgin
  • https://radiomed.ru/sites/default/files/styles/case_slider_image/public/user/18954/img-0004-00009_15.jpg?itok=EH6N_z_0
  • https://radiomed.ru/sites/default/files/styles/case_slider_image/public/user/18954/img-0004-00010_15.jpg?itok=Uuds-vOQ
  • https://radiomed.ru/sites/default/files/styles/case_slider_image/public/user/18954/img-0004-00011_15.jpg?itok=uWDXH0Am
  • https://radiomed.ru/sites/default/files/styles/case_slider_image/public/user/18954/img-0004-00012_15.jpg?itok=8U1B7CD5
  • https://radiomed.ru/sites/default/files/styles/case_slider_image/public/user/18954/img-0004-00013_15.jpg?itok=zVdxuVVU
  • https://radiomed.ru/sites/default/files/styles/case_slider_image/public/user/18954/img-0004-00014_13.jpg?itok=ljNA7dVr
  • https://radiomed.ru/sites/default/files/styles/case_slider_image/public/user/18954/img-0004-00015_13.jpg?itok=iiUMvWMv
  • https://radiomed.ru/sites/default/files/styles/case_slider_image/public/user/18954/img-0004-00016_13.jpg?itok=8AaWcRo9
  • https://radiomed.ru/sites/default/files/styles/case_slider_image/public/user/18954/img-0004-00017_13.jpg?itok=hZa_N4BX
  • https://radiomed.ru/sites/default/files/styles/case_slider_image/public/user/18954/img-0004-00018_13.jpg?itok=PNJoKyGi
  • https://radiomed.ru/sites/default/files/styles/case_slider_image/public/user/18954/img-0004-00019_13.jpg?itok=aH1JDz4t
  • https://radiomed.ru/sites/default/files/styles/case_slider_image/public/user/18954/img-0004-00020_12.jpg?itok=JIIrFe20
  • https://radiomed.ru/sites/default/files/styles/case_slider_image/public/user/18954/img-0004-00021_13.jpg?itok=EX-Pgbb0
  • https://radiomed.ru/sites/default/files/styles/case_slider_image/public/user/18954/img-0004-00022_13.jpg?itok=jL60bQr6
  • https://radiomed.ru/sites/default/files/styles/case_slider_image/public/user/18954/img-0004-00023_12.jpg?itok=dU4n6RS8
  • https://radiomed.ru/sites/default/files/styles/case_slider_image/public/user/18954/img-0004-00024_10.jpg?itok=mhEwUFXa
  • https://radiomed.ru/sites/default/files/styles/case_slider_image/public/user/18954/img-0004-00025_9.jpg?itok=yTg2ghWj
  • https://radiomed.ru/sites/default/files/styles/case_slider_image/public/user/18954/img-0006-00001_7.jpg?itok=hBcPZUyP
  • https://radiomed.ru/sites/default/files/styles/case_slider_image/public/user/18954/img-0006-00002_7.jpg?itok=Y0MwjuuV
  • https://radiomed.ru/sites/default/files/styles/case_slider_image/public/user/18954/img-0006-00003_7.jpg?itok=mhw260Z_
  • https://radiomed.ru/sites/default/files/styles/case_slider_image/public/user/18954/img-0006-00004_7.jpg?itok=ylAK3_fX
  • https://radiomed.ru/sites/default/files/styles/case_slider_image/public/user/18954/img-0006-00005_7.jpg?itok=LxYwDKFH
  • https://radiomed.ru/sites/default/files/styles/case_slider_image/public/user/18954/img-0006-00006_7.jpg?itok=O6nvJ80L
  • https://radiomed.ru/sites/default/files/styles/case_slider_image/public/user/18954/img-0006-00007_7.jpg?itok=gOKAu3oz
  • https://radiomed.ru/sites/default/files/styles/case_slider_image/public/user/18954/img-0006-00008_7.jpg?itok=lc0A5Gdz
  • https://radiomed.ru/sites/default/files/styles/case_slider_image/public/user/18954/img-0006-00009_7.jpg?itok=PDwlidnX
  • https://radiomed.ru/sites/default/files/styles/case_slider_image/public/user/18954/img-0006-00010_7.jpg?itok=EOwWp82N
  • https://radiomed.ru/sites/default/files/styles/case_slider_image/public/user/18954/img-0006-00011_7.jpg?itok=OsnXiUVE
  • https://radiomed.ru/sites/default/files/styles/case_slider_image/public/user/18954/img-0006-00012_7.jpg?itok=JUtOpl9D
  • https://radiomed.ru/sites/default/files/styles/case_slider_image/public/user/18954/img-0006-00013_7.jpg?itok=uF7R4Twh
  • https://radiomed.ru/sites/default/files/styles/case_slider_image/public/user/18954/img-0006-00014_7.jpg?itok=UBi2vMy1
  • https://radiomed.ru/sites/default/files/styles/case_slider_image/public/user/18954/img-0006-00015_7.jpg?itok=2LLLuK8U
  • https://radiomed.ru/sites/default/files/styles/case_slider_image/public/user/18954/img-0006-00016_7.jpg?itok=_WlxXOCc
  • https://radiomed.ru/sites/default/files/styles/case_slider_image/public/user/18954/img-0006-00017_7.jpg?itok=rFQiXkbT
  • https://radiomed.ru/sites/default/files/styles/case_slider_image/public/user/18954/img-0006-00018_7.jpg?itok=ISk2gcEM
  • https://radiomed.ru/sites/default/files/styles/case_slider_image/public/user/18954/img-0006-00019_7.jpg?itok=AJ8618ry
  • https://radiomed.ru/sites/default/files/styles/case_slider_image/public/user/18954/img-0006-00020_7.jpg?itok=uHbiBWEN
  • https://radiomed.ru/sites/default/files/styles/case_slider_image/public/user/18954/img-0006-00021_7.jpg?itok=EOAQml7z
  • https://radiomed.ru/sites/default/files/styles/case_slider_image/public/user/18954/img-0006-00022_7.jpg?itok=9-o_V_Ro
  • https://radiomed.ru/sites/default/files/styles/case_slider_image/public/user/18954/img-0006-00023_7.jpg?itok=8-ObolKx
  • https://radiomed.ru/sites/default/files/styles/case_slider_image/public/user/18954/img-0007-00001_9.jpg?itok=lJUA7WDo
  • https://radiomed.ru/sites/default/files/styles/case_slider_image/public/user/18954/img-0007-00002_8.jpg?itok=4K_rct7b
  • https://radiomed.ru/sites/default/files/styles/case_slider_image/public/user/18954/img-0007-00003_8.jpg?itok=jgpAbhf2
  • https://radiomed.ru/sites/default/files/styles/case_slider_image/public/user/18954/img-0007-00004_8.jpg?itok=s7uXZ4JO
  • https://radiomed.ru/sites/default/files/styles/case_slider_image/public/user/18954/img-0007-00005_8.jpg?itok=MR_eDYpc
  • https://radiomed.ru/sites/default/files/styles/case_slider_image/public/user/18954/img-0007-00006_8.jpg?itok=QmLWpLAy
  • https://radiomed.ru/sites/default/files/styles/case_slider_image/public/user/18954/img-0007-00007_8.jpg?itok=H4dqrjG4
  • https://radiomed.ru/sites/default/files/styles/case_slider_image/public/user/18954/img-0007-00008_8.jpg?itok=0HeFpe5L
  • https://radiomed.ru/sites/default/files/styles/case_slider_image/public/user/18954/img-0007-00009_8.jpg?itok=0LcfTPuo
  • https://radiomed.ru/sites/default/files/styles/case_slider_image/public/user/18954/img-0007-00010_8.jpg?itok=yfEIBWbK
  • https://radiomed.ru/sites/default/files/styles/case_slider_image/public/user/18954/img-0007-00011_8.jpg?itok=lgPgVMoO
  • https://radiomed.ru/sites/default/files/styles/case_slider_image/public/user/18954/img-0007-00012_8.jpg?itok=8hu324eg
  • https://radiomed.ru/sites/default/files/styles/case_slider_image/public/user/18954/img-0007-00013_8.jpg?itok=LjnzS1Of
  • https://radiomed.ru/sites/default/files/styles/case_slider_image/public/user/18954/img-0007-00014_8.jpg?itok=TKmp7tDJ
  • https://radiomed.ru/sites/default/files/styles/case_slider_image/public/user/18954/img-0007-00015_8.jpg?itok=ETUvRaPW
  • https://radiomed.ru/sites/default/files/styles/case_slider_image/public/user/18954/img-0007-00016_8.jpg?itok=1cr25Ddf
  • https://radiomed.ru/sites/default/files/styles/case_slider_image/public/user/18954/img-0007-00017_8.jpg?itok=QHQ4ZTzJ
  • https://radiomed.ru/sites/default/files/styles/case_slider_image/public/user/18954/img-0007-00018_8.jpg?itok=j7UohGHW
  • https://radiomed.ru/sites/default/files/styles/case_slider_image/public/user/18954/img-0007-00019_8.jpg?itok=B5P1x1ny
  • https://radiomed.ru/sites/default/files/styles/case_slider_image/public/user/18954/img-0007-00020_8.jpg?itok=Okj9FQ9A
  • https://radiomed.ru/sites/default/files/styles/case_slider_image/public/user/18954/img-0007-00021_8.jpg?itok=_xdrKEJT
  • https://radiomed.ru/sites/default/files/styles/case_slider_image/public/user/18954/img-0007-00022_8.jpg?itok=UNa5ef6l
  • https://radiomed.ru/sites/default/files/styles/case_slider_image/public/user/18954/img-0007-00023_8.jpg?itok=hBgScqtL
Август 2015 ID:62760

Сентябрь 2015

  • Ax T2
  • AX FLAIR
  • Ax T1 C
  • Cor T1
  • Cor T2 FS
  • Sag T2 FLAIR
  • DWI
  • https://radiomed.ru/sites/default/files/styles/case_slider_image/public/user/18954/img-0012-00001_3.jpg?itok=14ifc_jO
  • https://radiomed.ru/sites/default/files/styles/case_slider_image/public/user/18954/img-0012-00002_3.jpg?itok=rR5zIgUJ
  • https://radiomed.ru/sites/default/files/styles/case_slider_image/public/user/18954/img-0012-00003_3.jpg?itok=L96frfaa
  • https://radiomed.ru/sites/default/files/styles/case_slider_image/public/user/18954/img-0012-00004_3.jpg?itok=SJRCO7P0
  • https://radiomed.ru/sites/default/files/styles/case_slider_image/public/user/18954/img-0012-00005_3.jpg?itok=ie45SG9W
  • https://radiomed.ru/sites/default/files/styles/case_slider_image/public/user/18954/img-0012-00006_3.jpg?itok=KGdDyGs4
  • https://radiomed.ru/sites/default/files/styles/case_slider_image/public/user/18954/img-0012-00007_3.jpg?itok=X7Rt4R-F
  • https://radiomed.ru/sites/default/files/styles/case_slider_image/public/user/18954/img-0012-00008_3.jpg?itok=ek0fLQA5
  • https://radiomed.ru/sites/default/files/styles/case_slider_image/public/user/18954/img-0012-00009_3.jpg?itok=fUAyumxK
  • https://radiomed.ru/sites/default/files/styles/case_slider_image/public/user/18954/img-0012-00010_3.jpg?itok=FCi6wmWR
  • https://radiomed.ru/sites/default/files/styles/case_slider_image/public/user/18954/img-0012-00011_3.jpg?itok=MI2qmf5u
  • https://radiomed.ru/sites/default/files/styles/case_slider_image/public/user/18954/img-0012-00012_3.jpg?itok=Kw7Y8oXX
  • https://radiomed.ru/sites/default/files/styles/case_slider_image/public/user/18954/img-0012-00013_3.jpg?itok=OYQag5Dm
  • https://radiomed.ru/sites/default/files/styles/case_slider_image/public/user/18954/img-0012-00014_3.jpg?itok=l_XYOqJv
  • https://radiomed.ru/sites/default/files/styles/case_slider_image/public/user/18954/img-0012-00015_3.jpg?itok=_X7E8J0J
  • https://radiomed.ru/sites/default/files/styles/case_slider_image/public/user/18954/img-0012-00016_3.jpg?itok=9Woh7_OL
  • https://radiomed.ru/sites/default/files/styles/case_slider_image/public/user/18954/img-0012-00017_3.jpg?itok=-d9JST-f
  • https://radiomed.ru/sites/default/files/styles/case_slider_image/public/user/18954/img-0012-00018_3.jpg?itok=HwZSudvC
  • https://radiomed.ru/sites/default/files/styles/case_slider_image/public/user/18954/img-0012-00019_3.jpg?itok=E3qDbMsy
  • https://radiomed.ru/sites/default/files/styles/case_slider_image/public/user/18954/img-0012-00020_3.jpg?itok=u071wgEr
  • https://radiomed.ru/sites/default/files/styles/case_slider_image/public/user/18954/img-0012-00021_3.jpg?itok=QPakaOte
  • https://radiomed.ru/sites/default/files/styles/case_slider_image/public/user/18954/img-0012-00022_3.jpg?itok=sOu5ZQjd
  • https://radiomed.ru/sites/default/files/styles/case_slider_image/public/user/18954/img-0016-00001_0.jpg?itok=UT52y85T
  • https://radiomed.ru/sites/default/files/styles/case_slider_image/public/user/18954/img-0016-00002_0.jpg?itok=_AnM6u9i
  • https://radiomed.ru/sites/default/files/styles/case_slider_image/public/user/18954/img-0016-00003_0.jpg?itok=KqpNfsw7
  • https://radiomed.ru/sites/default/files/styles/case_slider_image/public/user/18954/img-0016-00004_0.jpg?itok=QCzr1WFS
  • https://radiomed.ru/sites/default/files/styles/case_slider_image/public/user/18954/img-0016-00005_0.jpg?itok=a25yawjD
  • https://radiomed.ru/sites/default/files/styles/case_slider_image/public/user/18954/img-0016-00006_0.jpg?itok=m6KYKEZT
  • https://radiomed.ru/sites/default/files/styles/case_slider_image/public/user/18954/img-0016-00007_0.jpg?itok=BSvgfKCq
  • https://radiomed.ru/sites/default/files/styles/case_slider_image/public/user/18954/img-0016-00008_0.jpg?itok=jUPzA7cX
  • https://radiomed.ru/sites/default/files/styles/case_slider_image/public/user/18954/img-0016-00009_0.jpg?itok=RZVRGzci
  • https://radiomed.ru/sites/default/files/styles/case_slider_image/public/user/18954/img-0016-00010_0.jpg?itok=K4B00PV_
  • https://radiomed.ru/sites/default/files/styles/case_slider_image/public/user/18954/img-0016-00011_0.jpg?itok=q44PNe7Y
  • https://radiomed.ru/sites/default/files/styles/case_slider_image/public/user/18954/img-0016-00012_0.jpg?itok=RCbtZGA-
  • https://radiomed.ru/sites/default/files/styles/case_slider_image/public/user/18954/img-0016-00013_0.jpg?itok=4GKN8nFX
  • https://radiomed.ru/sites/default/files/styles/case_slider_image/public/user/18954/img-0016-00014_0.jpg?itok=SqD3UkWF
  • https://radiomed.ru/sites/default/files/styles/case_slider_image/public/user/18954/img-0016-00015_0.jpg?itok=kCuLYdcv
  • https://radiomed.ru/sites/default/files/styles/case_slider_image/public/user/18954/img-0016-00016_0.jpg?itok=sWrYyTj5
  • https://radiomed.ru/sites/default/files/styles/case_slider_image/public/user/18954/img-0016-00017_0.jpg?itok=LYolooN4
  • https://radiomed.ru/sites/default/files/styles/case_slider_image/public/user/18954/img-0016-00018_0.jpg?itok=V_sMPhfJ
  • https://radiomed.ru/sites/default/files/styles/case_slider_image/public/user/18954/img-0016-00019_0.jpg?itok=jzFcecXe
  • https://radiomed.ru/sites/default/files/styles/case_slider_image/public/user/18954/img-0011-00001_2.jpg?itok=A8j9fi4O
  • https://radiomed.ru/sites/default/files/styles/case_slider_image/public/user/18954/img-0011-00002_2.jpg?itok=dGnOTt-_
  • https://radiomed.ru/sites/default/files/styles/case_slider_image/public/user/18954/img-0011-00003_2.jpg?itok=WupSxXrP
  • https://radiomed.ru/sites/default/files/styles/case_slider_image/public/user/18954/img-0011-00004_2.jpg?itok=Ft-i7rI3
  • https://radiomed.ru/sites/default/files/styles/case_slider_image/public/user/18954/img-0011-00005_2.jpg?itok=Ql_q4V8r
  • https://radiomed.ru/sites/default/files/styles/case_slider_image/public/user/18954/img-0011-00006_2.jpg?itok=WjF42c3U
  • https://radiomed.ru/sites/default/files/styles/case_slider_image/public/user/18954/img-0011-00007_2.jpg?itok=XOQTjuz0
  • https://radiomed.ru/sites/default/files/styles/case_slider_image/public/user/18954/img-0011-00008_2.jpg?itok=G1I9JlkY
  • https://radiomed.ru/sites/default/files/styles/case_slider_image/public/user/18954/img-0011-00009_2.jpg?itok=-HL3-eLg
  • https://radiomed.ru/sites/default/files/styles/case_slider_image/public/user/18954/img-0011-00010_2.jpg?itok=hB7pdi4R
  • https://radiomed.ru/sites/default/files/styles/case_slider_image/public/user/18954/img-0011-00011_2.jpg?itok=I1IOnRKE
  • https://radiomed.ru/sites/default/files/styles/case_slider_image/public/user/18954/img-0011-00012_2.jpg?itok=1V5BB5MC
  • https://radiomed.ru/sites/default/files/styles/case_slider_image/public/user/18954/img-0011-00013_2.jpg?itok=ieM9idNx
  • https://radiomed.ru/sites/default/files/styles/case_slider_image/public/user/18954/img-0011-00014_2.jpg?itok=vJ4zzRgu
  • https://radiomed.ru/sites/default/files/styles/case_slider_image/public/user/18954/img-0011-00015_2.jpg?itok=5ZlEQ7_M
  • https://radiomed.ru/sites/default/files/styles/case_slider_image/public/user/18954/img-0011-00016_2.jpg?itok=xA1GPAQt
  • https://radiomed.ru/sites/default/files/styles/case_slider_image/public/user/18954/img-0011-00017_2.jpg?itok=K-XExDiA
  • https://radiomed.ru/sites/default/files/styles/case_slider_image/public/user/18954/img-0011-00018_2.jpg?itok=T5TD9DO-
  • https://radiomed.ru/sites/default/files/styles/case_slider_image/public/user/18954/img-0011-00019_2.jpg?itok=-9aLZC6D
  • https://radiomed.ru/sites/default/files/styles/case_slider_image/public/user/18954/img-0011-00020_2.jpg?itok=WhekQz0I
  • https://radiomed.ru/sites/default/files/styles/case_slider_image/public/user/18954/img-0011-00021_2.jpg?itok=bMZRHjcS
  • https://radiomed.ru/sites/default/files/styles/case_slider_image/public/user/18954/img-0011-00022_2.jpg?itok=bXNlO_wd
  • https://radiomed.ru/sites/default/files/styles/case_slider_image/public/user/18954/img-0011-00023_2.jpg?itok=kePLohOh
  • https://radiomed.ru/sites/default/files/styles/case_slider_image/public/user/18954/img-0011-00024_2.jpg?itok=BleaMmCH
  • https://radiomed.ru/sites/default/files/styles/case_slider_image/public/user/18954/img-0011-00025_2.jpg?itok=ahU8a-1-
  • https://radiomed.ru/sites/default/files/styles/case_slider_image/public/user/18954/img-0011-00026_1.jpg?itok=yrnmJJdP
  • https://radiomed.ru/sites/default/files/styles/case_slider_image/public/user/18954/img-0011-00027_1.jpg?itok=4xPFq-3P
  • https://radiomed.ru/sites/default/files/styles/case_slider_image/public/user/18954/img-0011-00028_1.jpg?itok=JilK0aJc
  • https://radiomed.ru/sites/default/files/styles/case_slider_image/public/user/18954/img-0011-00029_1.jpg?itok=CB48XyL5
  • https://radiomed.ru/sites/default/files/styles/case_slider_image/public/user/18954/img-0011-00030_1.jpg?itok=5rniEVp5
  • https://radiomed.ru/sites/default/files/styles/case_slider_image/public/user/18954/img-0011-00031_1.jpg?itok=IqUzwu72
  • https://radiomed.ru/sites/default/files/styles/case_slider_image/public/user/18954/img-0011-00032_0.jpg?itok=W7dSQrWk
  • https://radiomed.ru/sites/default/files/styles/case_slider_image/public/user/18954/img-0011-00033_0.jpg?itok=bCZyBMBx
  • https://radiomed.ru/sites/default/files/styles/case_slider_image/public/user/18954/img-0011-00034_0.jpg?itok=gzbeWfgQ
  • https://radiomed.ru/sites/default/files/styles/case_slider_image/public/user/18954/img-0011-00035_0.jpg?itok=2jUK1hhi
  • https://radiomed.ru/sites/default/files/styles/case_slider_image/public/user/18954/img-0011-00036_0.jpg?itok=cNsHafNZ
  • https://radiomed.ru/sites/default/files/styles/case_slider_image/public/user/18954/img-0011-00037_0.jpg?itok=ymZ9MBQ-
  • https://radiomed.ru/sites/default/files/styles/case_slider_image/public/user/18954/img-0011-00038_0.jpg?itok=EjrLF-CS
  • https://radiomed.ru/sites/default/files/styles/case_slider_image/public/user/18954/img-0011-00039_0.jpg?itok=UdzvslBG
  • https://radiomed.ru/sites/default/files/styles/case_slider_image/public/user/18954/img-0011-00040_0.jpg?itok=Dqzp60c_
  • https://radiomed.ru/sites/default/files/styles/case_slider_image/public/user/18954/img-0011-00041_0.jpg?itok=SpfUCsxw
  • https://radiomed.ru/sites/default/files/styles/case_slider_image/public/user/18954/img-0011-00042_0.jpg?itok=GUnNARg9
  • https://radiomed.ru/sites/default/files/styles/case_slider_image/public/user/18954/img-0011-00043_0.jpg?itok=DfBPgelw
  • https://radiomed.ru/sites/default/files/styles/case_slider_image/public/user/18954/img-0011-00044_0.jpg?itok=tnpmFs92
  • https://radiomed.ru/sites/default/files/styles/case_slider_image/public/user/18954/img-0013-00001_3.jpg?itok=cS3K3s-L
  • https://radiomed.ru/sites/default/files/styles/case_slider_image/public/user/18954/img-0013-00002_3.jpg?itok=1stJzPhW
  • https://radiomed.ru/sites/default/files/styles/case_slider_image/public/user/18954/img-0013-00003_3.jpg?itok=KbKe0pR-
  • https://radiomed.ru/sites/default/files/styles/case_slider_image/public/user/18954/img-0013-00004_3.jpg?itok=LU4CKzdc
  • https://radiomed.ru/sites/default/files/styles/case_slider_image/public/user/18954/img-0013-00005_3.jpg?itok=u_cABk0S
  • https://radiomed.ru/sites/default/files/styles/case_slider_image/public/user/18954/img-0013-00006_3.jpg?itok=C71PIGhu
  • https://radiomed.ru/sites/default/files/styles/case_slider_image/public/user/18954/img-0013-00007_3.jpg?itok=8lU4tC4N
  • https://radiomed.ru/sites/default/files/styles/case_slider_image/public/user/18954/img-0013-00008_3.jpg?itok=7QXndMR5
  • https://radiomed.ru/sites/default/files/styles/case_slider_image/public/user/18954/img-0013-00009_3.jpg?itok=nqT62uEl
  • https://radiomed.ru/sites/default/files/styles/case_slider_image/public/user/18954/img-0013-00010_3.jpg?itok=CZr_RAnz
  • https://radiomed.ru/sites/default/files/styles/case_slider_image/public/user/18954/img-0013-00011_3.jpg?itok=Mf2JrAVt
  • https://radiomed.ru/sites/default/files/styles/case_slider_image/public/user/18954/img-0013-00012_3.jpg?itok=-z2_RaOk
  • https://radiomed.ru/sites/default/files/styles/case_slider_image/public/user/18954/img-0013-00013_3.jpg?itok=Bp1TGJQK
  • https://radiomed.ru/sites/default/files/styles/case_slider_image/public/user/18954/img-0010-00001_4.jpg?itok=_tCyau5k
  • https://radiomed.ru/sites/default/files/styles/case_slider_image/public/user/18954/img-0010-00002_4.jpg?itok=Coda3X1O
  • https://radiomed.ru/sites/default/files/styles/case_slider_image/public/user/18954/img-0010-00003_4.jpg?itok=Su6abrO2
  • https://radiomed.ru/sites/default/files/styles/case_slider_image/public/user/18954/img-0010-00004_4.jpg?itok=3s6MjXwM
  • https://radiomed.ru/sites/default/files/styles/case_slider_image/public/user/18954/img-0010-00005_4.jpg?itok=oVCUKF8I
  • https://radiomed.ru/sites/default/files/styles/case_slider_image/public/user/18954/img-0010-00006_4.jpg?itok=o5p-9YEa
  • https://radiomed.ru/sites/default/files/styles/case_slider_image/public/user/18954/img-0010-00007_4.jpg?itok=isO3WRoR
  • https://radiomed.ru/sites/default/files/styles/case_slider_image/public/user/18954/img-0010-00008_4.jpg?itok=AwV5-DQh
  • https://radiomed.ru/sites/default/files/styles/case_slider_image/public/user/18954/img-0010-00009_4.jpg?itok=Ts_xXisq
  • https://radiomed.ru/sites/default/files/styles/case_slider_image/public/user/18954/img-0010-00010_4.jpg?itok=ZLFjOTJ7
  • https://radiomed.ru/sites/default/files/styles/case_slider_image/public/user/18954/img-0010-00011_4.jpg?itok=8ciFlUhT
  • https://radiomed.ru/sites/default/files/styles/case_slider_image/public/user/18954/img-0010-00012_4.jpg?itok=Q6PlOqYu
  • https://radiomed.ru/sites/default/files/styles/case_slider_image/public/user/18954/img-0010-00013_4.jpg?itok=fZVb2hou
  • https://radiomed.ru/sites/default/files/styles/case_slider_image/public/user/18954/img-0010-00014_4.jpg?itok=A4UEZejv
  • https://radiomed.ru/sites/default/files/styles/case_slider_image/public/user/18954/img-0010-00015_4.jpg?itok=3TvCyJkg
  • https://radiomed.ru/sites/default/files/styles/case_slider_image/public/user/18954/img-0010-00016_4.jpg?itok=G7auOr9c
  • https://radiomed.ru/sites/default/files/styles/case_slider_image/public/user/18954/img-0010-00017_4.jpg?itok=ppW5xTbC
  • https://radiomed.ru/sites/default/files/styles/case_slider_image/public/user/18954/img-0010-00018_4.jpg?itok=0f8YwZxQ
  • https://radiomed.ru/sites/default/files/styles/case_slider_image/public/user/18954/img-0010-00019_4.jpg?itok=NQ6Jnc2r
  • https://radiomed.ru/sites/default/files/styles/case_slider_image/public/user/18954/img-0010-00020_4.jpg?itok=VV6x2LIg
  • https://radiomed.ru/sites/default/files/styles/case_slider_image/public/user/18954/img-0010-00021_4.jpg?itok=i6JbimMm
  • https://radiomed.ru/sites/default/files/styles/case_slider_image/public/user/18954/img-0010-00022_4.jpg?itok=2BGqyIo9
  • https://radiomed.ru/sites/default/files/styles/case_slider_image/public/user/18954/img-0014-00001_2.jpg?itok=GrG3UTSB
  • https://radiomed.ru/sites/default/files/styles/case_slider_image/public/user/18954/img-0014-00002_2.jpg?itok=8o5Ixn62
  • https://radiomed.ru/sites/default/files/styles/case_slider_image/public/user/18954/img-0014-00003_2.jpg?itok=YGcZ9SJM
  • https://radiomed.ru/sites/default/files/styles/case_slider_image/public/user/18954/img-0014-00004_2.jpg?itok=oqlXz22W
  • https://radiomed.ru/sites/default/files/styles/case_slider_image/public/user/18954/img-0014-00005_2.jpg?itok=8wu2kR6N
  • https://radiomed.ru/sites/default/files/styles/case_slider_image/public/user/18954/img-0014-00006_2.jpg?itok=EcfaCKAt
  • https://radiomed.ru/sites/default/files/styles/case_slider_image/public/user/18954/img-0014-00007_2.jpg?itok=Zo73ZE2U
  • https://radiomed.ru/sites/default/files/styles/case_slider_image/public/user/18954/img-0014-00008_2.jpg?itok=cWW5kiKS
  • https://radiomed.ru/sites/default/files/styles/case_slider_image/public/user/18954/img-0014-00009_2.jpg?itok=3XJtcnIe
  • https://radiomed.ru/sites/default/files/styles/case_slider_image/public/user/18954/img-0014-00010_2.jpg?itok=2eTJngxn
  • https://radiomed.ru/sites/default/files/styles/case_slider_image/public/user/18954/img-0014-00011_2.jpg?itok=HyTzwfCi
  • https://radiomed.ru/sites/default/files/styles/case_slider_image/public/user/18954/img-0014-00012_2.jpg?itok=gBipNnQp
  • https://radiomed.ru/sites/default/files/styles/case_slider_image/public/user/18954/img-0014-00013_2.jpg?itok=wjAfDIia
  • https://radiomed.ru/sites/default/files/styles/case_slider_image/public/user/18954/img-0014-00014_2.jpg?itok=vtLfHZ1h
  • https://radiomed.ru/sites/default/files/styles/case_slider_image/public/user/18954/img-0014-00015_2.jpg?itok=jX-7raLK
  • https://radiomed.ru/sites/default/files/styles/case_slider_image/public/user/18954/img-0014-00016_2.jpg?itok=DB6WlE_7
  • https://radiomed.ru/sites/default/files/styles/case_slider_image/public/user/18954/img-0014-00017_2.jpg?itok=Da33abms
  • https://radiomed.ru/sites/default/files/styles/case_slider_image/public/user/18954/img-0014-00018_2.jpg?itok=HYwGihQy
  • https://radiomed.ru/sites/default/files/styles/case_slider_image/public/user/18954/img-0014-00019_2.jpg?itok=9WDzUt7-
  • https://radiomed.ru/sites/default/files/styles/case_slider_image/public/user/18954/img-0014-00020_2.jpg?itok=L-ezCYj9
  • https://radiomed.ru/sites/default/files/styles/case_slider_image/public/user/18954/img-0014-00021_2.jpg?itok=1xF1ELz7
  • https://radiomed.ru/sites/default/files/styles/case_slider_image/public/user/18954/img-0014-00022_2.jpg?itok=sJBd1S6S
  • https://radiomed.ru/sites/default/files/styles/case_slider_image/public/user/18954/img-0014-00023_2.jpg?itok=erKFYTA6
  • https://radiomed.ru/sites/default/files/styles/case_slider_image/public/user/18954/img-0014-00024_1.jpg?itok=fE10FFHT
  • https://radiomed.ru/sites/default/files/styles/case_slider_image/public/user/18954/img-0014-00025_1.jpg?itok=fHU16tg3
  • https://radiomed.ru/sites/default/files/styles/case_slider_image/public/user/18954/img-0014-00026_1.jpg?itok=3iaTclAJ
  • https://radiomed.ru/sites/default/files/styles/case_slider_image/public/user/18954/img-0014-00027_0.jpg?itok=YdpGkXJI
  • https://radiomed.ru/sites/default/files/styles/case_slider_image/public/user/18954/img-0014-00028_0.jpg?itok=gn9ZkaEy
  • https://radiomed.ru/sites/default/files/styles/case_slider_image/public/user/18954/img-0014-00029_0.jpg?itok=v8FwwQy3
  • https://radiomed.ru/sites/default/files/styles/case_slider_image/public/user/18954/img-0014-00030_0.jpg?itok=3lcl2hQd
  • https://radiomed.ru/sites/default/files/styles/case_slider_image/public/user/18954/img-0014-00031_0.jpg?itok=jNMpBzZb
  • https://radiomed.ru/sites/default/files/styles/case_slider_image/public/user/18954/img-0014-00032_0.jpg?itok=_cGZ46RV
  • https://radiomed.ru/sites/default/files/styles/case_slider_image/public/user/18954/img-0014-00033_0.jpg?itok=SScyGLwU
  • https://radiomed.ru/sites/default/files/styles/case_slider_image/public/user/18954/img-0014-00034_0.jpg?itok=s7-F84zR
  • https://radiomed.ru/sites/default/files/styles/case_slider_image/public/user/18954/img-0014-00035_0.jpg?itok=0wKNLdC9
  • https://radiomed.ru/sites/default/files/styles/case_slider_image/public/user/18954/img-0014-00036_0.jpg?itok=B-Mzw7kd
  • https://radiomed.ru/sites/default/files/styles/case_slider_image/public/user/18954/img-0014-00037_0.jpg?itok=td-MCX2t
  • https://radiomed.ru/sites/default/files/styles/case_slider_image/public/user/18954/img-0014-00038_0.jpg?itok=RPt3OOcA
  • https://radiomed.ru/sites/default/files/styles/case_slider_image/public/user/18954/img-0014-00039_0.jpg?itok=-_-sqXY9
  • https://radiomed.ru/sites/default/files/styles/case_slider_image/public/user/18954/img-0014-00040_0.jpg?itok=SXx2ayIb
  • https://radiomed.ru/sites/default/files/styles/case_slider_image/public/user/18954/img-0014-00041_0.jpg?itok=QnZUk9Ym
  • https://radiomed.ru/sites/default/files/styles/case_slider_image/public/user/18954/img-0014-00042_0.jpg?itok=hCTuETIK
  • https://radiomed.ru/sites/default/files/styles/case_slider_image/public/user/18954/img-0014-00043_0.jpg?itok=B_FPyxGb
  • https://radiomed.ru/sites/default/files/styles/case_slider_image/public/user/18954/img-0014-00044_0.jpg?itok=j3Ull838
  • https://radiomed.ru/sites/default/files/styles/case_slider_image/public/user/18954/img-0014-00045_0.jpg?itok=ViRMu4xP
  • https://radiomed.ru/sites/default/files/styles/case_slider_image/public/user/18954/img-0014-00046_0.jpg?itok=JvBjeINj
  • https://radiomed.ru/sites/default/files/styles/case_slider_image/public/user/18954/img-0014-00047.jpg?itok=AcM9CgqI
  • https://radiomed.ru/sites/default/files/styles/case_slider_image/public/user/18954/img-0014-00048.jpg?itok=nRCKalgE
  • https://radiomed.ru/sites/default/files/styles/case_slider_image/public/user/18954/img-0014-00049.jpg?itok=QGFIgx4v
  • https://radiomed.ru/sites/default/files/styles/case_slider_image/public/user/18954/img-0014-00050.jpg?itok=BWetMX1W
  • https://radiomed.ru/sites/default/files/styles/case_slider_image/public/user/18954/img-0014-00051.jpg?itok=3F_OORAI
  • https://radiomed.ru/sites/default/files/styles/case_slider_image/public/user/18954/img-0014-00052_0.jpg?itok=2yNErDrV
  • https://radiomed.ru/sites/default/files/styles/case_slider_image/public/user/18954/img-0014-00053_0.jpg?itok=a4p4KzAM
  • https://radiomed.ru/sites/default/files/styles/case_slider_image/public/user/18954/img-0014-00054_0.jpg?itok=7zc1t04g
  • https://radiomed.ru/sites/default/files/styles/case_slider_image/public/user/18954/img-0014-00055_0.jpg?itok=JKivROsB
  • https://radiomed.ru/sites/default/files/styles/case_slider_image/public/user/18954/img-0014-00056.jpg?itok=NdAfwmG0
  • https://radiomed.ru/sites/default/files/styles/case_slider_image/public/user/18954/img-0014-00057.jpg?itok=h-yUiJT9
  • https://radiomed.ru/sites/default/files/styles/case_slider_image/public/user/18954/img-0014-00058.jpg?itok=YpxXDLKl
  • https://radiomed.ru/sites/default/files/styles/case_slider_image/public/user/18954/img-0014-00059.jpg?itok=AQOVRxLM
  • https://radiomed.ru/sites/default/files/styles/case_slider_image/public/user/18954/img-0014-00060.jpg?itok=1lNIjWBW
  • https://radiomed.ru/sites/default/files/styles/case_slider_image/public/user/18954/img-0015-00001_2.jpg?itok=ZmtMGVIr
  • https://radiomed.ru/sites/default/files/styles/case_slider_image/public/user/18954/img-0015-00002_2.jpg?itok=DVkACr19
  • https://radiomed.ru/sites/default/files/styles/case_slider_image/public/user/18954/img-0015-00003_2.jpg?itok=oYc_xMH6
  • https://radiomed.ru/sites/default/files/styles/case_slider_image/public/user/18954/img-0015-00004_2.jpg?itok=UheEa4Xw
  • https://radiomed.ru/sites/default/files/styles/case_slider_image/public/user/18954/img-0015-00005_2.jpg?itok=bgSW_1Ko
  • https://radiomed.ru/sites/default/files/styles/case_slider_image/public/user/18954/img-0015-00006_2.jpg?itok=tsbvuD4c
  • https://radiomed.ru/sites/default/files/styles/case_slider_image/public/user/18954/img-0015-00007_2.jpg?itok=97mPyWeh
  • https://radiomed.ru/sites/default/files/styles/case_slider_image/public/user/18954/img-0015-00008_2.jpg?itok=p-41bvJU
  • https://radiomed.ru/sites/default/files/styles/case_slider_image/public/user/18954/img-0015-00009_2.jpg?itok=MXrsNKB3
  • https://radiomed.ru/sites/default/files/styles/case_slider_image/public/user/18954/img-0015-00010_2.jpg?itok=fMEbcpOL
  • https://radiomed.ru/sites/default/files/styles/case_slider_image/public/user/18954/img-0015-00011_2.jpg?itok=pGJmYpcI
  • https://radiomed.ru/sites/default/files/styles/case_slider_image/public/user/18954/img-0015-00012_2.jpg?itok=p_dgMMRI
  • https://radiomed.ru/sites/default/files/styles/case_slider_image/public/user/18954/img-0015-00013_2.jpg?itok=-j5WZyKB
  • https://radiomed.ru/sites/default/files/styles/case_slider_image/public/user/18954/img-0015-00014_2.jpg?itok=zqh9UZPo
  • https://radiomed.ru/sites/default/files/styles/case_slider_image/public/user/18954/img-0015-00015_2.jpg?itok=JURUxtSp
  • https://radiomed.ru/sites/default/files/styles/case_slider_image/public/user/18954/img-0015-00016_2.jpg?itok=ngwRInRZ
  • https://radiomed.ru/sites/default/files/styles/case_slider_image/public/user/18954/img-0015-00017_2.jpg?itok=ik1XbGu6
  • https://radiomed.ru/sites/default/files/styles/case_slider_image/public/user/18954/img-0015-00018_2.jpg?itok=ePzhs4GX
  • https://radiomed.ru/sites/default/files/styles/case_slider_image/public/user/18954/img-0015-00019_2.jpg?itok=42dBOkbu
  • https://radiomed.ru/sites/default/files/styles/case_slider_image/public/user/18954/img-0015-00020_2.jpg?itok=z8yr8Ioz
Сентябрь 2015 ID:62768

Февраль 2016

  • AX T2
  • Ax FLAIR
  • Ax T1
  • Cor T2
  • Cor FLAIR
  • Sag T2
  • DWI Isotropic
  • ADC
  • https://radiomed.ru/sites/default/files/styles/case_slider_image/public/user/18954/img-0002-00001_25.jpg?itok=xjAd2z2L
  • https://radiomed.ru/sites/default/files/styles/case_slider_image/public/user/18954/img-0002-00002_23.jpg?itok=ErRHP_ZO
  • https://radiomed.ru/sites/default/files/styles/case_slider_image/public/user/18954/img-0002-00003_20.jpg?itok=nkrT39RV
  • https://radiomed.ru/sites/default/files/styles/case_slider_image/public/user/18954/img-0002-00004_20.jpg?itok=9IDAZO2s
  • https://radiomed.ru/sites/default/files/styles/case_slider_image/public/user/18954/img-0002-00005_20.jpg?itok=sqWSJSdL
  • https://radiomed.ru/sites/default/files/styles/case_slider_image/public/user/18954/img-0002-00006_20.jpg?itok=I2P3KUFq
  • https://radiomed.ru/sites/default/files/styles/case_slider_image/public/user/18954/img-0002-00007_20.jpg?itok=R7bA8_AE
  • https://radiomed.ru/sites/default/files/styles/case_slider_image/public/user/18954/img-0002-00008_20.jpg?itok=3J0IgE0K
  • https://radiomed.ru/sites/default/files/styles/case_slider_image/public/user/18954/img-0002-00009_20.jpg?itok=WVkwU5c0
  • https://radiomed.ru/sites/default/files/styles/case_slider_image/public/user/18954/img-0002-00010_20.jpg?itok=nTu-lyyL
  • https://radiomed.ru/sites/default/files/styles/case_slider_image/public/user/18954/img-0002-00011_19.jpg?itok=v5LUeQSN
  • https://radiomed.ru/sites/default/files/styles/case_slider_image/public/user/18954/img-0002-00012_19.jpg?itok=Z7KwIfiF
  • https://radiomed.ru/sites/default/files/styles/case_slider_image/public/user/18954/img-0002-00013_19.jpg?itok=7ztvt26Y
  • https://radiomed.ru/sites/default/files/styles/case_slider_image/public/user/18954/img-0002-00014_16.jpg?itok=oFNoSIso
  • https://radiomed.ru/sites/default/files/styles/case_slider_image/public/user/18954/img-0002-00015_16.jpg?itok=cwgX0lAR
  • https://radiomed.ru/sites/default/files/styles/case_slider_image/public/user/18954/img-0002-00016_16.jpg?itok=gandMqK2
  • https://radiomed.ru/sites/default/files/styles/case_slider_image/public/user/18954/img-0002-00017_16.jpg?itok=c2cbzq61
  • https://radiomed.ru/sites/default/files/styles/case_slider_image/public/user/18954/img-0002-00018_16.jpg?itok=hqM5NSbC
  • https://radiomed.ru/sites/default/files/styles/case_slider_image/public/user/18954/img-0002-00019_16.jpg?itok=KR49XbE4
  • https://radiomed.ru/sites/default/files/styles/case_slider_image/public/user/18954/img-0002-00020_16.jpg?itok=EqWuqX5C
  • https://radiomed.ru/sites/default/files/styles/case_slider_image/public/user/18954/img-0002-00021_16.jpg?itok=FT7z8fnk
  • https://radiomed.ru/sites/default/files/styles/case_slider_image/public/user/18954/img-0002-00022_13.jpg?itok=PzGEGwEb
  • https://radiomed.ru/sites/default/files/styles/case_slider_image/public/user/18954/img-0002-00023_13.jpg?itok=au-5SEYv
  • https://radiomed.ru/sites/default/files/styles/case_slider_image/public/user/18954/img-0002-00024_12.jpg?itok=2IPDe7c0
  • https://radiomed.ru/sites/default/files/styles/case_slider_image/public/user/18954/img-0002-00025_12.jpg?itok=E_UYzZGG
  • https://radiomed.ru/sites/default/files/styles/case_slider_image/public/user/18954/img-0004-00001_19.jpg?itok=WchhIp9o
  • https://radiomed.ru/sites/default/files/styles/case_slider_image/public/user/18954/img-0004-00002_18.jpg?itok=SGxWsJ5i
  • https://radiomed.ru/sites/default/files/styles/case_slider_image/public/user/18954/img-0004-00003_18.jpg?itok=R8RQV9r2
  • https://radiomed.ru/sites/default/files/styles/case_slider_image/public/user/18954/img-0004-00004_17.jpg?itok=hO1uSlrW
  • https://radiomed.ru/sites/default/files/styles/case_slider_image/public/user/18954/img-0004-00005_17.jpg?itok=zmIJ2dtZ
  • https://radiomed.ru/sites/default/files/styles/case_slider_image/public/user/18954/img-0004-00006_17.jpg?itok=3NhmaZ8K
  • https://radiomed.ru/sites/default/files/styles/case_slider_image/public/user/18954/img-0004-00007_17.jpg?itok=qQYX2pnu
  • https://radiomed.ru/sites/default/files/styles/case_slider_image/public/user/18954/img-0004-00008_17.jpg?itok=UFraWDbs
  • https://radiomed.ru/sites/default/files/styles/case_slider_image/public/user/18954/img-0004-00009_17.jpg?itok=hhw3tjqg
  • https://radiomed.ru/sites/default/files/styles/case_slider_image/public/user/18954/img-0004-00010_17.jpg?itok=LehmRa75
  • https://radiomed.ru/sites/default/files/styles/case_slider_image/public/user/18954/img-0004-00011_17.jpg?itok=zDRyAsjX
  • https://radiomed.ru/sites/default/files/styles/case_slider_image/public/user/18954/img-0004-00012_17.jpg?itok=1nX-BgdH
  • https://radiomed.ru/sites/default/files/styles/case_slider_image/public/user/18954/img-0004-00013_17.jpg?itok=FCYKLtgE
  • https://radiomed.ru/sites/default/files/styles/case_slider_image/public/user/18954/img-0004-00014_15.jpg?itok=4RuXpUyj
  • https://radiomed.ru/sites/default/files/styles/case_slider_image/public/user/18954/img-0004-00015_15.jpg?itok=0RsEwRXf
  • https://radiomed.ru/sites/default/files/styles/case_slider_image/public/user/18954/img-0004-00016_15.jpg?itok=H7ah90WP
  • https://radiomed.ru/sites/default/files/styles/case_slider_image/public/user/18954/img-0004-00017_15.jpg?itok=VPfisawr
  • https://radiomed.ru/sites/default/files/styles/case_slider_image/public/user/18954/img-0004-00018_15.jpg?itok=iFIiU049
  • https://radiomed.ru/sites/default/files/styles/case_slider_image/public/user/18954/img-0004-00019_15.jpg?itok=Wcx6yyTX
  • https://radiomed.ru/sites/default/files/styles/case_slider_image/public/user/18954/img-0004-00020_14.jpg?itok=zKNiChN6
  • https://radiomed.ru/sites/default/files/styles/case_slider_image/public/user/18954/img-0004-00021_15.jpg?itok=5Dvw4mHM
  • https://radiomed.ru/sites/default/files/styles/case_slider_image/public/user/18954/img-0004-00022_15.jpg?itok=Tf02JtvD
  • https://radiomed.ru/sites/default/files/styles/case_slider_image/public/user/18954/img-0004-00023_14.jpg?itok=rkOGduUt
  • https://radiomed.ru/sites/default/files/styles/case_slider_image/public/user/18954/img-0004-00024_12.jpg?itok=ozA_S2Wn
  • https://radiomed.ru/sites/default/files/styles/case_slider_image/public/user/18954/img-0004-00025_11.jpg?itok=HG8d3DaF
  • https://radiomed.ru/sites/default/files/styles/case_slider_image/public/user/18954/img-0005-00001_15.jpg?itok=guZs9Hth
  • https://radiomed.ru/sites/default/files/styles/case_slider_image/public/user/18954/img-0005-00002_15.jpg?itok=XzctdKHU
  • https://radiomed.ru/sites/default/files/styles/case_slider_image/public/user/18954/img-0005-00003_15.jpg?itok=RDE2G_Pw
  • https://radiomed.ru/sites/default/files/styles/case_slider_image/public/user/18954/img-0005-00004_15.jpg?itok=rAgrPUUF
  • https://radiomed.ru/sites/default/files/styles/case_slider_image/public/user/18954/img-0005-00005_15.jpg?itok=CHEZTHdN
  • https://radiomed.ru/sites/default/files/styles/case_slider_image/public/user/18954/img-0005-00006_15.jpg?itok=_NYTN15S
  • https://radiomed.ru/sites/default/files/styles/case_slider_image/public/user/18954/img-0005-00007_15.jpg?itok=9eGwtbjr
  • https://radiomed.ru/sites/default/files/styles/case_slider_image/public/user/18954/img-0005-00008_15.jpg?itok=RBWTJXD8
  • https://radiomed.ru/sites/default/files/styles/case_slider_image/public/user/18954/img-0005-00009_15.jpg?itok=9BQQXM5b
  • https://radiomed.ru/sites/default/files/styles/case_slider_image/public/user/18954/img-0005-00010_15.jpg?itok=vDNd5HGq
  • https://radiomed.ru/sites/default/files/styles/case_slider_image/public/user/18954/img-0005-00011_15.jpg?itok=zy-B1rB9
  • https://radiomed.ru/sites/default/files/styles/case_slider_image/public/user/18954/img-0005-00012_15.jpg?itok=Jxm2rPDe
  • https://radiomed.ru/sites/default/files/styles/case_slider_image/public/user/18954/img-0005-00013_15.jpg?itok=QbHFTr3z
  • https://radiomed.ru/sites/default/files/styles/case_slider_image/public/user/18954/img-0005-00014_14.jpg?itok=jI97AXJF
  • https://radiomed.ru/sites/default/files/styles/case_slider_image/public/user/18954/img-0005-00015_14.jpg?itok=3Ztk2Ka5
  • https://radiomed.ru/sites/default/files/styles/case_slider_image/public/user/18954/img-0005-00016_14.jpg?itok=wn5akXus
  • https://radiomed.ru/sites/default/files/styles/case_slider_image/public/user/18954/img-0005-00017_14.jpg?itok=XCdHyxRG
  • https://radiomed.ru/sites/default/files/styles/case_slider_image/public/user/18954/img-0005-00018_14.jpg?itok=6UY9eaoD
  • https://radiomed.ru/sites/default/files/styles/case_slider_image/public/user/18954/img-0005-00019_14.jpg?itok=Iih5je6V
  • https://radiomed.ru/sites/default/files/styles/case_slider_image/public/user/18954/img-0005-00020_14.jpg?itok=PBk5n-FE
  • https://radiomed.ru/sites/default/files/styles/case_slider_image/public/user/18954/img-0005-00021_14.jpg?itok=gDENDuVe
  • https://radiomed.ru/sites/default/files/styles/case_slider_image/public/user/18954/img-0005-00022_13.jpg?itok=8D_o32Y4
  • https://radiomed.ru/sites/default/files/styles/case_slider_image/public/user/18954/img-0005-00023_13.jpg?itok=34kFc5On
  • https://radiomed.ru/sites/default/files/styles/case_slider_image/public/user/18954/img-0005-00024_12.jpg?itok=0wUKDTMs
  • https://radiomed.ru/sites/default/files/styles/case_slider_image/public/user/18954/img-0005-00025_10.jpg?itok=oRz2Ljkf
  • https://radiomed.ru/sites/default/files/styles/case_slider_image/public/user/18954/img-0005-00026_5.jpg?itok=amNqnnhJ
  • https://radiomed.ru/sites/default/files/styles/case_slider_image/public/user/18954/img-0005-00027_5.jpg?itok=Npuz04nW
  • https://radiomed.ru/sites/default/files/styles/case_slider_image/public/user/18954/img-0005-00028_5.jpg?itok=TDPp_UWb
  • https://radiomed.ru/sites/default/files/styles/case_slider_image/public/user/18954/img-0005-00029_5.jpg?itok=qMlJ2j8f
  • https://radiomed.ru/sites/default/files/styles/case_slider_image/public/user/18954/img-0006-00001_9.jpg?itok=kiednmYH
  • https://radiomed.ru/sites/default/files/styles/case_slider_image/public/user/18954/img-0006-00002_8.jpg?itok=TcGK5dZh
  • https://radiomed.ru/sites/default/files/styles/case_slider_image/public/user/18954/img-0006-00003_8.jpg?itok=zUeWr50z
  • https://radiomed.ru/sites/default/files/styles/case_slider_image/public/user/18954/img-0006-00004_8.jpg?itok=FqpWZYfX
  • https://radiomed.ru/sites/default/files/styles/case_slider_image/public/user/18954/img-0006-00005_8.jpg?itok=KEQryUvb
  • https://radiomed.ru/sites/default/files/styles/case_slider_image/public/user/18954/img-0006-00006_8.jpg?itok=eiBBIM9B
  • https://radiomed.ru/sites/default/files/styles/case_slider_image/public/user/18954/img-0006-00007_8.jpg?itok=-lfj2XPf
  • https://radiomed.ru/sites/default/files/styles/case_slider_image/public/user/18954/img-0006-00008_8.jpg?itok=x7Nhbs2a
  • https://radiomed.ru/sites/default/files/styles/case_slider_image/public/user/18954/img-0006-00009_8.jpg?itok=rZSgr3aZ
  • https://radiomed.ru/sites/default/files/styles/case_slider_image/public/user/18954/img-0006-00010_8.jpg?itok=iPeiLs00
  • https://radiomed.ru/sites/default/files/styles/case_slider_image/public/user/18954/img-0006-00011_8.jpg?itok=nmH294Zi
  • https://radiomed.ru/sites/default/files/styles/case_slider_image/public/user/18954/img-0006-00012_8.jpg?itok=bh0oEcjg
  • https://radiomed.ru/sites/default/files/styles/case_slider_image/public/user/18954/img-0006-00013_8.jpg?itok=poVQ8fd2
  • https://radiomed.ru/sites/default/files/styles/case_slider_image/public/user/18954/img-0006-00014_8.jpg?itok=G_1L5g6X
  • https://radiomed.ru/sites/default/files/styles/case_slider_image/public/user/18954/img-0006-00015_8.jpg?itok=H0wzZ5Ps
  • https://radiomed.ru/sites/default/files/styles/case_slider_image/public/user/18954/img-0006-00016_8.jpg?itok=V-mMHnOu
  • https://radiomed.ru/sites/default/files/styles/case_slider_image/public/user/18954/img-0006-00017_8.jpg?itok=RWAP3B4P
  • https://radiomed.ru/sites/default/files/styles/case_slider_image/public/user/18954/img-0006-00018_8.jpg?itok=B3jQnRz2
  • https://radiomed.ru/sites/default/files/styles/case_slider_image/public/user/18954/img-0006-00019_8.jpg?itok=spHLqpOQ
  • https://radiomed.ru/sites/default/files/styles/case_slider_image/public/user/18954/img-0006-00020_8.jpg?itok=nrV3eOow
  • https://radiomed.ru/sites/default/files/styles/case_slider_image/public/user/18954/img-0006-00021_8.jpg?itok=BkhIB0Jd
  • https://radiomed.ru/sites/default/files/styles/case_slider_image/public/user/18954/img-0006-00022_8.jpg?itok=BeuoUuaU
  • https://radiomed.ru/sites/default/files/styles/case_slider_image/public/user/18954/img-0006-00023_8.jpg?itok=T-6DZrUD
  • https://radiomed.ru/sites/default/files/styles/case_slider_image/public/user/18954/img-0006-00024_6.jpg?itok=deycav31
  • https://radiomed.ru/sites/default/files/styles/case_slider_image/public/user/18954/img-0006-00025_5.jpg?itok=vA6fDdSW
  • https://radiomed.ru/sites/default/files/styles/case_slider_image/public/user/18954/img-0006-00026_5.jpg?itok=I_TIlR_N
  • https://radiomed.ru/sites/default/files/styles/case_slider_image/public/user/18954/img-0006-00027_5.jpg?itok=if5SKRzM
  • https://radiomed.ru/sites/default/files/styles/case_slider_image/public/user/18954/img-0003-00001_19.jpg?itok=OGiMgYW7
  • https://radiomed.ru/sites/default/files/styles/case_slider_image/public/user/18954/img-0003-00002_17.jpg?itok=0SoE6jJp
  • https://radiomed.ru/sites/default/files/styles/case_slider_image/public/user/18954/img-0003-00003_16.jpg?itok=ah0uLxMg
  • https://radiomed.ru/sites/default/files/styles/case_slider_image/public/user/18954/img-0003-00004_16.jpg?itok=u7DyooSH
  • https://radiomed.ru/sites/default/files/styles/case_slider_image/public/user/18954/img-0003-00005_16.jpg?itok=KkuPW5LE
  • https://radiomed.ru/sites/default/files/styles/case_slider_image/public/user/18954/img-0003-00006_16.jpg?itok=KPFYEbxI
  • https://radiomed.ru/sites/default/files/styles/case_slider_image/public/user/18954/img-0003-00007_16.jpg?itok=oEA2Z8j0
  • https://radiomed.ru/sites/default/files/styles/case_slider_image/public/user/18954/img-0003-00008_16.jpg?itok=fKsa4IxA
  • https://radiomed.ru/sites/default/files/styles/case_slider_image/public/user/18954/img-0003-00009_16.jpg?itok=W5wbe4ug
  • https://radiomed.ru/sites/default/files/styles/case_slider_image/public/user/18954/img-0003-00010_16.jpg?itok=9Fu0Vuw6
  • https://radiomed.ru/sites/default/files/styles/case_slider_image/public/user/18954/img-0003-00011_16.jpg?itok=4NCteqdD
  • https://radiomed.ru/sites/default/files/styles/case_slider_image/public/user/18954/img-0003-00012_17.jpg?itok=dL7eGaPP
  • https://radiomed.ru/sites/default/files/styles/case_slider_image/public/user/18954/img-0003-00013_17.jpg?itok=18HvYMb8
  • https://radiomed.ru/sites/default/files/styles/case_slider_image/public/user/18954/img-0003-00014_16.jpg?itok=UG2dXAay
  • https://radiomed.ru/sites/default/files/styles/case_slider_image/public/user/18954/img-0003-00015_16.jpg?itok=kUvlfk5F
  • https://radiomed.ru/sites/default/files/styles/case_slider_image/public/user/18954/img-0003-00016_16.jpg?itok=VrEoiaMb
  • https://radiomed.ru/sites/default/files/styles/case_slider_image/public/user/18954/img-0003-00017_16.jpg?itok=sBTtFmdW
  • https://radiomed.ru/sites/default/files/styles/case_slider_image/public/user/18954/img-0003-00018_16.jpg?itok=E7ELrK_S
  • https://radiomed.ru/sites/default/files/styles/case_slider_image/public/user/18954/img-0003-00019_16.jpg?itok=oaDcQkXH
  • https://radiomed.ru/sites/default/files/styles/case_slider_image/public/user/18954/img-0003-00020_16.jpg?itok=YwNocNRQ
  • https://radiomed.ru/sites/default/files/styles/case_slider_image/public/user/18954/img-0003-00021_14.jpg?itok=4mSFX3ep
  • https://radiomed.ru/sites/default/files/styles/case_slider_image/public/user/18954/img-0003-00022_12.jpg?itok=re2733qT
  • https://radiomed.ru/sites/default/files/styles/case_slider_image/public/user/18954/img-0003-00023_10.jpg?itok=7hpvVjMI
  • https://radiomed.ru/sites/default/files/styles/case_slider_image/public/user/18954/img-0003-00024_9.jpg?itok=VTy_0jea
  • https://radiomed.ru/sites/default/files/styles/case_slider_image/public/user/18954/img-0003-00025_9.jpg?itok=SAD2EbqA
  • https://radiomed.ru/sites/default/files/styles/case_slider_image/public/user/18954/img-0007-00001_11.jpg?itok=EJdrXArJ
  • https://radiomed.ru/sites/default/files/styles/case_slider_image/public/user/18954/img-0007-00002_10.jpg?itok=e0Wqk3uE
  • https://radiomed.ru/sites/default/files/styles/case_slider_image/public/user/18954/img-0007-00003_10.jpg?itok=oUvEI308
  • https://radiomed.ru/sites/default/files/styles/case_slider_image/public/user/18954/img-0007-00004_10.jpg?itok=sPBW5eqa
  • https://radiomed.ru/sites/default/files/styles/case_slider_image/public/user/18954/img-0007-00005_10.jpg?itok=2dxxaRgq
  • https://radiomed.ru/sites/default/files/styles/case_slider_image/public/user/18954/img-0007-00006_10.jpg?itok=cKmCUKFz
  • https://radiomed.ru/sites/default/files/styles/case_slider_image/public/user/18954/img-0007-00007_10.jpg?itok=GnNkecJc
  • https://radiomed.ru/sites/default/files/styles/case_slider_image/public/user/18954/img-0007-00008_10.jpg?itok=hFXP7W9Z
  • https://radiomed.ru/sites/default/files/styles/case_slider_image/public/user/18954/img-0007-00009_10.jpg?itok=KHp_OB8J
  • https://radiomed.ru/sites/default/files/styles/case_slider_image/public/user/18954/img-0007-00010_10.jpg?itok=2GBraRW_
  • https://radiomed.ru/sites/default/files/styles/case_slider_image/public/user/18954/img-0007-00011_10.jpg?itok=n3B0deE_
  • https://radiomed.ru/sites/default/files/styles/case_slider_image/public/user/18954/img-0007-00012_10.jpg?itok=tncHN1Cr
  • https://radiomed.ru/sites/default/files/styles/case_slider_image/public/user/18954/img-0007-00013_10.jpg?itok=SZRKHcjA
  • https://radiomed.ru/sites/default/files/styles/case_slider_image/public/user/18954/img-0007-00014_10.jpg?itok=zRrPAgrB
  • https://radiomed.ru/sites/default/files/styles/case_slider_image/public/user/18954/img-0007-00015_10.jpg?itok=TRbqS-Vj
  • https://radiomed.ru/sites/default/files/styles/case_slider_image/public/user/18954/img-0007-00016_10.jpg?itok=Im63ikC0
  • https://radiomed.ru/sites/default/files/styles/case_slider_image/public/user/18954/img-0007-00017_10.jpg?itok=FSl0Kugb
  • https://radiomed.ru/sites/default/files/styles/case_slider_image/public/user/18954/img-0007-00018_10.jpg?itok=bGlwMZOD
  • https://radiomed.ru/sites/default/files/styles/case_slider_image/public/user/18954/img-0007-00019_10.jpg?itok=WK_He8Ot
  • https://radiomed.ru/sites/default/files/styles/case_slider_image/public/user/18954/img-0007-00020_10.jpg?itok=IyTiOYHx
  • https://radiomed.ru/sites/default/files/styles/case_slider_image/public/user/18954/img-0007-00021_10.jpg?itok=mmHKkWpR
  • https://radiomed.ru/sites/default/files/styles/case_slider_image/public/user/18954/img-0007-00022_10.jpg?itok=uHk7JHLC
  • https://radiomed.ru/sites/default/files/styles/case_slider_image/public/user/18954/img-0007-00023_10.jpg?itok=JO74r8VA
  • https://radiomed.ru/sites/default/files/styles/case_slider_image/public/user/18954/img-0008-00001_7.jpg?itok=Irx4pFaN
  • https://radiomed.ru/sites/default/files/styles/case_slider_image/public/user/18954/img-0008-00002_6.jpg?itok=DWQPuSaH
  • https://radiomed.ru/sites/default/files/styles/case_slider_image/public/user/18954/img-0008-00003_6.jpg?itok=V55-11SA
  • https://radiomed.ru/sites/default/files/styles/case_slider_image/public/user/18954/img-0008-00004_5.jpg?itok=k6mgUVFo
  • https://radiomed.ru/sites/default/files/styles/case_slider_image/public/user/18954/img-0008-00005_5.jpg?itok=ll53RY6W
  • https://radiomed.ru/sites/default/files/styles/case_slider_image/public/user/18954/img-0008-00006_5.jpg?itok=zyJFe3-k
  • https://radiomed.ru/sites/default/files/styles/case_slider_image/public/user/18954/img-0008-00007_5.jpg?itok=a1v1LIAW
  • https://radiomed.ru/sites/default/files/styles/case_slider_image/public/user/18954/img-0008-00008_5.jpg?itok=kEeEqBue
  • https://radiomed.ru/sites/default/files/styles/case_slider_image/public/user/18954/img-0008-00009_5.jpg?itok=A8kVMOyH
  • https://radiomed.ru/sites/default/files/styles/case_slider_image/public/user/18954/img-0008-00010_5.jpg?itok=0NwHkEsO
  • https://radiomed.ru/sites/default/files/styles/case_slider_image/public/user/18954/img-0008-00011_5.jpg?itok=Jn0sxOh4
  • https://radiomed.ru/sites/default/files/styles/case_slider_image/public/user/18954/img-0008-00012_5.jpg?itok=DMNbCuz5
  • https://radiomed.ru/sites/default/files/styles/case_slider_image/public/user/18954/img-0008-00013_5.jpg?itok=V-SvTk01
  • https://radiomed.ru/sites/default/files/styles/case_slider_image/public/user/18954/img-0008-00014_5.jpg?itok=QNzvSv5e
  • https://radiomed.ru/sites/default/files/styles/case_slider_image/public/user/18954/img-0008-00015_5.jpg?itok=MNkZdzw_
  • https://radiomed.ru/sites/default/files/styles/case_slider_image/public/user/18954/img-0008-00016_5.jpg?itok=djv0yjIy
  • https://radiomed.ru/sites/default/files/styles/case_slider_image/public/user/18954/img-0008-00017_5.jpg?itok=WGotxtmO
  • https://radiomed.ru/sites/default/files/styles/case_slider_image/public/user/18954/img-0008-00018_5.jpg?itok=NmOHwas_
  • https://radiomed.ru/sites/default/files/styles/case_slider_image/public/user/18954/img-0008-00019_5.jpg?itok=6yfHJ3pm
  • https://radiomed.ru/sites/default/files/styles/case_slider_image/public/user/18954/img-0008-00020_5.jpg?itok=c0wmq0nN
  • https://radiomed.ru/sites/default/files/styles/case_slider_image/public/user/18954/img-0008-00021_5.jpg?itok=KH9_ZQSs
  • https://radiomed.ru/sites/default/files/styles/case_slider_image/public/user/18954/img-0008-00022_5.jpg?itok=1I_bX5D-
  • https://radiomed.ru/sites/default/files/styles/case_slider_image/public/user/18954/img-0008-00023_5.jpg?itok=3e-sGGLf
Февраль 2016 ID:62779
Цель публикации: 
Alex аватар
Не на сайте
Был на сайте: 3 года 6 месяцев назад
Зарегистрирован: 19.06.2009 - 16:43
Публикации: 174

Действительно, динамика отрицательная и на первичную демиелинизацию не тянет. Какой-то продолжающийся энцефалит, какой именно и гадать нечего, это не наше дело, навскидку можно написать длинный ряд типа Эбштейна-Барра и пр, всё требует серологического доказательства.. В стволе ничего не увидел. Поражено белое и серое вещество.

Игрок аватар
Не на сайте
Был на сайте: 9 лет 1 неделя назад
Зарегистрирован: 15.10.2015 - 17:29
Публикации: 2321

Alex wrote:

...Какой-то продолжающийся энцефалит, какой именно и гадать нечего, это не наше дело, навскидку можно написать длинный ряд типа Эбштейна-Барра и пр, всё требует серологического доказательства...

... лихорадка Цуцугамуши!..*

* - из доктора Данилова А.Шляхова.))

Страсть - сила любви!

Nobody