Пол пациента:
Тип патологии:
Область исследования:
Пациентке 79 лет. Заказана рентгенография ОГК перед операцией (механическая желтуха, камень холедоха). Что скажете, уважаемые коллеги?
КТ:
- https://radiomed.ru/sites/default/files/styles/case_slider_image/public/user/2841/sdc12236a.jpg?itok=DowoXily
- https://radiomed.ru/sites/default/files/styles/case_slider_image/public/user/2841/sdc12237b.jpg?itok=yj3cMTdb
- https://radiomed.ru/sites/default/files/styles/case_slider_image/public/user/2841/sdc12239b.jpg?itok=vDV0ZRtS
- https://radiomed.ru/sites/default/files/styles/case_slider_image/public/user/2841/79-zhen0010-.jpg?itok=4uq68sgc
- https://radiomed.ru/sites/default/files/styles/case_slider_image/public/user/2841/79-zhen0011-.jpg?itok=Set09oON
- https://radiomed.ru/sites/default/files/styles/case_slider_image/public/user/2841/79-zhen0012-.jpg?itok=5idt1UcX
- https://radiomed.ru/sites/default/files/styles/case_slider_image/public/user/2841/79-zhen0013-.jpg?itok=PjSiETY9
- https://radiomed.ru/sites/default/files/styles/case_slider_image/public/user/2841/79-zhen0014-.jpg?itok=qDi7h42O
- https://radiomed.ru/sites/default/files/styles/case_slider_image/public/user/2841/79-zhen0015-.jpg?itok=oBX09PU4
- https://radiomed.ru/sites/default/files/styles/case_slider_image/public/user/2841/79-zhen0016-.jpg?itok=hpdbrxE4
- https://radiomed.ru/sites/default/files/styles/case_slider_image/public/user/2841/79-zhen0017-.jpg?itok=uQQPpgWr
- https://radiomed.ru/sites/default/files/styles/case_slider_image/public/user/2841/79-zhen0003pr.jpg?itok=3GfFwOLG
- https://radiomed.ru/sites/default/files/styles/case_slider_image/public/user/2841/79-zhen0004pr.jpg?itok=eL3MBTHa
- https://radiomed.ru/sites/default/files/styles/case_slider_image/public/user/2841/79-zhen0018-.jpg?itok=K9LrTJoJ
- https://radiomed.ru/sites/default/files/styles/case_slider_image/public/user/2841/79-zhen0020-.jpg?itok=LA3I0HMz
ID:14343
А. почему "интересные лёгкие"? На мой взгляд "интересное средостение".
Поймали, Валентин Львович)). Интересное средостение, конечно же.
https://www.youtube.com/channel/UCBGxoBUOqUT_bFhSeUgtWEw
которая выставлена на сайте В.Л.Катенёвым, начнет реально работать. С уважением Nik
Мне диагноз понятен, хотя и не верифицирован. А мнения по случаю будут?
https://www.youtube.com/channel/UCBGxoBUOqUT_bFhSeUgtWEw
Я, конечно заберу эти изображения в ту методичку по средостению, но тогда, когда интрига будет завершена.
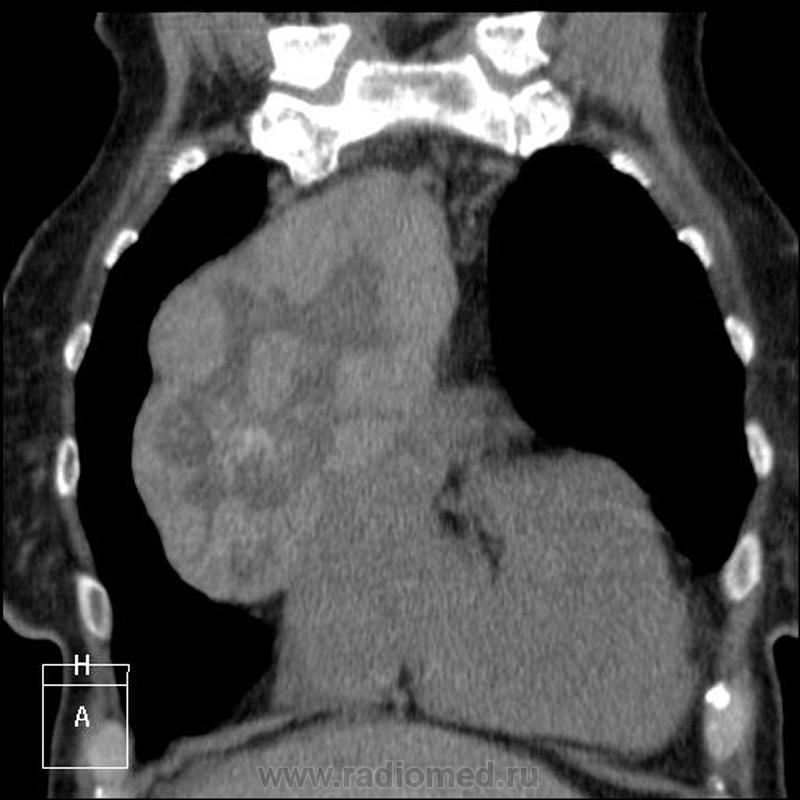
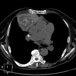
Думаю, что интригу с таким какчеством репродукций не создать. Так что пошла закачивать КТшки. Пациентка уже лечилась в мае 2011 по поводу ЖКБ. Тогда же выявлено образование средостения, динамики от сегодняшнего снимка нет. Сколько лет не проходила ФЛГ - неизвестно. Исследования ОГК проводились не мной, разрешение на демонстрацию КТ любезно предоставленно моим коллегой.
https://www.youtube.com/channel/UCBGxoBUOqUT_bFhSeUgtWEw
Мы сейчас начали чистить "яму районного масштаба". В яме, не проходившие флюшку более 3 лет. Среди "жителей ямы" фактически здоровеньких нет, есть Величество, но превалирует "опухолевый рост", некоторые случаи навевают полную безнадёгу...
Вставила КТ, совсем немножко "зажала" до завтра))
https://www.youtube.com/channel/UCBGxoBUOqUT_bFhSeUgtWEw
Конечно, если "КаТой" не контактировать, так трудновато для рутинного рентгенолога. Но, известь и всякая "дрянь" навевают мысли на "тератома - дермоидная киста".
По рентгенограмме и верхнее средостение не того...
Так верхнее потому и "зажала"
......
https://www.youtube.com/channel/UCBGxoBUOqUT_bFhSeUgtWEw
До КТ по обзорному снимку в передней прямой проекции - тимома (бугристые, четкие контуры). По боковому - тератома (овальной формы, контуры четкие, ровные, соответствуещее положение). После КТ - тератома (неоднородная структура, плотные включения высокой интенсивности). Думаю еще об одной патологии, но слишком низко расположена. Был хороший повод ещё раз прочитать пособие, вспомнить средостение и т.д. Девиз: больной...книга...анализ...больной в действии. С уважением Nik
Уж не на пищевод ли Вы своим "зажимом" намекаете?
Нет, Валентин Львович. А мысль Nikolasa, недосказанная, вполне может быть правильной.
https://www.youtube.com/channel/UCBGxoBUOqUT_bFhSeUgtWEw
"А, поговорить...", как повествуют "Свидетели Иеговы"?
И поговорим)): расширение верхнего средостения+бугристая здоровая такая штука в переднем средостении от дуги аорты до 5-го переднего межреберья. Что в сумме получается?
https://www.youtube.com/channel/UCBGxoBUOqUT_bFhSeUgtWEw
Загрудинный здоровенный зоб...осталось увидеть только перешеек, связывающий его с основной массой щитовидки....
Болезни ног: виды, симптомы, причины, профилактика и лечение
В "яблочко"!
https://www.youtube.com/channel/UCBGxoBUOqUT_bFhSeUgtWEw
Я тоже думаю, что зоб, но верификации нет, и скорее всего, не будет. Недостающие изображения:
https://www.youtube.com/channel/UCBGxoBUOqUT_bFhSeUgtWEw
Красиво.....вот и долгожданный перешеек....
Болезни ног: виды, симптомы, причины, профилактика и лечение
Но, как профессионально основное "зажала"?
Здравствуйте, Валентин Львович!
Школу Радиомеда видно сразу ))))...потому и профессионально ))))...
Болезни ног: виды, симптомы, причины, профилактика и лечение
Здравствуйте Виктор Григорьевич!
"Евины дочки", Прекрасные Дамы - им многое прощается! А, Людмила Григорьевна, еще Прекрасная Дама с "изюминкой", хотя и схоронилась за образом улитки...
есть весы. Поздравляем коллегу с первым местом. Надо бы на сайте отвести уголок для необыкновенных, нестандартных или редких случаев из практики. Но вносить их в такую папку необходимо после всестороннего обсуждения специалистов сайта, а именно, помещать или не помещать конкретный клинический материал. Всегда можно будет заглянуть в необычные варианты патологических процессов для решения практических задач. Считаю, надо поблагодарить Людмилу Григорьевну за отличный клинический пример С уважением Nikolas
Захвалили... спасибо за добрые слова и цветы! Рада, что случай понравился.
https://www.youtube.com/channel/UCBGxoBUOqUT_bFhSeUgtWEw
"Изюму" - привет!
Итак, всеобщее мнение, что "ЭТО" растет из щитовидной железы?
Неоднозначно всё
Я то же думаю, что очень низко расположено образование для зоба и узел если это зоб, больше в размерах снизу- несколько нелогично.Сбалмашная мысль, но сначала мне показалось, что образование по структуре напоминает почку.Может кто-то ещё из КТ-шников прокомментирует этот интересный случай.
На мой взгляд, для "необыкновенных, нестандартных или редких случаев из практики" должна быть особо важна тщательная проверка достоверности рентгенологического заключения. Именно вследствие перечисленных свойств. Каковую проверку-верификацию "всестороннее обсуждение специалистов сайта" может дополнить, но вряд ли заменить.
В данном наблюдении ясности пока нет.
Неоднозначно всё
Неоднозначно всё
Я еще пойму, кода камень за пазухой носят...но ПОЧКУ!!!!...это действительно было бы КРУТО (хотя похоже, тут Алмо в наблюдательности не откажешь)
Болезни ног: виды, симптомы, причины, профилактика и лечение
Мне кажется, что сообщение, хоть и не сплошное, имеется...зоб, в т.ч. и загрудинный, может достигать огромных размеров (в нашей клинике операции на щитовидке явление рядовое).
Болезни ног: виды, симптомы, причины, профилактика и лечение
А вот и несколько картинок со стороны ))))
Болезни ног: виды, симптомы, причины, профилактика и лечение
А что, вариант интересный, "оно" 18х9х7 см ниже кажущегося или имеющегося перешейка. Но это не почечная паренхима, ИМХО)). Я могу судить только по структуре и плотности, раз не было контрастирования. И назвала "это" диффузно-узловым зобом с загрудинным распространением. Довольно трудно судить без контрастирования, без верификации, но я свой выбор сделала)). Пара картинок и к вечеру закачаю видео - может, еще идеи возникнут? Или ясности прибавится
.
https://www.youtube.com/channel/UCBGxoBUOqUT_bFhSeUgtWEw
Собственно, если быть уж до конца академичным - тогда это не загрудинный зоб, а ВНУТРИГРУДНОЙ зоб, такое в классификации тоже сеть.
Болезни ног: виды, симптомы, причины, профилактика и лечение
Оба.
Я клоню к тому же: здесь два узла. И за- и внутри-.
Неоднозначно всё
Скиалогически - да, два узла; если это зоб, то - внутригрудной (что без загрудинного невозможно даже теоретически
); если два образования, то загрудинный зоб+ неизвестное новообразование переднего средостения. Как верифицировать, вот в чем вопрос?
Болезни ног: виды, симптомы, причины, профилактика и лечение
Пока никак не верифицировать. А потому вносить в какие-то сборники и подборки нет смысла.
https://www.youtube.com/channel/UCBGxoBUOqUT_bFhSeUgtWEw
Еще дело в том, что эти два образования, щитовидную железу и очень сходное по структуре внутригрудное (Вы правы, не загрудинный) образование, разделяют сосуды, и как мне показалось, связь в виде перешейка имеется. Но, наверное, не настолько это и важно. Пока видео не работает, там эту связь можно проследить.
https://www.youtube.com/channel/UCBGxoBUOqUT_bFhSeUgtWEw
Конечно - сосуды разделяют, это однозначно.
Болезни ног: виды, симптомы, причины, профилактика и лечение
Ой, не согласен! А как же внутригрудной зоб в заднем средостении из аберрантной щитовидной железы?
Неоднозначно всё
Здесь можно скачать .pdf документ в 55 страниц: "Определение локализации внутригрудных новообразований" — с довольно болшим количеством картинок…, правда, прискорбного качества(.
http://phtiziatr.ru/files_dowloads.php?file=4100
Неоднозначно всё
Если аберрантной, тогда - да! )))))
Болезни ног: виды, симптомы, причины, профилактика и лечение
Профессионал и большой остряк. Второй день при воспоминании о "сбацать" урографийку" (#29) и смеюсь до колик. В своих комментариях я писал и о таком варианте "силы", которая всегда привлекательна для нормальных людей. Эзопа полюбила красавица, жена патриция за его умные басни. Желаю Вам хорошего настроения. С уважением Nik
А почему контраст не вводили? Тератома бы не накапливала, а зоб накопит. И нечего гадать.
Хотя судя по высокой плотности, конечно, на зоб похоже.
Контраст не вводили, потому что я в отпуске была. Не шутка... Случай разрешен к представлению коллегой.
https://www.youtube.com/channel/UCBGxoBUOqUT_bFhSeUgtWEw
Меня всё мучает вопрос: неужели во всех случаях необходимо вводить 100 мл дорогого Омнипака или Ультрависта? Может быть, подобном случае можно обойтись 40 мл общедоступного Урографина, и при этом получить достаточную информацию (накапливает или нет)?
А кина всё нет((.
Неоднозначно всё
Иначе никак не получается.
Общедоступный урографин не дает нужную степень контрастирования в такой дозе (40 мл), зато дает больше аллергических реакций. Для КТ-контрастирования применяют неионные йодсодержащие препараты.
Введение 100 мл омнипака не во всех случаях обязательно: http://www.webapteka.ru/drugbase/name2777.html
https://www.youtube.com/channel/UCBGxoBUOqUT_bFhSeUgtWEw
доктор ALMO указывает на Вашу эрудицию и расширяет медицинский кругозор участников сайта.
Торакальная дистопия почки . Встречается очень редко. При этой аномалии почка расположена выше диафрагмы и находится в грудной полости. Мочеточник и сосуды такой почки значительно длиннее нормальных. Такая аномалия может проявляться болями за грудиной, часто после еды. Обнаруживается случайно при рентгенологических обследованиях, как образование над диафрагмой. Иногда ошибочно ставится диагноз опухоли легкого или диафрагмальной грыжи. Установить правильный диагноз помогают экскреторная урография и ультразвуковое исследование, которое не обнаруживает почку на обычном месте.
Зачастую данная аномалия сочетается с диафрагмальной грыжей. Диагностика заболевания затруднительна, так как оно не имеет симптомов и может быть случайно выявлено . Торакальная дистопия - особый случай, возникает при избыточной миграции почки в полость грудной клетки на фоне врожденной диафрагмальной грыжи, слева в 2 раза чаще, чем справа.
Благодарю Вас. С уважением Nikolas
Но даже если «штатные» почки на месте, внутригрудная не исключается. Почек ведь не всегда ровно две.
Неоднозначно всё