Исход адгезивного плеврита

Пол пациента: 
Тип патологии: 
Методы исследования: 

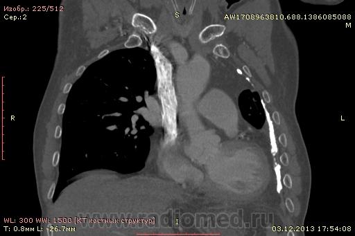
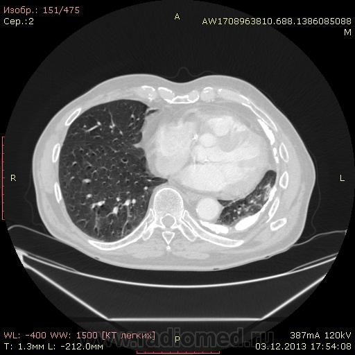
Доброго времени суток уважаемые форумчани! :)Провели исследование КТ грудной клетки с контрастированием, для выявления аневризмы грудного отдела аорты. В результате увидели это:

           

 

     

 

        

           

      

Тут файлы диком: http://yadi.sk/d/f7gpOxkJDjfzz     

Говорил с врачом, у больного был плеврит неизвестной давности. 

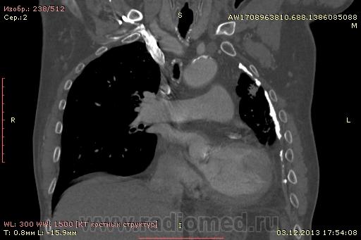
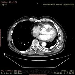
??? Аневризму честно не вижу (мало опыта в определении аневризм). Тромбоз в бассейне верхней полой вены. В левом легком обызвествленные плевральные шварты? как исход осумкованного плеврита неизвестной давности?

Какое Ваше мнение?

  • https://radiomed.ru/sites/default/files/styles/case_slider_image/public/user/19205/img-0015-00001_0.jpg?itok=vE20MScE
  • https://radiomed.ru/sites/default/files/styles/case_slider_image/public/user/19205/img-0016-00001.jpg?itok=46Sr8mC8
  • https://radiomed.ru/sites/default/files/styles/case_slider_image/public/user/19205/img-0017-00001.jpg?itok=Jtu9Orgv
  • https://radiomed.ru/sites/default/files/styles/case_slider_image/public/user/19205/img-0018-00001.jpg?itok=HFQcnErA
  • https://radiomed.ru/sites/default/files/styles/case_slider_image/public/user/19205/img-0019-00001.jpg?itok=H1BckNxo
  • https://radiomed.ru/sites/default/files/styles/case_slider_image/public/user/19205/img-0001-00001_0.jpg?itok=RKrzJyOW
  • https://radiomed.ru/sites/default/files/styles/case_slider_image/public/user/19205/img-0002-00001_0.jpg?itok=kIUQUx95
  • https://radiomed.ru/sites/default/files/styles/case_slider_image/public/user/19205/img-0003-00001_0.jpg?itok=-C9Wf2Bi
  • https://radiomed.ru/sites/default/files/styles/case_slider_image/public/user/19205/img-0005-00001_0.jpg?itok=T-_1JNKq
  • https://radiomed.ru/sites/default/files/styles/case_slider_image/public/user/19205/img-0006-00001_0.jpg?itok=jTV9MT4N
  • https://radiomed.ru/sites/default/files/styles/case_slider_image/public/user/19205/img-0007-00001_0.jpg?itok=4JwtDPkL
  • https://radiomed.ru/sites/default/files/styles/case_slider_image/public/user/19205/img-0008-00001_0.jpg?itok=T3noC-lF
  • https://radiomed.ru/sites/default/files/styles/case_slider_image/public/user/19205/img-0009-00001_0.jpg?itok=fLxEoiqu
  • https://radiomed.ru/sites/default/files/styles/case_slider_image/public/user/19205/img-0010-00001_0.jpg?itok=mLL4M_JN
  • https://radiomed.ru/sites/default/files/styles/case_slider_image/public/user/19205/img-0012-00001_0.jpg?itok=oF10-Jjz
ID:33901
Johnnye60 аватар
Не на сайте
Был на сайте: 6 лет 2 недели назад
Зарегистрирован: 09.11.2013 - 13:43
Публикации: 138

на VRT-реконструкции. плотность до + 1000 HU. видел такое как посттуберкулезные обызвествления плевры, надо завтра ещё раз поговорить с лечащим врачом, может ошиблись

 

намерил аорту, всё таки есть аневризматическое расширение луковицы

Приложения: 
se000.jpg

Т2....Гиперденсное...анэхогенное...гипоинтенсивное...обзорный...Т1....прицельный...жиродав....и кофе, много кофе!

алкс аватар
Не на сайте
Был на сайте: 10 лет 2 недели назад
Зарегистрирован: 24.10.2012 - 22:55
Публикации: 2915

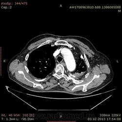
Уважаемый коллега Johnnye60! По - моему кальциноз плевры, к контрастированию имеет отношение  только потому, что частично сохраняется жидкость между кальцинированными листками плевры. И если был бы натив - вопросов было бы меньше.

алкс аватар
Не на сайте
Был на сайте: 10 лет 2 недели назад
Зарегистрирован: 24.10.2012 - 22:55
Публикации: 2915

Чуть не забыл! А что за тромбоsmileyз в бассейне? Обычное прохожедие контраста м.б.?

Johnnye60 аватар
Не на сайте
Был на сайте: 6 лет 2 недели назад
Зарегистрирован: 09.11.2013 - 13:43
Публикации: 138

Насчёт натива Вы правы, действительно надо в пртокол ввести его, что бы снизить количество вопросов. Честно сказать я не вижу жидкости, Вы считаете контраст попал между листками? А контраст (Ультравист 300) даёт плотность +800-1000 HU?

Т2....Гиперденсное...анэхогенное...гипоинтенсивное...обзорный...Т1....прицельный...жиродав....и кофе, много кофе!

Johnnye60 аватар
Не на сайте
Был на сайте: 6 лет 2 недели назад
Зарегистрирован: 09.11.2013 - 13:43
Публикации: 138

Похоже у меня бурная фантазия вызванная повышенной концентрацией ультрависта в жидкостях)) в связи с отсутствием нативного исследования воспользовался "скаутами", не панацея, но хоть что-то. там даже признаков тени нет, где я "вижу такой сформированный тромб"... кошмар!

Т2....Гиперденсное...анэхогенное...гипоинтенсивное...обзорный...Т1....прицельный...жиродав....и кофе, много кофе!

алкс аватар
Не на сайте
Был на сайте: 10 лет 2 недели назад
Зарегистрирован: 24.10.2012 - 22:55
Публикации: 2915

Сожалею, мой просмотровщик не позволяет плотности мерять, но а Вам как - содержимое плотнее на "вид, взгляд"( других аргументов не имею) чем кальциноз?

Приложения: 
1.jpg
Johnnye60 аватар
Не на сайте
Был на сайте: 6 лет 2 недели назад
Зарегистрирован: 09.11.2013 - 13:43
Публикации: 138

Коллега, Вы меня вывели из моих фантазий! теперь я уверен что это жидкость, срочно иду редактировать протокол, чтобы был натив,иначе точно накосячу) аппликаторам "респект", такой протокол поставили, аппарату третий месяц, да и мне, как врачу каб. КТ также 3 месяца) 

Т2....Гиперденсное...анэхогенное...гипоинтенсивное...обзорный...Т1....прицельный...жиродав....и кофе, много кофе!

Андрей Юрьевич аватар
Не на сайте
Был на сайте: 1 неделя 32 минуты назад
Зарегистрирован: 16.11.2008 - 22:16
Публикации: 18098

Ребята, вы что, какая жидкость? Чистая известь, посмотрите в костном окне. Отставить натив (в данном случае, хотя для аневризм он обычно нужен). Отставить тромбоз верхней полой вены (потоковые артефакты, не дело вены в артериальную фазу оценивать). Отставить аневризму  аорты, поперчник восходящего отдела на уровне легочного ствола 42мм. А вот легочная гипертензия, здравствуй: поперечник легочного ствола - 37мм, ПЛА - 25мм, ЛЛА - 25мм, НАо - 25-34мм.

Почитайте про грудную аорту здесь http://www.radiologyassistant.nl/en/p441baa8530e86/thoracic-aorta-the-acute-aortic-syndrome.html Может полезно будет.

Андрей Юрьевич

алкс аватар
Не на сайте
Был на сайте: 10 лет 2 недели назад
Зарегистрирован: 24.10.2012 - 22:55
Публикации: 2915

Андрей Юрьевич wrote:

Ребята, вы что, какая жидкость? Чистая известь, посмотрите в костном окне. Отставить натив (в данном случае, хотя для аневризм он обычно нужен). Отставить тромбоз верхней полой вены (потоковые артефакты, не дело вены в артериальную фазу оценивать). Отставить аневризму  аорты, поперчник восходящего отдела на уровне легочного ствола 42мм. А вот легочная гипертензия, здравствуй: поперечник легочного ствола - 37мм, ПЛА - 25мм, ЛЛА - 25мм, НАо - 25-34мм.

Почитайте про грудную аорту здесь http://www.radiologyassistant.nl/en/p441baa8530e86/thoracic-aorta-the-acute-aortic-syndrome.html Может полезно будет.

Андрей Юрьевич! Тут за сосуды и речи нет. Вопрос в плевре. Вам тоже кажется кальциноз такой толщины в 25мм?

Андрей Юрьевич аватар
Не на сайте
Был на сайте: 1 неделя 32 минуты назад
Зарегистрирован: 16.11.2008 - 22:16
Публикации: 18098

Про сосуды тут как раз речь есть. ///Тромбоз в бассейне верхней полой вены./// - не я написал, надо оградить молодого коллегу.

А про кальциноз, да, уверен такой толщины. Ну, не ртуть же это (шучу!).

Андрей Юрьевич

Makcimalist аватар
Не на сайте
Был на сайте: 11 лет 8 месяцев назад
Зарегистрирован: 08.05.2010 - 14:28
Публикации: 1994

Надо точнее для измерений ставить точку?..

--------------

"Просто, по видимости, не видеть логики в очевидных вещах - это тоже одно из свойств некоторых умов, наряду с грустными думами о свойствах ума других."  © Vega 08/10/2011

Любовь С. аватар
Не на сайте
Был на сайте: 9 лет 5 месяцев назад
Зарегистрирован: 23.12.2010 - 01:58
Публикации: 2324

Что-то разыгралось воображение... раньше частенько применяли йод-содержашие препараты для промывания полостей... йодолипол?) ну похоже просто))) Да я понимаю, что должен быть водорастворимым, но фантазию ж не удержать))).

Нет ТЭЛА. Фиброторакс слева.

Пыс. Точку для измерений ставить нет смысла. Крюжок - исчо да)).

"Предоставляя весь смысл и совершенство в распоряжение одного только Бога, вы избавляете себя от бездны хлопот." Джон Уитборн.

Johnnye60 аватар
Не на сайте
Был на сайте: 6 лет 2 недели назад
Зарегистрирован: 09.11.2013 - 13:43
Публикации: 138

ультравист значит не может давать плотность +800 - +1000 HU ? 

Т2....Гиперденсное...анэхогенное...гипоинтенсивное...обзорный...Т1....прицельный...жиродав....и кофе, много кофе!

Makcimalist аватар
Не на сайте
Был на сайте: 11 лет 8 месяцев назад
Зарегистрирован: 08.05.2010 - 14:28
Публикации: 1994

Лучше много точек, чем один крюжочек.)

--------------

"Просто, по видимости, не видеть логики в очевидных вещах - это тоже одно из свойств некоторых умов, наряду с грустными думами о свойствах ума других."  © Vega 08/10/2011

Андрей Юрьевич аватар
Не на сайте
Был на сайте: 1 неделя 32 минуты назад
Зарегистрирован: 16.11.2008 - 22:16
Публикации: 18098

Johnnye60 wrote:

ультравист значит не может давать плотность +800 - +1000 HU ? 


Вообще не понял вопроса: вы считаете, что это излитие ультрависта в плевральную полость?

Андрей Юрьевич

Бородулин М.А. аватар
Не на сайте
Был на сайте: 9 месяцев 2 недели назад
Зарегистрирован: 17.02.2011 - 01:10
Публикации: 1409

ПСЕВДОХИЛОТОРАКС

Две различных ситуации могут привести к высокому содержанию жиров в плевральной жидкости: 1) повреждение грудного лимфатического протока и его главных ветвей, приводящее к попаданию лимфы в плевральную полость и образованию хилоторакса; 2) накопление большого количества холестерина или лецитин-глобулиновых комплексов в длительно существующем плевральном выпоте, приводящее к псевдохилотораксу. Эти два состояния необходимо четко дифференцировать, так как их этиология и лечение абсолютно различны. Псевдохилоторакс является еще более редким состоянием, чем хилоторакс, в литературе описано около 200 случаев.

Плевральные поверхности у большинства больных заметно утолщены, иногда с кальцификацией, время существования плеврального выпота более 5 лет. В этом случае плевра насыщается холестерином, так как во время активного воспаления повышается его фильтрация в плевральную полость. Источником холестерина могут стать гибнущие эритроциты и лейкоциты. Утолщенная плевра ингибирует выведение холестерина из плевральной полости. Основными причинами псевдохилоторакса являются туберкулезный плеврит (54%) и хронический ревматоидный плеврит (9%). Изредка он может быть ассоциирован с травмой или хирургическим вмешательством. Диагноз ставится на основании исследования плевральной жидкости. После центрифугирования супернатант выпота не становится прозрачным, у большинства больных в осадке определяют кристаллы холестерина характерной ромбовидной формы и повышенный уровень холестерина в выпоте (>6,45 ммоль/л). КТ может выявить жировые наложения и утолщение плевры. Лечение псевдохилоторакса должно быть направлено на лечение вызвавшего его заболевания (в основном туберкулеза). При выраженных дыхательных нарушениях и большом объеме выпота показаны плевральная пункция и дренирование, хотя их выполнение усложняется утолщенной плеврой и отрицательным внутриплевральным давлением

Любовь С. аватар
Не на сайте
Был на сайте: 9 лет 5 месяцев назад
Зарегистрирован: 23.12.2010 - 01:58
Публикации: 2324

Для справки: холестериновые камни имеют плотность менее 100 ед.Н. Имеющаяся хренотень в левом гемитораксе имеет плотность больше костной, до 1500 ед.Н. Вопрос: какая химико-физико-биологическая реакция может способствовать превращению мягинькаво холестерина в термоядерную плевральную лепёшку?)

Михаилу Анатольевичу тема для размышлений: а у пациента еще такая же "известь" в содержимом желудка)). У Вас найдётся материал по гастро-эзофаго-плевральным фистулам с соответствующими плотностями?)))

"Предоставляя весь смысл и совершенство в распоряжение одного только Бога, вы избавляете себя от бездны хлопот." Джон Уитборн.

Любовь С. аватар
Не на сайте
Был на сайте: 9 лет 5 месяцев назад
Зарегистрирован: 23.12.2010 - 01:58
Публикации: 2324

Настаиваю на введении чужеродного лекарства в анамнезе!))))) И констатирую: попытка склеять плевру удалась, ура!

"Предоставляя весь смысл и совершенство в распоряжение одного только Бога, вы избавляете себя от бездны хлопот." Джон Уитборн.

Johnnye60 аватар
Не на сайте
Был на сайте: 6 лет 2 недели назад
Зарегистрирован: 09.11.2013 - 13:43
Публикации: 138

В анамнезе перенёс туберкулёз неизвестной давности. 

Т2....Гиперденсное...анэхогенное...гипоинтенсивное...обзорный...Т1....прицельный...жиродав....и кофе, много кофе!

Бородулин М.А. аватар
Не на сайте
Был на сайте: 9 месяцев 2 недели назад
Зарегистрирован: 17.02.2011 - 01:10
Публикации: 1409

Любовь С. wrote:

Для справки: холестериновые камни имеют плотность менее 100 ед.Н. Имеющаяся хренотень в левом гемитораксе имеет плотность больше костной, до 1500 ед.Н. Вопрос: какая химико-физико-биологическая реакция может способствовать превращению мягинькаво холестерина в термоядерную плевральную лепёшку?)

Михаилу Анатольевичу тема для размышлений: а у пациента еще такая же "известь" в содержимом желудка)). У Вас найдётся материал по гастро-эзофаго-плевральным фистулам с соответствующими плотностями?)))

Кальцификация плевральных листков  является неотъемлемой частью развития хилезоподобных выпотов в результате длительности процесса (  в среднем сроки появления кальцинации около 5 лет), как следствие порпажения серозных оболочек.

Пока дайкомы  скачиваются воспльзуюсь Вашим советом.)

Бородулин М.А. аватар
Не на сайте
Был на сайте: 9 месяцев 2 недели назад
Зарегистрирован: 17.02.2011 - 01:10
Публикации: 1409

Любовь С. wrote:

Настаиваю на введении чужеродного лекарства в анамнезе!))))) И констатирую: попытка склеять плевру удалась, ура!

 Сцелью химического плевродеза в древние  времена вводили тальк.

Но в не нашей стране.

Андрей Юрьевич аватар
Не на сайте
Был на сайте: 1 неделя 32 минуты назад
Зарегистрирован: 16.11.2008 - 22:16
Публикации: 18098

Уважаемый коллега Бородулин, а как вы будете уставливать причинно-следственную связи между кальцинозом плевры и хилотораксом? И наше ли это дело? Может оставим это клиницистам?

Андрей Юрьевич

Бородулин М.А. аватар
Не на сайте
Был на сайте: 9 месяцев 2 недели назад
Зарегистрирован: 17.02.2011 - 01:10
Публикации: 1409

Андрей Юрьевич wrote:

Уважаемый коллега Бородулин, а как вы будете уставливать причинно-следственную связи между кальцинозом плевры и хилотораксом? И наше ли это дело? Может оставим это клиницистам?

Согласен)))

Makcimalist аватар
Не на сайте
Был на сайте: 11 лет 8 месяцев назад
Зарегистрирован: 08.05.2010 - 14:28
Публикации: 1994

Любовь С. wrote:

Настаиваю на введении чужеродного лекарства в анамнезе!))))) И констатирую: попытка склеять плевру удалась, ура!

А как же насчёт инкрустации плевры? Какой там виновен аглицкий шпийон?)

Михаил Анатольевич, спасибо за патофизиологическую инфу - к месту!

--------------

"Просто, по видимости, не видеть логики в очевидных вещах - это тоже одно из свойств некоторых умов, наряду с грустными думами о свойствах ума других."  © Vega 08/10/2011

Любовь С. аватар
Не на сайте
Был на сайте: 9 лет 5 месяцев назад
Зарегистрирован: 23.12.2010 - 01:58
Публикации: 2324

Инкрустация - то да. Но уж больно молочное известковое там... слишком просто, а мы не ищем лёгких путей!))) да! и любовью заниматься -  стоя в гамаке)))))) А если серьёзно, просто предложила альтернативу кальцификации плевры.

Для инкрустации плевры поводов много, спец и неспецпоствоспалительные, посттравматика... постраздражение, короче))

"Предоставляя весь смысл и совершенство в распоряжение одного только Бога, вы избавляете себя от бездны хлопот." Джон Уитборн.