Пол пациента:
Тип патологии:
Область исследования:
Методы исследования:
- https://radiomed.ru/sites/default/files/styles/case_slider_image/public/user/7840/test002_0.jpg?itok=NHitFM4R
- https://radiomed.ru/sites/default/files/styles/case_slider_image/public/user/7840/test004_1.jpg?itok=INgMQ0u6
- https://radiomed.ru/sites/default/files/styles/case_slider_image/public/user/7840/test005_0.jpg?itok=ANK8KjKe
- https://radiomed.ru/sites/default/files/styles/case_slider_image/public/user/7840/test003_0.jpg?itok=5r_rCdTX
- https://radiomed.ru/sites/default/files/styles/case_slider_image/public/user/7840/test001_1.jpg?itok=y-EMCKxH
- https://radiomed.ru/sites/default/files/styles/case_slider_image/public/user/7840/test006_0.jpg?itok=k5hNVHaI
- https://radiomed.ru/sites/default/files/styles/case_slider_image/public/user/7840/test008_0.jpg?itok=JUaIj-w9
ID:34860
Буквы не любите выставлять? Что такое - молодая женщина? Для меня это 40-50 лет, а для Вас?
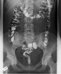
Возможно, есть изменения по-типу болезни Гирсшрунга, но неубедительно. Купол слепой кишки как бы кисетообразно подтянут по медиальному контуру, возможно есть поражение баугиниевой заслонки. Попробуйте провести энтерографию.
Ну, что тут скажешь, вы делали, вам видней.
Андрей Юрьевич
Уваж.Marinet!
Никакой значимой патологии на представленных снимаках четко не определяется. То, что указано стрелками - м.б. просто спазм, м.б. и изъязвление, но не очень доказательно.
Рентгенограммы отличные, завидую (ах какая..., мне б такую). Но не люблю я это исследование, особенно в плане выискивания причин всяческих запоров. Вот и тут, я бы кроме нормы(в плане органики) ничего бы не нашел.
С уважением,
Колоноскопом не смогли пройти глубоко. Интересует сигмовидный отдел.
--------------------------------------------------------------------------------------------------------------------------------------------
Извините, коллега, при колоноскопии не смогли пройти сигмовидную кишку?
+1 за норму.
"Обучая других - учишься сам". Н.И.Пирогов
Завидуете ЛАБОРАНТАМ, которые проводили это исследование методом ирригографии?
на мой взгляд не все изгибы разведены (может не все снимки представлены), нет тугого наполнения кишки, большая часть снимков с двойным контрастированием, да и без скопии сложно оценивать изменения указанные стрелками. а в целом без явных стойких сужений и дефектов наполнения.